Kieferorthopädie 29.01.2026

Mehrfachnutzung palatinaler Miniimplantate: Oberkieferexpansion und Molarenintrusion



Miniimplantate im anterioren Gaumen werden aufgrund ihrer einfachen Insertion, Vielseitigkeit und der sehr hohen Verlässlichkeit immer beliebter. Der anteriore Gaumen ist aufgrund seiner guten Knochendichte und der meist geringen Mukosadicke ein sicherer Insertionsort, da zudem auch das Risiko einer Wurzelverletzung minimal ist.

Mehrfachnutzung palatinaler Miniimplantate: Oberkieferexpansion und Molarenintrusion

Foto: Prof. Dr. Benedict Wilmes

Die Verwendung von skelettal verankerten Apparaturen zur Distalisierung oder Mesialisierung beim Schließen von Lücken ist mittlerweile weltweit etabliert. Mechanismen zur Molarenintrusion oder Gaumenerweiterung zur Vermeidung chirurgischer Maßnahmen in Grenzfällen wurden ebenfalls mehrfach beschrieben. Fälle, bei denen mehrere ausgeprägte kieferorthopädische Probleme vorliegen, stellen nach wie vor eine besondere Herausforderung in der Kieferorthopädie dar. Aufgrund der hohen Stabilität von Miniimplantaten im anterioren Gaumen kann man diese dementsprechend auch für mehrere Aufgaben nutzen. Da­bei gibt es zwei verschiedene Möglichkeiten zur Mehrfachnutzung von TADs (temporary anchorage devices):

  1. Einsatz von Multipurpose-Ap­paraturen, das heißt es wird nur eine Apparatur verwendet, die für mehrere Aufgaben genutzt werden kann, zum Beispiel ein angulierter Bene- oder Mesialslider für eine gleichzeitige In- oder Extrusion neben der sagittalen Zahnbewegung oder ein Hybrid Hyrax-Distalizer bzw. Hybrid Hyrax-Beneslider zur Expansion und anschließenden Distalisierung.
  2. Einsatz von mehreren verschiedenen Apparturen auf denselben Miniimplantaten, zum Beispiel erst eine Hybrid Hyrax zur Expansion, dann ein Beneslider zur Dis­talisierung. In dem in diesem Artikel beschriebenen Fall wurde zunächst eine Hybrid Hyrax zur Expansion, anschließend eine „Mausefalle“ zur Molarenintrusion eingesetzt.

Klinisches Fallbeispiel (mehrere Apparaturen auf den gleichen Miniimplantaten)

