Cosmetic Dentistry 29.03.2016

Vollkeramische Frontzahnkronen unter Anwendung von Monobond Etch & Prime



Vollkeramische Frontzahnkronen unter Anwendung von Monobond Etch & Prime

Foto: © Autor

Frontzahnkronen gibt es von funktionell bis hochästhetisch – in Abhängigkeit von den Ansprüchen und den Möglichkeiten des Patienten, dem Geschick des Zahntechnikers, der Materialauswahl, der Präparation sowie dem Befestigungsprozedere. Viele seinerzeit als ästhetisch akzeptabel eingegliederte Frontzahnkronen genügen heute allerdings nicht mehr den Ansprüchen der Patienten, wie der vorliegende Fallbericht beschreibt.

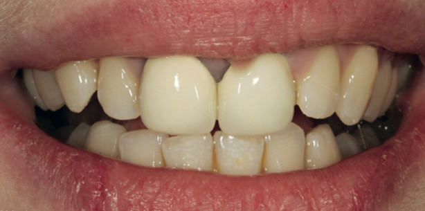
Die 20-jährige Abiturientin stellte sich mit dem dringlichen Wunsch einer Neuversorgung ihrer beiden mittleren Schneidezähne vor (Abb. 1). Im Alter von 14 Jahren hatte die Patientin ein Frontzahntrauma erlitten, bei dem anscheinend die jeweils mesioinzisalen Schneidekantenareale betroffen waren. Alio loco erfolgte eine Versorgung mit VMK-Kronen. Auch wenn retrospektiv das Ausmaß des Traumas nicht mehr abschätzbar ist, wäre heute alternativ – gerade unter Berücksichtigung des jugendlichen Alters der Patientin – eine direkte Composite-Versorgung als Therapieoption erster Wahl vorstellbar. Abbildung 2 präsentiert die beiden mittleren Schneidezähne in der Detailansicht von labial und Abbildung 3 die Sicht von inzisal. Die Kronen zeigten keine funktionellen Defekte. Somit ergab sich als Behandlungsindikation ausschließlich der Patientenwunsch einer ästhetischen Verbesserung der Frontzahnsituation. Nach der Aufklärung der Patientin über den Behandlungsablauf – insbesondere über eine eventuell zusätzlich substanzfordernde Nachpräparation – und die entstehenden Kosten wurde die Behandlung in einem separaten Termin begonnen.

Die prothetischen Restaurationen wurden im Dentallabor Hildegard Hofmann (Mainz) angefertigt. Die Entscheidung fiel auf gepresste vollkeramische Kronen aus IPS e.max® Press, das für derartige Indikationen das Restaurationsmaterial der ersten Wahl ist. Das belegen zahlreiche klinische Studien, unter anderem die aktuell erschienene deutsche S3-Leitlinie zu keramischen Versorgungen. Zum Termin der Eingliederung erfolgte eine erneute Anästhesie der Zähne, gefolgt von der Abnahme der Kronen und einer sorgfältigen Säuberung der Klebeoberflächen mithilfe eines Ultraschallgerätes sowie einer fluoridfreien Reinigungspaste. Da als Befestigungsmaterial das neue Variolink® Esthetic DC ausgewählt worden war, erfolgte die Einprobe der Kronen mit der dazugehörigen Try-In Paste. Die Farbe „neutral“ ergab sofort eine Übereinstimmung mit den benachbarten Zähnen und den Frontzähnen im Unterkiefer. Es waren keine Korrekturen hinsichtlich einer helleren („light“) oder dunkleren („warm“) Farbe des Befestigungscomposites erforderlich. Dies bestätigt den immensen Vorteil einer vorgeschalteten Farbbestimmung durch den Zahntechniker am Behandlungsstuhl. Der hierfür einzupreisende Mehraufwand kompensiert sich durch die signifikante Reduktion erforderlicher Korrekturen oder Neuanfertigungen aufgrund einer nicht passenden Farbe.

