Cosmetic Dentistry 06.12.2011
Korrektur von Zahnform und Zahnstellung mit keramischen Veneers
share
Aufgrund ihrer hohen Ästhetik, Biokompatibilität und der sehr guten Langzeitprognose werden Keramikveneers für viele verschiedene Indikationen im Frontzahngebiet angewendet.1–5 Moderne Behandlungskonzepte eröffnen unter Einsatz der Adhäsivtechnik sowie moderner Restaurationsmaterialien die Möglichkeit einer deutlichen Reduzierung des Abtrages gesunder Zahnhartsubstanz. Dadurch eröffnen sich zahlreiche Möglichkeiten, minimalinvasiv ästhetische Korrekturen im Frontzahnbereich durchzuführen.
Neben der minimalinvasiven Präparation ist auch die Adhäsion hauptsächlich am Schmelz entscheidend für den Langzeiterfolg von keramischen Veneers. In der Literatur werden die Überlebensraten für Frontzahnveneers nach Beobachtungszeiträumen von fünf bis zwölf Jahren zwischen 91 und 98,8 Prozent angegeben.1,3,4,6  Aufgrund der gestiegenen Anforderungen und Wünsche unserer Patienten nach einer ästhetischen und harmonischen Frontzahnsituation wird der Einsatz von keramischen Veneers zur Farb-, Form- und/oder Stellungskorrektur immer häufiger. Um zum gewünschten Behandlungsziel zu gelangen, sind ein diagnostisches Wax-up und Mock-up, anhand dessen die Therapie gezielt auf die jeweilige Situation abgestimmt werden kann, und eine enge Zusammenarbeit mit dem Zahntechniker zur Auswahl der entsprechenden Keramik und Herstellungsmethode unerlässlich. Die Korrektur von Zahnform, -stellung und -farbe soll im Folgenden anhand eines Patientenfalles dargestellt werden.
 
