Kieferorthopädie 13.05.2022

Restaurative Zahnheilkunde als Teil eines interdisziplinären Behandlungskonzepts

Restaurative Zahnheilkunde als Teil eines interdisziplinären Behandlungskonzepts

Foto: Dr. Volker Breidenbach

Manche Behandlungssituationen gehen über die restaurative und die rein kieferorthopädische Behandlung hinaus. In diesen Fällen ist ein interdisziplinäres und eng abgestimmtes gemeinsames Vorgehen von verschiedenen Disziplinen notwendig, um Patienten bestmöglich behandeln zu können. Der folgende Beitrag stellt eine solche interdisziplinäre Zusammenarbeit anhand eines Fallbeispiels vor.

Interdisziplinäres Arbeiten mit Lotsen

Die kieferorthopädische Behandlung beschränkt sich heutzutage nicht nur auf die Behandlung von Kindern und Jugendlichen. Auch erwachsene Patienten prägen immer mehr das Patientenbild in der kieferorthopädischen Fachpraxis. Einfache Fälle – vor allem aus ästhetischen Gründen – werden dabei immer häufiger mit Alignern behandelt. Allerdings stoßen komplexe Ausgangsbefunde bei diesem Behandlungsinstrument schnell an ihre Grenzen. Das gilt insbesondere dann, wenn umfangreiche körperliche und spezielle Torquebewegungen einzelner Zähne erforderlich werden. Eine besondere Herausforderung stellt sich, wenn zur Erreichung eines individuell optimalen Behandlungsergebnisses ein abgestimmtes interdisziplinäres Vorgehen erforderlich ist.

Patientenfall

Die kieferorthopädische Behandlung erfordert oftmals ein interdisziplinäres Vorgehen zwischen dem Hauszahnarzt und dem Kieferorthopäden, um langfristig nachhaltige Behandlungsergebnisse zu erzielen. Damit dies erreicht werden kann, muss einer der behandelnden Zahnärzte – das kann sowohl der Kieferorthopäde als auch der Zahnarzt sein – die Rolle eines Lotsen einnehmen und den Behandlungsprozess koordinieren. Wie ein solches abgestimmtes Vorgehen erfolgen kann, soll im Folgenden verdeutlicht werden.

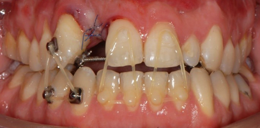
Ein 40-jähriger Patient stellte sich in der Praxis mit der Bitte um Korrektur seiner Zahnfehlstellung vor. Eine erste allgemeine Diagnostik zeigte, dass bis auf eine bestehende Hypertonie keinerlei Auffälligkeiten vorlagen. Extraoral zeigte sich ein konkaves Profil mit ausgeprägter Nasolabialfalte. Skelettal lag ein dolichofacialer Wachstumstyp mit mesial-basaler Kieferrelation vor. Dazu korrespondierend wies der Patient einen oberen Schmalkiefer mit deutlich verkürzter Front bei Nichtanlage von Zahn 12, Hypoplasie von Zahn 22 und Hochstand von Zahn 13, diverse Drehstände im Unterkiefer und einen frontal offenen Biss bei Mesialbiss um ca. ¼ PB und beidseitigem Kreuzbiss im posterioren Bereich auf.

Behandlungsverlauf

Das interdisziplinäre Behandlungskonzept sah eine präprothetische Lückenöffnung für Zahn 12, die Kronenverbreiterung von Zahn 22, die Einordnung von Zahn 13, das Schließen des offenen Bisses sowie die Überstellung des Kreuzbisses vor. Zur Ausformung der Zahnbögen wurde eine vollständig individuelle linguale Apparatur (WIN, DW Lingual Systems) eingefügt. Die transversale Nachentwicklung des Oberkiefers sollte mittels eines transpalatinalen Distraktors erfolgen. Im Rahmen des chirurgischen Eingriffs wurde der Zahn 13 durch Knochenschwächung mittels Piezochirurgie mobilisiert. Nach komplikationsbedingt vorzeitiger Entfernung des Distraktors wurde der Oberkiefer mit einer abnehmbaren Gaumennahterweiterungsapparatur nachentwickelt. Zur Lückenöffnung für Zahn 12 und zur Vertikalentwicklung von Zahn 13 wurde zunächst eine Locatelli-Feder eingefügt. Die weitere Ausformung der Zahnbögen erfolgte mit der üblichen Bogensequenz der Lingualapparatur. Nach der Lückenöffnung für Zahn 12 wurde ein Implantat (Roxolid, 2,9 mm, Straumann) inseriert. Zur perfekten Einstellung der oberen Incisivi wurde ein Stahlbogen mit Extratorque verwendet. Der frontal offene Biss konnte mittels intermaxillärer Gummizüge geschlossen werden. Vier Monate nach Insertion erfolgte bei noch laufender kieferorthopädischer Behandlung die Freilegung des Implantats mit Aufbringen der provisorischen Krone und Gingivaverlängerung an Zahn 12 sowie die Kronenverlängerung an Zahn 22. Nach einer Gesamtbehandlungszeit von 23 Monaten konnte die festsitzende Apparatur entfernt und die definitive Restauration eingefügt werden (Krone und Veneer aus Zirkonzahn Prettau Dispersive Zirkon, Farbe A2, Zirkonzahn). Das Behandlungsergebnis wird in der Ober- und Unterkieferfront mit geklebten Retainern dauerhaft stabilisiert. Zur Stabilisierung der Transversalen ist für ca. ein Jahr das nächtliche Tragen einer Schiene erforderlich.

Fazit

Die hohe Behandlungsqualität wird durch den Vergleich des geplanten Setups mit dem erreichten Behandlungsziel anhand der nach dem Behandlungsabschluss angefertigten Modelle noch einmal deutlich. Das vorliegende Behandlungsergebnis war in diesem Fall nur durch ein eng abgestimmtes und interdisziplinäres Vorgehen zwischen Kieferchirurgie, Kieferorthopädie, Implantologie und Prothetik und nicht zuletzt der außerordentlich guten Mitarbeit des Patienten möglich.

Autoren: Dr. Volker Breidenbach, Prof. Dr. Harald Eufinger, Stephan Uhlenbruch, Felix Rudolphi und Volker Brosch

Dieser Beitrag ist in der ZWP Zahnarzt Praxis Wirtschaft erschienen

Mehr Fachartikel aus Kieferorthopädie

ePaper