Kieferorthopädie 12.06.2019

Effektive, mitarbeitsunabhängige Therapie von Klasse II-Malokklusionen



Effektive, mitarbeitsunabhängige Therapie von Klasse II-Malokklusionen

Festsitzende intermaxilläre Apparaturen zur Korrektur dentaler und skelettaler Klasse II-Fehlstellungen sind heutzutage zahlreich am Markt vertreten. Sie agieren völlig unabhängig von der Compliance des Patienten und zeichnen sich durch unterschiedliche Designs aus. Seit mehreren Jahren zählt auch der GoTo1® Klasse II-Korrektor der Firma Leone zu den weltweit erfolgreich eingesetzten Therapiegeräten. In 2018 stellte der italienische Dentalanbieter eine neue, modifizierte Version seiner bewährten Apparatur vor.

Einleitung

Klasse II-Malokklusionen zu korrigieren stellt für Kieferorthopäden aufgrund der komplexen und multifaktoriellen Ätiologie immer wieder eine Herausforderung dar (Singh et al. 20181). Zu den nicht operativen Klasse II-Behandlungsoptionen zählen der extraorale Headgear, funktionelle Geräte sowie festsitzende Apparaturen (Bohlin et al., 20082; AAPD, 20143).

Es ist bemerkenswert, dass die „Guideline on Management of the Developing Dentition and Occlusion in Pediatric Dentistry“3 als Faktoren, die bei der Planung der kieferorthopädischen Behandlung in Betracht gezogen werden müssen, auch die Wichtigkeit der erwarteten Mitarbeit des Patienten, Verankerungsanforderungen und die Wünsche der Patientin/des Patienten und dessen/deren Eltern aufzählt. Wie wichtig die Mitarbeit von Eltern und Patienten ist, zeigte sich auch im Rahmen einer Kurzprüfung der Literatur. Es stellt sich nämlich so dar, dass behandelnde Mediziner von Problemen bei der Erreichung der geplanten Behandlungsergebnisse berichteten, die auf der mangelnden Mitarbeit der Patientin/des Patienten beruhen, insbesondere bei extraoralen Apparaturen (DeVincenzo et al. 19974) und bei Einsatz von Gummizügen (Maltoni et al. 20145, 6).

Der steigende Bedarf an Non-Compliance-Behandlungen führt dazu, dass mehr und mehr Kieferorthopäden bei vergleichbarem Schwierigkeitsgrad der Malokklusion auf festsitzende intermaxilläre Apparaturen zurückgreifen, die ein vorab festgelegtes Maß an Kraft ausüben, um die Unterkieferentwicklung entsprechend zu stimulieren. Laut Literaturangaben stellen sich die Eigenschaften einer idealen festsitzenden intermaxillären Apparatur wie folgt dar: die Unabhängigkeit von der Patientenmitarbeit, vollständige Kontrolle über und Einfluss auf die Behandlung, ästhetische Vertretbarkeit, Bruchfestigkeit, Vermeidung von Gewebeirritationen, kurze Behandlungsdauer, Ermöglichung einer guten Mundhygiene, leichtes Einbringen der Apparatur, geringe Kosten, minimale Erforderlichkeit der Lagerhaltung für den Kieferorthopäden (DeVincenzo 19974; Sing et al. 20182).

Um dem Kieferorthopäden all diese Vorteile von mitarbeitsunabhängigen, festsitzenden Apparaturen für die Behandlung von Klasse II-Malokklusionen bieten zu können, wurde vor einigen Jahren der patentierte Klasse II-Korrektor GoTo1® (Fa. Leone, Vertrieb DE über dentalline) auf den Markt gebracht. Dieser verbessert die mechanischen Eigenschaften bekannter Klasse II-Korrektoren und konnte bereits deutliche, klinisch umfassend bewiesene Ergebnisse erzielen (DeVincenzo, 19974). In der neuen Geräteversion aus dem Jahr 2018 wurden der Bewegungsfluss sowie die Kraft des Teleskopmechanismus weiter verbessert.

Apparatureigenschaften

Der Klasse II-Korrektor GoTo1® besteht aus einem Kolbenelement und einem Zylinder aus medizinischem Edelstahl (Abb. 1). Er weist einen Gesamtdurchmesser von 3 mm auf und ist damit im Vergleich zu anderen am Markt befindlichen Geräten weniger klobig. Neben genannten Komponenten enthält die entsprechende Packung zudem einen in einer Kugel endenden Draht zur Befestigung in der distalen Molarenposition.

