Kieferorthopädie 20.01.2026

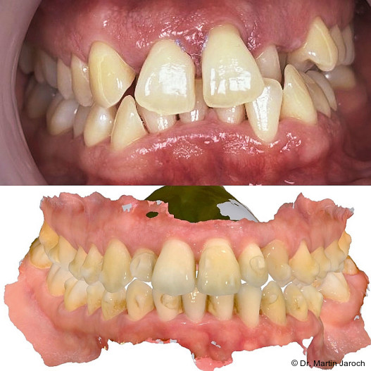
Aligner bei Kindern und Jugendlichen – wissenschaftliche Evidenz im Wachstumsvorteil



Die Aligner-Therapie hat die Kieferorthopädie revolutioniert und ist längst nicht mehr nur Erwachsenen vor­behalten. Mit speziellen Systemen einzelner Aligner-Hersteller steht heute eine Reihe innovativer Lösungen zur Verfügung, die gezielt für Kinder und Jugendliche entwickelt wurden.

Aligner bei Kindern und Jugendlichen – wissenschaftliche Evidenz im Wachstumsvorteil

Foto: Dr. Martin Jaroch

Dennoch hält sich hartnäckig der Glaube, gerade bei jungen Patienten sei eine Behandlung mit Alignern schwieriger oder weniger effektiv als mit festsitzenden Apparaturen.

In Wahrheit sprechen zahlreiche biologische und praktische Argumente sowie eine wachsende Studienlage genau für das Gegenteil: Das Wachstum eröffnet im Kindesalter Möglichkeiten, die eine Aligner-Behandlung oft nicht nur einfacher, sondern auch schneller und nachhaltiger machen.

Wachstumsvorteile und Schnelligkeit der Behandlung

Ein zentraler Aspekt bei der kieferorthopädischen Behandlung von Kindern und Jugendlichen ist das aktive Wachstum. Der Umbauprozess des Alveolarknochens verläuft in jungen Jahren wesentlich schneller. Lione et al.¹ zeigten, dass das Verhältnis von knochenabbauenden zu knochenaufbauenden Signalstoffen (RANKL/OPG) bei Kindern deutlich höher ist, was eine schnellere und biologisch dynamischere Zahnbewegung ermöglicht. Gerade diese erhöhte Knochenstoffwechselaktivität führt dazu, dass Zahnbewegungen im Jugendalter zügiger ablaufen als bei Erwachsenen.

Merino et al.² konnten in einer Untersuchung zur Phase-I-Therapie im frühen Wechselgebiss nachweisen, dass frühe Eingriffe das Kieferwachstum steuern und dadurch spätere Phase-II-Behandlungen nicht nur verkürzen, sondern teils sogar komplett vermeiden können. Durch die Nutzung des Wachstumsfensters lässt sich beispielsweise eine Transversalexpansion wesentlich einfacher realisieren, solange die Gaumennaht noch nicht vollständig verknöchert ist.

Studienlage zur Effektivität von Alignern bei jungen Patienten

Die Effektivität von Alignern bei Kindern und Jugendlichen wird zunehmend durch wissenschaftliche Arbeiten untermauert. Yu und Zhou3 führten eine randomisierte kontrollierte Studie mit 45 jugendlichen Patienten durch, die im Rahmen einer Vierer-Prämolaren-Extraktion behandelt wurden. Sie fanden heraus, dass unterschiedliche Wechselintervalle der Aligner (7 vs. 14 Tage) keinen signifikanten Einfluss auf die Effizienz der Zahnbewegungen hatten – ein Beleg dafür, dass selbst im kindlichen Gebiss klare Aligner sehr zuverlässig biomechanisch steuerbar sind.

Eine weitere randomisierte kontrollierte Studie von Ravera et al.4 untersuchte Jugendliche mit Klasse II-Malokklusionen und zeigte, dass mit Alignern eine signifikante Verbesserung der sagittalen Parameter erreicht werden konnte, wenn zusätzliche Elastics eingesetzt wurden.

Darüber hinaus kam ein systematischer Review von Levrini et al.5 zu dem Ergebnis, dass bei Kindern in der Mischdentition mit transversaler Gaumenenge Aligner-basierte Expansionen erfolgreich durchgeführt werden können, wobei insbesondere die intercanine und intermolare Breite vergrößert und die Molarenneigung gut kontrolliert werden konnte.

