Kieferorthopädie 18.10.2022

Zehn Jahre Alignertherapie – ein Erfahrungsbericht aus dem Praxisalltag



Zehn Jahre Alignertherapie – ein Erfahrungsbericht aus dem Praxisalltag

Foto: Dr. Dieter-Alois Brothag

Die Alignertherapie ist ein im klinischen Alltag fest etablierter Bestandteil eines modernen kieferorthopädischen Behandlungskonzepts, bietet sie doch eine ästhetische Alternative zu den Multibracketapparaturen. Nach wie vor wird diese Therapie jedoch mit vielen Vorurteilen hinsichtlich ihrer Wirksamkeit und der Patienten-Compliance belegt. Im folgenden Artikel sollen rückblickend die in der Praxis des Autors über einen Zeitraum von zehn Jahren gesammelten Erfahrungen mit dieser Behandlungsmethode wiedergegeben werden.

In-Office-Kurs in Oberbayern

Digitales Treatment Planning Invisalign®. Hands-on-Schulungen mit Dr. Dieter Brothag – kompetent und anschaulich – für Kollegen. Erfahrungen aus der Behandlung von über 1.000 Invisalign®-Fällen. Kursinhalte sind u. a.: ClinCheck-Planung im Detail und mit System, klinische Fallbeispiele der Klassen I, II und III, Praxisabläufe und Patientenkommunikation oder Möglichkeiten zur Compliance-Verbesserung. Das Seminarformat eröffnet die Möglichkeit, Wissen auf der Überholspur – und aufgrund der limitierten Teilnehmerzahl von sechs Personen pro Kurs sehr individuell – zu erhalten. Nähere Infos sowie Buchung unter: www.alignereducation.com

Im Rahmen des digitalen Invisalign Scientific Summit 2020 stellten wir die Ergebnisse einer stichprobenartigen, retrospektiven Nachuntersuchung von insgesamt 50 jüngeren Patienten vor, die während der letzten zehn Jahre in unserer Praxis behandelt worden waren. Bei jeweils 25 zufällig ausgelosten Patienten mit festsitzenden Apparaturen bzw. herausnehmbarer Invisalign-Apparatur aus einer altershomogenen Patientenkohorte wurde die Behandlungsqualität, also die Verringerung des PAR-Index und die Behandlungszeit, quantifiziert. Bei vergleichbaren Ausgangs-PAR-Werten zwischen beiden Gruppen (P > 0,3) wurden dabei ähnliche Reduktionen des PAR-Wertes in beiden Gruppen erzielt ( P> 0,6) und somit eine ähnlich gute Behandlungsqualität nachgewiesen. Beim Vergleich der Behandlungszeit konnte bei der Gruppe der Alignerpatienten allerdings eine signifikant kürzere Behandlungsdauer festgestellt werden als bei den Multibracketpatienten ( P< 0,0001).

Diese praxisinterne Beobachtung deckt sich allerdings nicht mit den Aussagen der Literatur. In einer im Journal of Investigative and Clinical Dentistry 2019 von Pithon et al. veröffentlichten systematischen Literaturrecherche wurden drei nicht-randomisierte kontrollierte Studien und eine randomisierte kontrollierte Studie, drei mit niedrigem Risiko für Bias (RoB) und eine mit moderatem RoB, inkludiert. Drei Studien zeigten, dass die Korrekturzeit des Zahnengstands kürzer oder gleich jener der Kontrollgruppe war; eine Studie zeigte sogar eine kürzere Korrekturzeit bei Verwendung herkömmlicher Zahnspangen. Im Vergleich zu festsitzenden kieferorthopädischen Apparaturen waren unsichtbare Aligner in Bezug auf anteriore/posteriore und vertikale Korrekturen mangelhaft. So seien unsichtbare Aligner laut diesem Review zwar wirksam bei der Förderung der Zahnausrichtung, sie weisen jedoch klinische Einschränkungen im Vergleich zur herkömmlichen festsitzenden Apparatur auf.

