Kieferorthopädie 29.10.2021
Kombiniert parodontologisch-kieferorthopädische Behandlung
share
War die kieferorthopädische Behandlung lange Zeit meist auf die Prophylaxe und Korrektur von Zahnfehlstellungen bei Kindern und Jugendlichen beschränkt, so stellen heute interdisziplinäre Konzepte für Erwachsene einen immer größer werdenden Anteil innerhalb des Behandlungsspektrums von kieferorthopädischen Praxen dar. Die Kieferorthopädie dient hierbei oft als Schnittstelle zur Implantologie, Ästhetischen Zahnheilkunde, Prothetik oder Parodontologie. Im Folgenden wird ein klinischer Fall beschrieben, in dem eine Patientin mit parodontaler Vorschädigung mithilfe eines kombiniert parodontologisch-kieferorthopädischen Therapiekonzepts erfolgreich behandelt werden konnte.
Anamnese
Die am 22.3.1982 geborene Patientin befand sich seit dem 1.3.2017 in zahnärztlicher Behandlung in meiner Praxis. Die berufstätige und verheiratete Patientin gab an, an keiner Erkrankung zu leiden. Dennoch hatte sie das Gefühl, dass sie ihre Zähne verlieren würde, da diese immer größer wurden und zunehmend nach vorne wanderten. Es lagen keine Allergien vor. Die Patientin rauchte mindestens eine Schachtel Zigaretten pro Tag und war nicht bereit, das Rauchen aufzugeben. Sie störte sich an der Front der Zähne und wünschte sich die Entfernung aller Zähne und den Ersatz durch Implantate. Die Patientin war bereits länger nicht beim Zahnarzt gewesen und wurde daher von mir allgemeinzahnärztlich neu beurteilt. Sie hatte schon seit Jahren eine Zurückbildung des Zahnfleisches bemerkt, welches auch zunehmend stärker blutete. Zudem hatte ihr Mann einen unangenehmen Geruch bemerkt. In der Front wurde die Lücke zwischen den Frontzähnen immer größer, und sie hatte das Gefühl, dass die Zähne immer weiter nach vorne stünden. Bezüglich der Mundhygiene gab die Patientin an, sich zweimal täglich die Zähne zu putzen. Die Familienanamnese ergab, dass die Mutter der Patientin frühzeitig Zähne verloren hatte. Sie war ebenfalls Raucherin, woraus im Anschluss zur Befunderhebung geschlussfolgert werden konnte, dass es hier nicht nur zu einer aggressiven Keimverschiebung gekommen sein musste, sondern dass ein genetischer Faktor eine Rolle zu spielen schien.
Befunde
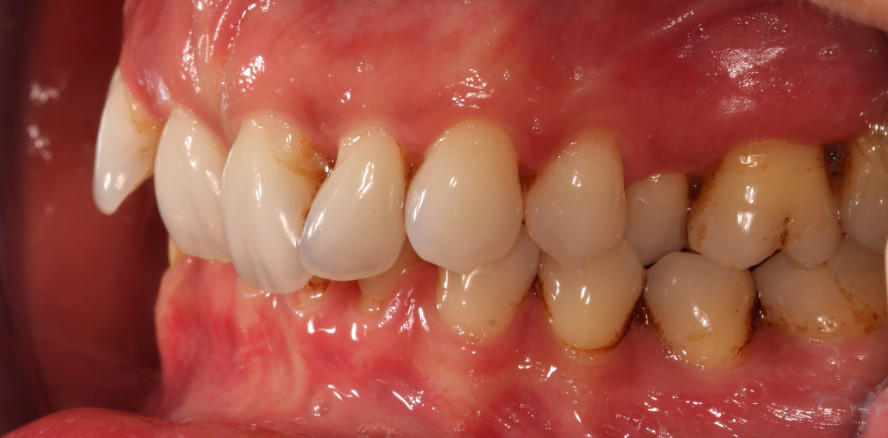
Der extraorale Befund war unauffällig. Es lagen keine Schwellungen oder Asymmetrien vor. Es handelte sich um ein parodontal erkranktes Gebiss. Weisheitszähne waren nicht vorhanden. Die Zähne wiesen Rotationen in beiden Kiefern auf. In der Front kam es infolge der parodontalen Erkrankung zu einem Flairing. Zudem hatten sich interdentale schwarze Dreiecke gebildet. Es zeigten sich deutliche Rezessionen im Front- und Seitenzahnbereich. Außerdem war ein leichter Foetor ex ore feststellbar. Was den dentalen Befund anbelangt, so handelte es sich um ein konservierend suffizient versorgtes Erwachsenengebiss mit multiplen Kompositfüllungen (an 17, 16, 15, 12, 22, 25, 26, 27, 37, 36, 35, 44, 45 und 47). Alle Zähne reagierten positiv auf den Kältetest. Die Zähne 14, 12–22, 24, 31–41 wiesen einen Lockerungsgrad I auf.
