Cosmetic Dentistry 10.01.2012

Wiederauferstehung der Frasaco Stripkrone



Wiederauferstehung der Frasaco Stripkrone

Techniken zum direkten Aufbau größerer Frontzahndefekte mit Komposit gibt es sehr viele: Häufig vorgestellt wird die Silikonschlüsseltechnik, bei der mithilfe eines Knetsilikonwalles die palatinale Schmelzwand anatomisch korrekt aufgebaut wird. Die folgenden zwei Fälle sollen unterschiedliche Behandlungsindikationen vorstellen, die alle mit derselben Behandlungsmethode, der direkten Kompositrestauration mithilfe einer Formgebung über die Frasaco Stripkappe, versorgt worden sind.

Muss ein Frontzahndefekt behoben werden, wird oft die Silikonschlüsseltechnik angewendet. Weitere Methoden sind die Freihandmodellation oder die Formgebung mithilfe eines gehaltenen Frasacostreifens4 bzw. die von Dr. Lenhardt in vielen Fortbildungen vorgestellte Fingerspitzentechniken. Dafür ist in der Regel kein zusätzliches Equipment in der Zahnarztpraxis erforderlich. Auch bieten sich alternative Techniken wie die Verschalungstechnik nach Hugo und Klaiber2,3 an, die sich zunehmender Beliebtheit6 erfreut. Ein anderes Hilfsmittel ist auch in den meisten Zahnarztpraxen vorhanden, dämmert aber in einem Art Dornröschenschlaf vor sich hin und wird, wenn überhaupt, nur für provisorische Frontzahnaufbauten verwendet: Die Frasaco Stripkappe. Sie wurde zunehmend in die zweite Liga verdrängt, da von zahlreichen Referenten kommuniziert wurde, dass „man damit einfach keine ästhetischen Restaurationen macht“ – warum eigentlich nicht; wenn es funktioniert?

Fall 1: Frontzahntrauma

Wer kennt sie nicht, die Situation, in der ein Patient mit einem umfangreichen Frontzahntrauma plötzlich als Notfall in der Praxis steht – natürlich ohne Termin, was aufgrund der Kausalität des akuten Traumas auch kaum anders zu erwarten wäre! Die Versorgung sieht meist dergestalt aus: Direkter „provisorischer“ Kompositaufbau, dann Termin für Kronen- oder Veneerversorgung bzw. erneute ästhetische Frontzahnversorgung in direkter Technik mit Komposit – diesmal aufwendig geschichtet. Das Problem ist meist diese „provisorische Versorgung“: Sie muss schnell gehen, soll aber trotzdem halten, weshalb auch ein Adhäsivsystem verwendet werden muss – und es soll auch hinsichtlich Form- und Farbgestaltung so erstellt werden, dass der Patient sich auch noch trauen kann, außer Haus zu gehen und seinen Mund aufzumachen. Der Zeitaufwand zur Einstellung von Okklusion und Artikulation ist nahezu derselbe wie bei einer definitiven Versorgung; lediglich auf eine aufwendige Politur bzw. auf die Schaffung einer Mikrotextur in der Oberfläche kann verzichtet werden. Für die Praxis stellt sich ferner die Frage, wie die „provisorischen“ Leistungen zumindest in der GKV abgerechnet werden können: Erfolgt zeitnah die definitive Versorgung mit Komposit oder einem Veneer, bleiben da außer Ä1, ViPr., Sk und vielleicht einer bmf nicht viel. Wird später eine Kronenversorgung vorgenommen, wäre hingegen der provisorische Kompositaufbau noch als Aufbaufüllung zu werten – aber gerade die Überkronung von Frontzähnen soll ja möglichst vermieden werden.

