Parodontologie 26.02.2018

Parodontitisbehandlung: Lokalantibiotikum als Therapieergänzung

Parodontitisbehandlung: Lokalantibiotikum als Therapieergänzung

Foto: Autor

Lokale Antibiotika kommen in der unterstützenden Parodontitistherapie als ergänzende Maßnahme zur Reinstrumentierung zum Einsatz. Ihre Indikation liegt dabei in der Behandlung persistierender oder rezidivierender Taschen mit einer Sondierungstiefe von ≥ 5 mm und Blutung auf Sondierung (BOP) in Kombination mit einer nichtchirurgischen mechanischen Therapie. Dr. Lutz Harnack ist mehr als sieben Jahre überzeugter Anwender des Lokalantibiotikums Ligosan® Slow Release, dessen Vorteile er u. a. in seiner einfachen Anwendung und nachgewiesenen Wirksamkeit bei kontrollierter Compliance sieht. Nachfolgend berichtet er an einem Patientenfall über seine positiven Behandlungserfahrungen.

Ziel einer Parodontitisbehandlung ist die Ent­fernung des mikrobiellen Biofilms bzw. Reduktion der Keimbesiedelung. Als Therapieoption in der nichtchirurgischen Parodontitistherapie bietet sich zunächst neben der Verbesserung der Mundhygiene und der supragingivalen Reinigung der Zähne die Entfernung des subgingi­valen Biofilms durch Scaling und Root Planing (SRP) als Conditio sine qua non an. Die mechanische Therapie kann mit Handinstrumenten, maschinell, z. B. mit Schall- und Ultraschallins­trumenten oder mit Lasergeräten, erfolgen.1 Ich selbst wende in der initialen PA-Therapie eine Kombination aus Schall- und Handinstrumenten an. Auch der adjuvante Einsatz von systemisch (nach Markerkeimanalyse) oder lokal verabreichten Antibiotika, Spülungen mit Antiseptika wie Chlorhexidin, Wasserstoffperoxid, PVP-Jod oder z. B. eine Photodynamische The­rapie ist in Abhängigkeit der Diagnose möglich.

Lokalantibiotika in der unter­stützenden Parodontitistherapie

An die Primärbehandlung schließt sich die Re­evaluation (mit im Bedarfsfall erneutem SRP an ausgewählten Taschen und danach eine eventuell notwendige chirurgische Therapie) und schließlich die unterstützende Parodontitistherapie (UPT) an. Die UPT hat einen außerordentlich hohen Stellenwert, denn ohne eine systematische UPT ist der Therapieerfolg langfristig nicht zu sichern.1, 3 Das Recallintervall ist patientenindividuell festzulegen, in der Regel findet die Wiedervorstellung in meiner Praxis aber alle drei bis sechs Monate statt. In jeder Sitzung werden Sondierungstiefe, BOP, PBI und PLI aufgenommen und eine professionelle Zahnreinigung durchgeführt, um die Rekolonisation paro­dontalpathogener Keime zu vermeiden. Zwischen der Primärbehandlung und dem regel­mäßigen Recall stellt sich der Patient darüber hi­naus ca. sechs Wochen nach dem mechanischen Debridement zur Reevaluation vor. Treten hier oder im Rahmen der UPT Rezidive und Taschen mit Sondierungstiefen von ≥ 5 mm auf, hat der Einsatz von Lokalantibiotika in Begleitung zur Reinstrumentierung dieser Stellen einen starken zusätzlichen Nutzen im Sinne einer höheren Reduktion der Sondierungstiefen nach drei Monaten.5, 9

Ich setze in meiner Praxis bereits seit mehr als sieben Jahren erfolgreich das lokale Antibiotikum Ligosan® Slow Release* (Kulzer) ein. Dieses Gel setzt den Wirkstoff Doxycyclin kontinuierlich über einen Zeitraum von mindestens zwölf Tagen in ausreichend hoher Menge frei6, indem es seine Viskosität in wässriger Umgebung erhöht und damit zuver­lässig an seinem Wirkort bleibt.2 Seine klinische Wirksamkeit im Rahmen der Parodontitistherapie wurde in diversen Studien bestätigt.4, 7, 8 Der Hauptvorteil und Indikationsgrund lokaler Antibiotika wie Ligosan® Slow Release liegt im Vergleich zur systemischen Gabe meiner Meinung nach in der raschen und hochkonzentrierten Wirkungs­entfaltung (bei Mi­nimierung unerwünschter Nebenwirkungen) bei der Anwendung in solitären, persistierenden Taschen.