Ein systematischer Review aus dem Jahr 20256, der 32 Studien inkludierte (darunter drei randomisierte kontrollierte Studien), kam zu dem Ergebnis, dass klare Aligner bei wachsenden Patienten effektive dentoalveoläre Veränderungen erzielen und ins­besondere die Kontrolle von Overjet, Overbite und Engständen vergleichbar mit festen Apparaturen leisten können. Bei skelettalen Klasse II-Fällen zeigten sich allerdings weiterhin Grenzen, sodass hier eine genaue Indikationsstellung und gegebenenfalls die Kombination mit funktionskieferorthopädischen Maßnahmen angeraten bleibt.

Mandibuläre Protrusion und Okklusalblöcke – Beispiel eines Komplettsystems

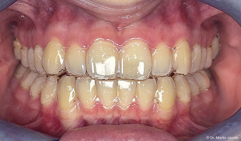
Eine entscheidende Innovation im Bereich der Aligner-Behandlung von Jugendlichen ist die Integration sogenannter Occlusal Blocks bzw. Precision Wings, die speziell für die Unterkiefer­vorverlagerung bei Klasse II-Behandlungen entwickelt wurden. Zybutz et al.7 verglichen in einer Studie Invisalign® mit mandibulärer Advancement-Funktion (ITMA) mit traditionellen Twin-Block-Geräten und stellten fest, dass die Aligner-Variante nicht nur weniger Brüche und Reparaturen erforderte, sondern auch psychosozial von den Patienten als angenehmer wahrgenommen wurde. Die feste Integration der Protrusionskomponenten direkt in die Schienen erlaubt eine simultane Korrektur der sagittalen Beziehung und der Zahnstellung, was den gesamten Behandlungsprozess signifikant effizienter gestaltet.

Align Technology selbst weist darauf hin, dass mit dieser Technologie Klasse II-Fehlstellungen während des Wachstums in einer einzigen Behandlungsetappe adressiert werden können, ohne dass vorher ein separates funktionskieferorthopädisches Gerät erforderlich ist.8 Damit wird die Gesamttherapiezeit deutlich verkürzt und der Aufwand für Patienten und Praxen reduziert.

Mundgesundheit, Komfort und Compliance – entscheidende Vorteile bei Kindern

Ein weiteres wesentliches Argument zugunsten von Alignern im Kindesalter ist die Mundgesundheit. Da die Aligner zum Essen und zur Zahnpflege herausgenommen werden, bleibt die täg­liche Mundhygiene uneingeschränkt möglich. Eine Mainzer Studie9 konnte zeigen, dass Jugendliche mit Alignern eine sig­nifikant geringere Plaqueakkumulation und eine bessere parodontale Gesundheit aufwiesen als Patienten mit festsitzenden Apparaturen. Dies reduziert das Risiko für Entkalkungen und Karies erheblich. Chandra et al.10 unterstrichen in ihrem Scoping-Review, dass Kinder mit Alignern eine höhere Lebensqualität, weniger Schmerzen und weniger Einschränkungen im Alltag berichten als Kinder mit klassischen Brackets. Auch Zybutz et al.7 betonten, dass Therapien mit transparenten Aligner-Schienen von Jugendlichen psychisch und sozial deutlich besser akzeptiert werden und das Risiko für Hänseleien oder soziale Ausgrenzung erheblich geringer ist. Viele Jugendliche geben an, sich mit Alignern selbstbewusster zu fühlen und ihre Behandlung weniger als Makel wahrzunehmen. Nicht zuletzt steigert der hohe Tragekomfort – bedingt durch das flexible, präzise angepasste Material der Aligner – die Bereitschaft zur Mitarbeit. Compliance-Indikatoren, die die Tragedauer farblich sichtbar machen, helfen Eltern und Behandlern zusätzlich, die Mitarbeit objektiv zu kontrollieren.

