Cosmetic Dentistry 21.05.2013

Nur Zähne – und doch große Kunst!



Nur Zähne – und doch große Kunst!

Komplexe Lösungsmöglichkeiten der kooperativen Zusammenarbeit

Einleitung
Die Korrektur der Zahnstellung und Zahnform erfolgt heute nicht nur aufgrund einer Sanierungsbedürftigkeit des Patienten, sie ist vielmehr als Herausforderung auch im an sich gesunden Gebiss zu sehen, wenn sich der Patient aus soziokulturellen Gründen zur ästhetischen Anpassung seines dentalen Erscheinungsbildes entscheidet. Demnach ist die moderne Zahnmedizin aktuell weit mehr als die geschichtliche Wiederherstellung der Kaufunktion bei karies- oder parodontal bedingten Substanzverlusten. Nimmt man die Herausforderungen und Wünsche des Patienten ernst und betrachtet die zahlreichen Möglichkeiten im Bereich der Hybridzahntechnik, muss die moderne Zahnmedizin nicht nur die Zahngesundheit sichern. Sie liegt heute zwischen ästhetischer Wirklichkeit und materialabhängigen Grenzen, zwischen Wahrheit und Fiktion, zwischen Genie und Wahnsinn – ja zwischen dem zahnärztlich Möglichen und dem Übergang zum künstlerischen Handeln.

Hinter all diesen Facetten steht der Patient, dessen Wunsch und die Erfüllung des gleichen jeden ästhetisch arbeitenden Zahnarzt treibt, denn bezeichnet man sich zahnärztlich als Ästhet, so wird auch von dieser Person verlangt, dass ein Ergebnis erreicht wird, welches keine Wünsche offen lässt. Genau in diesem Punkt steht der praktizierende Zahnarzt – hat er kein kompetentes und interdisziplinär uneingeschränkt vernetztes Team hinter sich – zwischen Genie und Wahnsinn, denn komplexe Arbeiten aus mehreren Händen, die untereinander nur bedingt kommunizieren können, tragen immer die Gefahr in sich, nicht nur den Behandler, sondern auch den Patienten aufgrund von zahlreichen Kompromissen in den Wahnsinn zu treiben. Das dann vorhandene Genie geht leider verloren und ist nur noch in Nuancen erkennbar. Kooperatives Zusammenarbeiten unter einem Dach schafft Möglichkeiten, die weit über die normale Zahnmedizin hinausgehen. Fügt man die einzelnen Fachgebiete uneingeschränkt zusammen – so wie es in großen Zentren der Fall ist –, entstehen Spielräume, die zu künstlerischen Ergebnissen führen und nicht nur den Patienten begeistern.

Die in dem vorliegenden Artikel dargestellte Patientin gehört zu der Gruppe moderner Herausforderungen, die nicht in einer Sitzung erfolgreich und langfristig zu planen ist. Der Wunsch nach uneingeschränkter Ästhetik wird in vielen Fällen durch die Medien verstärkt, und Schwierigkeiten entstehen dann – und das bezeichne ich gerne als Fiktion –, wenn Patienten mit „Wunschzähnen“ anderer sehr bekannter Personen das Zentrum betreten und Bilder vorlegen, die ästhetisch ohne Kompromisse sind, jedoch nicht auf andere Gesichtsformen übertragen werden können. Es ist entscheidend für die finale Satisfaktion des Patienten, dass bereits in der ersten Sitzung die Wahrheit eindeutig von der Fiktion getrennt wird und nur noch das im Raum steht, was für den individuellen Patienten die ästhetisch optimale Lösung darstellt.

Fallbeispiel
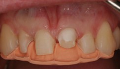
Die in dem aktuellen Artikel vorgestellte Patientin zählt exakt zu der Gruppe, die gerne ästhetisch nicht korrigierte Fehler der Zahnstellung aus der fehlenden Versorgungsmöglichkeit in der Vergangenheit korrigiert haben möchte. Die Patientin leidet weder unter ausgedehnter Karies noch unter einer Parodontalerkrankung (Abb. 1–3). Aus zahnärztlicher Sicht würde daher kein intensiver Behandlungsbedarf resultieren. Dennoch leidet die Patientin unter ihrer Zahnstellung, dem „Zahnfleischlachen“ und unter der subjektiv als zu dunkel empfundenen Zahnfarbe. Sie muss darüber aufgeklärt werden – und das sollte stets unabhängig davon sein, ob in der Praxis die gesamte Bandbreite der modernen Zahnmedizin abgedeckt wird und der Patient für eine optimale Lösung an Fachkollegen zu überweisen ist –, dass es unterschiedliche Möglichkeiten gibt, um dem Problem sinnvoll und langfristig zu begegnen.