Klinische Ausgangssituation
Die 26-jährige Patientin kam mit dem Wunsch einer Harmonisierung der Oberkieferfront in unsere Klinik. 
Sie empfand sowohl die Stellung als auch die Form der Zähne als ästhetisch sehr störend. Die Schneidekanten der mittleren Schneidezähne seien aufgrund eines Traumas im Kindesalter verloren gegangen. Eine kieferorthopädische Behandlung lehnte die Patientin von vornherein aus Zeit- und Kostengründen ab. Die Frontzahnästhetik wurde durch verschiedene Faktoren negativ beeinflusst. Die Disharmonie des Schneide-kantenverlaufs, welche nicht mehr mit der Unterlippenkurvatur übereinstimmte, sowie das durch den traumatischen und abrasiven Substanzverlust veränderte Längen-Breiten-Verhältnis der mittleren Schneidezähne. Zahn 21 war außerdem stark protrudiert und nach endodontischer Behandlung verfärbt. Zahn 12 wies eine starke Rotation nach vestibulär auf (Abb. 1, 2, 14). 
Restaurative Versorgung
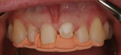
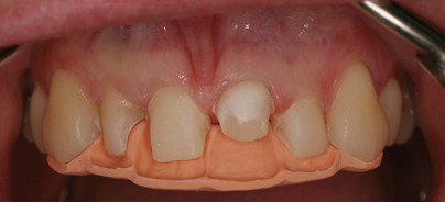
Es wurde eine Versorgung mit keramischen Veneers an 12, 11 und 22 und eine Vollkeramikkrone an 21 geplant. Zahn 21 hatte eine insuffiziente Wurzelfüllung, welche revidiert wurde. Danach wurde der Zahn intern mit Natriumperborat und 3 Prozent Wasserstoffperoxid gebleicht und adhäsiv mit einem Wurzelstift aus glasfaserverstärktem Komposit (Dentin Post, ER System, Komet, Lemgo) und einem adhäsiven Aufbau (Luxacore, DMG, Hamburg) versorgt (Abb. 3). Nach Situationsabformung und Anfertigung der Modelle erfolgte zunächst eine Probepräparation am Modell. Dabei wurde an Zahn 12 die nach vestibulär rotierte Fläche weitestgehend eingeebnet, um diesen in den Zahnbogen einordnen zu können. An Zahn 11 wurde die Präparation bis in die Approximalräume ausgedehnt, um ein harmonisches Längen-Breiten-Verhältnis herstellen zu können.  Um Zahn 21 weitestgehend in den Zahnbogen einordnen zu können, musste bei der Kronenpräparation von vestibulär ein deutlicher Substanzabtrag erfolgen, was aufgrund der endodontischen Behandlung auch möglich war. Danach wurde ein Wax-up hergestellt und die neue Frontzahnsituation mit der Patientin abgestimmt (Abb. 4 und 5).
Die Präparation der Zähne erfolgte unter Lokalanästhesie. Um den Substanzabtrag genau kontrollieren zu können, wurden anhand des Wax-ups Silikonschlüssel hergestellt. Zwei labiale Silikonschlüssel zur Überprüfung des Substanzabtrags im gingivalen und mittleren Zahndrittel und ein palatinaler Silikonschlüssel zur Überprüfung des inzisalen Substanzabtrags (Abb. 6 und 7). An den mesialen Approximalflächen beider Eckzähne wurde ein leichtes Stripping mit diamantierten Metallstreifen durchgeführt, um die überlagerten Kontaktpunkte zu den seitlichen Schneidezähnen zugänglich zu machen. Die schädelbezügliche Relation wurde mit einem Gesichtsbogen (Artex, Girrbach) bestimmt. Die Abformung wurde mit Impregum und Permadyne (3M ESPE) durchgeführt (Abb. 8). Die provisorische Versorgung wurde mithilfe einer Silikonform, die vom Wax-up genommen wurde, hergestellt. Die Silikonform wurde labial und palatinal bis zum Marginalsaum mit einem Skalpell beschnitten, sodass der Abfluss und das Entfernen überschüssigen Provisorienmaterials möglich waren (Abb. 9). Das Weichgewebe wurde zusätzlich mit Vaseline isoliert, um das Entfernen der Überschüsse zu erleichtern. Auf zusätzliches partielles Ätzen oder Bonding der präparierten Zähne wurde verzichtet, da aufgrund der vier nebeneinanderliegenden Restaurationen genügend Retention für das Provisorium vorhanden war. Nach vollständigem Aushärten des Provisoriumkunststoffs Protemp (3M ESPE) wurde die Silikonform abgenommen und überschüssiges Material mit einem Skalpell entfernt (Abb. 10). Da die neue Frontzahnsituation für die Patientin eine deutliche ästhetische, funktionelle und auch phonetische Veränderung bedeutete, entschieden wir uns, die provisorische Versorgung für eine Woche zur Probe zu tragen, bevor mit der Herstellung der definitiven Restaurationen im Labor begonnen wurde. Dadurch war die Möglichkeit gegeben, auf Veränderungswünsche der Patientin einzugehen, diese direkt am Provisorium umzusetzen und gleich auf die definitiven Restaurationen zu übertragen.
Die fertiggestellten Restaurationen aus Lithiumdisilikatkeramik (e.max Press, Ivoclar Vivadent) wurden mit Try-In Paste (Ivoclar Vivadent) einprobiert und auf Passung und Farbe kontrolliert (Abb. 11). Danach wurden die Restaurationen angeätzt (IPS Ceramics Ätzgel, Ivoclar Vivadent) und mit einem Haftsilan (Monobond S, Ivoclar Vivadent) konditioniert. Nach absoluter Trockenlegung unter Kofferdam wurden die Zähne nach Konditionierung mit 37%iger Phosphorsäure mit dem Dentinhaftvermittlersystem Syntac (Ivoclar Vivadent) vorbehandelt und die Veneers und die Krone mit Variolink II (Ivoclar Vivadent) befestigt. Die Restaurationsränder wurden, wenn nötig, mit dem Skalpell, feinstkörnigen Diamanten, Finierstreifen und Gummipolierern ausgearbeitet. Nach einer Woche erfolgte nochmals eine Okklusionskontrolle (Abb. 12, 13, 15). 
Schlussfolgerung
Die Wünsche der Patientin an Ästhetik und Funktionalität der Restaurationen konnten vollständig erfüllt werden. Die Zähne 12 und 21 konnten in den Zahnbogen eingeordnet werden, sodass eine harmonische Frontzahnsituation entstanden ist. Das Längen-Breiten-Verhältnis der mittleren Schneidezähne wurde optimiert. Die leichte Bukkalstellung der Eckzähne ist durch die Korrektur der Schneidezähne nicht mehr so auffällig. 7
Die Literaturliste zu diesem Beitrag finden Sie unter www.dentalzeitung.info
 
                             
                                         
                                                                                     
                 
                 
                 
                 
                 
                 
                 
                 
                 
                 
                 
                 
                 
                 
                 
                                 
                                 
                         
                         
                         
                         
                        