Parodontologie 25.10.2023

Clean & Seal-Konzept: Behandlung tiefer Parodontaltaschen



Clean & Seal-Konzept: Behandlung tiefer Parodontaltaschen

Foto: © Dr. Rico Jung

Originaltitel: „Clean & Seal-Konzept: Zur nichtchirurgischen Behandlung tiefer Parodontaltaschen“

Trotz Einhalten postoperativer Mundhygieneprotokolle und der UPT-Intervalle können tiefe Parodontaltaschen und Entzündungsreaktionen persistieren. Im vorliegenden Beitrag soll die Behandlungsstrecke mit dem Clean & Seal-Konzept vorgestellt werden. Hierbei handelt sich um eine Kombination aus mechanischem Debridement, unterstützt durch sorgfältige Dekontamination mithilfe eines antimikrobiellen Gels auf Hypochloritbasis zur Keimreduktion und Entfernung des Biofilms, gefolgt von der Applikation von vernetzter Hyaluronsäure zur Unterstützung von Heilungsprozessen und zum Versiegeln der gereinigten Wundstelle vor einer erneuten Infektion.

Bei der Parodontalerkrankung spricht man von einer Entzündungsreaktion auf die bakterielle Infektion, die hauptsächlich durch Bildung strukturierter pathogener Biofilme hervorgerufen wird. Auf eine Entzündung des parodontalen Weichgewebes folgt eine Resorption des Zahnhalteapparats.1 Insbesondere tiefe Taschen oder Furkationen begünstigen Biofilme, die die Entzündungsreaktion auslösen und somit das Risiko eines Zahnverlusts erhöhen.

Adjuvante Applikation eines Reinigungsgels auf NaOCl-Basis

Das Hypochlorit-Gel ist ein Zweikomponentenpräparat, bestehend aus einer 0,95-prozentigen NaOCl- und einer Aminosäurelösung. Beide Komponenten werden unmittelbar vor dem Gebrauch miteinander vermischt. Ergebnisse von In-vitro-Studien über die Gelanwendung zeigten positive antimikrobielle Eigenschaften, insbesondere gegen einen Biofilm bestehend aus parodontalpathogenen Krankheitserregern.4 Neben der degranulierenden Wirkung, die die mechanische Instrumentierung des Defektareals unterstützt, reduziert das Hypochlorit-Gel signifikant die Vitalität von Biofilmen, die überwiegend von gramnegativen Spezies gebildet werden.

Kombibehandlung und die neue PAR-Richtlinie

Die 2021 durch die Deutsche Gesellschaft für Parodontologie e.V. (DG PARO) veröffentlichte neue S3-Richtlinie zur Behandlung von Parodontitis (gemäß der Leitlinie Treatment of Stage IIII Periodontitis der European Federation of Periodontology) sieht, entsprechend der Diagnose nach Stadien und Grading, ein stufenweises, aufeinander aufbauendes Therapiekonzept vor. Neben der in drei Phasen aufgegliederten APT erfuhr vor allem die UPT durch die Novellierung eine Aufwertung. Bei persistierenden tiefen Taschen mit Entzündungszeichen ist in der Regel eine chirurgische Behandlung vorgesehen, worunter die regenerative Parodontalchirurgie unter bestimmten Voraussetzungen eine gute Option darstellt, um den verloren gegangenen Zahnhalteapparat wiederherzustellen.3 Parodontalchirurgische Therapiemaßnahmen sind jedoch auch mit Nachteilen verbunden. Die Behandlungsschritte sind invasiv und aus der Perspektive der Patienten meistens nicht gerne gesehen. Außerdem sind sie technisch aufwendig und setzen deswegen aufseiten der Behandler ein Mindestmaß an entsprechender Erfahrung voraus. Die Sehnsucht nach effektiven adjuvanten, nichtchirurgischen Protokollen für subgingivale Behandlungen ist deswegen verständlich. Die bisher etablierten Protokolle bieten jedoch in Bezug auf dauerhafte klinische Verbesserungen hinsichtlich der Sondierungstiefen und Attachmentlevel-Änderungen keinen verlässlichen Ansatz.

Nichtchirurgische Behandlung tiefer Zahnfleischtaschen

Es ist bekannt, dass die Kontrolle und Entfernung des Biofilms den Grundbaustein eines erfolgreichen parodontalen Gesamtkonzeptes bildet. Nach unserer Auffassung ist der Einsatz von antimikrobiellen Substanzen kombiniert mit bestimmten Biologics eine wertvolle Option bei der Kontrolle von Biofilm und hilfreich, um langfristig stabile parodontale Zustände zu erreichen. Diese Zusätze können die Biofilmentfernung und gleichzeitig die parodontale Heilung preiswert unterstützen.2, 3 In unserer Abteilung wird das sogenannte Clean & Seal-Konzept angewandt, das adjuvant zur mechanischen Reinigung den Einsatz eines Reinigungsgels basierend auf Hypochlorit (NaOCl) vorsieht (PERISOLV). Anschließend wird der Defekt mit einer vernetzten Hyaluronsäure (hyaDENT BG) mit dem Ziel versiegelt, einer Reinfektion der Parodontaltasche vorzubeugen und die parodontale Heilung auf Zellebene zu fördern.

