Cosmetic Dentistry 16.02.2017

Ästhetik aus der Perspektive des Patienten … ist nicht immer unsere Ästhetik!



Ästhetik aus der Perspektive des Patienten … ist nicht immer unsere Ästhetik!

Foto: © Autor

In der Regel stellen sich die Patienten in den Zahnarztpraxen mit einem speziellen Problem vor, welches von den Zahnärzten schnell, einfach, kostengünstig und sicher gelöst werden soll. Darüber hinaus wünschen die Patienten wie selbstverständlich eine Versorgung, die sich möglichst nicht vom Zustand des Restgebisses unterscheidet. Das kann in einigen Fällen zu einer Herausforderung werden, vor allem dann, wenn die Patienten wenig kompromissbreit sind. Als ästhetisch ausgebildeter Zahnarzt sieht man sich plötzlich in der schwierigen Situation zwischen dem, was man tatsächlich abrufen kann, und dem, was der Patient als Lösung sieht. Wünscht ein Patient beispielsweise eine Einzelzahnversorgung in der Front, so kann es bei der Lösung zu großen 
ästhetischen Problemen kommen.

Nehmen wir das Beispiel der Frontzahnästhetik und einen Patienten, wie wir ihn in der täglichen Praxis kennen – es soll ersetzt werden, was tatsächlich defekt ist. Eine Komplettsanierung wird, unabhängig von der Höhe der Kosten, nicht gewünscht. Nach der Diagnostik bestehen im Aufklärungsgespräch solcher Fälle zwei Möglichkeiten. Die eine ist der Versuch, den Patienten von der Sinnhaftigkeit einer Komplettsanierung zu überzeugen und ihm die Vorteile aufzuzeigen – sei es in der Verbesserung der Bisslage, der Bisshöhe, der Zahnlänge oder gar der Lippenform. Sollte der Patient aber dennoch darauf bestehen, dass nur der zu ersetzende Zahn auch tatsächlich ersetzt werden sollte, dann steht ihm diese Entscheidung frei, vor allem dann, wenn er tatsächlich völlig beschwerdefrei und zufrieden mit der aktuellen Situation ist. Nun bleibt uns als Behandlern die zweite Möglichkeit, indem wir dem Patienten suggerieren, dass wir die Behandlung in diesem Fall nicht vornehmen werden. Diese Möglichkeit sollte in der Regel sehr weit in den Hintergrund treten, denn jeder Patient sollte auch die Freiheit erhalten, seine Perspektive der eigenen Ästhetik ausleben zu können. Selbstverständlich sind wir zu mehr ausgebildet und naturgemäß ist so eine Versorgung ein großes Ärgernis für das eigene Ego – mit dem Behandlungsfall hat dies ja aber im Grunde nichts zu tun. Nachfolgend werden zwei Fälle vorgestellt, bei denen eine Versorgung nur mit großen ästhetischen Kompromissen für den Behandler erfolgen konnte.

Frontzahnästhetik „used look“

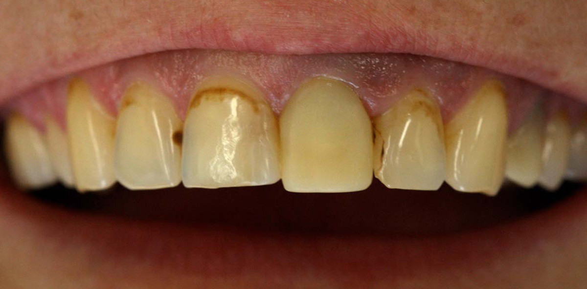
Abbildung 1 zeigt eine Patientin, die mit einem Langzeitprovisorium in unsere Praxis gekommen war und nur einen einzigen Wunsch hatte: Wir sollten das Provisorium wieder befestigen. Nun kamen wir bei der Aufklärung zu dem Punkt, dass es für den weiteren Zahnerhalt weitaus zielführender wäre, wenn der Zahn eine definitive Versorgung 
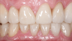
erhalten würde. In der Abbildung 1 ist auf den Frontzähnen eine semilunarförmige Verfärbung zu erkennen. Selbstverständlich haben wir die Patientin darauf angesprochen und versucht, ihr das Konzept der Infiltration mit Icon von DMG näher zu bringen, mit dessen Hilfe wir solche Bereiche sehr ästhetisch aufbereiten können. Die Patientin erkannte diese Verfärbung aber gar nicht als ästhetisch hinderlich und gab an, das so beibehalten zu wollen. Nun blieb uns im Prinzip nur die Möglichkeit, der ästhetischen Perspektive zu folgen und den Zahn entsprechend über mehrere Anprobeschritte so zu gestalten, dass kein Unterschied zwischen den Frontzähnen zu erkennen war. Der Zahnstumpf wurde nach erfolgreicher Endodontie aufgebaut und nach Abformung erfolgte die Anpassung des Farbunterschieds am Stumpf (Abb. 2). Die endgültige Zahnkrone wies ebenfalls ein ähnliches semilunarförmiges Muster auf wie die tatsächlichen Zähne (Abb. 3).

