Zahntechnik 17.02.2012

Belastbarkeit von Keramiken – Ursachen für Frakturverluste



Belastbarkeit von Keramiken – Ursachen für Frakturverluste

Dentalkeramische Restaurationen leiden im Gegensatz zu metallischen oder polymeren Werkstoffen unter ihrer extremen Sprödigkeit und neigen deshalb stark zu Frakturen und Abplatzungen (Chippings). Mit der Einführung von Zirkonoxid als hochfestes und bruchzähes Gerüstmaterial lassen sich Ergebnisse erzielen, die hinsichtlich Belastbarkeit und Lebensdauer dem klinischen Erfolg von metallgetragener Restauration gleichkommen.

Trotz der hochfesten Eigenschaften dentalkeramischer Restaurationen wird die Fraktur immer noch als häufigste Versagensursache genannt. Gerade bei den Verblendkeramiken auf Zirkonoxidgerüsten werden gehäuft Chippings beobachtet. Der Beitrag erläutert anhand von klinischen Beispielen vielfältige Ursachen wie z.B. herstellungsbedingte Faktoren und gibt Empfehlungen für eine keramikgerechte Verarbeitung. Bis heute sind metallgetragene Restaurationen das Mittel der Wahl für kaulasttragende Indikationen im Seitenzahnbereich. Dabei werden Dentalkeramiken als Verblendmaterial eingesetzt. Neben der Verblendung war deren Eignung jedoch nur auf Einzelkronenversorgungen, Inlays und Veneers beschränkt. Der silikatische, amorphe Ursprung dieser Keramiken erlaubte keine ausgedehnteren Indikationen gerade unter Scher- oder Zugbelastungen. So wurde bei bewährten, metallkeramischen Systemen die jährliche Rate an Verblendfrakturen zwischen 0 und 4% nach 2–7 Jahren beziffert.1 Versuche, aus herkömmlichen Silikatkeramiken vollkeramische Kronen oder gar Brücken für den Seitenzahnbereich herzustellen, scheiterten zumeist an der mangelnden Belastbarkeit. Klinisch werden für Dentalkeramiken gerade im Inlaybereich hohe Überlebensraten berichtet. So berichtet ein früherer Übersichtsartikel über die Qualität von CEREC (Sirona, Deutschland) Inlays eine Überlebensrate von 97,2% nach 4,2 Jahren Beobachtungsdauer.2 Eine aktuellere Publikation berichtet von einer 90%igen Überlebensrate von CAD/CAM-gefertigten Inlays und Onlays nach 10 Jahren.3 Prospektive, klinische Studien zu den benannten Indikationen zeigten Überlebensraten zwischen 93,7% nach 6 Jahren4, 90,4% nach 10 Jahren5, 95% nach 11,5 Jahren6 oder 86% nach 12 Jahren Beobachtungsdauer.7 Ebenso wurden in Studien mit hohen Fallzahlen von 2.328, 1.588 oder 1.010 Inlays/Onlays Überlebensraten von 95,5%, 97% und 84,9% nach entsprechend 9  Jahren8, 10 Jahren9 oder 11,8  Jahren10 verzeichnet. Als eine der meist auftretenden Ursachen für klinisches Versagen kristallisierte sich (neben Sekundärkaries) die Restaurationsfraktur heraus.11 Frakturen werden dabei besonders in frühen Stadien oder aber nach langer Tragedauer verzeichnet.7 Um Ursachen über den Frakturmechanismus zu finden, wurde unter anderem versucht, die klinischen Langzeiterfahrungen für eine leuzitverstärkte Glaskeramik (Empress, Ivoclar, Liechtenstein) mit experimentellen Lebensdauervorhersagen aus dem Labor zu korrelieren.12 So konnte die Degradation (bzw. Korrosion) von silikatischen Keramiken unter Ermüdungsbelastung als entscheidendes Kriterium für späte klinische Frakturen identifiziert werden, während Einschleifprozesse oft für frühes Versagen verantwortlich sind.

