Implantologie 02.08.2016

Mit dem Wissen von heute …



Mit dem Wissen von heute …

Foto: © Autor

Vor umfangreichen konservierenden und prothetischen Sanierungen sollte eine funktionelle Vorbehandlung erfolgen.

Eine funktionelle Vorbehandlung kann unliebsame Überraschungen bei konservierenden oder prothetischen Versorgungen verhindern. Auch wenn das ästhetische und kariesprotektive Ergebnis zunächst ein dauerhaft gesund funktionierendes Kauorgan suggerieren mag, können die zahn- und zahnersatzbezogenen Voraussetzungen einer funktionellen Diskoordination (unbeabsichtigt) „eingebaut“ werden. So geschehen bei dem nachfolgend geschilderten Patientenfall.

Fallbeschreibung

Diese heute 45-jährige Patientin wurde vor ca. 19 Jahren in allen vier Quadranten vom Autor dieses Artikels mit Goldinlays und -overlays versorgt, war und ist regelmässig in erwachsenenprophylaktischer Betreuung und hat eine gute Mundhygiene. Lediglich im Jahr 2006 war nochmals die Anfertigung und Eingliederung eines keramischen Inlays an Zahn 14 notwendig gewesen.

Ende 2014 berichtete sie, dass sie seit mehreren Monaten von verschiedenen medizinischen Fachkollegen (Orthopäde, Physiotherapeut, Psychologe) wegen unterschiedlicher Beschwerden resp. Schmerzen behandelt worden sei. In der subjektiven Vorbefundung klagte sie z. B. über Spannungskopfschmerz, Nacken-, Kiefer-, Ohren- und Schulterschmerzen, Schwindel, gab aber auch an, mit den Zähnen zu pressen, dass diese nicht richtig aufeinander passen, sie nur auf einer Seite kaute und sie verschiedene Positionen mit ihren Zähnen einnehmen könne. Weder die Kollegen noch die Patientin dachten an die Möglichkeit, das stomatognathe System mit zu untersuchen. Auch von zahnmedizinischer (unserer) Seite wurde bis dahin nichts unternommen, da die Patientin stets mit einer gewissen Gelassenheit unsere Sprechstunde zum Recall aufsuchte und deshalb kein Anlass zu anderen Untersuchungen (auch wenn, wie später zu berichten sein wird, objektive Hinweise vorhanden waren) bestand.

Behandlungsverlauf

Nach einem kleinen Funktionscheck, anamnestischer Befragung sowie Palpation der Kaumuskulatur und kurzer Deprogrammierung bestand der Anfangsverdacht einer dekompensierten Funktionsstörung.

Die klinische Funktionsanalyse im Februar 2015 erbrachte: Kapsulitis links, entzündlicher Prozess der bilaminären Zone sowie anteriore Diskusverlagerung mit Reposition links und bestätigte den Anfangsverdacht. In gleicher Sitzung wurden Abformungen und Gesichtsbogenübertragung vorgenommen, um Registrierschablonen für die computerunterstützte Registrierung der Unterkieferbewegungen anfertigen zu lassen. 

Im März erhielt sie die adjustierte Aufbissschiene (Abb. 4), die im Unterkiefer eingegliedert wurde. Drei Tage später wurde eine kleine Korrektur der Okklusion und Artikulation vorgenommen. Ende März berichtete die Patientin, dass sie beschwerdefrei sei. Im Oktober erfolgte eine zweite Vermessung, die als Grundlage zur (geringen) Nachjustierung der Schiene dienen und Grundlage einer Modellanalyse sein sollte. 

Eine weitere Therapiealternative wäre eine funktionsorientierte kieferorthopädische Regulierung gewesen, die die Patientin nach reiflicher Überlegung ablehnte. So wurde der Entschluss gefasst, ausschliesslich prothetisch eine Neuzuordnung des Unterkiefers zum Oberkiefer nach abgeschlossener Schienenvorbehandlung vorzunehmen. Und mit neuem Zahnersatz ausschliesslich für den Unterkiefer. Geplant wurden vollkeramische Restaurationen.

Die Wax-up-Modelle (Abb. 5) dienten u.a. dazu, sich die notwendige Neuausrichtung der Kronenfluchten leichter vorstellen zu können und danach das präparatorische Vorgehen anzupassen (siehe dazu auch Abb. 20 der Bildergalerie). So wurde unter Zuhilfenahme des Präparations-/Remontageschlüssels immer wieder zwischenkontrolliert. In diesem Falle war es ausserdem sehr hilfreich, dass die Patientin auch ohne Schlüssel die angestrebte Unterkieferposition ungefähr einnehmen konnte, da sonst die Sicht zur Kontrolle der präparierten Stümpfe durch den Schlüssel behindert war.

