Prophylaxe 28.08.2018
Prävention oraler Leiden bei schweren Allgemeinerkrankungen
share
Die wachsende Lebenserwartung der älteren Bevölkerung beinhaltet die Zunahme vieler chronischer Krankheiten. Viele Allgemeinerkrankungen führen nicht nur zu funktionellen Einbußen der körperlichen Beweglichkeit und mentalen Leistungsfähigkeit, sondern können sich auch direkt oder durch die damit verbundene Medikation negativ auf den oralen Gesundheitszustand auswirken und eine Anpassung von Behandlungsmaßnahmen erfordern. Andererseits können entzündliche Erkrankungen im Mund als ein möglicher Risikofaktor für kardiovaskuläre Erkrankungen angesehen werden.
Einen wesentlichen Bestandteil in der Behandlungskonzeption zur Verbesserung der Mundgesundheit bei Menschen mit schweren Allgemeinerkrankungen bilden Maßnahmen der (primären, sekundären und tertiären) Prävention. Das Ziel früh einsetzender Behandlungen ist, das Entstehen und Fortschreiten oraler Erkrankungen unter Kontrolle zu halten und das Wiederauftreten durch regelmäßige Nachsorgebehandlungen zu verhindern. Damit soll das Risiko für die Entstehung von allgemeinmedizinischen Erkrankungen und Problemen (arteriosklerotische Veränderungen, Bisphosphonat-assoziierte Kiefernekrose) vermindert werden.
Die Bevölkerungsentwicklung der Bundesrepublik Deutschland in den kommenden Jahrzehnten ist gekennzeichnet durch strukturelle Veränderungen in der Zusammensetzung der Bevölkerung. Während die Altersgruppen der unter 20-Jährigen und Personen im erwerbsfähigen Alter von 20 bis 60 Jahren schrumpfen werden, kommt es zu einer Zunahme der 65-Jährigen und Älteren von derzeit 21 auf voraussichtlich 31 Prozent im Jahre 2035.22 Nicht nur die Lebenserwartung ist kontinuierlich gestiegen, sondern auch der allgemeinmedizinische und orale Gesundheitszustand älterer Menschen hat sich deutlich verbessert. Allerdings ist mit zunehmendem Alter auch ein deutlicher Anstieg der allgemeinen Gesundheitsprobleme zu beobachten, die sich direkt oder mit der damit verbundenen (medikamentösen) Therapie negativ auf den Erhalt des oralen Gesundheitszustands auswirken können. In Verbindung mit einer gestiegenen Zahl der vorhandenen Zähne, der Zunahme von festsitzendem Zahnersatz und implantatgestützten Versorgungen können bei Senioren dentale Probleme entstehen, die einer besonderen Intervention bedürfen.
Zudem können Allgemeinerkrankungen einen Einfluss auf den oralen Gesundheitszustand und die Behandlungsmaßnahmen haben. Zu diesen zählen hauptsächlich kardiovaskuläre Erkrankungen (Herzinsuffizienz, Zustand nach Herzinfarkt oder apoplektischem Insult), der Diabetes mellitus, Skeletterkrankungen, neurodegenerative und psychische Erkrankungen (Morbus Parkinson, Demenzen, Depressionen) sowie Medikationen in Verbindung mit der Osteoporose und malignen Neoplasmen.
Besonderheiten der Mundgesundheit bei schweren Allgemeinerkrankungen
Ein reduzierter Allgemeinzustand mit eingeschränkten motorischen und/oder mentalen Funktionen ist bei vielen älteren Menschen die Ursache für eine Vernachlässigung der persönlichen Zahnpflege mit daraus folgender Zunahme einer mikrobiellen Belagbildung.
