Laserzahnmedizin 28.02.2011
Laser in der kosmetisch-ästhetischen Zahnheilkunde
share
Anhand eines komplexen Falles soll der sinnvolle Einsatz eines Lasers als elementares Instrument zur (Wieder-)Herstellung der Ästhetik bei einer 44-jährigen Patientin erläutert und illustriert werden.
Laser finden in unserer Praxis in mannigfaltiger Form Einsatz in der Behandlung von Patienten, in welchen, insbesondere in der ästhetisch wichtigen Zone der Frontzahnregion, die Rekonstruktion der roten und weißen Ästhetik notwendig ist. Die extrem präzise Schneidleistung, die Minimalinvasivität und hohe Effizienz des Lasers ist in diesem Bereich den herkömmlichen chirurgischen Verfahren weit überlegen und resultiert in eine deutlich höhere Patienten-Compliance.
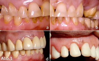
Bei der 43 Jahre alten weiblichen Patientin lag zum Zeitpunkt der Erstkonsultation im Dezember 2005 ein stark abradiertes Gebiss mit dysgnather Bisslage in Form einer Angle-Klasse II vor (Abb.1a,b). Die Zähne 17 und 24 waren aufgrund parodontaler oder apico-osteolytischen Prozessen nicht mehr zu erhalten, ferner waren die Zähne 15, 16 und 25 fehlend, im Unterkiefer wurde alio loco eine implantatgetragene Brücke von 35–37 eingegliedert, Zahn 47 wies eine insuffiziente Wurzelfüllung auf. Der Parodontalbefund wies auf eine moderate, nicht akute Parodontitis marginalis profunda et superficialis hin und die Mundhygiene der Patientin war als sehr gut einzustufen. Die Patientin gab an, am Tag etwa fünf Zigaretten zu rauchen und wies ansonsten allgemein- und speziellanamnestisch keine Besonderheiten auf. Aufgrund der massiv abradierten Zähne ist der Biss stark abgesunken und hat die Patientin funktionell als auch optisch erheblich eingeschränkt. Dies war auch der Motor für den Wunsch einer zahnmedizinischen Rehabilitation, vor allem in der Oberkieferfront. Des Weiteren wünschte die Patientin eine Korrektur ihres „gummy smiles“. Eine kieferorthopädische Behandlung zur Korrektur der maxillären Prognathie lehnte die Patientin ab.
Bei der Behandlungsplanung wurde das als „Kaiserswerther Konzept“ bezeichnete Behandlungsprofil vorgeschlagen und durchgeführt. Dieses bestand im Falle der Patientin aus folgenden Behandlungsabschnitten, für die ein Zeitraum von ca. zwei Jahren avisiert wurde.
Behandlungsplan:
- Prophylaktische Einstellung mittels HELBO-Lasers im Sinne einer parodontalen Vorbehandlung
- Entfernung der nicht mehr erhaltungswürdigen Zähne und Socket preservation Regio 17, 24
- Durchführung der Parodontalbehandlung mittels Diodiumlaser
- WSR der Zähne 15 und 47
- Implantation Regio 15, 16 (hier Durchführung eines Intraliftes) und Implantation Regio 24, 25
- OK- und UK-Versorgung mittels LZPs (metallarmiert) und Einstellung einer Normokklusion
- Bisshebung um ca. 3,5 mm, Harmonisierung des Gingivaverlaufes mittels Diodiumlaser und Lippenbandexzision zur Zugentlastung durch den M. orbicularis oris
- Herstellen einer ersten Aufbissschiene zur Kompensation des Bruxismus nocturans
- Gnathologische Registrierung via CADIAX und Face-Bow
- Umsetzung der LZPs in Alumina-Vollkeramik (Front) und Cerconoxid-Kronen im Seitenzahnbereich
- Herstellen einer neuen Aufbissschiene mit adjustierter Oberfläche und Front-Eckzahnführung zur Kompensation des Bruxismus nocturans.

Abb.1: a: Abradierte Zähne, ungünstiger Gingivaverlauf, kubische Zahnform. b: Seitenansicht auf den ersten und vierten Quadranten. Dysgnathe Bissstellung und bukkale Abrasionen durch Bruxismus nocturans und Putzdefekte. Auf dem zweiten und vierten Quadranten reduzierte Vertikaldimension. Interproximale Lücke zwischen 11 und 21. c: Zustand nach Optimierung des Gingivaverlaufes und verbessertem Kronenverhältnis. Diodenlaser kam zum Einsatz bei Lippenbandexzision und Contouring des Gingivaverlaufes. d: Wiederherstellung einer Klasse I-Verzahnung über LZPs, harmonischer und stabiler Gingivaverlauf. Frontzahnästhetik optimiert über LZPs. Lückenschluss der interproximalen Gingivadehiszenz. e: Unterkieferbewegungen wurden computerunterstützt registriert mittels CADIAX. Es folgte Gerüstanprobe der Cerconkappen im Seitenzahnbereich und der Alumina-Keramik-Kappen im Frontzahnbereich. f: Natürlich und hochästhetisch wirkende Vollkeramikkronen.
