Dieser Artikel stellt einen Langzeitfall von 14 Jahren vor, der zeigt, dass der Zahnarzt dem Patienten verschiedene Behandlungen und ästhetische Ergebnisse während der Transformation von natürlich zu supernatürlich ermöglichen kann.
Der nachfolgende Fall, bei dem erst das analytische Wax-up zeigte, dass der Patient nicht ohne Weiteres ohne Substanzverlust mit Non-Prep Veneers...
Der nachfolgende Fall, bei dem erst das analytische Wax-up zeigte, dass der Patient nicht ohne...
Ästhetik wird nach wie vor als banal abgetan, und vielen Praktikern fehlt das Verständnis dafür, dass ästhetische Zahnmedizin die Königsdisziplin...
Ästhetik wird nach wie vor als banal abgetan, und vielen Praktikern fehlt das Verständnis...
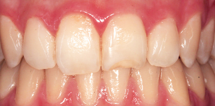
Stark verfärbte endodontisch behandelte Oberkiefer-Schneidezähne können erhebliche ästhetische Beeinträchtigungen hervorrufen und stellen...
Stark verfärbte endodontisch behandelte Oberkiefer-Schneidezähne können erhebliche ästhetische...
Angesichts der hohen okklusalen Belastung der Zähne im Seitenzahnbereich müssen Materialien mit einer hohen Leistungsfähigkeit verwendet werden....
Angesichts der hohen okklusalen Belastung der Zähne im Seitenzahnbereich müssen Materialien...
Garrison hat für jede Füllungsindikation einen Matrizenring entwickelt. Von blau über orange zu grün: Die neuen Matrizenringe decken ein...
Garrison hat für jede Füllungsindikation einen Matrizenring entwickelt. Von blau über orange...
Funktionsgestörte Patienten werden oft verkannt und aufgrund ästhetischer Ergebnisse fehlerhaft behandelt. Um ein funktionierendes und zufriedenstellendes...
Funktionsgestörte Patienten werden oft verkannt und aufgrund ästhetischer Ergebnisse fehlerhaft...
Anspruchsvolle Patienten suchen heute Spezialisten, die sich mit Smile Design-Konzepten auskennen. Um an solchen Konzepten zu arbeiten und sie...
Anspruchsvolle Patienten suchen heute Spezialisten, die sich mit Smile Design-Konzepten auskennen....
Heutzutage spielt Ästhetik in jeder Disziplin eine bedeutsame Rolle in unserer Gesellschaft. Jedoch muss der Zahnarzt nicht nur den Patientenwünschen...
Heutzutage spielt Ästhetik in jeder Disziplin eine bedeutsame Rolle in unserer Gesellschaft....
Adhäsiv befestigte keramische Frontzahn-Veneers haben im Angebotsspektrum vieler Praxen hierzulande noch nicht den Stellenwert erlangt, der...
Adhäsiv befestigte keramische Frontzahn-Veneers haben im Angebotsspektrum vieler Praxen hierzulande...
Wichtig ist es, dass der Behandler nicht nur die primären Wünsche der Patienten beachtet, sondern bereits in der Anamnese Krankheitssymptome...
Wichtig ist es, dass der Behandler nicht nur die primären Wünsche der Patienten beachtet,...
Dr. med. dent. Walter Weilenmann, Wetzikon, Schweiz, erläutert Material und Methode, um den Biss erodierter Seitenzähne kostengünstig und...
Dr. med. dent. Walter Weilenmann, Wetzikon, Schweiz, erläutert Material und Methode, um den...
Zahnlose Patienten mit Zahnersatz zu versorgen, stellt in der Zahnmedizin eine der größten Herausforderungen dar. Die zahnärztliche Implantologie...
Zahnlose Patienten mit Zahnersatz zu versorgen, stellt in der Zahnmedizin eine der größten...
Seit 24 Jahren arbeitet der Autor bereits mit dem CEREC-System der Firma Dentsply Sirona. So auch bei der Schienenfertigung mit der CEREC Ortho...
Seit 24 Jahren arbeitet der Autor bereits mit dem CEREC-System der Firma Dentsply Sirona. So...
Es gibt viele Möglichkeiten, um Patienten verschiedene Versorgungsmöglichkeiten aufzuzeigen. Doch das direkte Erleben eines neuen Lächelns...
Es gibt viele Möglichkeiten, um Patienten verschiedene Versorgungsmöglichkeiten aufzuzeigen....
Da Sie der Verwendung von Google Maps nicht zustimmten, kann leider keine Karte angezeigt werden.
Haben Sie schon unseren Newsletter abonniert?
Um bei unserer Anwendung Formulare zu verwenden, benötigen wir die Zustimmung um einen Token für das Absenden zu setzen.
Datenschutz und Nutzungserlebnis
Wir übermitteln Daten an Drittanbieter, die uns helfen, unser Webangebot zu verbessern und zu finanzieren. In diesem Zusammenhang werden auch Nutzungsprofile gebildet und angereichert, auch außerhalb des Europäischen Wirtschaftsraumes. Hierfür und um bestimmte Dienste zu nachfolgend aufgeführten Zwecken verwenden zu dürfen, benötigen wir Ihre Einwilligung.
Indem Sie "Alle Cookies akzeptieren" klicken, stimmen Sie diesen (jederzeit widerruflich) zu.
Unter "Manuell auswählen" können Sie die Datenverarbeitung individuell personalisieren.
Unter "Nur notwendige akzeptieren" können Sie die Datenverarbeitung ablehnen.
Indem Sie "Speichern" klicken, stimmen Sie diesen (jederzeit widerruflich) zu.
Um Kartendaten in unserer Anwendung darzustellen, nutzen wir den Kartendienst Google Maps. Willigen Sie der Nutzung von Google Maps ein, werden ggf. personenbezogene Daten (Ihre IP-Adresse) von Google erhoben.
Einbinden von Google Maps erlauben
Einige unserer Videoinhalte (bspw. Livestream) werden über die Videoplattform Vimeo bereitgestellt.
Inhalte von Vimeo erlauben
Einige Beiträge binden Inhalte von Instagram ein. Wenn Sie zustimmen, wird eine Verbindung zu Meta/Instagram aufgebaut und es können personenbezogene Daten wie Ihre IP-Adresse übertragen werden.
Inhalte von Instagram erlauben
Für ein besseres Benutzererlebnis können unsere Werbeanzeigen personalisiert werden. Um dies zu ermöglichen, wird das erstellen von Cookies vorausgesetzt. Sollten Sie diesem Dienst nicht zustimmen, werden Werbeanzeigen zufällig ausgeliefert.
Personalisierte Werbung erlauben
Um sich bei unserer Anwendung Formulare zu verwenden werden Tokens gesetzt die es uns ermöglichen Spam zu verhindern. Sollten Sie dies ausstellen, ist es Ihnen nicht mehr möglich sich bei uns anzumelden oder zu registrieren.
Anmeldeformulare absenden ermöglichen
Bei der Gestaltung unserer Anwendung benutzen wir Schriftarten von Adobe, diese werden über ein CDN geladen. Sollte Sie diesem Dienst nicht zustimmen wird die Standard Schrift des Systems benutzt. Außerdem könnte es zu Fehlern im allgemeinen Anwendungsdesign kommen.
Inhalte von Adobe erlauben
Sie können Ihre Auswahl jederzeit unter "Cookie-Einstellungen“ am Seitenende ändern.