In Verbindung mit einer kohlenhydratreichen Ernährung und fehlenden Fluoridierungsmaßnahmen können sich bei diesen Patienten ausgedehnte kariöse Destruktionen entwickeln.5 Eine weitere Folge der dauerhaften Plaqueakkumulation sind gingivale Entzündungszustände, die – wenn sie über einen längeren Zeitraum bestehen – ein Risikofaktor für parodontale Destruktionen sein können.15
Durch das Auftreten bestimmter Allgemeinerkrankungen ergeben sich direkt oder durch unerwünschte Nebenwirkungen ihrer Medikation folgende Besonderheiten kariöser und parodontaler Erkrankungen:
Karies bei Störungen der Speichelsekretion
Zu den charakteristischen Problemen bei Allgemeinerkrankungen (wie Diabetes) oder bestimmten Medikationen (z. B. blutdrucksenkende oder antidepressive Medikamente und bestimmte Psychopharmaka) gehören kariöse Läsionen an Glattflächen sowie die Wurzelkaries. Häufig treten diese in Verbindung mit einer verminderten Speichelsekretion (Xerostomie) auf. Als Folge der fehlenden protektiven Wirkung des Speichels entwickeln sich kariöse Läsionen bei Xerostomiepatienten 15-mal so schnell wie bei gesunden Kontrollpersonen.12 Die rasche Progredienz ist durch die fehlende Pufferkapazität des Speichels zu erklären. Bei nachlassender Remineralisationsfähigkeit und gleichzeitig steigenden Plaqueansammlungen können Demineralisationen vermehrt an sonst wenig kariesanfälligen Flächen entstehen (Abb. 1a–c).13
Wurzelkaries
Die Wurzelkaries ist stark assoziiert mit fortschreitendem Alter und gingivalen Rezessionen. Ihr Auftreten wird begünstigt durch eine ungenügende Belagentfernung, diätische Gewohnheiten und einen verminderten Speichelfluss.2 Kariöse Zahnhalsdefekte – besonders im Approximalbereich des Zahnhalses bzw. der Wurzeln – sind sehr schwierig zu restaurieren und bereiten dem Zahnarzt häufig große Probleme (Abb. 2a und b).
Entzündliche Parodontalerkrankungen
Ältere Patienten weisen einen höheren Anteil an fortgeschrittenen parodontalen Destruktionen auf als jüngere.1 Neben dauerhaften Entzündungen der Gingiva aufgrund einer mangelhaften Zahnpflege kann bei ihnen der Diabetes ein weiterer Risikofaktor für marginale Parodontitiden und damit für einen Zahnverlust sein. Die Parodontitis tritt bei Diabetikern häufiger in einer fortgeschritteneren Form und in Verbindung mit ausgeprägten Gingivitiden auf.15,21
Gingivale Wucherungen
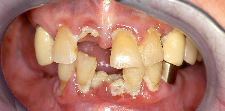
Als Folge einer antihypertonen Therapie mit Kalziumkanalblockern (Nifedipin), immunsuppressiven Medikamenten (Ciclosporin A) oder bei einer Medikation mit bestimmten Psychopharmaka (trizyklische Antidepressiva, Hypnotika und Sedativa) können bei den dafür empfänglichen Patienten gingivale Veränderungen (Wucherungen) auftreten. In fortgeschrittenen Fällen können diese die Durchführung der Mundhygiene und Therapie von kariösen Defekten in unmittelbarer Nähe der Gingiva erschweren (Abb. 1a und 3a).9
Nekrosen des Kieferknochens in Verbindung mit antiresorptiver Knochentherapie
Zur Prävention und Therapie skelettbezogener Komplikationen (Schmerzen, Spontanfrakturen) bei der Osteoporose und Knochenmetastasen beim Mamma- und Prostatakarzinom sowie dem multiplen Myelom werden seit einigen Jahren erfolgreich Bisphosphonate (BP) wie Ibandronat (Bondronat®), Pamidronat (Aredia®) und Zoledronat (Zometa®) eingesetzt.3,6,11,16 Die Hauptwirkung der BP beruht auf einer Hemmung der osteoklastenvermittelten Knochenresorption. Darüber hinaus scheinen die stickstoffhaltigen Aminobisphonate durch ihre antiangiogenetische Wirkung eine direkte antitumoröse Wirkung zu haben.10,18 Zu den schwerwiegenden Nebenwirkungen der antiresorpiven Therapie gehören Nierenschädigungen und Nekrosen des Kieferknochens.