Unsere Erfahrungen mit Invisalign aus inzwischen über 1.000 behandelten Fällen zeigen gerade bei anterior/posterioren als auch bei vertikalen Korrekturen eine hervorragende Effizienz. Die meisten der in unserer retrospektiven Untersuchung eingeschlossenen Patienten wiesen moderate bis ausgeprägte anterior/posteriore und vertikale Malokklusionen auf, was damit zusammenhängt, dass im typischen westeuropäischen Patientenklientel der Distalbiss in Kombination mit dem vertieften bzw. tiefen Biss hohe Prävalenzen aufweist. Im Folgenden unternehmen wir den Versuch, zu erklären, warum der Einsatz der Behandlungsmethode Invisalign im Vergleich zur Multibandapparatur laut unserer Studie zu deutlich kürzeren Behandlungszeiten führte.

Kürzere Behandlungszeit – ein Erklärungsversuch

In der Theorie sollte doch eine CAD/CAM-gestützte digitale Behandlungsplanung für jede Malokklusion den kürzest möglichen Weg eines jeden Zahns in seine optimale Position errechnen können und damit eine kurze Behandlungszeit ermöglichen. In der Theorie könnte aber auch jeder abgeschlagene Golfball in 300 Meter Entfernung im winzigkleinen Loch landen – was er jedoch bekanntlich nicht tut. Der Spieler begibt sich also zur neuen Position des Balls, der hoffentlich näher am Loch liegt, und schlägt erneut, so wie der Kieferorthopäde die Situation beurteilt, nachdem der Patient den ersten Schienensatz beendet hat und ggfs. einen neuen Schienensatz in Auftrag gibt.

So wie beim Golf, um bei diesem Beispiel zu bleiben, bedarf es manchmal mehrerer Abschläge (in unserem Fall „Additional Aligners“), bis der Ball eingelocht (der kieferorthopädische Fall gelöst) ist.

Der Golfspieler mit der geringsten Anzahl an Versuchen gewinnt, so wie der Kieferorthopäde mit der geringsten Anzahl an Schienensätzen die kürzeste Behandlungszeit erzielen kann. Jeder neue Scan wird aber nicht nur die Behandlungszeit verlängern, sondern auch den Behandlungsaufwand (Attachmententfernung, Re-Scan, erneute Behandlungsplanung, Befestigung der neuen Attachments) und damit die Kosten erhöhen. Wenn diese Kosten an den Patienten weitergereicht werden, senkt das dessen Zufriedenheit. Wenn die Kosten von der Praxis aufgefangen werden, senkt das die Rentabilität der Behandlungsmethode.

Der kieferorthopädische Profi tut also gut daran, alles zu unternehmen, um sein Behandlungsziel mit so wenig Schienensätzen wie möglich zu erreichen. Um einen numerischen Eindruck aus unserer Praxis zu vermitteln: Gemessen an 100 von uns durchgeführten Behandlungsplanungen kam es in 60 Fällen zu Nachbestellungen von Schienensätzen. Das bedeutet im Umkehrschluss, dass bei mindestens 40 Prozent unserer Behandlungen das Therapieziel mit dem ersten Schienensatz erreicht wurde. Hole-in-one. Die Patientenstruktur unserer Praxis – im ländlichen Raum gelegen – repräsentiert dabei mitnichten die einfachen „Social-six“-Behandlungen, sondern stellt den normalen Querschnitt dar, den man bei einer solchen Praxis erwartet darf: viele Jugendliche und Kinder (60 Prozent) sowie moderate und schwere Malokklusionen.

Nach unserem Dafürhalten sind die zwei Säulen der niedrigen Refinement-Rate zum einen intern in einem rigorosen ClinCheck-Qualitätsmanagement und zum anderen extern in einer standardisierten Patientenführung zu sehen. Wie jeder Sportler, der seine Disziplin beherrschen möchte, steht für uns das Üben an oberster Stelle, sodass wir unsere digitale Behandlungsplanung niemals an externe Treatment-Planning-Dienstleister delegieren würden. Es erfüllt uns mit beruflicher Freude und Selbstbewusstsein, für die Qualität unserer Arbeit ausschließlich selbst verantwortlich zu sein. Viel wichtiger noch ist, dass wir uns hier als Kieferorthopäden in unseren Kernaufgaben in keinerlei Abhängigkeit begeben.

Alle Vorarbeiten, d. h. der Upload der Patientenunterlagen, werden von ausgebildeten Mitgliedern unseres Praxisteams durchgeführt. Für jede Planungssession öffnet die Verwaltungsmitarbeiterin zu bearbeitende digitale Behandlungsplanungen von mehreren Patienten, sodass wir diese im Stapel abarbeiten können. Schlussendlich haben wir unsere Protokolle (gegliedert nach der Form der Malokklusion) schriftlich niedergelegt und in unseren klinischen Präferenzen in der Rubrik der „besonderen Anweisungen“ ausführlich individualisiert.