Die Mundhygiene der Patientin war nicht gänzlich suffizient. An vielen Zahnflächen waren weiche Beläge sowie Zahnstein sichtbar. Der BOP-Index (Bleeding on Probing) betrug 66 Prozent und der PCR (PlaqueControl Record1) 33 Prozent. Die Sondierungstiefen waren generalisiert erhöht, und es kam bei der Sondierung zu deutlichen Blutungen. Der PSI betrug „3–4“ in allen Sextanten. Der dentale Befund kann der Abbildung 1 entnommen werden. Der Fotostatus vom 1.3.2017 ist in Abbildung 2 dargestellt.
Aufgrund der ausgeprägten klinischen Befunde und der daraus resultierenden Notwendigkeit zur Behandlung wurde am 1.3.2017 eine Panoramaschichtaufnahme (Abb. 3) angefertigt. Die Füllungen zeigten röntgenologisch keine Randinsuffizienzen. Insgesamt lag ein fortgeschrittener, vorwiegend horizontaler Knochenabbau vor (Tab. 1). Der Knochenverlust dehnte sich bis ins mittlere Wurzeldrittel aus; im Oberkiefer-Frontzahnbereich sogar bis ins apikale Wurzeldrittel. Ein vertikaler Knochenabbau war in Regio 36, 44 und 46 angedeutet. Bereits am 1.3.2017 wurde ein erster, orientierender Parodontalstatus inklusive der Risikobewertung erhoben (Abb. 4–6). In über der Hälfte der sondierten Parodontien (66 Prozent) zeigte sich eine Blutung nach Sondierung. Es wurde eine Parodontitis, Stadium II–III (generalisiert II, lokalisiert III), Grad C, diagnostiziert.

Behandlungsplanung
Nach der Einzelzahnprognose hatten sämtliche Zähne (bei Komplettverzicht auf das Rauchen) eine gute bis (bei Weiterführung des Rauchens) mäßige Prognose (Tab. 2).2 Eine genaue Festlegung war wegen der unklaren Angabe der Patientin hinsichtlich ihres zukünftigen Rauchverhaltens nicht möglich. Die vorläufige Behandlungsplanung umfasste: parodontale Vorbehandlung inklusive Anleitung und Motivation zur effektiven Mundhygiene und professionellen Zahnreinigungen inklusive Keimtest; subgingivale Instrumentierung (SRP) aller Zähne mit ST ≥ 4 mm in einer Sitzung (innerhalb von 24 Stunden auch möglich)3 inklusive van-Winkelhoff-Cocktail (dreimal täglich 400 mg Metronidazol und 500 mg Amoxi für eine Dauer von sieben Tagen); Reevaluation drei Monate nach SRP; kieferorthopädische Therapie; konservierende Therapie zum Schließen der schwarzen interdentalen Dreiecke; parodontale Erhaltungstherapie. Die Patientin wurde vorab mittels Flyern von der Praxis und der DGParo über Parodontitis informiert und auf die Behandlung vorbereitet. Auch wurde sie darüber in Kenntnis gesetzt, dass eine kieferorthopädische Therapie die Zahnstellung und Länge der Zähne deutlich verbessern kann, jedoch erst nach Abschluss der parodontalen Behandlung. Die Patientin wurde über die Folgen einer kompletten Extraktion mit anschließender Implantation ausführlich informiert und entschied sich für die parodontologisch-kieferorthopädische Behandlung.