Die Bisphosphonat-assoziierte Kiefernekrose (Osteonecrosis of the Jaw: BP- ONJ) ist definiert „durch einen exponierten Kieferknochen der Mandibula und/oder der Maxilla, der trotz adäquater Betreuung seit länger als acht Wochen freiliegt, bei vorausgegangener Medikation durch Bisphosphonate, ohne dass der Patient eine Strahlentherapie im Kopf-Hals-Bereich erhielt oder erhält“ (Abb. 4).14
Behandlungskonzepte
Grundsätzlich sollten Patienten in der Altersgruppe 65 Jahre und älter nach den gleichen therapeutischen Grundsätzen behandelt werden wie jüngere Patienten. Auch bei ihnen sollen durch zahnerhaltende und präventive Maßnahmen die natürlichen Zähne in einem gesunden, funktionellen und ästhetisch ansprechenden Kausystem langfristig erhalten bleiben. Da mit zunehmendem Alter allerdings ebenfalls das Risiko zur Entstehung von Allgemeinerkrankungen mit einem negativen Einfluss auf die Mundgesundheit steigt, ergeben sich Probleme der Therapie, die vor einigen Jahrzehnten in dieser Form noch nicht bekannt waren.
Problematik
Verschiedene lokale und systemische Faktoren können einen ungünstigen Einfluss auf den Behandlungserfolg haben8,19, wobei häufig mehrere dieser Faktoren zusammenkommen:
- Durch eine Verminderung der motorischen und/oder mentalen Leistungsfähigkeit wird bei einigen Patienten die Mundhygiene schlechter. Eine gute supragingivale Belagkontrolle ist aber unerlässlich, um die Entstehung und Progression der plaqueinduzierten Erkrankung zu verhindern bzw. aufzuhalten.
- Im Alter auftretende Erkrankungen können den Behandlungserfolg direkt (Diabetes) oder indirekt durch unerwünschte Nebenwirkungen einiger Medikamente (z. B. Xerostomie bei antidepressiven Medikamenten oder Psychopharmaka) gefährden.
- Einige therapeutische Möglichkeiten sind beim Auftreten bestimmter Erkrankungen eingeschränkt. Diese erfordern häufig eine Anpassung der Therapie an den allgemeinen Gesundheits- bzw. Erkrankungszustand der Patienten (s. modifiziertes Vorgehen).
- Eine schlechte Compliance (unregelmäßige Inanspruchnahme von Kontrollsitzungen) kann den dauerhaften Erfolg der Therapie gefährden.
Therapieziele (Prävention und Frühbehandlung)
Als Konsequenz der oben beschriebenen Schwierigkeiten ergibt sich die Notwendigkeit bei (älteren) Patienten mit schweren Allgemeinerkrankungen:
- durch ein regelmäßig durchgeführtes Vorsorgeprogramm das Risiko für die Entstehung von (Plaque-assoziierten) Erkrankungen zu minimieren (primäre Prävention)
- das Fortschreiten bestehender Erkrankungsprozesse frühzeitig unter Kontrolle zu halten (sekundäre Prävention)
- das Wiederauftreten von Erkrankungen durch regelmäßige Kontrolluntersuchungen und Nachsorgebehandlungen zu verhindern (tertiäre Prävention)
Primäre Prävention
Da schwere Allgemeinerkrankungen besonders bei Menschen im fortgeschrittenen Lebensalter auftreten, sind viele von ihnen auf die Mitarbeit ihrer Angehörigen und/oder Betreuer angewiesen. Diese müssen zunächst über die Bedeutung einer guten Mundhygiene für die orale Gesundheit informiert werden. Individuell abgestimmte Instruktionen zur Durchführung der Mundpflege sowie professionelle Zahnreinigungen sollten vom Zahnarzt/von der Zahnärztin oder den Prophylaxeassistenten/-innen durchgeführt werden.