ClinCheck-Qualitätsmanagement mit individualisierten Protokollen

Die digitale Behandlungsplanung folgt stets den folgenden zehn Schritten:

1. Ist der ClinCheck richtig „einartikuliert“? Der Abgleich mit den Behandlungsunterlagen deckt Fehler beim Scan der Bissrelation auf.

2. Definition der vertikalen Endposition der OK Front anhand der Lachlinie. Eine Planung auf der Grundlage digitaler Modelle verleitet dazu, z.B. einen tiefen Biss durch Intrusion der Oberkieferfront zu therapieren und die nachteiligen Effekte auf die Lachlinie außer Acht zu lassen.

3. Unbewegliche Zähne: Sind Zähne ggfs. implantatgetragen, haben diese rein akademische Fehlstellungen. Oder werden Zähne bewusst als Verankerung genutzt, sollten diese als unbeweglich markiert werden. Gleichzeitig können von diesen Zähnen eventuell vorhandene Attachments entfernt werden.

4. Kommentare des Technikers durchlesen und beachten.

5. Überprüfen der endgültigen Zahnstellung, um festzustellen, ob die Okklusion den Behandlungszielen entspricht. Überprüfen Sie zu diesem Zeitpunkt auch das Panorama Röntgenbild, um sicherzustellen, dass alle Wurzelneigungen vor der Behandlung in der endgültigen Okklusion korrigiert wurden.

6. Dynamische Auswertung des ClinCheck: Jede Zahnbewegung von der Anfangsposition bis zu ihrer endgültigen Position sorgfältig überprüfen. Dies wird als dynamische Bewertung des ClinCheck bezeichnet und ist für vorhersagbare Behandlungen unerlässlich. Auf der Registerkarte „Staging“ wird angezeigt, welche Zähne sich in jedem Stadium bewegen, so dass wir auch überprüfen können, welche Zähne für die Verlängerung der Behandlung ver antwortlich sind.

a. Simultane Bewegungen sollen gleichzeitig ausgeführt werden. Sie verkürzen die Behandlungszeit und wirken sich vorteilhaft auf die Verankerungs situation aus:

  • Expansion + Retrudieren der Schneidezähne
  • transversale Kompression + Protrudieren der Schneidezähne
  • Expansion + Korrektur rotierter Zähne (Eckzähne, Prämolaren und Molaren)
  • Molarenmesialisierung + Schneidezahnretraktion
  • Korrektur der oberen und unteren Mittellinie + antero posteriore Bewegungen
  • Extrusion der Prämolaren + Intrusion der Schneidezähne.

b. Sequenzielle Bewegungen sind solche, die nicht gleich zeitig ausgeführt werden soll ten, da sie sonst Trackingpro bleme verursachen: 

  • zuerst Seitenzähne expandieren, anschließend die Front protrudieren
  • zuerst Seitenzähne expandieren, anschließend diese distalisieren
  • zuerst Rotation des oberen seitlichen Schneidezahns, anschließend diesen extrudieren
  • zuerst Nivellieren der Spee Kurve durch Intrusion der Front/Extrusion der Prämolaren und anschließend Derotation/Tipping der Prämolaren
  • zuerst Proklination der obe ren Front und anschließend Intrusion beim Versuch, diese zu torquen
  • zuerst Zähne derotieren und anschließend Kronenangulation korrigieren.

c. Um die Behandlung zu verkürzen, nachdem wir die Zähne überprüft haben, deren Korrektur mehr Zeit in Anspruch nimmt, können wir entscheiden, die IPR in früheren Stadien durchzuführen, bestimmte Bewegungen einzuschränken oder die Bewegung bestimm ter Zähne in den letzten Phasen der Behandlung durchzuführen und diese durch Hilfstechniken zu begleiten.

7. Zahnbewegungsbeurteilung. Wenn einige Zähne in die fort geschrittene Kategorie fallen, kann der Fachzahnarzt wählen, ob er diese Bewegungen reduzieren bzw. Retention hinzufügen möchte, um sie vorhersehbarer zu machen, oder ob er Hilfstechniken verwendet.

