Branchenmeldungen 15.05.2012
Ästhetik in ihrer schönsten Form
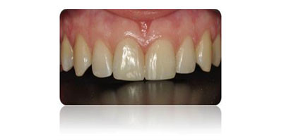
Ästhetik in seiner schönsten Form – was haben das neue Venus® Pearl Nano-Hybridkomposit und hochwertige Perlen gemeinsam? Ihre Schönheit ist am besten anhand der exzellenten Ästhetik und dem langfristigen Hochglanz zu sehen. Verliehen bekommen Sie ihre Schönheit durch ihre hervorragenden Materialeigenschaften. Das neue, cremige Nano-Hybridkomposit Venus® Pearl zeichnet sich besonders durch sein komfortables Handling aus. Dank perfekter Farbadaption und Mehrschicht-Technik werden mit dem innovativen Versorgungsmaßstab natürliche, langlebige Restaurationen erzielt. Abgerundet wird das Bild durch die hervorragenden physikalischen Eigenschaften.
Venus® Pearl Komposit: Ästhetik in seiner schönsten Form

Mit Venus® Pearl Nano-Hybridkomposit wird Ihnen von Heraeus Dental ein neuer, innovativer Versorgungsmaßstab bereitgestellt. Das neue, lichthärtende, radioopake Nano-Hybridkomposit steht für exzellente Ästhetik, die einfach nur schön anzusehen sind. Indikationsgebiet sind adhäsive, zahnfarbene Restaurationen im Front- und Seitenzahnbereich. Die cremige Konsistenz überzeugt besonders mit hervorragenden Handlingseigenschaften. Sein Farbadaptions-Potential und das bewährte Schichtkonzept ermöglichen natürliche, langlebige Restaurationen.
Cremige Konsistenz, einfach im Handling
Die cremige Konsistenz von Venus® Pearl eignet sich besonders für feine Detailarbeiten. Die ausgezeichnete Modellierbarkeit und verlängerte Verarbeitungszeit vereinfachen das Handling und sorgen für komfortables und effizientes Arbeiten. Ultrafein gemahlene Füllstoffpartikel begünstigen die Polierbarkeit und erzielen einen dauerhaften, natürlichen Hochglanz. Im Rahmen eines aktuellen Feldtests (Januar 2012) haben Zahnmediziner in einer Reihe von europäischen Ländern sowie in den USA die Handlingseigenschaften von Venus® Pearl getestet und dem Produkt professionelle Anwenderfreundlichkeit bestätigt. Mit dem cremigeren Venus® Pearl und dem festeren Venus® Diamond bietet Heraeus nun zwei hochästhetische Komposite mit überlegenen physikalischen Eigenschaften an, die nach persönlichen Vorlieben sowie Indikationen eingesetzt werden können.
Die perfekte Ergänzung der Erfolgsformel
Die patentierte Monomermatrix und das Nano-Hybrid Füllstoffsystem der neuen Komposit-Generation von Heraeus Dental verbessern die physikalischen Materialeigenschaften. Die bereits von Venus® Diamond bekannte Basisformel vereint minimalen Schrumpfstress und hohe Biegefestigkeit in einer einzigartigen Weise. Diese sind entscheidend im Schutz vor Sekundärkaries und Frakturen, den Hauptgründen für das Versagen von Füllungen. Durch das optimierte Füllersystem sorgt die einzigartige physikalische Struktur von Venus® Pearl für eine höhere Geschmeidigkeit im Vergleich zu Venus® Diamond.
Langlebige Ästhetik
Durch den abgestimmten Brechungsindex von Füllstoffen und Monomer-Matrix passt sich nach der Polymerisation die Farbe der Füllung der umgebenden Zahnhartsubstanz perfekt an und sorgt für ein natürliches Aussehen. Das breite Farbspektrum mit 27 Farben und drei Transluzenzstufen erzielt unsichtbare Restaurationen. Mithilfe des Venus® Family Shade Guides und des Venus® Pearl Layering Guides gelingt ein optimales ästhetisches Ergebnis sowohl bei der Einschicht- als auch Mehrschichttechnik.
Vorteile für ein breites Indikationsgebiet
Aufgrund seiner herausragenden Materialeigenschaften ist Venus® Pearl vielfach einsetzbar. Es eignet sich für direkte (Klasse I-V) und indirekte Restaurationen, ästhetische Korrekturen, Schienung gelockerter Zähne, Milchzahnrestaurationen, Reparaturen von Keramik- und Kompositrestaurationen, direkte Kompositveeners und für Stumpfaufbauten. Venus® Pearl - als vordosierte Kapsel (preloaded tip, PLT) und Spritze erhältlich - ist mit allen gängigen Adhäsivsystemen und Bondingtechniken kompatibel und setzt die langjährige Komposit-Erfolgsgeschichte von Heraeus fort.
Weitere Informationen zum Produkt und ihren persönlichen Ansprechpartner für Ihre Region zur individuellen Terminvereinbarung erhalten Sie hier.