Entscheidet man sich als Behandler zu einer 
Kompromissbehandlung und überwindet seinen „Schweinehund“, so liegen die Vorteile klar auf 
der Hand. Patienten, die aus tiefer Überzeugung 
zu einer Therapie stehen, sind immer deutlich zufriedenere Patienten. Die Freude über den neu gewonnenen Zahn ist sehr groß und die ästhetische Perspektive des Patienten ist in keiner Weise verzerrt. Das wir im Grunde weitaus mehr können, das interessiert diese Gruppe der Patienten nicht – und das ist aus psychologischer Sicht auch gut so.

Implantatversorgung 
nach Frontzahntrauma

Erfahrungsgemäß sind vor allem Patienten, die ein Einzelzahntrauma erlitten haben, nicht gerade gut auf eine weitreichende Versorgung der übrigen Zähne zu sprechen. In der Regel steht das aktuelle Problem im Vordergrund – insbesondere dann, wenn es sich um die Front handelt. Eine sofortige Versorgung ist dann angebracht, wenn der Patient im öffentlichen Raum beschäftigt ist. Ist keine Eile aus Sicht des Patienten geboten, so sollte nach wie vor eine zweizeitige Versorgung in den Vordergrund treten.

Im aktuellen Fall handelte es sich um einen Patienten, der nicht regelmäßig in zahnärztlicher Behandlung gewesen ist. Eine Sanierung des Oberkiefers lehnte er strikt ab. Seine ästhetische Perspektive wurde jedoch von einer nicht behandelten Parodontalerkrankung überlagert (Abb. 4). Dem Patienten wurde erklärt, dass eine Implantatversorgung erst geplant werden könnte, wenn er sich auf eine Parodontalbehandlung einlässt – da bestand für uns selbstverständlich absolut kein Spielraum. Zudem wurde dem Patienten erklärt, dass die Zahnhälse an den alten Kronen nach erfolgreicher Parodontalbehandlung verstärkt frei liegen werden und es zu zusätzlichen ästhetischen Einbußen kommen wird (zumindest aus Sicht des Behandlers).

Folgerichtig wurden die besprochenen Einbußen dokumentiert und vom Patienten gegengezeichnet. Diese Art der Dokumentation ist von großer Bedeutung, denn nicht selten erkennen die Patienten nach erfolgreicher Therapie, dass sie doch noch weiter in ihre Zähne investieren sollten. Da Patienten fachfremd sind, ist es an der Tagesordnung, dass sich einzelne nicht mehr an die ersten Besprechungen erinnern können oder wollen.

Eine Versorgung der übrigen Zähne lehnte der Patient ab und es erfolgte eine Sofortimplantation mit einem Dentsply Sirona Profile-Implantat nach erfolgreicher Parodontaltherapie (Abb. 5). Das Profile-Implantat hat den Vorteil, dass ein parodontaler Knochenverlust im vestibulären Bereich durch die tiefere Implantatschulter sehr gut ausgeglichen werden kann, ohne zusätzliche augmentative Maßnahmen vornehmen zu müssen. Nach Einheilung erfolgte eine modifizierte Inzision zur Herstellung neuer Papillen und das Einbringen eines Gingivaformers (Abb. 6 und 7).

Aufgrund der schwierigen Verhältnisse der alten Kronen und des gingivalen Rückgangs haben wir uns dafür entschieden, in diesem Fall eine Krone herzustellen, die mit dem Gingivasaum anschließt. Die ästhetische Perspektive des Patienten war vor allem darin begründet, dass die Lachlinie nicht einmal bei der Hälfte der klinischen Kronen lag. Demzufolge haben wir versucht, den sichtbaren Bereich so gut wie möglich in die Rotationen der Restbezahnung einzubauen (Abb. 8).

Intraoral wird der Kompromiss durch die lange Zahnkrone sehr deutlich (Abb. 9). Ästhetisch ist das Ergebnis aus Sicht des professionellen Behandlers natürlich nicht zufriedenstellend. Dieser Gedankengang muss aber hinter dem Wunsch des Patienten zurückstehen, denn die ästhetische Perspektive des Patienten in Bezug auf die Lachlinie ist mehr als gewahrt.

Kompromisse eingehen oder nicht?

In zahlreichen Patientenfällen ist ein Kompromiss – sei er auch für uns ästhetisch nicht befriedigend genug – sicherer als eine aufgezwungene Komplettsanierung, die viele Patienten im Anschluss an die Behandlung überfordert. Der Behandler muss zwar seine Kenntnisse in die Beratung mit einfließen lassen, sollte aber nicht von oben herab eine Ästhetik anstreben, die ihm als Profi zusagt. Es erfordert vielmehr Fingerspitzengefühl, um von dem Patienten zu erfahren, was ihn tatsächlich in unsere Zahnarztpraxis führt. Werden diese Patienten entsprechen versorgt und lässt man ihnen ihre ästhetische Perspektive, so lassen sich Patienten gewinnen, die solch einen Behandler das Leben lang begleiten werden. Ein Vorteil einer solchen „Step-by-step“-Behandlung kann ein gesteigertes Vertrauensverhältnis zum Patienten sein. Da sich oftmals Perspektiven im Leben ändern, können wir nicht selten beobachten, dass sich dieselben Patienten nach einigen Jahren zu deutlich größeren Behandlungen in der Lage fühlen. Ein guter Kompromiss ist daher immer besser, als den Patienten „einen Porsche zu verkaufen, den er gar nicht fahren kann und fahren will“.

Der Beitrag ist in der Dentalzeitung 01/2017 erschienen.

Mehr Fachartikel aus Cosmetic Dentistry

ePaper