8. IDS in Ausmaß, Lokalisation und Timing beurteilen. Bei Kindern und Jugendlichen werden Behandlungen vorwiegend ohne IDS geplant. Bei Erwachsenen können approximale Schmelzreduktionen auch zur Reduktion eines schwarzen Dreiecks eingesetzt werden.

9. Precision Cuts / Button-Cut-outs beurteilen. Kompatibliätsprobleme mit Attachments beachten. Precision Cuts und Buttons in ihrer unterschiedlichen Wirkung auf den Zahnbogen bzw. die Einzelzähne einschätzen.

10. Overtreatment. Insbesondere die Expansion, Torquebewegun gen und die Korrektur des tiefen Bisses erfordern die Übertreibung der Bewegung im Clin Check. Es gilt zu beachten, dass wir Kraftsysteme visualisieren und nicht Endpositionen.

Patientenführung nach standardisiertem Protokoll

Extern in der Patientenführung setzen wir auf ein partnerschaftliches Modell mit dem Patienten („Wir schaffen das gemeinsam“, „Wir steuern und Du/Sie gibst/geben Gas“ etc.) und insbesondere bei Kindern wird immer wieder die Wertigkeit der Behandlungsmethode betont, die somit die Wertigkeit des Patienten reflektiert („Das ist eine besondere Behandlungsmethode, weil du ein besonderer Patient bist.“). Jeder Fortschritt wird intensiv gelobt und bei jedem Kontrolltermin gegenüber den Eltern ein positiver Kommentar abgegeben („Das Vertrauen, dass Sie und ich in die Konsequenz Ihres Sohnes / Ihrer Tochter hatten, zahlt sich aus.“).

Während der Aligner-Eingewöhnungsphase erlauben wir dem Patienten, nach Zwischenmahlzeiten, z. B. in der Schule, mit Wasser auszuspülen (z. B. durch den Schluck aus der Trinkflasche) und die intensive Reinigung der Zähne und Aligner ausschließlich nach den Hauptmahlzeiten durchzuführen. Auch die empfohlene Vorgehensweise, bei Zwischenmahlzeiten die Aligner komplett im Mund zu belassen, war gerade in den Zeiten der Pandemie, als angeraten wurde, die Hände nur nach Desinfektion an den Mund zu führen, vorteilhaft für das Erreichen des täglichen Tragezeitziels.

Als Faustregel gilt: Ein Passungsproblem eines einzelnen Zahns assoziieren wir mit einer Fehlplanung der Retention unsererseits oder mit strengen Kontaktpunkten, welche die Kräfte des Aligners neutralisieren. Die Kontaktpunktprüfung mit Zahnseide und ggfs. die Politur des betreffenden Interdentalraums mit einem feinem Diamantstreifen gehört zum Standard der Kontrolluntersuchung. Eine Passproblematik einer gesamten Zahngruppe, wenn sich also ein Spalt zwischen Schiene und Inzisalkante der kompletten Front abbildet, wird regelmäßig mit mangelnder Tragezeit assoziiert und entsprechend gegenüber dem Patienten so kommuniziert. Bereits in der Aufklärung bei Behandlungsbeginn werden die Patienten auf die Kostenpflicht des zusätzlichen Schienensatzes in solch einem Fall aufgeklärt.

Vorbehandlung mit herausnehmbarer FKO-Apparatur …

Bei im Wachstum befindlichen Jugendlichen wird in unserer Praxis eine funktionskieferorthopädische Vorbehandlung mit herausnehmbaren Geräten wie Bionator, Twin-Block oder Vorschubdoppelplatte durchgeführt. Jeder erfahrene Kieferorthopäde wird die Mitarbeit in dieser Phase bewerten können – sei es durch die Bisslagenänderung und Verringerung des Overjets sowie anhand der vielen anderen, soften Faktoren wie deutliche Tragespuren am Gerät oder die Geschicklichkeit der Handhabung, die der Patient bei den Kontrollterminen demonstriert. Als Belohnung für diese gute Mitarbeit eröffnen wir dem Patienten und den Eltern nach der orthopädischen FKO-Phase die Möglichkeit, die orthodontische Phase der Behandlung mit Alignern anstatt mit festsitzenden Geräten durchzuführen. Dieses Vorgehen hat den unschätzbaren Vorteil, dass es eine Vorselektion von – die Compliance betreffend – besonders zuverlässigen Patienten für die Alignertherapie erlaubt.

