Kieferorthopädie 21.02.2011
Distalisation der Molaren und deren Auswirkungen
Die Distalisation der ersten maxillären Molaren ist eine alltägliche Behandlungsform von Klasse II/1-Fällen. Wie diese Methode jedoch die zweiten und dritten Molaren beinflusst, ist nicht geklärt.
Einführung
Die Distalisation der Molaren ist eines von zehn verschiedenen Verfahren zur Behandlung von Klasse II/1-Malokklusionen (Abb. 1), hier insbesondere für Fälle dentalen Ursprungs geeignet, und sollte als Alternative zur Zahnextraktion in Betracht gezogen werden. Leider wird nicht selten übersehen, dass bei der Entscheidung für eine Distalisation der Molaren der individuelle Patient und nicht die Art der eingesetzten Apparatur im Vordergrund stehen sollte.

Abb. 1 Behandlungsprotokolle für Klasse II/1-Fälle. Leider ist keine klare Trennung zu erkennen.
Schaut man in die Literatur, finden sich vielfältige Apparaturen, die eine nebenwirkungsfreie Distalisation der Molaren versprechen. Diese Apparaturen kann man im Wesentlichen nach der Patientencompliance sowie nach der Art der Verankerung unterteilen. Die Compliancegruppe wiederum lässt sich dann noch einmal in Apparaturen mit guter bzw. schlechter Compliance, die Zuordnung nach der Verankerungsform in intermaxilläre, intramaxilläre, Headgear und absolute Verankerungen untergliedern (Abb. 2).
Die Ergebnisse einer 2000 durchgeführten Studie zeigen, dass die Distalisation in den meisten Fällen mittels Headgear erfolgt. Diese Apparaturen werden in der Regel durch Klasse II-Gummizüge, offene Schraubenfedern, die Hilgersche Apparatur und distale Jet-Apparaturen (absteigende Priorität) ergänzt.
Konzepte zur Distalisation der Molaren
Es ist bekannt, dass sich von anterior nach posterior der Zahnbogen weitet. Das bedeutet, dass die Molaren bei der Distalisation auch expandiert werden müssen. Die Spee’sche Kurve (Abb. 3) bezieht sich auf die anteroposteriore Kurvatur der Okklusionsoberflächen. Sie beginnt an der Spitze des unteren Eckzahns, folgt dann der bukkalen Spitze der Prämolaren und Molaren und ist idealerweise so ausgerichtet, dass eine Weiterführung des Bogens durch die Kondylen führen würde. Die Kurvatur beträgt 3,5– 6mm.

Abb. 3 Die Spee'sche Kurve bezieht sich laut Definition auf die mandibulären Zähne. Sie wird jedoch auch von den maxillären Zähnen reflektiert. Je weiter man nach hinten geht, desto größer ist der Abstand zur Okklusionsebene.
Funktionell ist die Spee’sche Kurve bedeutsam, da sie:
1. die vorstehende Disklusion der posterioren Zähne ermöglicht, die wiederum eine bessere Inzision zur Folge hat,
2. Zähne und Gelenke vor einer verstärkten Belastung durch die Muskulatur bewahrt. Aufgrund der Spee’schen Kurve sollten die Okklusionsflächen der maxillären Molaren auch besser einen Bogen beschreiben und nicht linear angeordnet sein. Folglich sollten die Molaren bei einer Distalisierung auch intrudiert werden.
Wenn also eine Distalisation der Molaren geplant ist, sollten diese auch expandiert und intrudiert werden.
Seitenanfang
Vom Autor verwendete Methode zur Distalisation der Molaren
Die Biomechanik bei der Distalisation der Molaren ist abhängig vom Dentitionstyp und von der Zahnentwicklung.

Abb. 4 a und b Feste Nance-Halteapparatur auf den zweiten bleibenden Molaren und den ersten Prämolaren.
Wechselgebiss (untere zweite Molaren sind noch nicht eruptiert): Auf den ersten oder zweiten bleibenden Molaren (Abb. 4a) wird eine Nance-Halteapparatur platziert. Wenn man die ersten bleibenden Molaren verwendet, kann die Verankerung eventuell besser kontrolliert werden. Es verkürzt sich jedoch der Raum für die distalisierende Feder. Die ersten bleibenden Molaren werden eingebunden und die anterioren Zähne mit Brackets versehen. Die Distalisierung erfolgt nach dem Konzept der Gleitmechanik und wird mit einem durchgehenden .019 x .025 oder .020 Bogendraht durchgeführt. Dafür ist ein kleiner Überstand der Bogendrähte distal der Führungen der ersten Molaren erforderlich, der während der Distalisation für eine ausgeglichene Gleitfähigkeit sorgen soll. Der Bogendraht ist nicht gerade. Mesial der Führung des ersten Molaren ist eine zweite Krümmung von 10–15 Grad eingebracht (Abb. 5). Die erforderliche Kraft wird durch Kompression der offenen Schraubenfedern (Edelstahl oder superelastisches Material) erreicht, die zwischen NHA und der Führung der Molaren komprimiert werden (Abb. 6).