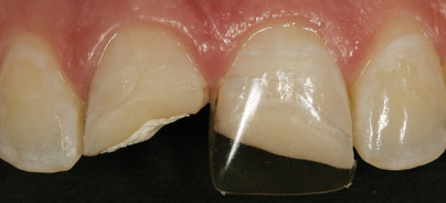
Aus diesem Grunde sollte eine provisorische Versorgung unbedingt vermieden werden – auch im Sinne des Patienten, der mit einer definitiven Versorgung die Praxis verlässt. Gerade dies stand in dem ersten vorgestellten Fall im Vordergrund: Ein in Berlin wohnhaftes 22-jähriges „Model“ geriet am Vorabend in Berlin in eine „Diskussion“ in einer Szene-Kneipe. Eine Erstversorgung erfolgte noch nachts in Berlin im Notdienst. Die Abbildung 1 zeigt die provisorisch mit ­Zement und Flow-Komposit abgedeckten Frakturflächen am nächs­ten Tag zum eingeschobenen Versorgungstermin in Mainz. Aufgrund eines wichtigen Termins war eine definitive Chairside-Versorgung gefragt, die nicht nur funktionellen, sondern auch ästhetischen Gesichtspunkten standhalten musste. Alternativ zur direkten Kompositversorgung wurde noch eine CEREC-Lösung diskutiert, die aber wesentlich zahnhartsubstanzfordernder und zeitlich aufwendiger gewesen wäre. Die Frakturen an den Zähnen 11 und 21 waren unkompliziert, d.h. es lag keine Pulpaexposition vor. Um eine zügige Versorgung zu erzielen, fiel die Wahl auf die Verwendung von konfektionierten Formkäppchen (Frasaco, Tettnang) zum Aufbau der Zähne. Nach Lokalanästhesie und Reinigung der Zähne erfolgte die adhäsive Präparation unter konsequenter Einhaltung der Prämisse der abgerundeten Klebeflächen und die Vermeidung von Kanten.5 Es folgte jeweils die Auswahl einer geeigneter Frasaco Strip-kappe (Abb. 2) für die Zähne 11 und 21. Als erstes wurden mit einer Explorersonde Löcher in die Inzisalkanten der Käppchen gestochen. Dies verhindert auf einfache Weise, dass beim Einbringen des Kompositmaterials in das Käppchen in diesen Ecken Luftblasen zurückbleiben, die eine Adaptation des Restaurationsmaterials an diesen Stellen verhindern. Anschließend wurden die Käppchen mit einer Kronenschere auf die erforderliche Größe reduziert (Abb. 2). Hierbei war es essenziell, dieses Anpassen derart präzise zu gestalten, dass nach Applikation des Kompositmaterials eine sichere lagegerechte Inzisalposition der Kappe gewährleistet werden konnte. Als Füllungsmaterial wurde das neue Filtek Supreme XTE (3M ESPE) ausgewählt.

Um eine ansprechende Ästhetik zu gewährleisten, sollte im vorliegenden Fall eine Schichtung aus Materialien unterschiedlicher Opazität umgesetzt werden. Somit war die Verwendung von separaten Schmelz- und Dentinmassen gesetzt. Als Farbe wurde alterstypisch die Vita A2 ermittelt. Folgt man den Empfehlungen des Herstellers, so ist für eine Schichtung aus zwei verschiedenen Opazitäten die Kombination aus A3D (Dentinmasse) und A2E (Schmelzmasse) vorgesehen. Eine Schichtung mit noch mehr unterschiedlichen Materialien (MultiLayer-Technik) sieht die Kombination aus A3D (Dentinmasse), A2B (Bodymasse), A1E (Schmelzmasse) und der transluzenten Effektmasse CT vor (Abb. 3). Beide Herangehensweisen basieren auf dem Farb- und Schichtkonzept von Vanini und der Keramiktechnik, bei denen in der Tiefe mit dunkleren Farben gearbeitet wird und im oberflächlicheren bzw. inzisalen Bereich eher hellere Farbtöne zum Einsatz kommen. Das schwierige bei dieser Variante ist aber, dass sich der Behandler sehr sicher sein muss, welche Volumina der einzelnen Materialien er an welche Stelle platziert. Ist der dunklere Dentinkern etwas zu groß dimensioniert, kann die darüber liegende hellere Body- bzw. Schmelzmasse das kaum kompensieren – die Restauration erscheint zu dunkel. Um diese Problematik zu umgehen, wurde im vorliegenden Fall eine alternative Kombination aus Dentin-, Body und Schmelzmasse derselben Helligkeit (A2) kombiniert. Zur Anwendung kamen somit A2D, A2B und A2E (Abb. 3). Im nächsten Schritt erfolgte zunächst die Versorgung der Zahnhartsubstanz mit einem konventionellen Mehrflaschensystem mit Phosphorsäurekonditionierung („Etch & Rinse“). Nach der Polymerisation des Adhäsivs (Elipar S10, 20 s) wurde zunächst Zahn 21 aufgebaut. Es erfolgte als erstes die freie Modellation eines kleinen Dentinkerns aus der Masse A2D. Nach der Polymerisation wurden mithilfe einer weißen Malfarbe einige farbliche Akzentuierungen gesetzt (Abb. 4). Der Aufbau des Dentinkerns direkt auf dem Zahn und nicht in der Frasaco-Kappe stellt sicher, dass dieser exakt an der erforderlichen Stelle ­positioniert ist, um auf jeden Fall ein Durchscheinen der dunklen Mundhöhle zu verhindern. Es muss peinlichst darauf geachtet werden, dass dieser Dentinkernaufbau nicht überdimensioniert wird, da dies eine anschließende korrekte Positionierung der Frasaco-Kappe verhindern würde. Eine visuelle Kontrolle mithilfe des Mundspiegels aus inzisaler Sicht ist hier sehr hilfreich.