Klinische Situation

Metallfreie Einzelkronenversorgungen können sowohl als einheitliche Restauration aus einer monolithischen Keramik oder auch in Verbindung mit einer hochfesten Gerüstkeramik hergestellt werden. Für den kaulasttragenden Seitenzahnbereich haben sich dabei eher die gerüstgetragenen Systeme aus Lithiumdisilikatkeramik, Aluminium- oder Zirkonoxid bewährt. So erreichen vollkeramische Systeme zunehmend eine vergleichbare Bruchresistenz zu metallgetragenen Systemen. Ein systematischer Übersichtsartikel zu kontrolliert-prospektiven und retrospektiven, klinischen Studien bewertete den Langzeiterfolg von vollkeramischen im Vergleich zu metallischen Einzelkronenversorgungen und fand vergleichbare Überlebensraten von entsprechend 93,3% und 95,6% nach 5 Jahren.13 Weiterhin trafen die Autoren eine Einteilung nach verwendeten Materialien. So zeigten besonders die Systeme aus   dicht gesintertem Aluminiumoxid (Procera, Nobel Biocare, Schweden) und leuzitverstärkter Glaskeramik (Empress, Ivoclar, Liechtenstein) keine signifikanten Unterschiede zu Metallkeramiken. Geringere Lebenserwartungen wurden für infiltrierte Oxidkeramiken (InCeram Alumina/Spinell, VITA, Deutschland) und nichtpartikelverstärkte, glaskeramische Kronen im Seitenzahnbereich beobachtet. Die häufigste Bruchursache für vollkeramische Kronen war die komplette Restaurationsfraktur gefolgt von Abplatzungen (Chippings) in der Verblendung. Chippings wurden an vollkeramischen Restaurationen weniger häufig als an den metallgetragenen Pendants beobachtet. Zirkonoxid (ZrO2) erlebte in den letzten zehn Jahren aufgrund des massiven Fortschritts der CAD/CAM-Technologien einen wahren Boom als gänzlich bioinerte, hochfeste Keramik für ausgedehnte Brückenkonstruktionen im kaulasttragenden   Seitenzahnbereich. Gerade aufgrund der herausragenden Eigenschaften in puncto Festigkeit und Zähigkeit (und damit der bevorzugte Einsatz in der vollkeramischen Brückenprothetik) wurde der Einsatz von Zirkonoxid für Einzelkronenversorgungen weniger stark beforscht. Trotzdem zeigen klinische Studien auch für diese Indikation eine herausragende Überlebensrate von 100% nach 214 bzw. 315 Jahren. Eine weitere Studie mit allerdings kleinen Fallzahlen zeigte für zirkonoxidgetragene Einzelkronen eine Überlebensrate von 93,4% nach 2 Jahren16. Dehnt man den Vergleich zwischen metallgetragenem und vollkeramischem Zahnersatz jedoch auf drei oder mehr frei getragene Brückenglieder aus, so zeigt sich immer noch eine höhere Überlebensrate und Verlässlichkeit der metallgetragenen Systeme (94,4% nach 5 Jahren) im Vergleich mit vollkeramischem Zahnersatz (88,6% nach 5 Jahren).17 Der signifikante Unterschied hat seinen Ursprung in der immer noch mangelnden Festigkeit der verwendeten Gerüstkeramiken. So wurden hier besonders viele   Gerüstfrakturen der verwendeten, infiltrierten Oxidkeramiken oder Glaskeramiken verzeichnet. Im Gegensatz dazu beobachtete man vielversprechenden klinischen Erfolg  bei Verwendung von Zirkonoxid als Gerüstmaterial. In jüngeren Studien konnte von Überlebensraten von 97,8%18 oder gar 100%19-21 berichtet werden. Allerdings ist auch die Verwendung von Zirkonoxid kein Allheilmittel gegen Frakturen. Voraussetzung für den Erfolg von vollkeramischen Restaurationen ist die strikte Einhaltung von Präparations- und Verarbeitungsrichtlinien, die zum Teil erheblich vom gewohnten Umgang mit Metallkeramik abweichen. Es werden z.B. bei optimaler Fertigung, Randgestaltung und Einhaltung der Verbinderdimensionen keine Frakturen der ZrO2-Gerüste verzeichnet. Abbildungen 1a–c verdeutlichen einen unsachgemäßen Umgang mit Zirkonoxid, der zur Gerüstfraktur führte.22 Laborversuche zur Kantenfestigkeit von verblendeten Zirkonoxidgerüsten zeigen überdies, dass Chipping in der Verblendung das Problem darstellt und weniger die Delamination vom tragenden Gerüst. Die Autoren klinischer Studien berichten ein häufiges Auftreten von Chippingfrakturen auf zirkonoxidgetragenen Brückenkonstruktionen.18,20,21 Chipping ist zwar ein Kriterium, das nicht zwangsläufig zum Ersatz führen muss (und in vielen Fällen mit Kunststoff repariert  werden kann), jedoch kann dies nicht der Anspruch an eine qualitativ hochwertige, ästhetische und zudem noch teure Versorgung sein.


