Zahntechnik 08.04.2013
Freude in der Zahntechnik
share
Das Telefon klingelt … Kunden, Patienten, Vertreter, Familie … Arbeiten müssen möglichst persönlich in der Praxis besprochen, geplant, abgeholt, angefertigt, kontrolliert, eingesetzt werden … mit viel Engagement, Präsenz, Freude, Ausdauer … guter Laune, Spaß an der Arbeit, Verständnis für Patienten, Kunden und … Termindruck, Kostenbeschränkungen, hohen Erwartungshaltungen … ein Riesenspagat … Zahntechnik eben! Und die Ästhetik? Wer kümmert sich um diese anspruchsvolle Dame? Woher kommt die Motivation? Arbeitsklima, Laborführung, Fortbildung, Ehrgeiz, Ehrgeiz, Ehrgeiz … eine hohe Messlatte im Labor, die stetig etwas höher gelegt wird.
Ästhetik im Alltag
Grundvoraussetzung für eine vorhersagbare Ästhetik ist eine sorgfältige Planung im Zusammenspiel Zahnarzt–Patient–Zahntechniker. Diese ist aus Erfahrung eine Grundmaxime in meinem Labor geworden. Wir investieren und nehmen uns die Zeit bei der sorgfältigen Vorbereitung unserer Arbeiten, um uns dann in der heißen Phase der Anfertigung die Freude am Arbeiten nicht durch zeitraubendes Korrigieren, Schleifen, Umbrennen, Umstellen zu nehmen. Wir wollen unsere Nerven schonen, damit wir den Blick für die Ästhetik nie verlieren müssen.
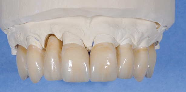
Der Fall
Zur reproduzierbaren Planung im normalen Laboralltag gehören Fotostatus, Wax-up, Mock-up, Bisseinstellungen über temporäre Aufbissteilchen und viel Besprechung. Anhand eines Patientenfalles möchte ich unsere Vorgehensweise kurz darstellen (Abb. 3–5).
Zur Planung dieser Komplettrestauration erstellten wir ein Wax-up, scannten dieses und fertigten in allen vier Quadranten PMMA-Aufbissteilchen (Abb. 6a–c, 7). Während dieser Testphase konnte der Patient rund um die Uhr überprüfen, ob er mit der neuen Bisslage beschwerdefrei und die von uns vorgeschlagene Ästhetik zufriedenstellend ist. Diese Testphase nutzen die Patienten auch als erweiterte Ansparphase für ihre doch oft hohe finanzielle Investition.
Nachdem von allen Seiten grünes Licht zur definitiven Anfertigung der Arbeit gegeben wurde, starteten wir im Team zur Quadrantensanierung.
Dabei beginnen wir grundsätzlich im Seitenzahngebiet, um die Bisslage zu stabilisieren. Außerdem bleibt der Patient bis zum Behandlungsende motiviert, weil erst dann als finaler Höhepunkt die Front als ästhetisches Highlight restauriert wird. Somit verlässt ein zufriedener Patient nach circa neunmonatiger Behandlung funktionell und ästhetisch optimal eingestellt die Praxis (Abb. 8–11).
Resultate
Bei konsequenter Planung der Behandlungsfälle sind die unter den Abbildungen 14 bis 22 gezeigten Ergebnisse möglich. In einem Fall erfolgte auch ein Full Wax-up, um daraufhin ästhetisch und funktionell gelungene Zirkonkronen 13–23 zu setzen (Abb. 22). Jede neue Arbeit stellt sich für uns als neue Aufgabe dar. Das ist unsere Motivation, unser Antrieb, das lässt Zahntechnik Spaß machen!
Pola For Aligners
TRIOS 6
CYTECpro + CONTECpro
BeautiLink SA
mμILLUSION Color Malfarben und -pasten
breCAM.multiCOM+
PALA Mill&Cast
Luxatemp MaxProtect
breCAM.base
Leaf Expander® Hybrid