Therapievorschläge
Eine der ersten Gedanken war die kieferorthopädische Korrektur der Angle-Klasse II/2. Durch die Retroinklination und die Extrussionstellung der großen mittleren Inzisivi entsteht ein zusätzlicher Gummy-Smile, der durch Intrusion und Anteinklination der Oberkiefer-Inzisivi korrigiert werden könnte. Bei ausgeprägter Diskrepanz zwischen Ober- und Unterkiefer – die in dem dargestellten Fall nicht vorlag – könnte ebenfalls über eine kieferorthopädisch-chirurgische Kombinationstherapie nachgedacht werden. Die Planung einer kieferorthopädischen Behandlung hätte bei der 30-jährigen Patientin den Vorteil, dass die Zahnhartsubstanz gänzlich geschont werden könnte und man dafür sorgt, dass die Inzisivi in ihrer achsgerechten Position belastet werden. Als nachteilig könnte gesehen werden, dass die Behandlung im Erwachsenengebiss in der Regel nicht unter einem Jahr zu realisieren ist und durch Intrusionen – bei dem vorliegenden Fall in der Oberkieferfront aufgrund des deutlich sichtbaren Gingivabereiches zu empfehlen – irreversible Resorptionen entstehen können, die zur Minderung der Stabilität der Zähne beitragen. Die unterschiedlichen Möglichkeiten der modernen Kieferorthopädie wurden der Patientin vorgestellt (Multiband, Lingualbrackets und Invisalign), jedoch entschied sie sich für eine prothetische Lösung, denn durch die Regulierung der Zähne mittels Zahnspangen würde sie sich über eine längere Zeit soziokulturell eingeschränkt fühlen, und die Dauer der Behandlung war für sie in keiner Weise denkbar. Aus zahnärztlicher Sicht blieb nur noch die prothetische Lösung, wobei streng auf den Erhalt der gesunden Zahnhartsubstanz geachtet worden ist.

Therapie
Vor der ästhetischen Planung und der Herstellung einer denkbar optimalen Situation wurden die Zähne bis zur gewünschten Zahnfarbe der Patientin mittels Bleaching aufgehellt, die sie über längere Zeit beobachten konnte und somit lange vor prothetischer Lösung die in diesem individuellen Fall optimale Zahnfarbe feststand (Abb. 4–5). Zudem ist die anschließende Versorgung mit hauchdünnen Veneers optisch einfacher, wenn sich die Zähne im Ton nicht um mehrere Farbstufen unterscheiden. Der Zahntechniker aus der hauseigenen Premium-Zahntechnik erstellte ein Wax-up zur ästhetischen Gesamtplanung mit den beteiligten Ärzten. Anhand dieses Wax-ups, kombiniert mit Röntgenbildern und extra- wie auch intraoralen Fotos, wurden die notwendigen Einzelschritte festgelegt und die Patientin über den zu erwartenden Outcome informiert.

Zu Beginn wurde die Zahnfarbe bestimmt und die gewünschte Herabsetzung der Gingivahöhe markiert, und die klinischen Kronen wurden anschließend mittels Reduktion der Gingiva- und Knochengrenze nach zervikal verlagert (Abb. 6–7). Vor Beginn der Präparation ist es in solchen Fällen ratsam, Silikonschlüssel zu erstellten, um den Materialabtrag so gering wie möglich zu halten. Spezielle Diamanten ermöglichten zu Beginn die Festlegung der Abtragstiefe auf der Schmelzoberfläche (Abb. 8–14). Nach erfolgreicher Präparation der Zähne 15–22 und 32–42 erfolgte das sorgfältige Legen der Retraktionsfäden, um eine einwandfreie Darstellung im Bereich der Präparationsgrenzen während der Abformung erreichen zu können. Die Zähne würden mittels individueller Löffel abgeformt und die Bisslage mithilfe selbsthärtender Kunststoffe und dem Anlegen eines Gesichtsbogens der Firma SAM auf den Artikulator übertragen (Abb. 15–18).