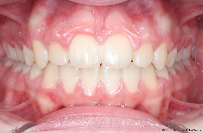
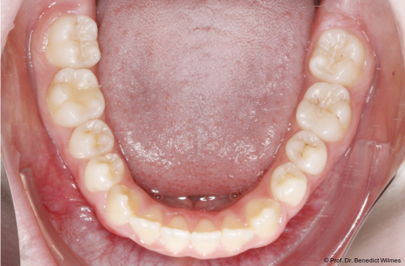
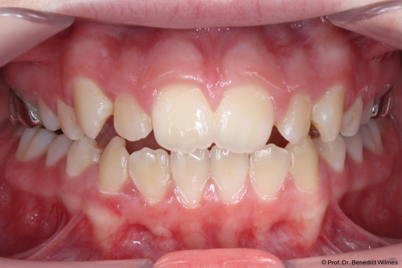
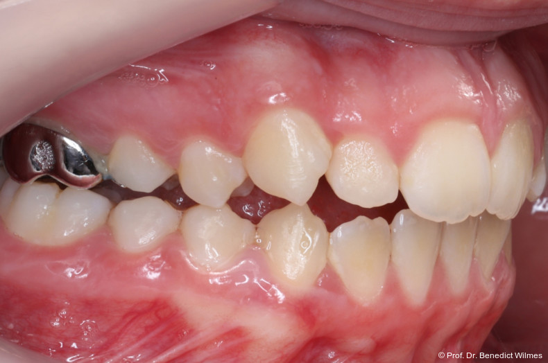
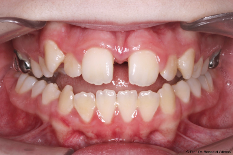
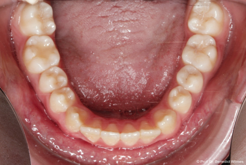
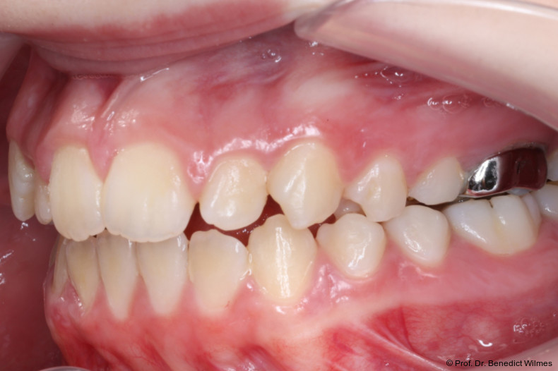
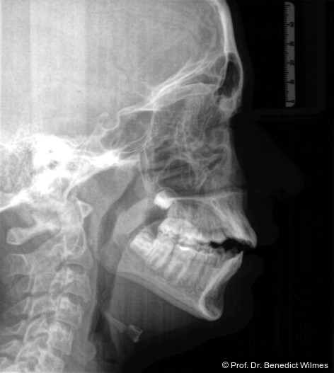
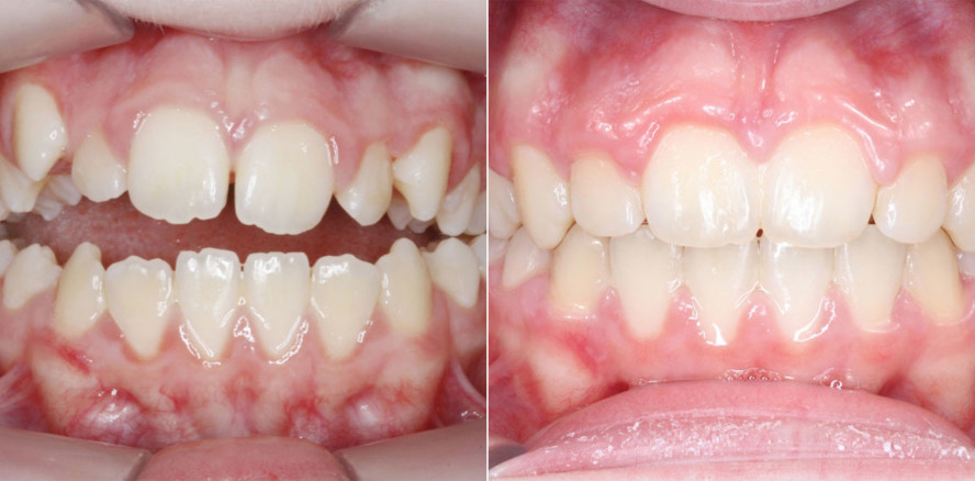
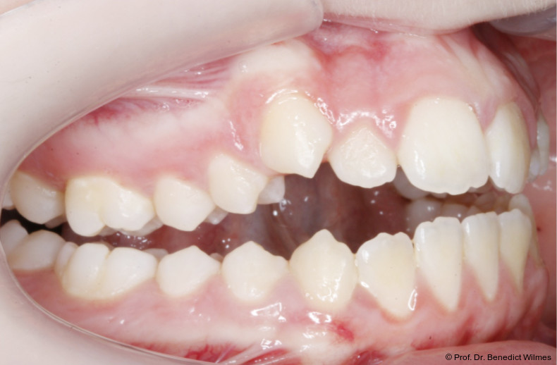
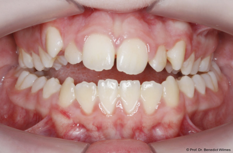
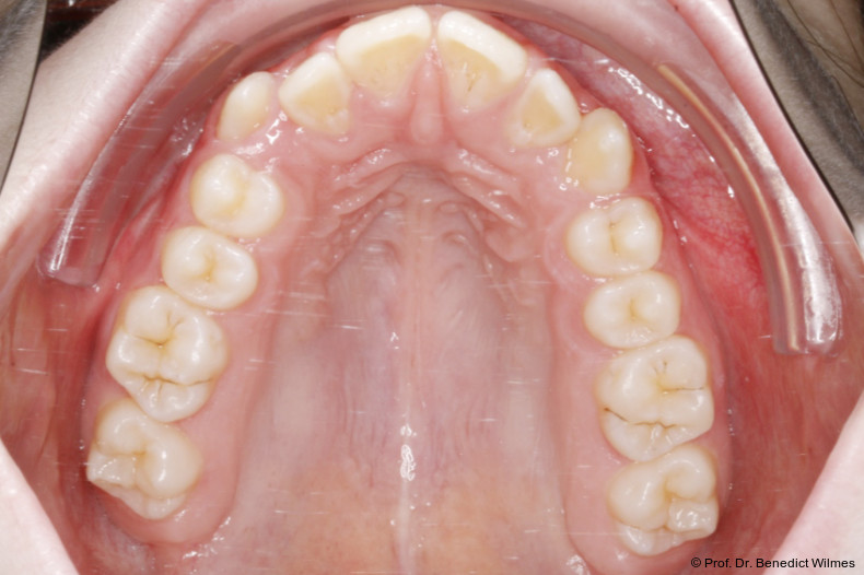
Eine 13-jährige Patientin stellte sich mit beidseitigem Kreuzbiss, einem anterioren offenen Biss und einer Angle Klasse II vor. Das viszerale Schluckmuster wurde mittels logopädischer Maßnahmen umgestellt, der offene Biss persistierte jedoch (Abb. 3a–l).