Konditionierung der Kronen

Nach einer Reinigung (Ivoclean) der Kronen von Speichelresten und den Resten der Try-In Paste wurden sie chairside vorbehandelt. Hierzu ist das Befestigen eines „Haltegriffes“ sinnvoll, der eine Vorbehandlung der Kroneninnenseiten ermöglicht, ohne die Krone mit den Fingern berühren zu müssen. Die Krone wurde mithilfe eines lichthärtenden Provisoriums an einem Pinselhalter befestigt. Dies ermöglicht zudem eine einfache Platzierung während des Befestigungsprocederes. Alternativ könnte auch ein OptraStick® zur Anwendung kommen.

Die Flusssäureätzung von glasbasierten Keramiken mit anschließender Silanisierung ist ein seit Jahrzehnten etabliertes und bewährtes Verfahren, dessen Wirksamkeit aktuelle Studien bestätigen. Selbst für neue Keramikmaterialien wie Hybridkeramik stellt diese klassische Herangehensweise den sichersten Haftmechanismus dar. Die Flusssäureätzung ist allerdings aus Arbeitsschutzgründen einer der kritischsten Arbeitsabläufe in einer Zahnarztpraxis.

Hinsichtlich der verwendeten Konzentration hat sich 5 % etabliert, was nach einer aktuellen Forschungsarbeit1 den vernünftigsten Kompromiss darstellt. Mit dem auf der IDS 2015 markteingeführten Produkt Monobond® Etch & Prime steht ein auf Ammoniumpolyfluorid basiertes Konditionierungsmittel zur Verfügung. Durch das aktive Einreiben des Materials über 20 Sekunden auf die Klebefläche (Abb. 4) erfolgt eine Entfernung von verbliebenem Speichel und Silikonverunreinigungen. Während weiterer 40 Sekunden Einwirkzeit (Abb. 5) reagiert das Ammoniumpolyfluorid mit der Keramikoberfläche und erzeugt ein raues Ätzmuster. Dies weist zwar keine so ausgeprägte Rautiefe auf wie nach bisher üblicher 20-sekündiger Ätzung mit fünfprozentiger Flusssäure, dennoch führt das Vorgehen zu vergleichbaren Haftwerten. Durch die somit geschaffene vergrößerte Oberfläche findet die Aktivierung der keramischen Fügefläche statt.

Durch das anschließende Abspülen mit Wasser werden das Ammoniumpolyfluorid und seine Reaktionsprodukte entfernt. Die Reaktion von Silan und aktivierter Glaskeramik beginnt. Nach dem Verblasen bleibt eine chemisch gebundene dünne Silanschicht auf der Keramik zurück. Somit kombiniert dieses Produkt die Schritte Flusssäureätzung und Silanisierung und scheint sogar die Ivoclean- Reinigung vorab überflüssig zu machen. Die derzeit vorliegende In-vitro-Datenlage2 rechtfertigt die zurückhaltende Anwendung des Neuproduktes für den Ersatz der Kombination aus Flusssäureätzung und Silan. Zwar ist gegenüber der etablierten Referenz keine signifikante Verbesserung der Haftwerte zu verzeichnen, doch andererseits können bislang keine negativen Auswirkungen auf den Haftverbund nachgewiesen werden. Da der Haftverbund zu Glaskeramik ohnehin als das unproblematischste Interface bei der Klebung indirekter Restaurationen gilt, dürften keine klinischen Auffälligkeiten zu verzeichnen sein.

Im vorgestellten Patientenfall hätten die Kronen im Prinzip sogar konventionell oder selbstadhäsiv befestigt werden können. Ein Retentionsverlust wäre damit ebenso wenig zu erwarten gewesen wie eine Keramikfraktur aufgrund mangelhafter adhäsiver Unterstützung. Abbildung 6 zeigt eine der beiden Kronen nach dem Abspülen von Monobond Etch & Prime und der Trocknung mit dem Luftbläser.

Befestigung der Kronen

Zur adhäsiven Befestigung kam das neue Variolink Esthetic DC zur Anwendung. Da es sich bei diesem System um ein volladhäsives Befestigungsmaterial handelt, ist eine suffiziente Kontaminationskontrolle essenziell. Aufgrund der equigingivalen Präparation, der gesunden gingivalen Verhältnisse und der guten Kooperation der Patientin konnte auf ein Anlegen von Kofferdamspanngummi verzichtet werden. Die Arbeit wurde unter relativer Trockenlegung eingegliedert. Zwei Retraktionsfäden (Ultradent) verhinderten eine Kontamination durch aufsteigende Sulkusflüssigkeit (Abb. 7 und 8).

