Prophylaxe 16.02.2022
Mehrwurzelige Zähne in der UPT
share
Originaltitel „Mehrwurzelige Zähne in der UPT – Möglichkeiten und Grenzen der professionellen Biofilmentfernung im Furkationsbereich“
Parodontitis wird als eine multifaktorielle entzündliche Erkrankung beschrieben, die mit dysbiotischen Biofilmen einhergeht und gekennzeichnet ist durch eine fortschreitende Zerstörung des Parodontiums.1 Eine adäquate aktive Parodontitistherapie, insbesondere an Molaren mit erhöhten Taschensondierungstiefen und Furkationsbeteiligung, kann die Biokompatibilität der zuvor erkrankten Wurzeloberflächen wiederherstellen2,3 und so eine parodontale Heilung ermöglichen.
Entsprechend der aktuellen Leitlinie zur Therapie einer Parodontitis Stadium I bis III sind verschiedene Interventionen im Rahmen einer systematischen Parodontitistherapie4 zur Therapie von Molaren mit Furkationsbeteiligung von Grad II und III beschrieben. Der Umfang an Interventionen lässt sich teils durch die große Variabilität und Komplexität des Furkationsbereichs mehrwurzeliger Zähne mit schwer zugänglichen Nischen, Einziehungen oder auch Besonderheiten wie Schmelzperlen erklären. Da durch solche morphologischen Variationen, einen begrenzten Zugang, aber auch durch Messfehler beim konventionellen Sondieren bzw. Betrachten zweidimensio- naler Röntgenaufnahmen eine genaue klinische Analyse der Furkationsbeteiligung nur bedingt möglich ist,5,6 kann eine zusätzliche Diagnostik mittels DVT z. B. vor weiterführenden, teils irreversiblen oder kostenintensiven Interventionen indiziert sein (Abb. 1).
So zeigen aktuelle systematische Übersichtsarbeiten7,8 auf, dass Molaren häufig nach der durchgeführten geschlossenen Parodontitistherapie (Stufe II) eine sich anschließende chirurgische Intervention (Stufe III) benötigen, um die Furkationsbereiche effektiv instrumentieren zu können, der häuslichen Mundhygiene zugänglich zu machen (z. B. durch resektive Verfahren) oder auch durch regenerative Verfahren die bestehende Furkationsbeteiligung zu reduzieren.4 All diese Interventionen werden in der aktuellen systematischen Analyse von Dommisch et al. (2020)7 hinsichtlich des Langzeiterhalts von Molaren mit Furkationsbeteiligung unter optimalen Bedingungen ähnlich gut bewertet, im Mittel überleben über 60 Prozent der Molaren zehn Jahre in der unterstützenden Parodontitistherapie (UPT). Patientenindividualisierte präventive und therapeutische Maßnahmen der UPT4 sind zwingend einer erfolgreichen aktiven Therapiephase anzuschließen (Abb. 2).9
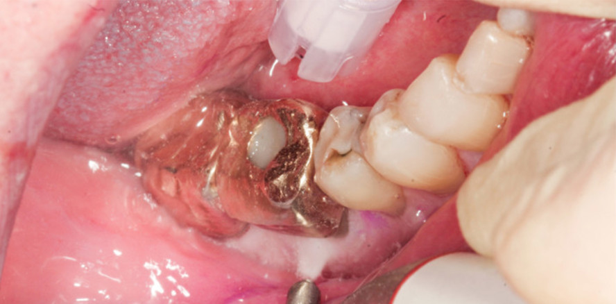
Nur so können erneute parodontale Entzündungen verhindert und einer möglichen Progression der Erkrankung zuvorgekommen werden.10 Dabei können sowohl Handinstrumente oder maschinelle Schall- bzw. Ultraschallscaler zur Entfernung von mineralisierten und nicht mineralisierten Biofilmen als Methode des konventionellen mechanischen Debridements zum Einsatz kommen (Abb. 4a und b).11,12 Für nicht mineralisierte Biofilme nimmt das sogenannte Air-Polishing einen immer größer werdenden Stellenwert ein.13 Jedoch sind, um das umliegende Hart- und Weichgewebe nicht zu traumatisieren, nur niedrigabrasive Pulver zur Behandlung von Biofilmen auf Zahn- und Wurzeloberflächen geeignet (Abb. 4c und d).13,14 Dies können z. B. Glycin- oder Erythritpulver sein, die beide nachweislich eine schnelle und zuverlässige Entfernung supra-/subgingivaler Biofilme bei einem hohen Maß an