Keramische Materialeigenschaften und ­Frakturmechanismen

Dentalkeramiken können aufgrund ihrer Zusammensetzung in drei Gruppen eingeteilt werden (vgl. Abb. 2a–c):

1. Silikatkeramiken setzen sich aus Quarz, Feldspat und Tonerde zusammen, wobei der   Tonerdeanteil aufgrund der benötigten Transluzenz äußerst gering ist. Silikatkeramiken bestehen stets aus einer amorphen Glas- und einer Kristallphase. Obwohl die Transluzenz der Glasphase durchaus von ästhetischem Vorteil ist, ist sie anfälliger gegenüber mechanischen und chemischen Belastungen als die Kristallphase. Keramiken auf silikatischer Basis können mit Flusssäure geätzt, silanisiert und adhäsiv verarbeitet werden.

2. Polykristalline Oxidkeramiken aus Al2O3 bzw. ZrO2 besitzen so gut wie keine amorphe Glasphase, vielmehr um dicht gepackte, kristalline Kornstrukturen, die aus einphasigen, einkomponentigen Metall-oxiden bestehen. Diese Materialien besitzen eine enorme Festigkeit und hohe Bruchzähigkeit und werden deshalb bevorzugt als Gerüstkeramiken eingesetzt. Da besonders Zirkonoxid eine diamant-ähnliche Härte zeigt, werden die angesinterten, „kreideartigen“ Grünlinge im CAD/ CAM-Prozess in Form gebracht und anschließend dicht gesintert. Oxidkeramiken können weder mit Flusssäure geätzt noch silanisiert werden.

3. Glasinfitrierte Oxidkeramiken bezeichnen poröse Oxidkeramikgerüste, die nachträglich mit einem speziellen Lanthanglas infiltriert werden. Nach Fertigstellung enthalten sie neben kristallinen oxidkeramischen Kristallen amorphe Glasstrukturen. Es gibt diese Materialien auf Spinell, Alumina oder Zirkonoxidbasis. Der Vorteil besteht in der erleichterten CAD/ CAM-Formgebung durch das weiche poröse Gerüstmaterial und einer anschließenden Stabilisierung mit Glas. Der amorphe Glasanteil ist ätzbar und adhäsiv verarbeitbar.