Die Hauptverbesserungen im Vergleich zur früheren Apparaturversion sind u. a. die Verwendung eines Tubes mit vergrößertem Innendurchmesser zur Realisierung einer sanfteren, fließenderen Bewegung des inneren Kolbenelements im Röhrchen. Neu ist zudem die Verwendung eines Gehäuses (Abb. 1e), wodurch die Dicke des Tubes erhöht (Abb. 1b) und somit die allgemeine Resistenz des Geräts gesteigert wird.

Das aktive Element des GoTo1® ist die offene NiTi-Spiralfeder-MEMORIA® (200 g), deren superelastisches Verhalten die Übertragung konstanter und leichter Kräfte ermöglicht, womit eine kontinuierliche und kontrollierte biomechanische Wirkung sichergestellt wird, die das Mandibularwachstum entsprechend fördert. Die MEMORIA®-NiTi-Feder befindet sich im geschlossen Kolbensystem, wodurch die Einlagerung von Essensresten von vornherein vermieden und somit eine gute Mundhygiene ermöglicht wird.

Für die Verankerung des Kolbenelements im Unterkiefer sind zwei Varianten verfügbar: mit anteriorer Öse oder mit anteriorem Haken (Abb. 2). Was den Oberkiefer betrifft, verfügt der Zylinder über einen rotierenden Scharnierring, der eine sichere, leichte und stabile Verankerung sowohl in der mesialen als auch der distalen Position des oberen Molarentubes ermöglicht. Bei Anwendung in der mesialen Position kann die Platzierung an einem direkt geklebten Single-Tube erfolgen, während bei Nutzung in der distalen Position ein Molarenband erforderlich ist (Abb. 3).

Um eine höhere Flexibilität bei der Verankerung zu ermöglichen, sind beide Varianten (mit anteriorer Öse oder mit anteriorem Haken) jeweils in drei Größen verfügbar: extra-kurz, kurz sowie lang (Abb. 4). Zur Ermittlung der korrekten GoTo1®-Größe kann wie folgt vorgegangen werden. Es ist die Strecke vom Verankerungspunkt des Oberkiefers (mesial oder distal des Molarenröhrchens) bis zum Mittelpunkt zwischen dem unteren Eckzahn und unteren ersten Prämolaren zu ermitteln. Alternativ, wie in Abbildung 5 dargestellt, kann eine spezielle Messschablone (welche ausschließlich im Klasse II Korrektor-Kit enthalten ist) verwendet werden. Mit deren Hilfe lässt sich unmittelbar feststellen, welche der drei verfügbaren Größen (25 mm extrakurz, 28 mm kurz und 33 mm lang) die richtige ist.

Bitte beachten Sie: Der GoTo1® darf nicht im vollständig komprimierten Zustand in den Mund eingesetzt werden. Es muss ein mindestens 2 mm langer Abschnitt des Kolbens aus dem Tube sichtbar herausstehen (Abb. 6). Die Längenmaße, wie sie im 2018er-Katalog sowie auf der Messschablone angegeben sind, umfassen bereits diese 2 mm einer möglichen zusätzlichen Kompression.

Einbauanleitung

Die folgenden Anleitungen für die mesiale und distale Verankerung gelten sowohl für den GoTo1® mit anteriorem Haken als auch mit anteriorer Öse. Die Montage ist unkompliziert und anhand der in der Verpackung enthaltenen Gebrauchsanweisung leicht nachvollziehbar. Begonnen wird mit dem unteren Behandlungsbogen (Abb. 7a bis d).

Kommt im Oberkiefer die mesiale Verankerung zur Anwendung, wird der GoTo1® (egal, ob mit anteriorer Öse oder anteriorem Haken) mithilfe der geräteeigenen Verankerungselemente (Öse oder Haken und Scharnierring) in den Mund eingebracht. Dadurch werden das Verletzungsrisiko für den Patienten sowie die Stuhlzeit reduziert und Komplikationen für den Behandler minimiert (Abb. 7e bis 7l).