… oder komplett mit Alignern

Sollte der Patient (und der Kieferorthopäde) allerdings bevorzugen, den gesamten Behandlungsverlauf der distalen Bisslage mit Alignern zu gestalten, so ist das mit in die Schiene integrierten Vorschubelementen möglich und Erfolg versprechend (wie bei Invisalign MA mit den Precision Wings). Das Standardprotokoll unserer Praxis sieht vor, dass die Precision Wings stets mithilfe intermaxillärer Gummizüge unterstützt werden. Diese werden von der palatinalen Fläche der oberen Eckzähne zur bukkalen Fläche des distalsten unteren Molaren geführt. Sollte die Platzierung von Ausschnitten für die Klebeknöpfchen an den unteren Molaren bukkal in der digitalen Planung nicht möglich sein, wird der Techniker gebeten, den Gingivarand in der distobukkalen Zahnhälfte um 1,5 mm anzuheben.

Frühbehandung mit Alignern

Eine besondere Situation stellt die Frühbehandlung von Patienten mit Alignern dar. Das therapeutische Spektrum von Frühbehandlungsalignern in unserer Praxis ist dabei schwerpunktmäßig und nach Häufigkeit sortiert:

  1. Die Platzgewinnung in der Stützzone
  2. Das Retrudieren von extrem proklinierten oberen Fronten und
  3. Die Korrektur des anterioren Kreuzbisses von Einzelzähnen.

Für die Korrekturen der distalen Bisslage warten wir das (optimalere) Zeitfenster des pubertären Wachstums ab. Die mesiale Bisslage mit skelettaler Ursache wird zwar im Rahmen einer Frühbehandlung, jedoch mithilfe von orthopädisch wirksamen Apparturen, wie der Delaire-Maske, therapiert. Transversale Diskrepanzen skelettalen Ursprungs werden mit der Hyrax-Apparatur behandelt. Bei diesen Formen der Malokklusion kommt – zumindest im Rahmen der Frühbehandlung – die Alignertherapie nicht zum Einsatz. Bei Mischformen, wie z. B. bei seitlichem Kreuzbiss in Kombination mit Platzmangel in der Stützzone, wird die skelettal wirksame Phase mit Hyrax mit einer nachfolgenden Alignerfrühbehandlung kombiniert.

Mögliche Herausforderungen der Alignerfrühbehandlung

Zum einen wird der Kieferorthopäde häufig mit verminderter Retention an den kurzen klinischen Kronen konfrontiert sein. Hierfür hat gerade das Invisalign First System durch die optimierten (aktivierten) Attachments eine Funktionalität, die in unserer Praxis gute Ergebnisse liefert. Zum anderen muss der Kieferorthopäde, will er ebenfalls mit möglichst wenigen Schienensätzen auskommen, eine besondere Sorgfalt bei der Planung und dem Timing an den Tag legen. Es gilt, die Verweildauer von Milchzähnen im OPG genau zu bestimmen, und manchmal macht es Sinn, die Exfoliation eines Milchzahns abzuwarten und die Behandlung mit Pontics für den Nachfolger zu planen.

Bei der Planung von Frühbehandlungen mit Alignern vermeiden wir – wenn möglich –, Milchmolaren zu bewegen. Die Bewegung eines Milchzahns beeinflusst nach unseren Erfahrungen den Durchbruchspfad seines Nachfolgers nicht signifikant, sodass wir die Milchmolaren eher als unbewegliche Verankerungseinheiten nutzen, um z. B. die Bewegung von bleibenden ersten Molaren zuverlässiger durchzuführen.

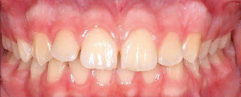
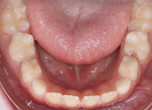
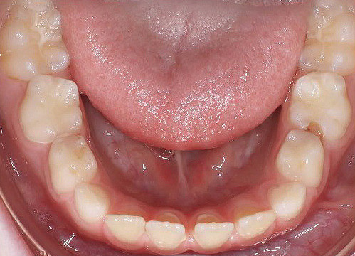
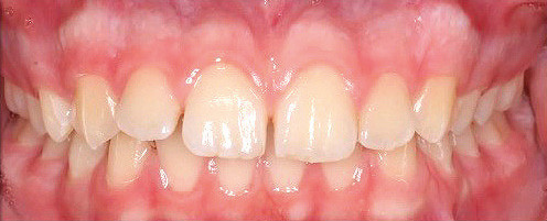
Klinisches Fallbeispiel 1 (Abb. 1a–u)