Anwendungserfahrungen

Die Erfahrungen, die ich mit Ligosan® Slow Release gemacht habe, sind durchweg gut: Das Applikation ist sehr leicht; meistens ist eine Einmalapplikation ausreichend. Da ich als Behandler das Medikament selbst verabreiche, brauche ich mir um die Patientencompliance keine Gedanken zu machen. Trotz der privat zu tragenden Kosten hat noch kein Patient eine empfohlene Therapie mit Ligosan® Slow Release abgelehnt. Um Ligosan für den Patienten direkt verfügbar zu haben, erwerben wir es für ihn vorab und stellen es ihm dann in Rechnung. Für die Abrechnung wird neben den Materialkosten die GOZ Position 4025 (Gezieltes Einbringen anti­bakterieller Substanzen) angesetzt, bei Verwendung um Implantate herum (Off-Label-Use – siehe unten) wird von der Bundeszahnärztekammer eine Analogberechnung gemäß § 6 (1) GOZ empfohlen. Mit einer Kapsel Ligosan® Slow Release ist in der Regel eine Behandlung von bis zu fünf Parodontien möglich.

Die Wirksamkeit des Gels beurteile ich als sehr gut. Ich wende Ligosan® Slow Release nicht bei der parodontalen Initialbehandlung, sondern nur bei isolierten therapierefraktären Taschen ≥ 5 mm oder bei Mukositiden (periimplantäre Mukositis/beginnende Periimplantitis) an; die Kombination mit der mechanischen Reinigung wird dabei selbstverständlich vorausgesetzt. Der periimplantäre Einsatz von Ligosan® Slow Release findet dabei im sogenannten Off-Label-Use statt, da Ligosan® Slow Release keine Zulassung für diesen Indikationsbereich hat. Auch wenn noch nicht mit Studien belegt bzw. für andere Anwendungen offiziell zugelassen, ist der Einsatz in der Mukositistherapie meiner Erfahrung nach aber sehr erfolgreich.

Aufgrund der leichten Applikation, was das Material meiner Meinung nach auch auszeichnet, sind besondere Tipps im Umgang mit Ligosan® Slow Release überflüssig. Allerdings sollte man nicht vergessen, Ligosan® Slow Release vor der Behandlung frühzeitig dem Kühlschrank zu entnehmen. Optimierungspotenzial sehe ich le­diglich in einer grazileren Gestaltung der Applikationsspitze, deren Durchmesser technisch der hohen Viskosität des Materials geschuldet ist, sich aber nur für aus­geprägte parodontale Taschen eignet.

Fallbeispiel

Der folgende Patientenfall zeigt die An­wendung und Wirksamkeit von Ligosan® Slow Release bei einmaliger Applikation nach der Initialbehandlung.Die 35-jährige Patientin wurde von ihrem Hauszahnarzt wegen der rezidivierenden und suppurierenden Tasche an Zahn 22 zur weiteren Therapie an mich überwiesen.

Der Erstbefund hatte eine generalisierte mittelschwere aggressive Parodontitis, an Zahn 22 eine schwere aggressive Parodontitis gezeigt. Es wurde ein modifizierter Plaque-Index (PLI) von 33 % und ein Papillen-Blutungs-Index (PBI) von 25 % bestimmt, bei einem Lockerungsgrad II.

Als Sondierungstiefen wurden mesiovestibulär 8 mm, midvestibulär 6 mm, distovestibulär 5 mm, mesio­pa­latinal 7 mm, midpalatinal 3 mm und distopalatinal 4 mm notiert (Attach­mentlevel 9 mm, 9 mm, 6 mm bzw. 7 mm, 3 mm, 4 mm).Die Röntgendiagnostik ergab an Zahn 22 einen horizontalen Knochenabbau mit einem vertikalen Einbruch mesial bis ins apikale Wurzeldrittel und einem stark erweiterten Desmodontalspalt (Abb. 1). Die zu Beginn durchgeführte mikrobiologische Untersuchung zeigte erhöhte Keimmengen an Porphyromonas gingivalis und Treponema denticola; Aggregatibacter actinomy­cetemcomitans (früher: Actinobacillus a.) war in den untersuchten Taschen nicht nachzuweisen.

Zunächst wurde eine Initialtherapie durchgeführt: Nach einer PZR mit Mundhygieneinstruktion und der semipermanenten Schienung von Zahn 22 mit einem fließfähigem Komposit (Filtek XTE Flow, 3M Espe) erfolgte an allen Zähnen mit Taschen > 4 mm und einem positiven BOP eine geschlossene Kürettage mit Schall- und Handinstrumenten unter systemischer Antibiose (Metronidazol 400 mg + Amoxicillin 500 mg über zehn Tage).

