defaultContestImage

Leider kein Gewinn!

Suchen Sie weiter, die nächste Flasche könnte ein Gewinner sein.

rivetContestImage
Branchenmeldungen 17.03.2015

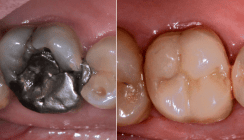
Die Qual der Wahl: Welches Füllmaterial ist das richtige?

Die Qual der Wahl: Welches Füllmaterial ist das richtige?

Foto: © Sebastian Kaulitzki - Fotolia.com

Neuer „ZahnRat“ informiert über Füllungsmaterialien

„Wenn der Zahn aber nu 'een Loch hat?“ … dann stellt sich die Frage nach der Art der Füllung: Amalgam, Keramik oder Gold? Damit der Patient für sich besser entscheiden kann, klärt die Patientenzeitschrift „ZahnRat“ der ostdeutschen Landeszahnärztekammern in ihrer neuesten Ausgabe über  Vor- und Nachteile der verschiedenen Füllungsmaterialien auf.

Damit der Zahnarzt erst gar nicht bohren muss, gibt es die drei guten Tipps: gute Pflege der Zähne auch mit Hilfe der Professionellen Zahnreinigung, zahngesunde Ernährung sowie regelmäßige Zahnarztbesuche. Aber nicht immer lässt es sich vermeiden, dass durch Karies der Zahnhartsubstanz Mineralien entzogen wird. Die krankhafte Stelle muss entfernt werden – es entsteht ein mehr oder weniger großes Loch. „Für die Füllung stehen dem Patienten zahlreiche Materialien zur Auswahl. Sie unterscheiden sich beispielsweise in ihrer Haltbarkeit, der Kaustabilität oder dem Verarbeitungsaufwand“, erläutert Dipl.-Stom. Bettina Suchan, Vorstandsmitglied der Landeszahnärztekammer Brandenburg. Auch die Größe des Defektes ist entscheidend, welches Füllungsmaterial genommen werden kann.

Gemeinsam mit dem Zahnarzt hat der Patient die Qual der Wahl, ob er die klassische Amalgam- oder Kunststofffüllung haben möchte. In der modernen Zahnmedizin stehen aber auch Komposite, Glasionomerzemente, Gold oder Keramik zur Verfügung. „Der ,ZahnRat 84‘ klärt die Patienten im Vorfeld darüber auf, welche Vor- und Nachteile die jeweilige Füllung hat. Für jedes Material wird der Aufwand beschrieben und zudem deutlich gemacht, welche Pflege im Anschluss benötigt wird“, fasst die Zahnärztin zusammen.

Die 84. „ZahnRat“-Ausgabe liegt ab sofort in den Wartezimmern der Zahnarztpraxen aus und ist zudem im Internet unter www.zahnrat.de zu finden. Natürlich kann die Patientenzeitschrift das beratende Gespräch mit dem Zahnarzt nicht ersetzen – aber gute Hintergrundinformationen liefern.

Hintergrund:

Seit mehr als 20 Jahren geben die Landeszahnärztekammern Brandenburg, Mecklenburg-Vorpommern, Sachsen, Sachsen-Anhalt und Thüringen gemeinsam den „ZahnRat“ heraus. Die Patientenzeitschrift erscheint quartalsweise und liegt in den Wartezimmern von Zahnarztpraxen aus. Jede Ausgabe beschäftigt sich mit einem speziellen Thema der Zahnmedizin. Alle bisherigen Ausgaben sind im Internet unter www.zahnrat.de im Bereich „Archiv“ einsehbar.

Quelle: Landeszahnärztekammer Brandenburg

Mehr News aus Branchenmeldungen

ePaper