Jede Keramik ist je nach Mikrostruktur und Zusammensetzung mit unterschiedlichen physikalischen und mechanischen Eigenschaften ausgestattet. Allen gemein ist eine  extrem niedrige Flexibilität (und damit hohe Sprödigkeit), die zu spontanen Frakturen führen kann, wenn eine gewisse Belastungsgrenze überschritten wird (vgl. Abb. 3a–c). Klinisch werden jedoch auch Brüche in den Verblend- oder Gerüstkeramiken verzeichnet, obwohl die durchschnittlichen Kaukräfte selbst im kaulasttragenden Seitenzahnbereich deutlich unter der Bruchfestigkeit der eingesetzten Keramiken liegen.23 Da Keramiken unter normaler, okklusaler Belastung sehr widerstandsfähig sind, ist es sehr wahrscheinlich, dass andere Faktoren dazu beitragen, intraorale Frakturen trotzdem auszulösen. So können sich z.B. durch eine falsche Brennführung innere Spannungen ausbilden, die dann eine zusätzliche Belastung auf die Restauration ausüben. Auch durch Einbringen von Fehlern in die Oberfläche (Einschleifen, s. Abb. 4) oder in die oberflächennahe Mikrostruktur (Blasen, ­Poren, Verunreinigungen) wird die Bruchfestigkeit einer Restauration deutlich verringert.24 Eine Belastung (z.B. die Kaubelastung) unterhalb der erträglichen (kritischen) Materialfestigkeit wird im Fachchargon als „unterkritische“ Belastung bezeichnet. Solche unterkritischen Belastungen führen nicht zu spontanen Frakturen, sondern schwächen eine Restauration durch stete, z.B. zyklisch wirkende Ermüdungsbelastung.25 In einem spröden Material, wie es Dentalkeramiken sind, bewirken diese Kräfte die Erzeugung von oberflächennahen Rissen und eine weitere, langsame Ausbreitung solcher Risse ins Innere der Keramik bis hin zum Bruch. Die Fähigkeit einer Keramik, solcher unterkritischer Rissausbreitung zu widerstehen, bestimmt dann auch die Häufigkeit von spät auftretenden Ermüdungsfrakturen und damit letztendlich die Lebensdauer einer Restauration im Mund des Patienten.12 Da sich Risse in der Keramik ausgebreitet und vermehrt haben, ist die Materialfestigkeit nach Ermüdungsbelastung natürlich ebenso reduziert und es kann dann zum spontanen Bruch einer Restauration unter normaler Kaubelastung führen. Rissausbreitung wird speziell in silikatischen Keramiken, wie Glas- und Feldspatkeramiken, durch das korrosive Einwirken von Wasser unterstützt.26 Ein hoher Glasanteil bzw. niedriger, kristalliner Anteil in der Mikrostruktur begünstigt diesen Mechanismus in feuchter Umgebung. Solche Keramiken werden häufig als Verblendmaterial eingesetzt, da der hohe Glasanteil für eine gute Transluzenz und ästhetische Erscheinung steht. Diese Materialien sind generell mechanisch weniger stabil als oxidkeramische Gerüstmaterialien wie Zirkonoxid oder Aluminiumoxid. So ist auch verständlich, dass der Einsatz solcher Materialien ohne unterstützendes Gerüst zu einer tendenziell höheren Bruchanfälligkeit führt (Abb. 5a und b).

Glas- oder Feldspatkeramiken sowie auch dicht gesinterte Aluminium- oder Zirkonoxidkeramiken bestehen entweder teilweise aus Kristalliten, eingebettet in einer glasigen, amorphen Matrix (Abb. 2a und b), oder komplett aus Kristallkörnern (Abb. 2c). Kristallite besitzen zwar eine ähnliche chemische Zusammensetzung wie die umgebende Matrix, sie unterscheiden sich jedoch aufgrund ihrer Kristallstruktur in ihren physikalischen Eigenschaften. Dieser Effekt wird gezielt zur Optimierung von Festigkeit und Bruchzähigkeit genutzt. Besonders zähigkeitssteigernde Maßnahmen (z.B. Rissablenkung, Abb. 6) haben für die so spröden Keramiken einen hohen Wert.27 Über die Faktoren wie die Kristallitform, -größe, Konzentration, räumliche Verteilung oder auch durch unterschiedliche thermische Ausdehnung können gezielt die mechanischen Eigenschaften eingestellt werden.28 Zähigkeitssteigernde Maßnahmen sind gerade in den vollkristallinen Materialien Aluminium- oder Zirkonoxid sehr wirksam und erreichen höhere mechanische Eigenschaften im Vergleich zu silikatischen Materialien.29 Materialien mit geringem oder gar keinem Glasanteil werden deshalb auch bevorzugt als Gerüstmaterialien verwendet. Versuche, die Festigkeit der glasinfiltrierten Oxidkeramik InCeram durch Austausch der Aluminiumoxidkörner (InCeram Alumina, VITA) mit Zirkonoxidkristalliten (InCeram Zirconia, VITA) zu steigern, waren wenig erfolgreich, da die infiltrierte Glasphase weiterhin bestand und den schwächsten Teil des Materials darstellte, in der sich Risse nach wie vor ausbreiten konnten.29 In dicht gesintertem Zirkonoxid sind die Kristallite nicht in einer Glasmatrix verteilt, sondern verstärken sich gegenseitig. Für dentale Anwendungen wird Zirkonoxid mit geringen Mengen (2–5mol%) Ceroxid oder Yttriumoxid legiert, um die Größe und Kristallart bei Raumtemperatur gezielt einstellen zu können (yttria stabilized tetragonal zirconia polycrystal [Y-TZP]). Die bevorzugte kristalline, tetragonale Struktur (t) des Zirkonoxid ist in Abb. 1c zu sehen, und wird bei Temperaturen über 1.140°C durch das Yttriumoxid stabilisiert und bleibt beim Abkühlen metastabil erhalten (bei Raumtemperatur würde Zirkonoxid normalerweise in monokliner Kristallform [m] vorliegen). Dies führt zu Spannungen im Gefüge, die bei Rissausbreitung freigesetzt werden können. Dann findet an der Rissoberfläche die spontane Umwandlung der tetragonalen in monokline Kristallite statt. Diese Phasentransformation ist mit einer Volumenzunahme von 4–5% verbunden. Dieser Effekt wird gezielt zur Zähigkeitssteigerung genutzt und ist einzigartig im Zirkonoxid. Im Prinzip wird an der Spitze eines sich ausbreitenden Risses Energie freigesetzt, die die spontane Umwandlung und damit die Volumenzunahme an den Rissflanken einleitet, die dann durch erhöhte Scher- und Druckspannungen in der Umgebung der Rissspitze einer weiteren Rissausbreitung entgegenwirken.30 Weiterhin werden durch die Ausdehnung der Körner kleine Mikrorisse an den Korngrenzen produziert, die zusätzlich Energie verbrauchen. Die Eigenschaft der spontanen Phasenumwandlung macht Zirkonoxid als hoch bruchzähe Keramik (KIc = 10MPam0,5) sehr zuverlässig, was den Einsatz als tragendes Material unter ausgedehnten Brücken nahelegt und durch klinische Studien mittlerweile auch bestätigt werden konnte.