Sekundäre Prävention
Restaurative Maßnahmen
Meistens können kariöse Destruktionen durch frühzeitig durchgeführte restaurative Maßnahmen (Füllungen/ Kronen) behoben und so ein Verlust der Zähne weitgehend vermieden werden. Nur in Ausnahmesituationen müssen tief zerstörte, nicht erhaltungswürdige Zähne entfernt werden.
Therapie von Parodontalerkrankungen
Die Behandlung marginaler Parodontopathien bei Menschen mit eingeschränkter Funktionalität und/oder systemischen Erkrankungen ist meistens problematisch. In vielen Fällen bleibt sie beschränkt auf eine schonende, aber gründliche Entfernung der supra- und subgingivalen harten und weichen Ablagerungen mit dem Ziel, den Verlauf der entzündlichen Prozesse aufzuhalten oder zumindest bis zu einem bestimmten Ausmaß unter Kontrolle halten zu können. Welche Behandlungen bei Patienten mit Allgemeinerkrankungen im Einzelnen durchgeführt werden sollten und können, ist abhängig vom oralen und allgemeinmedizinischen Erkrankungszustand sowie der Kooperationsfähigkeit des Patienten.
Therapie gingivaler Wucherungen
Die im Verlauf einer antihypertonen oder antikonvulsiven Arzneimitteltherapie auftretenden gingivalen Wucherungen werden zunächst konservativ durch eine supra- und subgingivale Belagentfernung behandelt (Abb. 1a–c, 3a und b). Erst wenn nach wiederholten professionellen Zahnreinigungen mit Mundhygieneanweisungen weit ausgedehnte, medikamentös induzierte, gingivale Wucherungen die Kaufunktion beeinträchtigen und eine Zahnpflege erheblich erschweren, ist eine chirurgische Reduktion durch eine Gingivektomie und Gingivoplastik unumgänglich.
Palliativtherapie
Die (Notfall-)Behandlung von Patienten mit schweren (lebensbedrohlichen) Allgemeinerkrankungen beschränkt sich auf absolut notwendige Maßnahmen: die Beseitigung und Vermeidung von Schmerzen, eine Infektionskontrolle, Mundhygienemaßnahmen und – so weit wie möglich – den Erhalt von Funktionen (Abb. 5a und b).20
Erhaltungstherapie (tertiäre Prävention)
Bei der Erhaltungstherapie soll ein erreichter Sanierungsgrad möglichst langfristig beibehalten werden (tertiäre Prävention). Sie ist ein wesentlicher Bestandteil der restaurativen Behandlungskonzeption und der Therapie parodontaler Erkrankungen. Die aufgrund starker Plaqueakkumulation entstandenen Erkrankungszustände werden im günstigsten Falle noch im Stadium der Entstehung behandelt, bevor irreversible Zerstörungen der Zahnhartsubstanzen bzw. des Halteapparats eingetreten sind. Die Erhaltungstherapie umfasst neben den diagnostischen Maßnahmen (klinische Untersuchung und – wenn möglich – der Anfertigung und Auswertung von Röntgenaufnahmen) eine ausführliche Instruktion und Beratung bzw. Remotivierung des Patienten und der Angehörigen bzw. Betreuer durch das zahnärztliche Team sowie die professionelle Zahnreinigung.