Abb. 5 Eine zweite Krümmung von 15-20 Grad wird auf dem Draht angebracht, entlang dessen sich die Molaren bewegen werden. Die Krümmung entspricht der Bewegung über die geneigte Ebene. Abb. 6 Die Kraft der Schraubenfeder wird in eine horizontale und eine vertikale Komponente zerlegt. Abhängig vom Wert des Winkels der zweiten Krümmung ist die horizontale Komponente die geringere.
Permanente Dentition: Bänder und Brackets werden auf allen maxillären und mandibulären Zähnen platziert. Sind zweite Molaren vorhanden, werden diese ebenfalls eingebunden (es können auch alternativ gebondete Führungen platziert werden). Auf den ersten Prämolaren wird eine feste Nance-Halteapparatur platziert (Abb. 4b). Der Distalisierungsprozess beginnt mit den zweiten Molaren. Befinden sich diese in der gewünschten Position, werden sie fixiert (meist mittels runder oder tropfenförmiger Schlaufen, die mesial der Führungen angebracht werden). Nun erfolgt die Distalisierung der ersten Molaren. Die Verankerung wird durch kurze Klasse II-Gummizüge verstärkt, die mesial an den oberen Eckzähnen oder den ersten Prämolaren und distal an den mandibulären Eckzähnen oder den ersten Prämolaren eingehakt werden. Ich bin der Ansicht, dass eine sequenzielle Distalisierung der Molaren sicherer ist, da nur sehr selten mit einem Verlust der Verankerung gerechnet werden muss. Mit Ausnahme der Technik der kieferorthopädischen Implantate ist keines der derzeit vorhandenen Verfahren in der Lage, erste und zweite Molaren nebenwirkungsfrei simultan zu distalisieren.
Die distalisierende Feder wird bei Edelstahl um 30% ihrer Originallänge komprimiert, bei superelastischem Material um 70%. Die biomechanischen Prozesse sind der Behandlung beim Wechselgebiss gleich. Wenn kieferorthopädische Implantate zum Einsatz kommen, kann auf die Nance-Halteapparatur verzichtet werden und erste und zweite Molaren lassen sich unter Umständen simultan distalisieren.
Seitenanfang
Auswirkungen der Distalisierung auf die zweiten und dritten Molaren
Die Frage nach den Auswirkungen einer Distalisierung der ersten Molaren auf noch uneruptierte zweite und dritte Molaren bzw. bei Distalisation der ersten und zweiten Molaren auf noch uneruptierte dritte Molaren ist von grundlegender Bedeutung. Zur Beantwortung dieser Frage nutzte Katsavrias Panorama-Röntgenaufnahmen von 60 Patienten, darunter 32 Mädchen und 28 Jungen. Von diesen 60 Patienten hatten 20 eine unilaterale und 20 eine bilaterale Distalisation erhalten. 20 Patienten wurden mit einem Aktivator behandelt. In der Gruppe mit unilateraler Distalisation wurde ein Vergleich der Seite mit und ohne Distalisation durchgeführt. Die Gruppe mit bilateraler Distalisation wurde mit der Aktivatorgruppe verglichen.
Es lässt sich sicher darüber diskutieren, ob Panorama-Röntgenaufnahmen für eine solche Untersuchung geeignet sind. Werden diese Aufnahmen jedoch mit ein- und demselben Gerät bei kontrollierter Neigung durchgeführt, dann liefern sie bemerkenswert gute Ergebnisse (Stramotas et al. 2002).
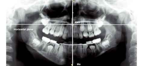
Die molare Achsenfehlstellung wurde wie folgt ermittelt: Auf jedem Orthopantomogramm wurden die Punkte Me (Menton, der am tiefsten gelegene Punkt am Rand der Mandibula, nahe der Symphyse), ANS (anterior nasal spine) und zwei willkürlich gewählte Punkte auf dem Nasenseptum lokalisiert und die Medialebene als Best-Fit-Verbindung dieser vier Punkte konstruiert. Danach wurde senkrecht zur Medialebene am ANS-Punkt (Abb. 7) eine weitere Linie, die sogenannte Horizontalebene, markiert. Durch Weiterverfolgen der Mittelpunkte der Okklusionsflächen erfolgte die Lokalisierung der Wurzeln jedes einzelnen Molaren. Die Verbindungslinie dieser beiden Punkte bildete die Längsachse des jeweiligen Molaren. Der am weitesten unten gelegene rechte Winkel zwischen Horizontalebene und Längsachse für die rechte Seite und der am weitesten unten gelegene linke Winkel für die linke Seite wurden zur Beschreibung der molaren Inklination verwendet (Abb. 7).