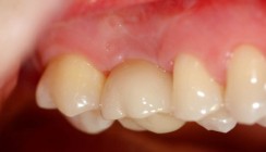
Trotz der exzellenten mechanischen Eigenschaften von Zirkonoxid wird immer häufiger vom Auftreten von Chippingfrakturen in den Verblendungen einer Zirkonoxidkeramik berichtet (Abb. 7a–f). In Laborexperimenten konnte gezeigt werden, dass die hauptsächliche Versagensursache bei Verwendung von Zirkonoxid in Chippingfrakturen zu finden ist, während z.B. Lithiumdisilikatkeramiken dies nicht zeigen.31 Wenn sich ein Riss von der Oberfläche einer Verblendkeramik (niedriger E-Modul, geringe Bruchzähigkeit) ins Innere ausbreitet und an die Grenze zur Gerüstkeramik (hohes E-Modul, hohe Bruchzähigkeit) stößt, wird er entweder gestoppt oder an der Grenzfläche abgelenkt.32,33 Die komplette Fraktur auch des Zirkonoxidgerüstes ist äußerst selten, denn sie bedarf ­extrem hoher Kräfte, die weit über den normalen okklusalen Kaukräften liegen.31 Das Chippingphänomen in Zirkonoxidkeramiken kann auch durch die Ausbildung von thermischen Spannungen in der Verblendkeramik erklärt werden. Unterschiedliche thermische Eigenschaften (Wärmeausdehnung, thermische Leitfähigkeit) können zum Aufbau dieser Spannungen während des Brennvorgangs führen. Dies kann ein hohes Ausmaß annehmen, besonders wenn die Wärmeausdehnungskoeffizienten (WAK) von Gerüst und Verblendung stark voneinander abweichen.34 Generell sind die Druckspannungen in der Verblendkeramik zur Vorbeugung von Frakturen förderlich, und werden durch unterschiedliche WAKs verursacht. Dabei wird für die Verblendung ein Ausdehnungskoeffizient gewählt, der zu der Gerüstkeramik leicht reduziert ist. Mit steigender Sintertemperatur werden Gerüst und Verblendung gleichermaßen aufgeheizt bis das Glas schmilzt. Im Falle eines positiven thermischen Unterschieds (WAK(Verblendung) < WAK(Zirkonoxid)) wird die Verblendung beim Abkühlen von der Sintertemperatur unter Druckspannung gesetzt, was einen positiven Effekt auf die Widerstandsfähigkeit der Restauration hat. Dies beruht auf dem Prinzip des Emaillierens bzw. Glasierens. Die meisten Hersteller bieten Verblendmaterialien mit leicht reduzierten Ausdehnungskoeffizienten gegenüber ihrem Systemgerüst an. Das Erzeugen von Druckspannungen in der Verblendkeramik ist somit ein gewähltes Mittel, um Verbundfestigkeiten zu maximieren. In der Zahnmedizin  hat man jedoch – im Vergleich zu einfach dimensionierten Emails oder dünnen Glasuren – äußerst unregelmäßige Restaurationen mit unterschiedlichen Flächen, Radien, Winkeln und Schichtdicken. Dies führt dazu, dass Druckspannungen sehr inhomogen verteilt auftreten. Es konnte bereits in einer Studie gezeigt werden, dass die Festigkeit von vollkeramisch verblendeten Restaurationen dann maximal wird, wenn erst gar keine Spannungen erzeugt werden bzw. die  beiden WAKs von Gerüst und Verblendung aufeinander abgestimmt sind.35 Dabei wurden auch weniger Chippingfrakturen beobachtet. Chippings auf Zirkonoxidgerüsten können jedoch auch aufgrund der geringen Wärmeleitfähigkeit von Zirkonoxid entstehen. Im Gegensatz zu anderen Gerüstmaterialien (Aluminiumoxid, Lithiumdisilikatkeramik, Edelmetalle) besitzt Zirkonoxid eine extrem geringe thermische Leitfähigkeit. Das bedeutet, dass Zirkonoxid die Hitze sehr viel langsamer aus der darüber liegenden Verblendung abführt. Bei zu schneller Öffnung des Ofens kann es deshalb sein, dass zuerst die Oberfläche der Verblendung erstarrt, während grenzflächennahe Bereiche am Zirkonoxid immer noch als viskose Schmelze vorliegen, die dann langsamer abkühlen. Letztendlich bilden sich dann in so einer Restauration Druckspannungen an der Verblendoberfläche und Zugspannungen an der Grenzfläche zum Zirkonoxid aus. Diese extremen Spannungszustände sind besonders in Restaurationen mit dicken Verblendschichten deutlich ausgeprägt.34 Es konnte gezeigt werden, dass die Abkühlgeschwindigkeit einen entscheidenden Einfluss auf die Ausbildung solcher Spannungen hat.34,36 Hohe Abkühlgeschwindigkeiten führen also zur Ausbildung von Druckspannungen in der Oberfläche einer Restauration. Dieser Effekt trägt zur Steigerung der mechanischen Eigenschaften bei.37 In der Glasindustrie wird dies zur thermischen Vorspannung von Gläsern (gehärtetes Glas) gezielt eingesetzt.