Die weiteren Massen, A2B und A2E, werden direkt in die Frasaco Stripkrone platziert. Mit einem Heidemannspatel konnte das Material dann im inzisalen Bereich nach labial und palatinal verdrängt werden, um der Bodymasse die Möglichkeit zu geben, im Inzisalbereich bis ca. 1 mm an die Schneidekante heranzureichen. Die eingebrachte Schmelzmasse wurde nicht polymerisiert! Eine Polymerisation und damit eine Aushärtung dieses inzisalen Schmelzbereiches würde eventuell eine exakte Positionierung der Kappe in ihrer Endposition verhindern. Es wurde eher angestrebt, dass die beiden Opazitäten unregelmäßig ineinander übergehen. Aus diesem Grund erfolgte das weitere Befüllen des Käppchens mit der ausgewählten Body-Farbe A2B (ersichtlich aus Abb. 3) und das Aufsetzen und „in Position pressen“ des so befüllten Käppchens. Hierbei ist es bedeutsam, langsam Druck aufzubauen, um dem Überschuss des Materials aufgrund seines tixotropen Effektes die Möglichkeit zu geben herauszufließen. Dadurch, dass die inzisal eingebrachte Schmelzmasse nicht separat polymerisiert wurde, verwischt diese unregelmäßig mit der darunterliegenden Body-Farbe, bleibt aber in der Inzisalkante an sich vollständig erhalten. Dies ermöglicht eine recht natürlich aussehende „Wisch-Schichtung“ mit mehr Transluzenz inzisal und ausreichend Opazität im Hauptvolumen des Aufbaus. Beim Vorliegen enger Approximalkontakte bietet es sich an, durch eine Vorverkeilung mit Ahornholzkeilen eine entsprechende Vorseparation der Zähne zu bewirken oder zum Zeitpunkt der Käppchenapplikation mithilfe eines approximal zervikal eingesetzten und leicht gedrehten breiten Heidemannspatels eine Aufweitung des Approximalraumes zu bewirken.

Sitzt das Frasaco-Käppchen in der richtigen Position und sind die Überstände weitestgehend entfernt, erfolgt noch unter Halt des Käppchens die Polymerisation (20 s, Elipar S10, 3M ESPE) zunächst von labial, anschließend von palatinal. Eine weitere Polymerisation von ebenso jeweils 20 s erfolgte nach Abnehmen des Käppchens. Zur Kontrolle der Okklusion und der Artikulation kam rote Okklusionsprüffolie zur Anwendung. Die Abbildung 5 zeigt die Situation direkt nach Ausarbeitung und Politur. Der durch den Heidemannspatel ausgeübte Druck auf die Nachbarzähne hat die Zähne sich noch nicht in ihre ursprüngliche Position zurückbewegen lassen. Deswegen ist zwischen den beiden Einsern noch ein diskreter Spalt erkennbar. Das nach zwei weiteren Monaten aufgenommene Kontrollbild (Abb. 6) zeigt den Kontakt dann komplett geschlossen. Nach Aussage der Patientin erscheinen ihre beiden mittleren Schneidezähne ästhetischer als vor der Trauma-Versorgung, da ihnen nun die optischen Folgen der während einer früheren KFO-Behandlung vernachlässigten Mundhygiene – in Form der auf den anderen Zähnen erkennbaren Demineralisationsareale – fehlten.

Fall 2: Interimsversorgung ankyloisierter Frontzähne

Bei dem 16 Jahre jungen Patienten zeigten sich alle vier oberen Schneidezähne nach einem bereits Jahre zurückliegenden Unfall ankyloisiert (Abb. 9). Es ist seitens der Kieferchirurgie geplant, im Rahmen umfangreicher weiterer Behandlungsmaßnahmen die ankyloisierten Zähne in einigen Jahren zu entfernen und durch Implantate zu ersetzen. Da der Jugendliche die angekündigte Zeitspanne von ca. fünf Jahren aus ästhetischen Gründen als zu lange ansieht und sich ständigen Kommentaren zu seinen Frontzähnen ausgesetzt sah, sollte eine kostengünstige Alternative zu Veneers oder Kronenversorgungen für diesen Interimszeitraum gefunden werden. Aufgrund des Wegfalles der sonst erforderlichen Laboraufwendungen und des reduzierteren Behandlungsaufwandes konnte mit der bereits im Fall 1 beschriebenen direkten Komposit-Aufbau-Technik ein ästhetisch ansprechendes und finanziell tragbares Behandlungsangebot gemacht werden. Auch hier wurde die erforderliche Zahnfarbe als Vita A2 identifiziert. Entsprechend dem ersten Fall wurde nach Entfernung der existierenden Kompositrestaurationen, Nachpräparation, Isolierung des Arbeitsfeldes und adhäsiver Vorbehandlung auf der verbliebenen Restzahnsubstanz ein Dentinkern aus der Dentinmasse A2D aufgebracht und polymerisiert. Die vorab ausgewählten und zurechtgeschnittenen Frasaco Strip-kappen wurden wie beschrieben erneut mit A2E und A2B befüllt und über die Zähne in Position gepresst. Um das Aufpressen zu erleichtern, wurde das in der Kappe eingebrachte Komposit (A2E und A2B) angewärmt.