Nach der Reinigung der Klebeflächen mit einer fluoridfreien Prophypaste erfolgte die aktive Applikation des Universaladhäsivs Adhese® Universal über den Applikator-Pen (Abb. 9). Auf eine Ätzung des verbliebenen dünnen Schmelzrandes wurde verzichtet, um keine gingivale Blutung zu provozieren. Adhese® Universal wurde gemäß der Gebrauchsinformation für > 20 Sekunden auf der zu behandelnden Zahnoberfläche aktiv eingerieben. Diese Zeit darf laut Herstellerangaben nicht verkürzt werden, ein bloßes Verteilen des Adhäsivs auf der Zahnoberfläche ist nicht ausreichend. Anschließend wurde das Adhäsiv so lange verblasen, bis ein glänzender, unbeweglicher Film entstand. Danach erfolgte die Lichthärtung für zehn Sekunden (Abb. 10). Da das Universaladhäsiv eine gegenüber beispielsweise Heliobond deutlich dünnere Filmschichtstärke ausbildet, kann es problemlos lichtgehärtet werden und führt somit weder zu Passungenauigkeiten noch zu Bisserhöhungen. Abbildung 11 stellt die polymerisierte Adhäsivschicht auf den Zähnen 11 und 21 dar.

Die Abbildungen 12 und 13 zeigen die adhäsiv befestigten IPS e.max LS2-Kronen beim abschließenden Kontrolltermin nach vier Wochen. Die Gingiva präsentierte sich reizlos, die Kronen fügten sich unauffällig in die umgebenden Zähne ein. Das En-face-Bild der Abschlusssituation zeigt die enorme Verbesserung der Frontzahnsituation durch die vollkeramische Versorgung der Zähne 11 und 21 (Abb. 14). Erstmals seit Jahren traute sich die zufriedene Patientin wieder zu lächeln (Abb. 15).

Fazit

Für die Anwendung derartig innovativer Verfahren und Produkte bedarf es etwas Mut. Es fehlen klinische Daten, ganz zu schweigen von den gerne geforderten Langzeitstudien. Aber irgendwo muss begonnen werden. Für diejenigen, die lieber heute als morgen die Flusssäure aus ihrer Praxis verbannen würden, dürfte der beschriebene selbstkonditionierende Glaskeramikprimer eine interessante Alternative sein. Da bei der Verwendung von Flusssäure als Konditionierungsmittel für Keramik die Zeit der Ätzung einen signifikanten Einfluss auf die Stabilität der Keramik hat, sind die jeweiligen Herstellervorgaben unbedingt einzuhalten. Für IPS e.max LS2 werden 20 Sekunden Ätzzeit bei Verwendung einer fünfprozentigen Flusssäure angegeben. Andere klassische Glaskeramiken benötigen 60 Sekunden. DENTSPLY/DeguDent empfiehlt für das Material CELTRA 30 Sekunden. Für Monobond Etch & Prime wird eine für alle Keramiken identische Applikations- und Einwirkzeit von insgesamt 60 Sekunden angegeben. Dies stellt einen positiven Schritt in Richtung Fehlervermeidung dar. Es bleibt abzuwarten, ob weiterführende externe Untersuchungen dies für den Haftverbund zu Keramiken, die nicht von Ivoclar Vivadent sind, bestätigen können.


Literatur
[1] Neto D. S., Naves L. Z., Costa A. R., Correr A. B., Consani S.,
Borges G. A., Correr-Sobrinho L. The Effect of Hydrofluoric Acid Concentration on the Bond Strength and Morphology
of the Surface and Interface of Glass Ceramics to a Resin Cement. Oper Dent 2015. (Epub ahead of print)
[2] Auf der Ivoclar-Homepage steht die im April 2015 aktuali- sierte wissenschaftliche Dokumentation zum Download bereit, dort werden für viele Untersuchungen Daten nach 24 Std. Wasserlagerung als auch nach 10.000 Thermowechselbelastungen präsentiert. (http://www.ivoclarvivadent.de/de-de/p/alle/haftvermittler-befestigungscomposite-zu-restaurationen/monobond-etch-und-prime)

Mehr Fachartikel aus Cosmetic Dentistry

ePaper