Prävention von Bisphosphonat-assoziierten Kiefernekrosen (BP-ONJ)
Da es sich bei der Bisphosphonat-assozierten Kiefernekrose um eine schwerwiegende Erkrankung mit möglicherweise erheblichen funktionellen und kosmetischen Einbußen handelt, sollte immer vor einer antiresorptiven oder antiangiogenetischen Therapie durch eine gründliche klinische und radiologische Untersuchung der Mundhöhle sichergestellt werden, dass keine akuten Entzündungen oder chronischen Infektionsherde vorhanden sind und diese ggf. beseitigt werden. Die betroffenen Patienten müssen umfassend über das Risiko einer BP-ONJ unterrichtet und darauf hingewiesen werden, dass zur Vermeidung von Knochendestruktionen eine gute Mundhygiene in Verbindung mit regelmäßigen Kontroll- bzw. Nachsorgeterminen (mit Mundhygienedemonstrationen und professionellen Zahnreinigungen mindestens alle drei Monate) notwendig sind.
Praktische Durchführung (modifiziertes Vorgehen)
Patienten mit schweren gesundheitlichen Beeinträchtigungen können nur unter Berücksichtigung ihres besonderen allgemeinen und oralen Gesundheitszustands sowie der Kooperationsfähigkeit zahnärztlich versorgt werden.
Allgemeiner Gesundheitszustand und Anamnese
Vor Beginn der Behandlung muss der Zahnarzt über den momentanen Gesundheitszustand des Patienten ausreichend informiert sein, denn viele Allgemeinerkrankungen erfordern besondere (Vorsichts-)Maßnahmen, die bei der Planung und Durchführung von Behandlungsmaßnahmen unbedingt beachtet werden müssen. In den meisten Fällen ist es notwendig, die übliche allgemeinmedizinische Anamnese durch eine Konsultation des behandelnden Haus- oder Facharztes zu ergänzen. Bei älteren polymorbiden Patienten mit schweren Allgemeinerkrankungen sollte jedes Mal vor Behandlungsbeginn der aktuelle Gesundheitszustand überprüft und nach Veränderung/Verschlechterung des Befindens und der derzeitigen Einnahme von Medikamenten gefragt werden.
Diagnostik
Zur Beurteilung des oralen Gesundheits- bzw. Erkrankungszustands gehört eine gründliche Inspektion der Zähne, des Zahnhalteapparats, der benachbarten Weichgewebe und des Pflegezustands des Gebisses. Um sicherzugehen, dass keine akuten Schmerzzustände oder Entzündungserscheinungen bestehen bzw. in absehbarer Zeit auftreten können, sollten – soweit möglich – Röntgenbilder angefertigt und ausgewertet werden. Patienten mit einer antiresorptiven Therapie sollten regelmäßig auf (unbestimmte) Beschwerden und Läsionen im gesamten Kieferbereich untersucht werden.
Behandlungsplanung
In die endgültige Entscheidungsfindung über mögliche therapeutische Maßnahmen werden der Patient und – falls notwendig – seine Angehörigen bzw. Betreuer eingebunden, nachdem er/sie über die erhobenen Befunde, Diagnosen, therapeutischen Möglichkeiten und Alternativen, den Behandlungsablauf, Therapieerfolg, die Behandlungsrisiken und Folgen der Unterlassung einer Therapie umfassend aufgeklärt wurde(n).4 Hervorzuheben ist, dass der erstellte Behandlungsplan sowie dessen Ablauf schriftlich fixiert und vom Patienten und/oder von den Angehörigen bzw. gesetzlichen Vertretern unterschrieben werden sollten.