Neunjähriger Patient mit deutlich vergrößertem Overjet aufgrund eines Distalbisses in Kombination mit einer Protrusion der Oberkieferfront. Habits bzw. myofunktionelle Aspekte wurden adressiert. Die Behandlung erfolgte mit einem Invisalign-Schienensatz (56 Aligner) mit Precsion Wings im Rahmen einer Frühbehandlung zur Prophylaxe eines Frontzahntraumas.

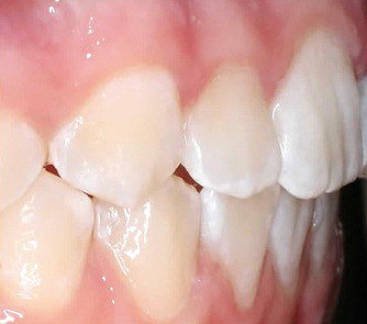
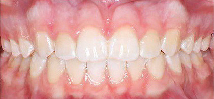
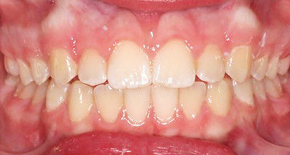
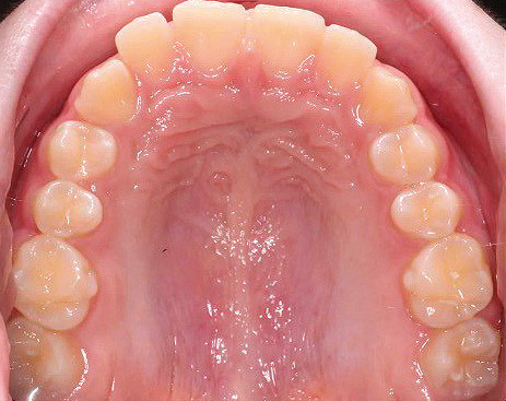
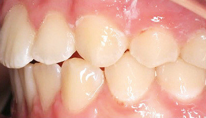
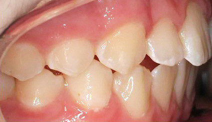
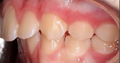
Klinisches Fallbeispiel 2 (Abb. 2a–y)

Distalbiss und tiefer Biss bei einem zwölfjährigen Mädchen. Die Behandlung erfolgte mit Invisalign und Precision Wings. Insgesamt waren zwei Schienensätze notwendig. Die Gesamtbehandlung dauerte 18 Monate.Bei der Planung des ClinCheck wurde der tiefe Biss vorwiegend über eine Intrusion der Unterkieferfront behoben, um die Lachlinie der Patientin nicht negativ zu beeinflussen. Die Oberkieferfront wurde nur retrudiert, jedoch vertikal nicht intrudiert. Während der Phase des Mandibular Advancement wurde die Wirkung der Precision Wings durch den Einsatz von Klasse II-Gummizügen unterstützt. Schlussendlich wurde auch der hängenden Okklusionsebene durch eine einseitige Intrusion der Molaren im ersten Quadranten Rechnung getragen.

Fazit

Rückblickend auf die Erfahrungen der letzten zehn Jahre mit der Alignertherapie können wir eine sehr positive Bilanz ziehen. Die Methode erfordert – wie jede andere auch – eine Lernkurve des Behandlers und des Teams, bietet unseren Patienten jedoch eine sehr ästhetische Korrekturmethode mit einem hohen Behandlungskomfort. Außer den in diesem Artikel beschriebenen skelettalen Behandlungsaufgaben schließen wir keine Malokklusion aus der Indikation für Aligner aus und haben insbesondere bei anterior/posterioren wie auch bei vertikalen Korrekturen sehr gute Erfahrungswerte. Schlussendlich möchten wir noch erwähnen, dass unsere Alignerpatienten begeisterte Multiplikatoren sind, die ihre positiven Erfahrungen – insbesondere den Behandlungskomfort betreffend – weitreichend kommunizieren und so das Wachstum der Praxis stärken.

Mehr Fachartikel aus Kieferorthopädie

ePaper