Behandlungsziele

  1. Expansion der Maxilla.
  2. Intrusion der oberen Molaren.
  3. Autorotation der Mandibula zur Korrektur des anterior offenen Bisses, zudem auch zur Korrektur der Klasse II-Relation.
  4. Ausformung der Zahnbögen mittels einer Multibracket-Apparatur.

Behandlungsalternative

Als alternative Therapie wurde die chirurgische Korrektur des offenen Bisses nach Abschluss des Wachstums vorgeschlagen. Eltern und Patientin entschieden sich allerdings für die non­chirurgische und weniger invasive Molarenintrusion.

Klinisches Prozedere

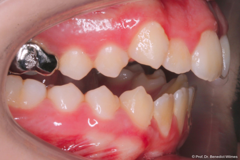
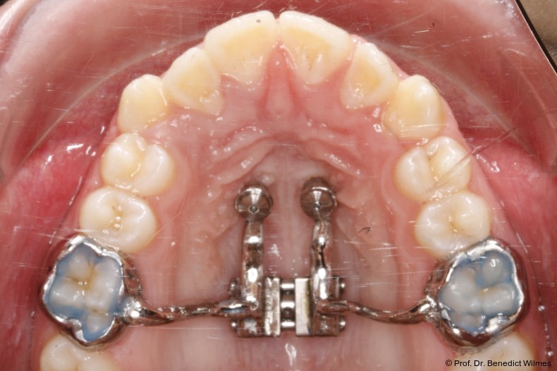
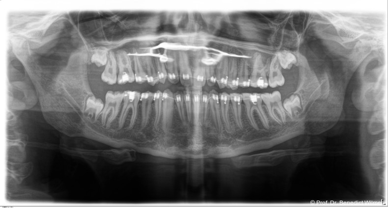
Die initiale Behandlung erfolgte mit einer CAD/CAM Hybrid Hyrax zur Expansion des Oberkiefers, verankert an zwei paramedianen Miniimplantaten (Abb. 4, Benefit, 2,0 x 9,0 mm). Anstelle klassischer Molarenbänder wurden Shells (geklebte Kappen) verwendet, wodurch die beiden Schritte Separieren und Anpassen von Molarenbändern entfallen. Die Miniimplantate und die Apparatur wurden dank eines Inser­tionsguides in nur einer Sitzung eingesetzt.