Komfort bieten.14,15 Entsprechend aktueller Studien ermöglichen weiter- entwickelte Pulver mit verringerter mittlerer Korngröße (z. B. bei Glycin ca. 25 μm bzw. Erythritol ca. 14 µm) eine maximale Schonung der Weich- und Hartgewebe bei gleichzeitigem maximalem Reinigungseffekt.16–18 Jedoch wird die Methode teils kontrovers in der Wissenschaft diskutiert, gerade auch, weil beispielsweise nur wenig Erkenntnisse zu den klinischen Vor- und Nachteilen des Air-Polishing-Verfahrenes in morphologisch komplexen Bereichen, wie der Furkation gegenüber dem konventionellen Instrumentieren mit Handküretten/maschinellen Scalern und klassischer Politur im Rahmen der UPT, vorliegen.19 Verschiedene aktuelle klinische Studien griffen das Thema auf. So zeigten Petersilka et al. (2021) über einen mittleren Beobachtungszeitraum von fünf Jahren, dass Molaren mit Furkationsbeteiligung einen Trend zur Verschlechterung des Furkationsstatus aufwiesen, wenn sie in der UPT ausschließlich mit einem supragingivalen Düsenkopf im Vergleich zur konventionellen Reinigung mit Küretten und maschinellen Scalern gereinigt wurden.12 Ein möglicher Grund für diesen negativen Trend könnte darin bestehen, dass in der Studie ausschließlich supragingivale Düsen verwendet wurden und kein Aufsatz speziell für tiefere Taschen. Eine andere Studie von Ulvik et al. (2021) untersuchte die Veränderung klinischer Parameter bei Verwendung von Erythritolpulver gegenüber Kürette und Ultraschallscaler bei der Behandlung von Unterkiefermolaren mit Furkationsgrad II in der UPT.20 Die Autoren fanden trotz der Verwendung einer speziellen subgingivalen Düse während des Air-Polishing nach sechs Monaten Beobachtungszeit einen signifikanten Unterschied im klinischen Attachmentlevel zugunsten der Kürette und Ultraschallscalergruppe. Auf Basis dieser eher ernüchternden klinischen Behandlungsergebnisse stellte sich eine Kieler Arbeitsgruppe21 die Frage nach möglichen Ursachen dafür und entwickelte ein In-vitro-Modell, um unter reproduzierbaren Versuchsbedingungen die Effektivität der subgingivalen Biofilmentfernung mit zwei verschiedenen maschinellen Scalern (Schall- und Ultraschall) im Vergleich zu zwei verschiedenen Air-Polishing- Geräten mit und ohne subgingivale Düsenansätze an Molaren mit durchgehenden Furkationen zu untersuchen.22 Auch die Kieler Arbeitsgruppe konnte in der experimentellen Untersuchung zeigen, dass mittels maschineller Scaler eine bis zu 1,7-fach höhere Reinigungsrate des Furkationsbereichs gegenüber der Air-Polishing-Methode möglich ist, wobei der Schallscaler mit einer filigranen Parospitze (1AP, W&H) rund 46 Prozent aller Flächen des Furkationsbereichs suffizient zu reinigen vermag.21 Nur ein Air-Polishing-Gerät mit starrer subgingivaler Düse unter Verwendung von Glycinpulver (LM-ProPowerTM, LM-Instruments Oy; Abb. 3a) zeigte eine vergleichbar hohe Reinigungsleistung bei gleichzeitig 1,3-fach verkürzter Behandlungszeit. Jedoch musste auch festgestellt werden, dass die Air-Polishing-Methode im Vergleich zum konventionellen Instrumentieren mit maschinellen Scalern bei Molaren mit Furkationsbeteiligung weitgehend schlechter abschnitt und somit den zitierten klinischen Behandlungsergebnissen entsprach.11,20 Eine mögliche Ursache dafür wurde im Design einer der getesteten Düsen zur subgingivalen Reinigung gefunden. Diese zerstäubt den Pulver-Wasser-Strahl großflächiger auf der Wurzeloberfläche bei gleichzeitigem