Vernetzte Hyaluronsäure (xHyA) zur Versiegelung

Die Hyaluronsäure (HA) besitzt einige wichtige Eigenschaften, die den Heilungsprozess unterstützen können, insbesondere in kompromittierten Situationen, wie sie bei tiefen oder unzugänglichen Parodontaltaschen oft vorkommen. Die Hyaluronsäure ist stark hygroskopisch, 1 g HA kann bis zu sechs Liter Wasser aufnehmen,11 bindet das Blut sofort und hat eine schnelle Wirkung auf die Bildung eines Koagels und auf die Stabilisierung des gereinigten Wundbereichs. Hyaluronsäure wirkt bakteriostatisch und kann somit das Risiko einer bakteriellen Wiederbesiedelung der Wundstelle verringern,5, 6 fördert die Angiogenese bei chirurgischer Anwendung postoperativ und beeinflusst die Wundheilung positiv.7, 8 Chronisch entzündete Wunden können insbesondere von HA und durch ihre modulierende Wirkung besonders gut behandelt werden.

Fallbericht

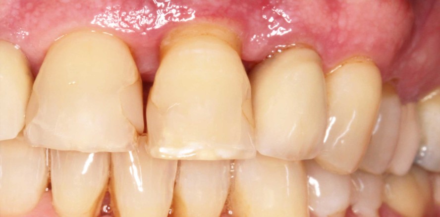
Der Patient stellte sich erstmals im März 2020 in der Abteilung für Parodontologie der Universitätszahnklinik Witten/Herdecke mit einer unbehandelten Parodontitis Stadium IV Grad C vor. Die Zähne 21 und 22 waren vital (Kältetest), wiesen einen erhöhten Lockerungsgrad (2) auf und waren nicht dolent auf Perkussion. An beiden Zähnen folgte auf das Sondieren Pusaustritt und es lag ein sekundäres okklusales Trauma vor. Die Sondierungstiefen waren auf bis zu 10 mm erhöht (Abb. 1–3).

Im Zuge der parodontalen Vorbehandlung wurden die Zähne  21 und 22 mit einer Kompositschienung verstärkt und die Vorkontakte in dynamischer und statischer Okklusion beseitigt (Abb. 4 und 5). In der vorab notwendigen Akuttherapie wurde ein Lokalantibiotikum (Wirkstoff Doxycyclin: Ligosan® Slow Release, Kulzer) subgingival appliziert. Mit einer Verzögerung, die den allgemeinen COVID-bedingten Umständen im Jahr 2020 geschuldet war, wurde im September die Antiinfektiöse Therapie (AIT) durchgeführt. Die subgingivale Instrumentierung fand unter Infiltrationsanästhesie mit Hand- und Schallinstrumenten statt. Begleitend wurde ein auf Natriumhypochlorid basierendes Reinigungsgel wie oben beschrieben (PERISOLV) subgingival appliziert. Nach dem Instrumentieren und der taktilen Kontrolle der Wurzeloberfläche wurde die Tasche mit vernetzter Hyaluronsäure (hyaDENT BG) gefüllt und marginal benetzt.

Acht Monate nach der Antiinfektiösen Therapie und der Clean & Seal-Technik zeigten sich deutlich verbesserte klinische und röntgenologische Befunde. Die Sondierungstiefen lagen bei max. 6 mm (Abb. 6 und 7). Das Röntgenbild zeigt einen Rückgang der vertikalen Knocheneinbrüche sowie einen teilweise neu gebildeten Parodontalspalt als Indiz für eine echte parodontale Regeneration. Im Rahmen der unterstützenden Parodontitistherapie konnten zunehmend verbesserte Befunde beobachtet werden, sodass im Frühjahr 2022 (Abb. 8 und 9) Sondierungstiefen von max. 5 mm, ohne Pus oder Bluten auf Sondieren, gemessen wurden.

Die Literaturliste zum Beitrag steht hier zur Verfügung.

Autor: Dr. Rico Jung, Univ.-Prof. Dr. Anton Friedmann, Dr. Hakan Bilhan

Dieser Beitrag ist in der ZWP Zahnarzt Wirtschaft Praxis erschienen.

Mehr Fachartikel aus Parodontologie

ePaper