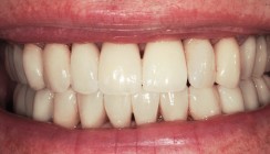
Bei der Herstellung war darauf zu achten, dass die Form der Zähne, welche in der Ästhetikplanung festgelegt und im Anschluss von unserem Leiter der Premium-Zahntechnik in Wachs übertragen wurde, bereits in der provisorischen Lösung zur Darstellung kam (Abb. 19). Es gibt in vielen Praxen und Kliniken zu diesem Thema die Meinung, dass Provisorien nicht unbedingt der fertigen Lösung in Ästhetik und Funktion angepasst werden sollten, denn damit bestünde die Gefahr, dass die Patienten so zufrieden sein könnten, dass sie die Termine für die definitive Rekonstruktion nicht wahrnehmen. Genau das Gegenteil ist der Fall, denn erfährt der Patient während der Phase bis zur Fertigstellung – welche bei einer großen ästhetischen Arbeit lange dauern kann – nur positive Zustimmungen aus seinem Bekanntenkreis, so ist er umso mehr gewillt, die Arbeit so rasch wie möglich zu einem erfolgreichen Abschluss zu bringen. Die ästhetische Ausführung der Veneers bzw. der 360°-Veneers erfolgte erneut im hauseigenen Premium-Labor. Die Restaurationen an den Zähnen realisierte der Zahntechniker mit e.max-Keramiken aus Lithiumdisilikat, die sich hervorragend für die Herstellung monolithischer Einzelzahnrestaurationen eignen. Diese sehr innovative Keramik liefert hochästhetische Ergebnisse und hat den besonderen Vorteil, dass die Festigkeitswerte um das 2,5–3-fache höher sind als bei der konventionellen Keramik. e.max kann entweder mit der Press- oder der CAD/CAM-Technologie verarbeitet werden. In dem vorgestellten Fall kam die Presstechnik zum Einsatz. Die Zähne 15–13 wurden aus dem e.max-Keramikblock der Value 1 hergestellt und mittels Maltechnik verfeinert. In der Front von 15–22 entschied sich der Zahntechniker ebenfalls für Value 1-Blöcke, diesmal aber mit der Cut-back-Technik. Die Herstellung der Keramik im Unterkiefer erfolgte mittels e.max Value 2 und unter Verwendung der Maltechnik (Abb. 20–25). Nach Fertigstellung der Laborarbeit wurde diese am Patienten beurteilt und nach Kontrolle der Passung adhäsiv eingesetzt (Abb. 26–31). Die Patientin wurde über die Hygienisierbarkeit der nun neuen Situation aufgeklärt und erhält regelmäßige Prophylaxesitzungen.

Diskussion
Selbstverständlich ist die Entscheidung zur ästhetischen Rekonstruktion allen beteiligten Ärzten und dem Zahntechniker nicht ganz einfach gefallen, da die Situation zumindest von der Stellung der Zähne sehr gut mit konventionellen kieferorthopädischen Maßnahmen hätte verbessert werden können. Die Zahnform der mittleren Inzisivi hätte aber auch in solch einem Fall deutlich mittels Schmelzplastik und approximaler Schmelzreduktion angepasst werden müssen. Zudem wäre es aufgrund der Abrasionen und der Füllungstherapien in diesem Bereich nur sehr schwierig geworden, eine einheitliche und homogene Zahnfarbe zu erreichen und diese auch langfristig zu halten. Die Entscheidung wurde letztendlich von der Patientin getroffen, denn diese hatte einen möglichst schnellen Wunsch nach deutlicher Verbesserung, und die zusätzlichen kieferorthopädischen Kosten wollte sie nicht tragen, vor allem dann nicht, wenn die Situation der Frontzähne nur im Bereich der Drehungen und Kippungen und nicht der Zahnfarbe zu verändern war.

Fazit
Alles in allem kann der Fall als äußerst gelungen angesehen werden, und das ästhetische Ergebnis zeigt die überdurchschnittlichen Möglichkeiten der modernen Zahnmedizin und Keramiktechnik. Die moderne Zahnmedizin steht heute nicht mehr nur für die ausschließliche Gesunderhaltung des stomatognathen Systems, sondern kann auch entscheidende Einflüsse auf soziokulturelle und damit auch auf Entwicklungen im Privat- und Berufsleben haben. Unbestritten konnte in Untersuchungen gezeigt werden, dass der erste Fokus auf Augen und Mund fällt und dass Erfolg auch mit dem Äußeren zusammenhängt. Beherrscht der Behandler sein ästhetisches Fachwissen nicht in Vollendung und ist in diesem Bereich vergleichbar genial, so kann der Patient am Ende der Behandlung wegen ästhetischen Unvollkommenheiten sprichwörtlich in den Wahnsinn getrieben werden. Daher ist Ästhetik eine Kunst, die aber im Vergleich zu anderen Künsten in Perfektion nur in einem interdisziplinär agierenden Team zu erreichen ist.

Mehr Fachartikel aus Cosmetic Dentistry

ePaper