Der Effekt der Festigkeitssteigerung beruht hauptsächlich in den eingebrachten, thermischen Eigenspannungen, besonders der oberflächennahen Druckspannungen. Falls sich ein Riss durch die Druckspannungszone ausbreiten sollte, kann er sich um ein Vielfaches leichter im Inneren der unter Zugspannung stehenden Verblendkeramik ausbreiten, was unweigerlich zur Fraktur führt. Der Riss kann sich hin zur Grenzfläche zum Zirkonoxid entwickeln oder aber abgelenkt werden und sich in der Verblendung ausbreiten, was sich dann als Chipping äußert. Für einen Zirkonoxid-Verblendkeramik-Verbund konnte gezeigt werden, dass sich die Spannungen maximal entwickeln, wenn man von 20°C oberhalb der Glasumwandlungstemperatur schnell abkühlt.36 Dies macht deutlich, dass durch die ­Kontrolle besonders des Abkühlprozesses während des Sintervorgangs die Frakturanfälligkeit und damit die klinische Lebensdauer beeinflusst werden kann. Die sehr dünne, unter Druckspannung stehende Oberflächenzone dient also als Schutz für die darunter liegenden, unter Zugspannung stehenden und damit schwächeren Bereiche. Die Entfernung der Oberflächenschicht bzw. Freilegung der darunter liegenden Bereiche kann auf zwei unterschiedliche Weisen hervorgerufen werden: durch die Kontaktabrasion im Mund (Abb. 7a–f und Abb. 8a und b) eines Patienten oder durch intraorales Anpassen der Okklusion (Abb. 9a–c). Während ersteres durch den natürlichen Kauprozess über Jahre im Mund des Patienten (oder beschleunigt bei nichtphysiologischer Bruxismusbelastung) auftritt, wird im zweiten Fall die schützende Schicht in Minuten entfernt und die Restauration geschwächt. Sowohl rotierende Bearbeitung wie auch der natürliche Abrieb verringern nicht nur die Widerstandsfähigkeit  einer Restauration, sondern schaffen auch durch die steigende Rauigkeit neue Risskeime, die sich ausbreiten und Frakturen auslösen können (Abb. 8a und b).24 Tatsächlich konnte auch klinisch in einer prospektiven Studie über zwölf Jahre gezeigt werden, dass die Ursachen für Frakturen im initialen Einschleifen oder im Abrasionsprozess zu finden sind.7,12

