Parodontologie 07.08.2020

Schwere Parodontalerkrankungen: Klinische Behandlungskonzepte



Schwere Parodontalerkrankungen: Klinische Behandlungskonzepte

Für Patienten ist der Verlauf einer Parodontitis über viele Jahre asymptomatisch und wird oftmals erst bei einer funktionellen Beeinträchtigung wahrgenommen. Daher steht zu Therapiebeginn die funktionelle Rehabilitation im Vordergrund. Die zentrale Frage „Zahnerhalt oder Extraktion“ wird dem parodontologisch kompromittierten Patienten häufig zu früh gestellt und sollte auch im Hinblick auf eine implantologische Versorgung eher defensiv behandelt werden. Im vorliegenden Beitrag sollen anhand unterschiedlicher parodontaler Ausgangssituationen die Möglichkeiten und Grenzen der Parodontitistherapie im Hinblick auf eine langfristige prothetische Rehabilitation gezeigt werden.

Die systematische Parodontitistherapie erfordert besonders in stark kompromittierten Situationen ein interdisziplinäres Behandlungskonzept. Bei der ersten Falldokumentation werden die Grenzen des Zahnerhalts aus parodontologischen Gesichtspunkten erläutert und der „Erfolg“ einer implantatgetragenen Restauration über einen fünfjährigen Zeitraum dokumentiert. Anhand der zweiten und dritten Patientendokumentation werden mögliche Indikationen für einen Erhalt bzw. eine Extraktion diskutiert.

Fall 1

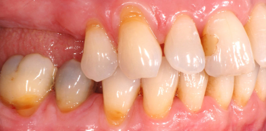
Ein 59-jähriger allgemeinmedizinisch gesunder Patient stellte sich mit dem Wunsch nach einer funktionellen Rehabilitation vor. Zum Zeitpunkt der Erstvorstellung lag eine parodontal kompromittierte Situation vor, die durch einen hohen konservierenden Restaurationsgrad flankiert wurde. Im Ober- und Unterkiefer lag ein horizontaler Knochenverlust von 50 bis 70 Prozent an den einwurzeligen und von 50 bis 80 Prozent an den mehrwurzeligen Zähnen vor. Die parodontale Situation der Molaren und Prämolaren wurde neben erhöhten Sondierungstiefen (ST) von Furkationsbeteiligungen (Grad II bis III) und Lockerungsgraden (II bis III) dominiert (Abb. 1 und 2). Anhand der neuen Klassifikation lag ein Parodontitis Stadium III, Grad B vor.1, 2

Der Behandlungsplan sah folgende Schritte vor:

  • antiinfektiöse Therapie mit Extraktion der Zähne 16, 15, 14, 26, 27, 37, 36, 46, 47 – die geschlossene Zahnreihe sollte, wenn möglich, immer erhalten bleiben. In dieser Situation waren die Molaren im Unterkiefer und zweiten Quadranten von tiefer Wurzelkaries sowie Karies im Furkationsbereich befallen und konnten trotz Therapieversuchen nicht erhalten werden.
  • Reevaluation des parodontalen Befundes nach drei und sechs Monaten vor Beginn der implantologischen Behandlungsphase
  • Implantation in regio 16, 14, 26, 36 und 46 und prothetische Versorgung (Abb. 3 und 4)

Implantatprothetische Versorgung

Nach einer Abheilungsphase von sechs Monaten konnte der Patient unter Vermeidung von augmentativen Maßnahmen implantologisch versorgt werden. Unter Umgehung einer Sinusbodenaugmentation – aber unter Abwägung des höheren Risikos für kurze Implantate – wurde im ersten Quadranten in Regio 16 ein Implantat mit einer Länge und einem Durchmesser von 6 mm inseriert. Die Durchmesser der restlichen Implantate lagen zwischen 3,5 mm und 4 mm bei einer einheitlichen Länge von 10 mm.