Kritikpunkte und Grenzen – und wie man ihnen begegnet

Natürlich gibt es auch Einschränkungen. Die Ergebnisse von Blundell et al.11 machen deutlich, dass bisher mit Alignern nicht das gesamte geplante Ausmaß der Overbite-Korrektur um­gesetzt werden konnte. Die retrospektive Untersuchung an 102 Jugendlichen zwischen zehn und 17 Jahren belegte, dass Invisalign-Aligner (Align Technology) in der Lage waren, Überbisskorrekturen durchschnittlich gerade einmal zu 41 Prozent des ursprünglich geplanten Ausmaßes durchzuführen. Dies ver­deutlicht, dass bei komplexeren vertikalen oder skelettalen Problemen eine besonders sorgfältige Planung sowie eventuell die Kombination mit zusätzlichen Attachments oder elastischen Zügen erforderlich ist. Der systematische Review von 20256 wies außerdem darauf hin, dass rein skelettale Klasse II-Korrekturen weiterhin mit traditionellen funktionskieferorthopädischen Geräten effektiver erzielt werden. Es spricht jedoch nichts dagegen, hybride Konzepte zu verfolgen, bei denen Aligner-Systeme mit zusätzlichen funktionellen Komponenten kombiniert werden, um das Wachstum optimal auszunutzen.

Hier könnten die neuesten technologischen Entwicklungen einen echten Paradigmenwechsel einläuten. Der im Beitrag bereits erwähnte Aligner-Hersteller stellte jüngst eine integrierte Lösung, die sognannten Occlusal Blocks vor.8 Diese ermöglichen, die Unterkiefervorverlagerung direkt innerhalb der Aligner-Schiene zu realisieren – ohne zusätzliche herausnehmbare Geräte. Diese Occlusal Blocks sind präzise designte Aufbisselemente innerhalb der Aligner, die eine kontrollierte Vorpositionierung des Unterkiefers während des Wachstums ermöglichen und dadurch die sagittale Korrektur effizient unterstützen können. Damit bieten diese neuen Okklusalblöcke eine vielversprechende Möglichkeit, gerade bei Jugendlichen im Wachstum die Vorteile der funktionskieferorthopädischen Therapie direkt mit der ästhetischen und hygienischen Überlegenheit der Aligner-Technologie zu kombinieren. Es spricht daher nichts dagegen, zukünftig noch konsequenter hybride Strategien oder diese neuen integrierten Lösungen zu verfolgen, um das Wachstum optimal auszunutzen und zugleich die Gesamtbehandlungsdauer deutlich zu verkürzen.

Fazit

Zusammenfassend lässt sich feststellen, dass Aligner-Behandlungen mit speziellen Komplettsystemen gerade bei Kindern und Jugendlichen im Wachstum nicht nur machbar, sondern in vielerlei Hinsicht sogar besonders vorteilhaft sind. Sie profitieren von einer biologisch beschleunigten Zahnbewegung, können Kieferentwicklungen frühzeitig steuern und ermöglichen oftmals kürzere Behandlungszeiten. Gleichzeitig verbessern sie die Mundgesundheit, reduzieren psychosoziale Belastungen und steigern die Lebensqualität.

Transparenzhinweis

Der Autor hat für die Nennung von Produkten oder Unternehmen keinerlei finanzielle Unterstützung erhalten. Die Auswahl erfolgte ausschließlich auf fachlicher Grundlage.

Literatur

cosmetic dentistry 04/25

cosmetic dentistry


Dieser Beitrag ist unter dem Originaltitel „Aligner bei Kindern und Jugendlichen – Effizienz, Ästhetik und wissenschaftliche Evidenz im Wachstumsvorteil“ in der cosmetic dentistry erschienen.

cosmetic dentistry ist seit 2003 eine führende interdisziplinäre Fachzeitschrift für High-End-Zahnmedizin im deutschsprachigen Raum. Sie informiert Zahnärzte, Oral- und MKG-Chirurgen sowie Kieferorthopäden über neueste wissenschaftliche Erkenntnisse, Trends und Innovationen. Im Fokus stehen hochwertige ästhetische Lösungen, die über funktionale Wiederherstellung hinaus kosmetische Verbesserungen bieten.

Jetzt das ePaper lesen.

Mehr Fachartikel aus Kieferorthopädie

ePaper