Kritische Anmerkungen
Die zahnmedizinische Versorgung von Menschen mit einem reduzierten allgemeinmedizinischen Zustand umfasst ein komplexes Gebiet der Zahnheilkunde, das mit vielen Schwierigkeiten verbunden ist. Obwohl der langfristige Erhalt der natürlichen Dentition bei diesen Patienten zwar erstrebenswert, aber nicht immer realisierbar ist, sollte dennoch sichergestellt werden, dass sie keine Schmerzen haben und der Pflegezustand des Gebisses nicht vernachlässigt wird. Defizite der häuslichen Zahnpflege können bis zu einem gewissen Grad durch eine verstärkte professionelle Betreuung kompensiert werden. Diese umfasst die Demonstration einer Zahnpflege, die motorische und mentale Einschränkungen der Patienten berücksichtigt und die von ihnen und/oder den Angehörigen bzw. Betreuern durchgeführt werden kann. Der Gebrauch spezieller Bürsten (Dreikopfzahnbürste Superbrush® oder elektrische Zahnbürste) hat sich bei vielen (älteren) Patienten mit schweren Allgemeinerkrankungen bewährt. Die Anwendung fluoridhaltiger Zahnpasten und zusätzliche Mundspüllösungen zur Verminderung einer Belagbildung (z. B. Listerine Zero®) sind besonders bei Patienten mit einem verminderten Speichelfluss empfehlenswert.
Obwohl in einer neueren Übersichtsstudie alleinige professionelle, mechanische Belagentfernungen ohne eine adäquate persönliche Zahnpflege als unangemessen bewertet werden17, bleiben professionelle Zahnreinigungen und unterstützende Maßnahmen zur Mundhygiene die einzige Möglichkeit, die Kontinuität der Belagbildung zu unterbrechen (Abb. 6a und b). Bei Patienten mit einem hohen Risikoprofil für kariöse Destruktionen und/oder entzündlichen Parodontalerkrankungen sollte das Recallintervall auf vier bis sechs Nachsorgesitzungen p. a. festgelegt werden. Ob und in welchem Ausmaß es damit möglich ist, die Entstehung schwerer oraler Erkrankungen gänzlich zu verhindern, bleibt abzuwarten. Dennoch sollte auf diese Betreuungsmaßnahmen nicht verzichtet werden, da durch regelmäßige Nachsorgesitzungen die Möglichkeit besteht, eine Verschlechterung des oralen Gesundheitszustands früh zu erkennen und zu therapieren.
Obwohl bislang kein eindeutiger kausaler Zusammenhang von Parodontitis und Arteriosklerose nachgewiesen werden konnte23, ist seit Langem durch epidemiologische Studien eine mögliche Verbindung beider Erkrankungen bekannt.7 Daher sollten Patienten mit parodontalen Entzündungen und anderen kardiovaskulären Risikofaktoren wie Hypertonie, Rauchen, Diabetes, Übergewicht etc., die innerhalb des vergangenen Jahres nicht ärztlich untersucht oder behandelt wurden, zu einer ärztlichen Untersuchung überwiesen werden.24
Für die Praxis ergeben sich zudem folgende Schlussfolgerungen: Bei jedem älteren Patienten sollte im Rahmen der Eingangsuntersuchung und regelmäßig durchgeführten Kontrollsitzungen immer der allgemeine Gesundheitszustand überprüft werden. Die Art und der Umfang der Behandlung werden bestimmt von dem individuellen Gesundheitszustand des Patienten und seiner Fähigkeit zur Kooperation und Durchführung der persönlichen Zahnpflege. Karies- und parodontitispräventive Maßnahmen mit Mundhygienedemonstrationen und professionellen Zahnreinigungen sollten regelmäßig (möglichst vierteljährlich) durchgeführt werden. Bei Patienten mit einem stark reduzierten Allgemeinbefund sollten keine umfangreichen und invasiven Behandlungsmethoden durchgeführt werden. Bei ihnen sollten sich die therapeutischen Maßnahmen auf eine Grundbehandlung mit Kontrolluntersuchungen, Schmerzbeseitigungen und Zahnreinigungen beschränken.
Die vollständige Literaturliste gibt es hier.
Der Fachbeitrag ist im Prophylaxe Journal erschienen.
Bitte beachten Sie, dass CME-Tests nach zwei Jahren ihre Gültigkeit verlieren.