Kontrolle nach vier Jahren Funktionszeit

Im Zuge der Funktionszeit nahm der Patient regelmäßig an der unterstützenden Parodontitistherapie (UPT) teil und zeigte im Hinblick auf die häusliche Mundhygiene eine sehr gute Compliance. Es stellt sich nach der prothetischen Versorgung ein Knochenremodeling an allen Implantaten zwischen 0,5 mm und 1 mm ein (Abb. 5). Der Sondierungsbefund an den Implantaten lag zwischen 3 mm und 5 mm. Seiten, die positiv auf Bleeding on Probing (BOP) reagierten, wurden regelmäßig in der UPT mit Pulver-Wasserstrahl-Anwendung submukosal behandelt. Im Verlauf der vierjährigen Tragezeit zeigten sich technische Komplikationen an den okklusal verschraubten Suprakonstruktion 26, 36 und 46. Neben Keramikfrakturen (Lithiumdisilikat) konnte eine Dezementierung der Keramikkrone von der Klebebasis beobachtet werden (Abb. 6). Dies kann in der verhältnismäßig geringen Aufbauhöhe der Klebebasis zur Kronenhöhe begründet sein.

Diskussion

Durch die geschlossene Zahnreihe hätte die Ausgangslage nicht besser sein können. Leider ist es auch in diesen Situationen nicht immer möglich, alle Zähne zu erhalten. Gerade, wenn einige Zähne nicht erhaltungswürdig sind, sollten im Hinblick auf den Langzeiterfolg möglichst keine Kompromisse eingegangen werden. Dies führt dazu, dass Zähne mit erhöhten ST in direkter Nachbarschaft zu später eingebrachten Implantaten eher entfernt werden. Häufig müssen bei diesen Behandlungsplänen „nur“ die Molaren entfernt werden, da die Front im Ober- sowie Unterkiefer gut mit Glasfaserbändern geschient werden kann – sofern es notwendig ist. Für den Patienten im vorliegenden Fall bedeutete die Versorgung, dass er nach den Extraktionen kein Provisorium benötigte sowie sein äußeres Erscheinungsbild beibehielt. Durch die Vermeidung eines zahngetragenen und herausnehmbaren Zahnersatzes konnten zudem die Zähne geschont werden.

Fall 2

Zum Zeitpunkt der Behandlungsübernahme war die Patientin 57 Jahre alt. Aufgrund eines Herzinfarkts war sie seit fünf Jahren (nach ca. 25 Jahren) Nichtraucherin. Die Patientin war medikamentös mit einer dualen Thrombozytenaggregation (ASS, Clopidogrel) eingestellt. Grund der Vorstellung und ihr Hauptanliegen war neben dem Zahnerhalt eine festsitzende Versorgung der Freiendsituation. Zum Zeitpunkt der Erstvorstellung lag eine konservierend parodontal und prothetisch insuffizient versorgte Gebisssituation vor (Abb. 7).

Anfangsbefund zu Beginn der antiinfektiösen Therapie

Im Oberkiefer liegt ein vorwiegend horizontaler Knochenverlust von 20 bis 30 Prozent an den einwurzeligen bzw. ein Knochenverlust von 50 bis 70 Prozent an den mehrwurzeligen Zähnen vor. Zahn 24 zeigte einen vertikalen Einbruch. Im Unterkiefer wiesen die Zähne 35 und 45 einen vertikalen Knocheneinbruch auf. Die Zähne 46 und 47 hatten Aufhellungen in der Bifurkation.

Klinisch zeigten die Prämolaren Lockerungsgrade II bis III, welche auf den Stützzonenverlust im ersten und dritten Quadranten zurückzuführen waren. Zahn 24 wies neben dem Lockerungsgrad auch einen Furkationsgrad III auf (Abb. 8).