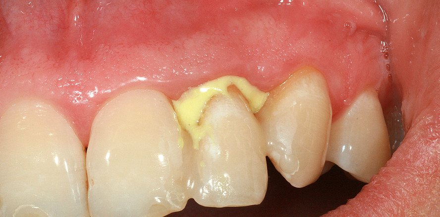
Die im Folgenden beschriebene Re­evaluation wurde nach sechs Wochen durchgeführt. Hier zeigte sich an Zahn 22 eine weiter bestehende Suppuration (Abb. 2), sodass nach erneuter Reinigung und Kürettage Ligosan® Slow Release einmalig appliziert wurde. Dazu wurde der Laminatbeutel mit der Zylinderkartusche Ligosan® Slow Release aus dem Kühlschrank genommen, die Zylinderkartusche in die Kartuschen­pistole eingesetzt und die Kanülenspitze vorsichtig bis zur Basis der getrockneten Tasche eingebracht. Un­ter kontinuierlicher Gelabgabe wurde die Applikationskanüle langsam aus der Tasche he­rausgezogen, bis überschüssiges Gel am Zahnfleischsaum austrat (Abb. 3). Anschließend konnten die Überschüsse mit ei­nem Schaumstoffpellet (wahlweise auch Heidemann-Spatel) entfernt werden (Abb. 4).

Das Lokalantibiotikum konnte direkt im Anschluss zur Kürettage in gleicher Sitzung angewendet werden, da die Blutungsneigung erwartungsmäßig gering ausfiel. Schließlich werden hier nicht wie in einer Primärbehandlung harte Konkremente entfernt, sondern ein etwaig noch vor­handener Biofilm zerstört. Bei der Kontrolle nach zehn Tagen war kein Pusaustritt mehr feststellbar (Abb. 5). Als Sondierungstiefen wurden mesiovestibulär 4 mm, midvestibulär 3 mm, distovestibulär 3 mm, mesiopalatinal 3 mm, midpalatinal 2 mm und distopalatinal 2 mm notiert (Attachmentlevel 7 mm, 7 mm, 6 mm bzw. 3 mm, 2 mm, 2 mm).

Es schloss sich eine Rezessionsdeckung mittels Tunneltechnik (koronal verschoben) unter Verwendung von Mucograft® (Geistlich) an Zahn 22 an. Nach zwei Monaten wurde nach Ent­fernung der Schienung eine Zahnverbreiterung mit einem Komposit (Filtek Supreme XTE, 3M Espe) durchgeführt (Abb. 6). Auch eine erneute Reevaluation nach weiteren drei Monaten zeigte konstante Verhältnisse an Zahn 22. Das Recall­intervall wurde für die Patientin nun auf alle drei Monate festgelegt. Bis dato zeigt sich die Patientin im Rahmen der UPT bei stabilen Messergebnissen beschwerde­frei; Zahn 22 weist bei einem Locke­r­ungsgrad I Sondierungstiefen bis 4 mm ohne BOP auf. Der PBI liegt etwa bei 3 %, der PLI 20 % (Abb. 7 und 8).

Fazit

Die unterstützende Parodontitistherapie (UPT) ist der Schlüssel zum Langzeit­erfolg einer Pa­rodontitisbehandlung. Die adjuvante Antibio­tikagabe als Thera­pieergänzung nach der Re­evaluation brachte im vorliegenden Fall den Durchbruch zum Erhalt des Zahnes 22; die aktive Tasche konnte eliminiert werden. Dies war ganz im Sinne der Patientin, die unbedingt ei­nen Zahnverlust vermeiden wollte – nicht zuletzt wegen des unkalkulierbaren ästhetischen Resultats eines dann notwendigen Zahn­ersatzes.

Ligosan® Slow Release mit dem Wirkstoff Doxycyclin ist meiner Erfahrung nach aufgrund seiner nachgewiesenen Wirksamkeit, der sehr einfachen Anwendung und hohen Patientencompliance eine sinnvolle Therapieoption, die eine wertvolle Ergänzung in meiner täglichen parodontologischen Praxis darstellt.

* Ligosan® Slow Release ist ein Lokalantibiotikum in Gelform für die periodontale Anwendung und enthält 14 % Doxycyclin. Das Gel ist verschreibungspflichtig und gem. SGB V vom Leistungskatalog der gesetzlichen Krankenkassen ausgeschlossen.

Die vollständige Literaturliste gibt es hier.

Autor:

Dr. Lutz Harnack
An der Pferdsweide 26
54296 Trier
Tel.: 0651 10158
frage@dr-harnack.de

Der Beitrag ist im ZWP Spezial 1+2/2018 erschienen.

 

Mehr Fachartikel aus Parodontologie

ePaper