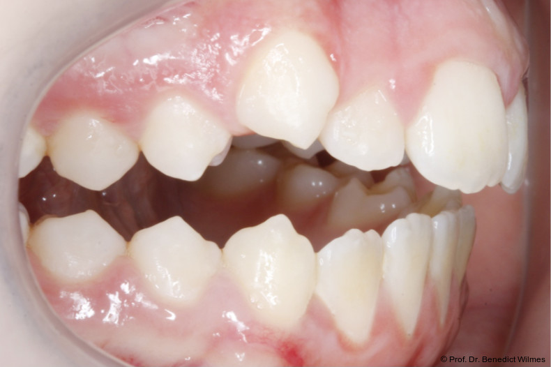
Die Shells wurden mit lichthärtendem Kom­posit befestigt. Nach Expansion des Oberkiefers (Abb. 5a–f) erfolgte eine Retentionsphase von neun Monaten, in der die Hybrid Hyrax in situ belassen wurde.

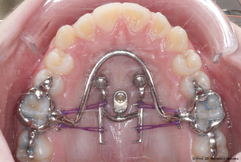
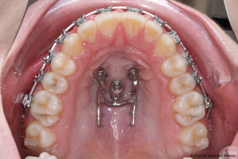
Nach dieser Rentionszeit wurde die Hybrid Hyrax entfernt und ein Scan zur Herstellung der Molarenintrusionsapparatur (digitale Mause­falle) durchgeführt. Die beiden Miniimplantatköpfe lassen sie dabei sehr gut scannen, so­genannte Scan-Bodies sind in der Regel nicht mehr notwendig. Die digitale Mousetrap-­Appa­ratur besteht aus zwei Teilen (Abb. 6):

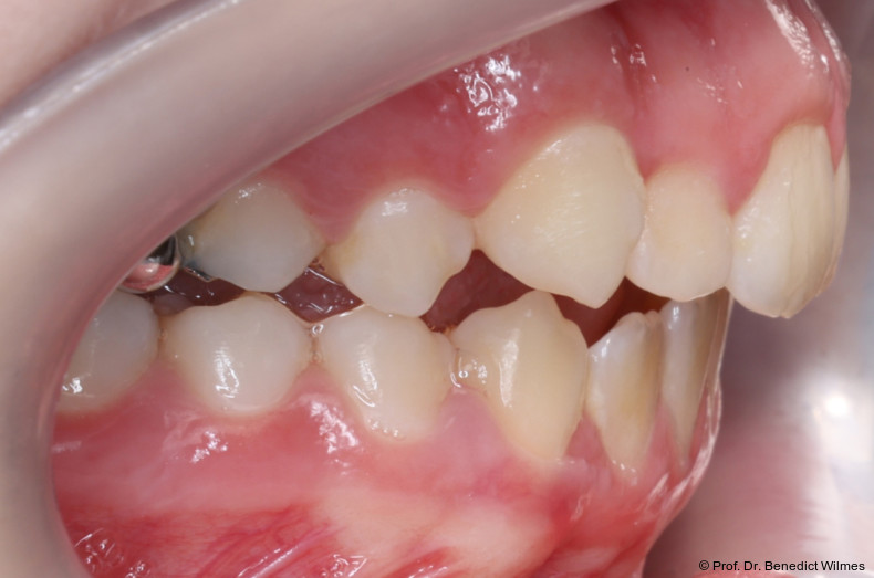
Der erste Teil ist ein TPA (bzw. Horseshoe-­Arch) mit Shells auf den ersten oberen Molaren sowie mesialen und distalen Extensionen auf den zweiten Prämolaren und den zweiten Molaren. Der TPA besitzt zudem kleine Extensionen zur späteren Befestigung von Power­chains oder NiTi-Federn. Zwischen TPA und palatinaler Mukosa sollte ausreichend Abstand eingeplant werden, um Druckstellen und Irritationen nach erfolgreicher Intrusion zu vermeiden. Die zweite Struktur wird üblicherweise an zwei oder drei Miniimplantaten im Gaumen fixiert. Sie umfasst ein H-förmiges Gerüst mit kleinen Extensionen zur Befestigung der Powerchains oder NiTi-Federn. Der biomechanische Kraftvektor ist auf die kranial (superior) positionierten Miniimplantate mit dem H-Gerüst ausgerichtet. Die erforderliche Intrusionskraft wird mit mindestens 200 g pro Seite avisiert. Die Kraft kann sowohl mittels Zugfedern oder elastischen Ketten appliziert werden, klinisch empfehlenswerter erscheinen jedoch Federn, da sie nicht bei jedem Termin gewechselt werden müssen. Aufgrund der starren Konstruktion des TPA werden Nebenwirkungen wie Kippungen der posterioren Zähne während der Kraft­applikation verhindert. Zur zusätzlichen Verankerung wurde in diesem Fall ein posteriores Benefit Direct-Implantat inseriert. Mittels der Mausefalle konnte der offene Biss erfolgreich innerhalb von acht Monaten korrigiert werden (Abb. 7a–f).