Parodontale Diagnosen

Entsprechend der aktualisierten Klassifikation wurden nach Beurteilung der vorliegenden parodontalen Befunde folgende Diagnosen gestellt:

  • lokalisierte moderate bis schwere chronische Parodontitis (Staging III, Grading B)
  • sekundär okklusales Zahntrauma an den endständigen Prämolaren infolge einer prothetisch insuffizienten Versorgung

Vorläufige prognostische Einschätzung

Gemessen an dem prozentualen Attachmentverlust wies lediglich der Zahn 47 aufgrund der elongierten Position eine hoffnungslose Prognose auf. Die Zähne 24 und 46 wiesen durch den Furkationsgrad III eine fragliche Prognose auf, ebenso wie Zahn 35 aufgrund des Lockerungsgrads III und fortgeschrittenen Attachmentverlusts (Abb. 9). Die Behandlungsplanung sah vor, dass durch eine systematische Parodontistherapie das Fortschreiten des parodontalen Erkrankungsbilds gestoppt werden soll. Neben einem regenerativen Therapieverfahren (GTR 35 und 45) war eine festsitzende Versorgung der einseitigen Freiendsituationen im Ober- und Unterkiefer vorgesehen (Abb. 10).

Die Planung sah folgende Schritte vor:

  • antiinfektiöse Therapie mit paro- dontaler Schienung an Zahn 35 und Extraktion des Zahnes 47
  • Extraktion des Zahnes 24
  • regenerative Parodontalchirurgie Regio 45 und Tunnellierung von Zahn 46
  • regenerative Parodontalchirurgie Regio 35 mit Implantation Regio 36
  • Implantation Regio 15 und 24
  • implantatprothetische Versorgung Regio 15, 24 und 36

Diskussion

Nach Abschluss der antiinfektiösen Therapie zeigte sich Zahn 24 weiterhin ohne Besserung. Durch den erhöhten Lockerungsgrad bereitete Zahn 24 der Patientin tägliche Beschwerden, sodass die Extraktion empfohlen wurde. Durch den Furkationsbefall und, wie bei Prämolaren typisch, großen Attachmentverlust konnte nicht von einer Verbesserung der Situation durch einen chirurgischen Eingriff ausgegangen werden. Um die Anzahl der Implantate möglichst gering zu halten, wurde das Konzept der verkürzten Zahnreihe angewendet und nur zahnlose Bereiche versorgt. Aufgrund des Knochenverlusts wurde Zahn 24 mit einem Implantat und nicht mit einer Brücke versorgt.3 Das anfängliche Recallintervall von drei Monaten wurde im Verlauf auf zweimal jährlich verlängert.

Fall 3

Eine 51-jährige anamnestisch unauffällige Patientin stellte sich mit der Sorge vor einem spontanen Zahnverlust vor. Zu diesem Zeitpunkt lag eine konservierend und prothetisch insuffizient versorgte Gebisssituation vor. Eine Parodontitistherapie wurde bisher nicht durchgeführt. Die Patientin gab an, zeitlebens Nichtraucherin gewesen zu sein. Zahn 42, Grund der Vorstellung, wies einen Mobilitätsgrad III mit vertikaler Komponente auf. Zahn 46 zeigte ebenfalls einen Mobilitätsgrad III mit einer Furkationsbeteiligung Grad III. Die Reaktion auf den Kältetest fiel an beiden Zähnen negativ aus. Im Ausgangsbefund betrug der Anteil der ST von ≥ 6 mm 30 Prozent. Neben einer deutlich geröteten und ödematös geschwollenen Gingiva wiesen multiple Stellen (Regio 15, 26, 36, 42) Suppurationszeichen auf. Es konnten harte und weiche Beläge in supra- und subgingival-Bereichen identifiziert werden, die mit einer ausgeprägten parodontalen Entzündungssituation assoziiert waren (Abb. 11). Unter Verwendung der neuen Klassifikation von Parodontalerkrankungen lag eine Parodontitis Stadium III, Grad A vor.