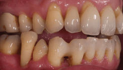
Um die okklusalen Kontakte zu den Oberkieferzähnen herstellen zu können, mussten die Kronen im dritten Quadranten deutlich nach oben und aussen konstruiert werden. Dies wurde bei der Präparation – auch mithilfe eines Präparationsschlüssels, der später als Bissregistrat diente – berücksichtigt. Zunächst wurde mit einem schrumpfungsoptimierten Modellierkunststoff der im Labor erstellte Präparations-/Remontageschlüssel im Mund an drei Stellen im Ober- und Unterkiefer unterfüttert, um ihn passgenau zu machen. Nach jedem wichtigen Präparationsschritt (z. B. nach Bearbeitung der zweiten Prämolaren) wurde nachunterfüttert (Abb. 6). So konnte für eine getreue Übertragung der erreichten, offensichtlich physiologischen, weil beschwerdefreien Unterkieferposition in die Arbeitsmodelle gesorgt werden. Bis auf die Restauration an 37, die wegen Sekundärkaries (auf dem Röntgenbild und klinisch nicht vorher zu erkennen) entfernt und durch eine adhäsive Aufbaufüllung ersetzt wurde, sind alle anderen Goldfüllungen während der Präparation verblieben. Sie waren ohne Sekundärkaries, lagen stabil, und es bestand kein Grund, diese vorher zu entfernen. (Abb. 7) Ausnahmsweise wurden hier wegen des grossen Arbeitsaufwands Präparations- und Abformsitzung getrennt. In der ersten wurden alle Zähne präpariert, die Registrierungen erstellt und das Provisorium (Abformung des Wax-up-Modells als „Schablone“ zur Erstellung des Provisoriums) angefertigt. In der zweiten Sitzung erfolgte die Abformung.

Nach dem Einsetzen des neuen Zahnersatzes wurden erste okklusale und artikulatorische Feinkorrekturen vorgenommen.  Die Patientin stellte sich wenige Tage später erneut vor, um nachkontrollieren und die keramischen Oberflächen polieren lassen zu können. Sie berichtete, dass sie sich gut fühle und weiterhin beschwerdefrei sei (Abb. 9). 

Diskussion

Das Wissen um die Zusammenhänge von Funktion des Kauorgans und seiner u. a. konservierenden resp. prothetischen Rehabilitation ist nach Abschluss des zahnmedizinischen Studiums (zugegebenermassen meist nur in Ansätzen) theoretisch vorhanden. Es braucht jedoch mitunter Jahre (praktische und theoretische Fortbildung, Erfahrungsaustausch mit versierten Kollegen, aber auch erfahrenen Zahntechnikern), dieses in der täglichen Praxis (erfolgreich) ein- und umzusetzen.

Die heute vorhandenen technischen Hilfsmittel unterstützen in immer besserem Umfang das Auffinden der physiologischen Unterkieferposition, ersetzen jedoch nicht die zahnärztlichen Handlungen am Patienten in Bezug auf Anamnese, Diagnostik, Therapie, Kontrolle von Aufbissbehelfen oder auch die abschliessende Feinjustierung der Okklusion und Artikulation nach Eingliederung von Restaurationen jeglicher Art.

Die Entgleisung einer über viele Jahre bestehenden kompensierten craniomandibulären Dysfunktion führt die Patienten oft zunächst zu anderen, medizinischen Fachrichtungen mit umfangreicher Diagnostik und Therapie (da ein Zusammenhang mit dem stomatognathen System leider allzu oft noch immer nicht angenommen wird), die nicht zielführend sind oder sein können. Die baldige Hinzuziehung eines zahnärztlichen Kollegen, der mit der Diagnostik und Therapie einer Funktionsstörung vertraut ist, kann deshalb den Weg zur Beschwerdefreiheit oder zumindest Schmerzlinderung verkürzen. Exostosen, keilförmige Defekte an den Zahnhälsen, isolierte Rezessionen, druckschmerzhafte Bereiche der Kopf-Hals-Kaumuskulatur u. a. können Hinweise auf eine craniomandibuläre Dyskoordination sein, sodass bei regelmässigen (halb-)jährlichen Kontrolluntersuchungen auch danach geschaut und bei entsprechender anamnestischer Fragestellung die Problematik an den Tag gebracht werden könnte.

Besteht kein Grund zu funktionstherapeutischen Handlungen, weil, wenn objektiv Hinweise zu finden sind, aber subjektiv seitens des Patienten nichts als störend oder krank machend empfunden oder beklagt werden kann, dann können sog. kompensierte Dysfunktionen auch belassen werden. Erst wenn grössere Sanierungen anstehen, sollte man auch in diesen Fällen eine funktionelle Vorbehandlung überdenken, um dann nicht das bis dahin etablierte und funktionierende System möglicherweise zum Kippen zu bringen.

Mit dem Wissen, der Erfahrung und dem handwerklichen Können von heute würde der Autor dieses Artikels bei bestehendem Anfangsverdacht einer craniomandibulären Dysfunktion Sanierungen nicht ohne einen entsprechenden Aufwand an Vordiagnostik und Vortherapie vornehmen wollen. 

Teleskopierende Implantatprothetik mit multiplen, teilweise unbekannten Implantatsystemen
Mehr Fachartikel aus Implantologie

ePaper