vertikalem Wasserstrahl, um den sogenannten „Fließdruck“ zu reduzieren (Abb. 3b), wodurch eine besonders schonende Entfernung für Hart- und Weichgewebe des subgingivalen Biofilms im Zahnfleischsulkus ermöglicht wird. Dies scheint sehr vorteilhaft im entzündeten Weichgewebe (z. B. Vorbeugung von Emphysemen), jedoch entsteht dadurch auch ein reduzierter Druck des Reinigungsstrahls, der nun womöglich nicht mehr ausreichend „Kraft“ besitzt, um alle Bereiche der Furkation zu erreichen bzw. den etablierten Biofilm vollständig zu entfernen.18,21 Möglicherweise schneiden deshalb speziell für die subgin- givale Instrumentierung entwickelte Düsen im Bereich des Furkationsdachs schlechter ab, als es deren Design mit Zugang in tiefere Bereiche des Zahnfleischsulkus erwarten lassen. Jedoch sei angemerkt, dass diese Düsen primär für tiefe schmale Knochentaschen und nicht für den Furkationsbereich entwickelt worden sind.23 Die Anwendung dieser subgingivalen Düsen im engen Furkationsbereich gestaltete sich umständlich, teils verbogen die flexiblen Düsen bei der Arbeit in der Furkation schnell, was eine genaue „Ansteuerung“ der Wurzeloberfläche nahezu unmöglich machte und als weiterer Erklärungsansatz für die geringe Reinigungseffektivität interpretiert wurde (Abb. 3).
Allerdings kam bei der experimentellen Untersuchung eine eng anliegende Gingivamaske erschwerend hinzu, wodurch mitunter die subgingivale Instrumentierung mit den subgingivalen Düsen deutlich behindert wurde. Jedoch betraf dies auch die Handhabung der maschinellen Scaler, deren Schwingungsfrequenz und -amplitude ebenfalls gehemmt wird.24 Es sollte aber auch bedacht werden, dass eine ebensolche straffe Gingiva häufig im Rahmen der UPT vorhanden ist. Gemäß der aktuellen S3-Leitlinie9 können Parodontitispatienten mit reduziertem, aber gesundem Parodont oder mit gingivaler Entzündung in der UPT unterschieden werden, was in beiden Fällen jedoch auch in der Praxis eine ausreichende Penetration der subgingivalen Düse von Air-Polishing-Geräten in die Furkation voraussetzt (Abb. 4).
Fazit
Die Reinigungsleistung hängt von vielen verschiedenen Faktoren, einschließlich der technischen Art ab, weshalb die Air-Polishing-Methode Vorteile gegenüber den konventionellen mechanischen Schall- und Ultraschallgeräten bietet. Zu nennen wären hier z. B. die hohe Weichgewebsschonung, eine reduzierte Behandlungszeit, hohe Patientenakzeptanz gerade bei Hypersensibilitäten, adjuvante antibakterielle Wirkung (pulverabhängig) und reduzierte Geräuschentwicklung.11 Dennoch müssen auch die Nachteile, wie das potenzielle Risiko eines Emphysems, eine erhöhte Aerosolproduktion und die Begrenzung der Reinigung rein auf nicht mineralisierte Beläge berücksichtigt werden12 und bei der Auswahl der jeweiligen Methode Erwähnung finden.25 Gerade die professionelle Instrumentierung des Furkationsbereichs bleibt eine komplexe Aufgabe im Rahmen der UPT. Einige Bereiche werden mit keinem der genannten Instrumente zu 100 Prozent sicher zu reinigen sein, was zwar teils ernüchternd ist, aber auch umso mehr den Fokus auf eine fundierte Diagnostik möglicher früher Furkationsbeteiligungen legt und sicher helfen wird, den Langzeiterhalt von Molaren bei Parodontitis zu verbessern.
Dieser Fachbeitrag ist im Prophylaxe Journal erschienen.
Eine Literaturliste steht hier zum Download bereit.
Bitte beachten Sie, dass CME-Artikel nach zwei Jahren ihre Gültigkeit verlieren .