Klinischer Befund (November 2014)

Der Einzelfilmstatus zeigt im Oberkiefer einen generalisierten horizontalen Knochenverlust zwischen 30 und 90 Prozent. Zudem zeigen die Zähne 26 und 27 intraradikuläre Aufhellungen im Sinne einer Furkationsbeteiligung auf. Zahn 15 zeigt mesial einen vertikalen Knochendefekt mit Konkrementbildung. Im Unterkiefer liegt ein generalisierter Knochenverlust zwischen 10 und 50 Prozent vor, welcher zusätzlich von vertikalen Knochendefekten an den Zähnen 37, 35, 42 und 46 geprägt wird. Zahn 42 zeigt an der mesialen Wurzelfäche einen 100-prozentigen Knochenverlust mit apikaler Aufhellung auf. Furkationsbeteiligungen bestanden an den Zähnen 37 und 46 (Abb. 12).

Parodontale Diagnosen

Entsprechend der Klassifikation der American Academy of Periodontology4 wurde nach Beurteilung der vorliegenden Befunde folgende Diagnosen gestellt:

  • schwere generalisierte chronische Parodontitis (neue Klassifikation Stadium III, Grad C)
  • Paro-Endo-Läsion an Zahn 46
  • Endo-Paro-Läsion an Zahn 42

Vorläufige prognostische Einschätzung

Zahn 42 wurde aufgrund des bis zum Apex reichenden Attachmentverlusts als hoffnungslos eingestuft. Die Zähne 26, 27 und 46 wurden aufgrund der Furkationsbeteilung und des schwere Attachmentverlusts als fraglich eingestuft. Die initial gestellte hoffnungslose Prognose des Zahnes 42 bedeutete in diesem Fall nicht zwangsläufig die Extraktion, sondern orientierte sich im Wesentlichen am Erfolg der antiinfektiösen Behandlung (Abb. 13).

Die Planung sah folgende Schritte vor:

  • parodontale Vorbehandlung (Hygienephase, parodontale Schienung und endodontische Vorbehandlung der Zähne 42 und 46)
  • antiinfektionöse Behandlung (Scaling and Root Planing mit adjuvanter Antibiotikagabe)

Parodontale Vorbehandlung

Zunächst wurde der Patientin die Etablierung einer optimalen Mundhygiene demonstriert (modifizierte Bass-Technik, Interdentalbürsten). Vor Beginn der endodontischen Therapie wurden die Zähne 42 und 43 mit Adhäsivtechnik und einem Glasfaserband primär verblockt. Die endodontische Therapie an Zahn 46 erfolgte ohne primäre Verblockung (Abb. 14).

Konservative Parodontitistherapie

Die nichtchirurgische Parodontalbehandlung erfolgte mit Gracey-Küretten und Schallscalern in zwei Sitzungen innerhalb von 24 Stunden. Nach Abschluss des zweiten Termins wurde der Patientin die Kombination aus 500 mg Amoxicillin und 400 mg Metronidazol dreimal täglich für sieben Tage verordnet (van-WinkelhoffCocktail).5

Erste Reevaluation (drei Monate)

Innerhalb des ersten Reevaluationszeitraums konnte der Anteil der ST von ≥ 6 mm von 30 auf 13 Prozent reduziert werden. Die im Ausgangsbefund dokumentierten Lockerungsgrade waren an allen Zähnen rückläufig und lagen bei maximal Grad I. Durch eine Wiederholung der nichtchirurgischen Behandlung in den Bereichen mit einer ST von 4 mm bis 6 mm konnte eine weitere Reduktion während des zweiten Reevaluationszeitraums erzielt werden.

Nach Abschluss der nichtchirurgischen Therapiephase wurden folgende Therapieschritte eingeleitet: 

  • endodontische Revision der Zähne 24, 26
  • Teilresektion und Tunnelierung von Zahn 26
  • Sinusbodenaugmentation Regio 16 und parodontale Regeneration an Zahn 15
  • prothetische Versorgung der Zähne 24, 25 und 26
  • Implantation Regio 16 und implantatprothetische Rehabilitation

Die antiinfektiöse Therapie wurde während der chirurgischen Phase behandlungsbegleitend in einem dreimonatigen Intervall weiter fortgeführt.