Bei der prophylaktischen Einstellung der Patientin wurde in der Initialphase ein HELBO-Laser (Helbo Photodynamic Systems) im Sinne der antimikrobiellen Photodynamischen Therapie (aPDT) verwendet, der mittels intrasulkulärer Applikation des Fotosensitizers schonend und effizient für eine initiale Keimreduktion sorgte. Die Mikroorganismen in den Taschen werden an der Zellwand durch den laseraktivierten Farbstoff positiv geladen und von dem Singulett- in den höherwertigen Trippletzustand befördert, welcher in der Lage ist, Sauerstoffmoleküle zu binden. Auf diese Weise werden die Bakterienmembranlipide und -enzyme oxidativ gelöst und die Bakterienzellwände zerstört, gesunde und nicht pathogene Zellen werden durch ihren Schutzmechanismus verschont. Adjuvant wurde mit Metronidazolum-Salbe, welche in die Sulki appliziert wurde, lokal medikamentös therapiert. Die Compliance der Patientin war als sehr gut einzustufen und die Taschentiefen konnten durch die lasergestützte PAR-Behandlung auf 2 mm reduziert werden. Hierbei wurde ein Diodiumlaser verwendet (Oralia) und im Modus „Interne Dekontamination“ gearbeitet.
Die Zähne 17 und 24 wurden atraumatisch entfernt und es wurde eine Socket preservation mit einem b-TCP durchgeführt (Cerasorb M, curasan) und mit einer resorbierbaren Membran (Epi-Guide®, curasan) gedeckt. Regio 15 und 47 erfolgte eine WSR mittels ultraschallgesteuertem Piezotome (Acteon) und es erfolgte eine retrograde Wurzelfüllung. In den Regiones 17, 16, 24 und 25 wurden enossale Implantate (NanoTite™ Certain, Biomet 3i) inseriert und in Regio 17, 16 wurde zusätzlich zur vertikalen Augmentation der minimalinvasive Intralift™ (nach Trödhan, Kurrek und Wainwright/Acteon) durchgeführt. Sämtliche Eingriffe liefen komplikationslos und erforderten seitens der Patientin keine Einnahme von Analgetika.
Es erfolgte anschließend die Präparation für die LZPs. Zur Herstellung einer harmonischen Gingivakontur und simultan einer verbesserten Kronendimensionierung (vormals eher kubisch, hin zur rechteckig-ovaloiden Zahnform) wurde abermals der Diodenlaser eingesetzt. Im Programm PPR 2 bei einer Frequenz von 10 kHz und einer Leistung von 20 Watt/5 Joule wurde sowohl das Lippenbändchen exzidiert als auch der Gingivaverlauf optimiert (Abb.1c). Die LZPs unterstützten die Harmonisierung und eine Normokklusion mit Klasse I-Verzahnung und der angestrebten Bisshebung von 3,5 mm konnte hergestellt werden (Abb.1d).
Vor Umsetzung der LZPs in die endgültige Versorgung wurde eine computergesteuerte Registrierung der Unterkieferbewegungen mit dem CADIAX (Gammadental) durchgeführt und die Daten an das Labor zur entsprechenden funktionalen Einartikulation übertragen. Zur Erzielung einer optimalen Ästhetik wurde im Frontzahnbereich eine Alumina-Vollkeramik (Labor Wolters, Krefeld) und im Seitenzahnbereich eine Cerconoxidkeramik verwandt (Abb.1e). Durch den Einsatz des Lasers ist ein narbenfreies Ausheilen der Lippenbandexzision im Vergleich zu den herkömmlichen Methoden mit skalpellgeführter Exzision möglich.
Fazit
Bei diesem sehr umfangreichen Fall, der ca. zwei Jahre Behandlungszeit in Anspruch nahm, wurde sowohl auf die Funktion als auch auf die Ästhetik in maximalem Umfang im Sinne der Patientin Rücksicht genommen. Durch die Minimalinvasivität der laserunterstützten Behandlung war die Patientencompliance während der gesamten Behandlungszeit exzellent. In diesem Fall wurde die Bandbreite und Effektivität der Lasertherapie in der modernen Zahnheilkunde deutlich und stellt in unserer Praxisphilosophie ein nicht mehr wegzudenkenden Tool unserer täglichen Arbeit dar, und wird durch ästhetisch-funktionell und hochzufriedene Patienten honoriert (Abb.1f).
Eine Literaturliste kann beim Autor angefordert werden.
Seitenanfang