Bei einer distalen Verankerung im Oberkiefer ist der Einsatz des beigefügten Bogens mit Kugelkopfende erforderlich. In diesem Fall ist die Verwendung eines nicht in der Apparatur integrierten Elements einfacher für den Arzt zu handhaben, da der Bogen während der Montage keiner übermäßigen Spannung ausgesetzt ist, wie sie bei anderen Klasse II-Korrektoren auftreten kann (Abb. 7m bis 7t). Zum Schluss wird der Ligaturendraht am unteren Verankerungselement (Öse oder Haken) fixiert (Abb. 7u bis 7w).

Eine Übersicht der drei verfügbaren GoTo1®-Gerätevarianten ist in Tabelle 1 dargestellt.

Klinische Anwendung

Laut Literatur werden festsitzende Klasse II-Apparaturen, wie der GoTo1®, hauptsächlich bei auf eine Retrognathie des Unterkiefers zurückzuführenden Klasse II-Fällen (Sing et al. 20181) in bleibender Dentition (ab 11 bis 16 Jahre, während des Hauptwachstumsschubs) als Teil einer Multibracketbehandlung nach erfolgter Ausrichtungs- und Nivellierungsphase mit einem .019'' x .025'' Stahlbogen eingesetzt (Karacay et al. 20067; Hanoun A, Al-Jewair 20148).

Das hier dargestellte Fallbeispiel wurde von den Dres. Manuela Maltoni und Lucia Zoli unter dem Titel „Eine neue Apparatur zur Korrektur von Klasse II-Malokklusionen: Ein Fallbericht“ veröffentlicht.6

Fallbeispiel

Ein neunjähriges Mädchen kam zur Beobachtung zu uns. Sie zeigte eine skelettale sowie dentale Klasse II-Malokklusion mit einer Unterkieferrücklage, die auch in der Profilansicht des Gesichts gut erkennbar war. Das Profil schien konvex zu sein, und es war eine Lippeninkompetenz erkennbar. Angesichts des geringen Schweregrads der skelettalen Malokklusion wurde beschlossen, die Behandlung auf eine spätere Phase des Zahnwechsels zu verschieben, wobei die Anwendung einer Multibracketapparatur in beiden Zahnbögen vorgesehen war (Abb. 9 bis 11; Tabelle 2).

Tabelle 2: Cephalometrische Analyse vor Behandlungsbeginn. Tabelle 3: Cephalometrische Analyse zu Behandlungsende.

Im Alter von elf Jahren wurden im Ober- und Unterkiefer schließlich die Brackets geklebt. Es wurde mit der Ausrichtung und Nivellierung begonnen, um die Klasse II-Mechanik mit Einsatz von Klasse II-Gummizügen vorzubereiten (Abb. 12).

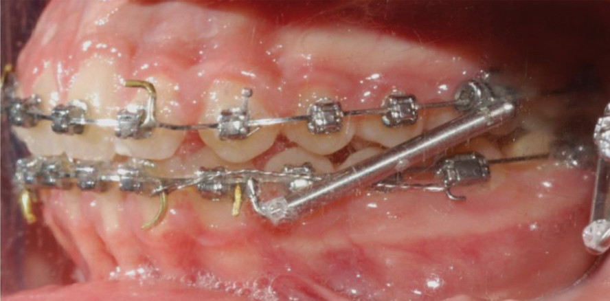
Da die Patientin kaum mitarbeitete, wurden beidseitig Klasse II-Korrektoren eingesetzt mit Fixierung auf einem .019'' x .025'' Stahlbogen (Abb. 13). Nach zwei Monaten war ein stabiles Klasse I-Verhältnis der Prämolaren und Molaren erreicht und die Klasse II-Apparatur wurde wieder entfernt (Abb. 14).

Nach einer Gesamtbehandlungszeit von einem Jahr und vier Monaten konnte entbändert werden. Die Abbildung 15 zeigt das intraorale Behandlungsergebnis. Die extraoralen Aufnahmen sowie Abschluss-FRS und -OPG sind in den Abbildungen 16 und 17 sowie die cephalometrische Auswertung in Tabelle 3 dargestellt. Der Vergleich der Profile vor und nach erfolgter Behandlung kann der Abbildung 18 entnommen werden.

Auch ein Jahr nach Behandlungsabschluss ist das Ergebnis stabil. Die Abbildungen 19 und 20 zeigen den intraoralen Status sowie das Profil.

Die vollständige Literaturliste gibt es hier.

Dieser Beitrag ist in KN Kieferorthopädie Nachrichten erschienen.

Foto: Dr. Manuela Maltoni

Mehr Fachartikel aus Kieferorthopädie

ePaper