Parodontale Verlaufskontrolle

Während der chirurgischen Therapiephase wiesen die Stellen mit initial infraossären Komponenten physiologische ST auf. Der ehemals vertikale parodontale Defekt an Zahn 15, der im Rahmen der Sinusbodenaugmentation regenerativ behandelt wurde, zeigte klinisch unauffällige ST und keine Entzündungszeichen. Die Bereiche 33 und 36 zeigten radiologisch ebenfalls Konsolidierungszeichen der ehemals vertikalen Defekte (Abb. 15). Zwölf Monate nach Beginn der endodontischen und der antiinfektiösen Therapie zeigte der radiologische Verlauf Mineralisationszeichen im Bereich der ehemaligen parodontalen und endodontischen Defekte der Zähne 42 und 46 (Abb. 16).

Vorläufiger Abschlussbefund

In der 27-monatigen aktiven Therapiephase konnte die parodontale Situation zunehmend stabilisiert werden. Lokalisiert bestanden noch residuale STs von 4 mm und 5 mm an Zahn 27. Die Grad III-Furkation an den Zähnen 26 und 46 waren tunneliert und wurden durch die Patientin mit Interdentalbürsten gereinigt (Abb. 17). Die Einzelzahnprognosen konnten durch die parodontalen und endodontischen Maßnahmen im Zuge der aktiven Therapiephase verbessert werden (Abb. 18). Die Weiterführung der parodontalen Erhaltungstherapie wurde nach Abschluss der aktiven Behandlung in einem dreimonatigen Intervall vorgenommen.

Diskussion

Der Erhalt primär hoffnungsloser Zähne ist häufig sehr Erfolg versprechend, sofern keine akuten Schmerzen bestehen. Zähne mit Attachmentverlust, aber ohne erhöhte Taschensondierungstiefen in direkter Nachbarschaft zu Implantaten, helfen, Extraktionen zu vermeiden. Gerade Unterkieferfrontzähne lassen sich durch Endodontie und Schienung ohne Komplikationen erhalten. Auch Furkationsbefall und Knochenverlust bis zum Apex sind je nach Situation kein direkter Extraktionsgrund.7, 8

Fazit

Die vorgestellten Fallpräsentationen zeigen deutlich, dass ein strukturiertes und interdisziplinäres Vorgehen besonders bei parodontal kompromittierten Patienten erforderlich ist. Es kann festgehalten werden, dass sich anfänglich als fraglich eingestufte Zähne im Verlauf der antiinfektiösen Therapie stabilisieren und sich ihre Prognose verbessert. Besonders bei Parodontitispatienten steht der maximale Zahnerhalt im Vordergrund. Eine geschlossene Zahnreihe sollte, wenn möglich, immer erhalten werden. Notwendige Extraktionen sollten daher erst nach der Reevaluation erfolgen. Es zeigt sich, dass für die Therapie dieser Patienten oft ein Handeln und Einbeziehen aller zahnmedizinischer Fachdisziplinen für ein erfolgreiches Konzept unumgänglich ist. Abschließend kann die Implantattherapie bei stabilen Parodontitispatienten als eine ergänzende Möglichkeit mit gut prognostizierbaren Ergebnissen bewertet werden. Darüber hinaus kann die Implantattherapie dazu beitragen, Zähne langfristig zu erhalten, wenn auf zahngetragenen Zahnersatz verzichtet werden kann.

Literaturliste

Der Beitrag ist in ZWP Zahnarzt Wirtschaft Praxis erschienen.

Foto Teaserbild: Autoren

Mehr Fachartikel aus Parodontologie

ePaper