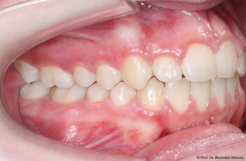
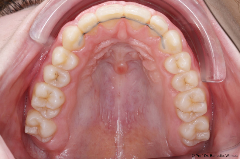
Nach erfolgreicher Expansion und Molaren­intrusion wurde eine Multibracket-Therapie zur Ausformung und Koordination der Zahnbögen durchgeführt (Abb. 8a–f). Nach Abschluss der aktiven Behandlungsphase wurden die Apparaturen entfernt und festsitzende Retainer im Ober- und Unterkiefer eingesetzt (Abb. 9a–k).

Diskussion

Das vorliegende Patientenbeispiel demon­s­triert eindrucksvoll den erfolgreichen Einsatz skelettaler Verankerung mit multifunktioneller Anwendung. Solche Apparaturen ermöglichen es oft, komplexe Behandlungsfälle zu ver­ein­fachen und in manchen Fällen eine ortho­gnathe Chirurgie zu vermeiden. In diesem Fall wurden zwei verschiedene Apparaturen kon­sekutiv verwendet, da sich eine Gaumennahterweiterungsapparatur nur sehr umständlich mit einer Molarenintrusionsapparatur zu einer einzigen Apparatur kombinieren lässt.

Autoren: Prof. Dr. Benedict Wilmes, Dr. Kristof de Cassan und Timo Schubert

KN Kieferorthopädie Nachrichten 01/26

KN Kieferorthopädie Nachrichten


Dieser Beitrag ist in der KN Kieferorthopädie Nachrichten erschienen.

Die KN Kieferorthopädie Nachrichten sind das monatliche Fachmedium für Kieferorthopäden. Im Fokus stehen standespolitische Themen, wissenschaftliche Fachinformationen und internationale Fortbildungen. Beiträge von Experten aus aller Welt vermitteln praxisnah aktuelle Trends, Innovationen und gesundheitspolitische Entwicklungen. Nach dem Prinzip „vom Spezialisten für den Spezialisten“ unterstützen die KN den Wissensaustausch, sichern Qualität und tragen maßgeblich zum Erfolg der Branche bei.

Jetzt das ePaper lesen.

Mehr Fachartikel aus Kieferorthopädie

ePaper