Oralchirurgie 20.11.2021

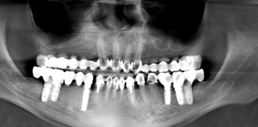
Hybridbrücke mit Implantaten 38/48 und Anhänger 39/49



Hybridbrücke mit Implantaten 38/48 und Anhänger 39/49

Foto: Autoren

Die digitale Volumentomografie (DVT) als dreidimensionale bildgebende Diagnostik erleichtert bekannterweise die zahnärztliche Arbeit. Andererseits darf man aber nicht vergessen, dass eine DVT-Aufnahme nicht immer die absolute Wahrheit darstellt.1 Für eine korrekte Befundung braucht es grundsätzlich viel Erfahrung und Übung. Denn während der Anfertigung einer DVT-Aufnahme können Artefakte und Probleme auftreten.1–8 Bei dem folgenden Patientenfall bildet die DVT-Aufnahmetechnik nur auf den ersten Blick ein wahres Erscheinungsbild ab. Bei genauerer Betrachtung zeigt sich hier ein kurioses prothetisches Konzept.

Patientenfall

In einem zahnärztlichen Röntgendiagnostik-Zentrum wurde von einem 54-jährigen Patienten eine DVT-Aufnahme angefertigt (Indikation: dentale Fokussuche, V. a. Zahnherd).1–4,7

Die angefertigte Aufnahme (Gendex CB-500, Imaging Sciences International; FOV 150 x 80  mm; 0,25 mm Schnittdicke, 120 kVp, 5 mAs) wurde umgehend kontrolliert, unter anderem auch, um eventuelle Bewegungsartefakte zu erkennen.

Wenn man nur die Panoramarekonstruktion aus DVT-Datensätzen (Abb. 1) in Betracht gezogen hätte, könnte man sofort anhand der angefertigten DVT-Aufnahme feststellen, dass es sich im Unterkiefer bei beiden Hybridbrücken in Regio 38 und 48 um Implantate und in Regio 39 und 49 um Brückenanhänger handelt. Selbstverständlich kann die distale Verlängerung der festsitzenden Brücken über die Hauptkauregion hinaus unter bestimmten Umständen empfehlenswert sein, aber diese überdimensionierte prothetische Versorgung scheint unrealistisch.

Zur effektiven Befundung empfiehlt es sich, zuerst alle axialen Schnitte der DVT-Aufnahme durchzugehen – dann wären die typischen Merkmale von Bewegungsartefakten der DVT-Aufnahme, wie z. B. Unschärfe, Streifenartefakte, mehr Rauschen im Bild sowie Mehrfachkonturen an Implantaten und Wurzelkanalfüllungen, sofort erkennbar gewesen (Abb. 2).1,2,4,6–8

Nach erneuter Aufklärung des Patienten wurde eine zweite DVT-Aufnahme erfolgreich angefertigt (Abb. 3). Diese machte deutlich, dass die Implantate in Regio 38 und 48 nur Doppelkonturen der Implantate 37 und 47 waren. Zahn 31 wurde noch nicht entfernt, Doppelkonturbildungen an Brückenanhänger, Zahnimplantat sowie der Lückenschluss Regio 31 waren nur die Folge einer Patientenbewegung während der ersten DVT-Anfertigung.

Das hier vorgestellte Beispiel beweist die Wichtigkeit des gründlichen Aufklärungsgesprächs vor den DVT-Anfertigungen.2,9 Unter anderem darf man dabei nicht vergessen, dem Patienten zu empfehlen, die Augen während der DVT-Aufnahmeanfertigung geschlossen zu halten.8 Der vorliegende Fall zeigt, dass ein neugieriger Patient verführt wird, mit Kopf und Augen der Rotation des Detektors zu folgen.

Trotz der Verwendung modernster Technik und Bildbearbeitungsprogramme können Bildgebungsprobleme wie diese auftreten. Daher bleibt die fachliche Kompetenz des Personals von größter Wichtigkeit.

zur Literaturliste

Dieser Artikel ist im OJ Oralchirurgie Journal erschienen.

Produkte
Mehr Fachartikel aus Oralchirurgie

ePaper