Abb. 7 Die Punkte Me, ANS, ND1 und ND2 (ND, nasal diaphragm) wurden zur Konstruktion einer Best-Fit-Linie verwendet, die als Medialebene genutzt wird. Eine vertikal zur Medialebene aufgesetzte Linie am ANS-Punkt diente als Horizontalebene.
Der Kronen- und Wurzelmittelpunkt jedes Molaren wurde lokalisiert und für die Konstruktion der Längsachse verwendet. Der untere rechte Winkel zwischen der Längsachse rechter Molaren auf der rechten Seite und der untere linke Winkel zwischen der Längsachse der linken Molaren und der Horizontalebene für die linke Seite wurde zur Beschreibung der Inklination verwendet.
Im Allgemeinen verändert die Distalisation der Molaren die Inklination noch uneruptierter zweiter und dritter Molaren (Abb. 8). In den Folgejahren nach der Distalisierung wurden diese Veränderungen jedoch zurückgebildet.
Ein weiterer wichtiger Aspekt bei der Distalisation der maxillären Molaren ist die eventuell erhöhte Wahrscheinlichkeit der Impaktion der dritten Molaren. Dieser Effekt könnte auf die Verkürzung des retromolaren Raumes infolge der Distalisation zurückzuführen sein. Somit könnte die fehlende Apposition des Periosts an der posterioren Begrenzung der Eminentia maxillae zur Impaktion der dritten Molaren führen. Andererseits wird nach einer Extraktion der zweiten Molaren nur selten eine Impaktion der dritten Molaren beobachtet, während die Extraktion der Prämolaren offenbar einen günstigen Effekt hat. Artun et al. schlussfolgerten, dass distales Tipping der maxillären dritten Molaren um mehr als 30 Grad während der aktiven Behandlungszeit einen Risikofaktor für eine Impaktion darstellt. Die Frage ist aber: „Erhöht die Distalisierung der maxillären ersten Molaren die Wahrscheinlichkeit der Impaktion der dritten Molaren?“ Um sie beantworten zu können, wurden zwei Gruppen von Patienten mit Klasse II/1-Malokklusion verglichen. In beiden Gruppen war der maxilläre Komplex normal. Die erste Gruppe wurde mittels bilateraler maxillärer Distalisierung der Molaren behandelt, die andere mittels Aktivator. Wenn die Distalisierung der ersten Molaren die Häufigkeit der Impaktion der dritten Molaren erhöht, dann hätte die Gruppe mit Distalisation der Molaren einen höheren Anteil von Impaktionen aufweisen müssen. Auch wenn diese Annahme sich nicht bestätigte, muss noch einmal darauf hingewiesen werden, dass die untersuchte Patientengruppe nur sehr klein (20 Patienten je Gruppe) war und folglich Vorsicht bei definitiven Schlussfolgerungen geboten ist.
Zusammenfassend lässt sich feststellen, dass die Distalisation der Molaren eine Methode zur Behandlung von Klasse II/1-Fällen ist, die ausschließlich bei dentalem Ursprung eingesetzt werden kann. Das Verfahren sollte als Alternative zur Extraktion zweier Zähne im Oberkiefer in Betracht gezogen werden. Posterior verlagerte Molaren sollten sowohl expandiert als auch intrudiert werden. Die späte Periode der gemischten Dentition scheint der günstigste Zeitpunkt zu sein. Dennoch sollte jeder Fall individuell betrachtet werden, da häufig die zweiten Molaren bereits vor den Prämolaren und den Eckzähnen eruptiert sind.
Autor: Elias G. Katsavrias, DDS, DOrth, MSD, PhD, aus Athen/Griechenland.