Initialtherapie
Beim ersten Besuch war die Mundhygiene der Patientin nicht ausreichend: Der PCR lag bei 33 Prozent und der BOP bei 66 Prozent. Folgende Maßnahmen wurden während der ersten Initialtherapie am 21.3.2017 durchgeführt: erneute Aufklärung über Ätiologie und Therapie der Parodontitis; Instruktion und Motivation zu effektiver Mundhygiene zunächst mit ihrer manuellen Zahnbürste mit der Bitte um Kauf einer elektrischen Zahnbürste bis zum nächsten Termin und der Empfehlung zur zusätzlichen Reinigung mittels Zahnseide, Interdentalbürstchen sowie einem Zungenreiniger; Keimtest; professionelle Zahnreinigung; Lokalfluoridierung. Beim zweiten Vorbehandlungstermin am 25.4.2017 wurden folgende Maßnahmen durchgeführt: erneute Instruktion und Motivation zu effektiver Mundhygiene; Besprechung des Keimtests; professionelle Zahnreinigung, durch welche bereits erreichbare subgingivale bakterielle Auflagerungen entfernt werden konnten.
Nichtchirurgische Parodontitistherapie
Die nichtchirurgische Parodontitistherapie und die Nachsorge wurden am 25.5.2017 wie folgt durchgeführt: subgingivale Instrumentierung aller Quadranten mittels Air-Scaler; Spülung mit Chlorhexidin 0,2 % und Einlage von Glucosite-Gel (CHX 1 % in Kombination mit H2O2) in die parodontalen Taschen; anschließende Spülung mit Chlorhexidin 0,2 %; Einlegen von Aureomycin-Salbe und Tupfer. Zur häuslichen Pflege wurde empfohlen, zweimal täglich mit CURASEPT zu spülen. Weiterhin wurde der van-Winkelhoff-Cocktail (dreimal täglich 400 mg Metronidazol und 500 mg Amoxi für eine Dauer von sieben Tagen) verschrieben. Bei der ersten Nachbehandlung nach 14 Tagen wurde mit CHX 0,2 % gespült und Glucosite-Gel in die parodontalen Taschen appliziert. Die Wundheilung verlief komplikationslos. Die Patientin gab an, nahezu kein Zahnfleischbluten mehr zu haben. Bei der zweiten Nachbehandlung nach vier Wochen in allen Quadranten wurden die gleichen Maßnahmen ergriffen. Die Patientin war mit der entzündungsfreien Situation sehr zufrieden. Der Reevaluationsbefund inklusive Risikobewertung im Anschluss zur nichtchirurgischen Therapie wurde am 11.9.2017 erhoben (Abb. 7–9). Die Mundschleimhäute zeigten eine entzündungsfreie, klinisch gesunde marginale Gingiva. Die parodontale Situation hatte sich verbessert, jedoch war die für die Patientin störende Rezession nach wie vor evident. Relevante klinische Entzündungszeichen, wie etwa Blutung nach Sondierung, war fast gänzlich verschwunden. Die Sondierungstiefen hatten sich reduziert. Der BOP-Index betrug 13 % und der PCR 13 %. Die kieferorthopädische Behandlung konnte wie geplant beginnen. Aufgrund der Parodontitisrisikobeurteilung vom 11.9.2017 wurde das UPT-Intervall auf vier Termine pro Jahr festgelegt.4
Kieferorthopädische Therapie
Die kieferorthopädische Behandlung des Oberkiefers begann am 18.9.2017. Eine Behandlung des Unterkiefers war nicht gewünscht. Es wurden selbstligierende Brackets aus Keramik eingesetzt, und die Patientin wurde über die zusätzlich notwendigen Hygienemaßnahmen aufgeklärt. Die Bogenfolge wurde alle acht Wochen wie folgt festgelegt: 0.14 NiTi, 0.16 NiTi, 0.18 NiTi, 0.20 NiTi, 0.20 Stahl. Es wurden keine Vierkantbögen verwendet, um einem übermäßigen Wurzeltorque zu verhindern. Abbildung 10 zeigt die Situation zu Beginn der kieferorthopädischen Behandlung. Abbildung 11 zeigt den Behandlungserfolg der Intrusion nach drei Monaten. Am 5.6.2018 wurde die kieferorthopädische Behandlung beendet. Die Brackets wurden entfernt und die Zähne professionell gereinigt. Nach der Behandlung waren nach wie vor interdentale schwarze Dreiecke zu erkennen, die mittels Kompositrestauration verschlossen werden sollten. Abbildung 12 zeigt die Situation vor der Restauration mit Komposit. Die Front wurde erfolgreich intrudiert.