Strategien zur Vorbeugung und Vermeidung von keramischen Frakturen

Aufgrund der beschriebenen Besonderheiten von spröden Keramiken und Zirkonoxid und aufgrund der bis dato gesammelten klinischen Erfahrung im Umgang mit dem Werkstoff, konnten Empfehlungen für den keramikgerechten Umgang definiert werden (Weiterführende Informationen werden auch unter www.ag-keramik.eu bereitgestellt). Keramikfrakturen oder Chippings in der Verblendung können dadurch minimiert werden, dass über die komplette Fertigungskette einer Restauration (Hersteller – Labor – Praxis) folgende Kriterien Beachtung finden:

  • Kontraindikationen für Vollkeramik beachten: Bruxismus, Parafunktion, fehlende Front-Eckzahnführung, Deck-/Tiefbiss, Kiefergelenkbeschwerden, gelockerte Zähne, unzureichende Mundhygiene etc. (Praxis).
  • Wahl einwandfreier Ausgangsmaterialien zertifizierter Hersteller sowohl als Gerüst- wie auch als Verblendmaterialien (Hersteller/Labor).
  • Für ausgedehnte Restaurationen im kaubelasteten Seitenzahnbereich sind nur die dafür indizierten Materialien zu wählen (bevorzugt hochfeste, hochzähe Materialien; Labor/ Praxis).
  • Abstimmung von Gerüst- und Verblendmaterialien hinsichtlich angepasster Wärmeausdehnung, um Spannungen im Herstellprozess zu vermeiden (Empfehlung: Im System bleiben; Labor).
  • Entspannungsabkühlung (langsame Abkühlung nach dem Sinterbrand der Verblendkeramik) besonders bei Verwendung von Zirkonoxid zur Vermeidung von inneren Spannungen in der Verblendkeramik (Chippinggefahr; Labor).
  • Keramikgerechte Präparation hinsichtlich Mindestschichtstärken, Übergangswinkeln (Innenwinkel und koronare Stumpfkanten sind abzurunden, Gestaltung möglichst rechter Winkel) und Verbinderdimensionen. Die anatomische Formgestaltung einer Kronenkappe oder eines Brückengerüstes ist empfohlen, um eine gleichmäßige Verblendschicht zu erzielen (Praxis).
  • Präparation von Stufen und Hohlkehlen, keine flachen Hohlkehlen, Tangentialpräparationen und Abschrägungen (Praxis).
  • Vermeidung extensiven Beschleifens des Gerüstes und des Innenlumens ohne Wasserkühlung (besonders mit grobkörnigen Diamantschleifern) oder Abstrahlen der Keramikoberflächen mit zu hohem Strahldruck oder zu groben Strahlmittel (Labor/Praxis).
  • Wenn bearbeitet werden muss, soll mit nur feinen Diamantwerkzeugen unter Wasserkühlung oder sandstrahlen mit feinen Korngrößen (35µm) und schonendem Druck (<1,5bar) gearbeitet werden (Labor/ Praxis).
  • Einprobe ist vor der Verblendung bzw. vor dem Glanzbrand empfohlen (Praxis).
  • Nach Möglichkeit ist eine stoffschlüssige, adhäsive Befestigung einer konventionellen Zementierung vorzuziehen (Praxis).
  • Beachtung funktioneller Gegebenheiten verbunden mit mehrmaliger Nachkontrolle der Okklusion nach der Eingliederung (Praxis).
  • Endvergütung durch Polieren oder durch zusätzlichen Glanzbrand, um die Lebensdauer einer Restauration im Mund zu steigern. Der Glanzbrand ist einer Abschlusspolitur vorzuziehen (Praxis).
  • Die Lebensdauer einer Keramikrestauration kann durch regelmäßige Nachkontrolle auf Abrasionsspuren und Nachpolitur gesteigert werden  (Praxis).
Mehr Fachartikel aus Zahntechnik

ePaper