Da die Zähne ankyloisiert waren, war es natürlich nicht möglich, die Zähne durch einen Heidemannspateldruck oder ein Holzkeilchen vor oder während der Stripkronen-Applikation diskret zu bewegen. Aus diesem Grunde blieb zwischen den beiden mittleren Schneidezähnen ein diskreter Spalt zurück. Selbstverständlich wäre es möglich, nach ­Teflonbandisolierung einer Aproximalfläche durch Einpressen bzw. injizieren einer weiteren Kompositschicht diesen Spalt zu schließen; das Ergebnis der Versorgung überzeugte den jungen Patienten aber derart, dass er keine weitere Veränderung mehr wünschte. Aus diesem Grunde wurde die Situation, so wie in Abbildung 10 dargestellt, belassen.

Fazit

Das hier angewendete Verfahren erlaubt in relativ überschaubarer Behandlungszeit ein funktionell dauerhaftes und ästhetisch ansprechendes Behandlungsergebnis in einer Sitzung zu erzielen, in dem trotzdem eine Schichttechnik unter Verwendung transluzenter Schneidekantenmassen möglich ist. Gerade diese Schmelzmassenapplikation im inzisalen Anteil der Frasaco-Kappe ermöglicht die gewünschte Transluzenz im Schneidekantenbereich, die heute im Bereich der ästhetischen restaurativen Zahnheilkunde gewünscht wird – und erbringbar ist. Unabdingbar ist allerdings, dass die mit dem Komposit gefüllte Frasaco Stripkrone exakt platziert wird, sodass bei der Kontrolle der Artikulation kein (oder kaum ein) inzisales Einkürzen erforderlich ist. Es mag verwundern, dass im Bereich des Schmelzüberganges der Präparationsgrenze keine Schmelzmasse, sondern die Body-Farbe zum Einsatz kam. Dies war bewusst so gewählt, da labial aufgebrachte Schmelzmassen oftmals zuviel des Guten und ursächlich für ein gräuliches Erscheinungsbild der Gesamtrestauration sowie ein Erkennen des Übergangsbereiches zur Zahnhartsubstanz sind. Deswegen sollten gerade auf der labialen Schmelz-Präparationsgrenze mindestens die Hälfte, am besten sogar die gesamte Schmelzkante, mit einem Komposit einer höheren Opazität aufgebaut werden.

Generell sollte man sich eher von den vom Hersteller vorgegebenen Bezeichnungen wie „Dentin“-, „Body“- oder „Schmelz“-Farbe lösen und sich darüber im Klaren sein, dass es sich um drei Komposite handelt, die sich lediglich in ihrer Opazität unterscheiden – und daraus natürlich zur Restauration unterschiedlicher anatomischer Strukturen am Zahn unterschiedlich gut geeignet sind. Man ist aber nicht gezwungen, stets eine derartige „Dreischichttechnik“ anzuwenden. Hierbei muss vom Behandler in Abhängigkeit der am Zahn vorhandenen Opazität die entsprechende Materialauswahl getroffen werden: Der ältere Zahn hat in der Regel durch seine längere „Gebrauchsperiode“ viel seiner transluzenten Schneidekante verloren, während der jugendliche Zahn mit mehr Schneidekantenmasse aufgebaut werden muss. Als letzte Information bleibt noch die Frage nach der Abrechnung dieser „direkten Kompositkronen“. Es wird sicherlich niemand ernsthaft diskutieren wollen, dass die Versorgungen derart großer Frontzahntraumata in direkter Technik mit Komposit nicht unbedingt einer BEMA-Klasse IV entsprechen; auch nicht der der GOZ-Position der Klasse IV. Aus diesem Grunde wurden die hier vorgestellten Versorgungen analog der GOZ-Position 222 (Teilkrone) abgerechnet. In der GKV kann eine entsprechende Mehrkostenvereinbarung zur Anwendung kommen.

Die Literaturliste zu diesem Beitrag finden Sie unter www.dentalzeitung.info

Mehr Fachartikel aus Cosmetic Dentistry

ePaper