Approximale Verbreiterung und Kontrolltermine
Die Front wurde am 13.6.2018 im Ober- und Unterkiefer mittels direkter Kompositrestauration verbreitert, und die interdentalen Dreiecke wurden so erfolgreich geschlossen. Hier wurde darauf geachtet, dass die Reinigungsmöglichkeit mit Interdentalbürstchen weiterhin gegeben ist. Die Zähne wurden mit 38 % Ätzgel konditioniert, gebondet und mit Komposit versorgt. Anschließend erfolgte die Politur mit Greenies und Brownies. In den Abbildungen 13 und 14 ist die Verbreiterung und die Situation nach abschließender Politur zu erkennen. Aufgrund der ausgeprägten Behandlung mit Multiband und des bereits erfolgten Knochenabbaus durch die Parodontitis wurde am 19.3.2019 eine erneute Panoramaschichtaufnahme angefertigt (Abb. 15). Die parodontale Situation war laut Knochenverlauf stabil. Die vertikal beginnenden Defekte in Regio 36, 44 und 46 waren nicht mehr zu erkennen. Weiterhin gab es auch nach kieferorthopädischer Behandlung keine auffälligen röntgenologischen Befunde. In der Front konnte durch die Intrusion ein Knochengewinn beobachtet werden. Die Situation beim Kontrolltermin am 8.7.2019 war stabil, auch wenn die Patientin nach wie vor keine Anstrengungen hinsichtlich der Rauchentwöhnung unternommen hatte (Abb. 16).
Epikrise und Prognose
Aufgrund der klinischen und röntgenologischen Befunde sowie des Alters der Patientin lautete die Diagnose „Parodontitis, Stadium II–III, Grad C“. Die Einstufung erfolgte auf Grundlage der neuen Klassifikation und des Konsensus-Reports von Papapanou, Sanz und Jespen und Caton.5,6 Das Staging wurde als Stadium II–III eingestuft, da die maximalen Sondierungstiefen > 5 mm waren und der Knochenabbau bis ins mittlere oder apikale Wurzeldrittel fortgeschritten war.5,6 Jedoch konnte kein Zahnverlust durch die Parodontitis festgestellt werden, was wiederum eher für das Staging II sprach. Des Weiteren konnte kein direkter vertikaler Knochenverlust von > 3 mm festgestellt werden. Das Grading wurde mit C festgelegt, da eine schnelle Progressionsrate vorlag und die parodontale Destruktion die Erwartung angesichts der Biofilmanlagerung übertraf. Zudem war die Patientin weiterhin Raucherin. Der genaue Zeitpunkt des Erstauftretens der Parodontitis war nicht zu ermitteln, und es konnte nicht beurteilt werden, wie schnell es zu dem Abbau gekommen war. Da die Patientin noch keinen Zahn verloren hatte, konnte man von einer schnellen Progredienz und einem akuten Geschehen ausgehen. Aufgrund der klinischen Diagnose wurde gemäß der gemeinsamen Stellungnahme der DGZMK und der DGP eine weiterführende mikrobiologische Diagnostik durchgeführt,7 bei der sowohl Anaeorbier wie auch Aerobier (Tf, Pg, Td, Aa) festgestellt werden konnten. Drei Monate nach der nichtchirurgischen Parodontitistherapie kam es zu einer deutlichen Reduktion der Sondierungstiefen durch Bildung eines breiten Saumepithels und zum Rückgang der klinischen Entzündungszeichen. Im Oberkiefer war durch die Retrusion und Intrusion eine deutliche Verbesserung der Ästhetik zu erkennen. Durch die approximale Verbreiterung der Interdentalräume wurde ein äußerst gutes Ergebnis erzielt, und die Hygienemöglichkeiten für die Patientin blieben erhalten. Die Patientin wird alle vier Monate im Rahmen einer unterstützenden Parodontitistherapie weiterbehandelt.
Die Prognose der jetzigen Situation ist unklar, da nicht gesagt werden kann, wie sich das weitere Rauchverhalten auf die orale Gesundheit der Patientin auswirkt. Die Patientin ist mit dem Behandlungsergebnis sehr zufrieden. Die Stabilität des erreichten parodontalen Status wird wesentlich von der individuellen Mundhygiene sowie der Regelmäßigkeit der Teilnahme an der unterstützenden Parodontitistherapie abhängen.8
Der Beitrag ist in ZWP Zahnarzt Wirtschaft Praxis erschienen.