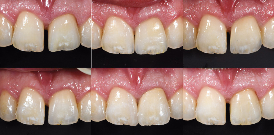
Moderne Submicron-Universalkomposite verfügen über eine natürliche, lang anhaltende Glanzbeständigkeit. Der folgende Fallbericht zeigt, wie sich brillante, biomimetische Kompositrestaurationen im Handumdrehen anfertigen lassen.
In diesem Beitrag wird die Behandlung einer Patientin mit guter allgemeiner Gesundheit vorgestellt. Die Ausgangssituation in diesem Patientenfall...
In diesem Beitrag wird die Behandlung einer Patientin mit guter allgemeiner Gesundheit vorgestellt....
Die Einzelkrone im Frontzahngebiet stellt eine der größten Herausforderungen für das Team Zahnarzt–Zahntechniker dar, die in der ästhetischen...
Die Einzelkrone im Frontzahngebiet stellt eine der größten Herausforderungen für das Team...
Trotz der beachtlichen Fortschritte der Digitalisierung der Zahntechnik (CAD/CAM) ist das manuelle Vorgehen im Bereich der minimalinvasiven und...
Trotz der beachtlichen Fortschritte der Digitalisierung der Zahntechnik (CAD/CAM) ist das manuelle...
Ästhetische Korrekturen an Frontzähnen sind ein immer häufigerer geäußerter Wunsch von Patienten. Dieses Fallbeispiel soll die Möglichkeit...
Ästhetische Korrekturen an Frontzähnen sind ein immer häufigerer geäußerter Wunsch von...
In der Praxis stellen die Patienten 60 plus zum Teil eine große Herausforderung dar. Mehr denn je ist bei dieser Altersgruppe zu spüren, dass...
In der Praxis stellen die Patienten 60 plus zum Teil eine große Herausforderung dar. Mehr...
Die implantologische Versorgung von Einzelzahnlücken in der ästhetischen Zone unterliegt einer strengen Beurteilung. Folgende Kasuistik verfolgt...
Die implantologische Versorgung von Einzelzahnlücken in der ästhetischen Zone unterliegt...
Die Versorgung von zahnbegrenzten Einzelzahnlücken in der ästhetischen Zone unterliegt einer strengen Beurteilung von Zahnarzt und Patient....
Die Versorgung von zahnbegrenzten Einzelzahnlücken in der ästhetischen Zone unterliegt einer...
Um ein funktionierendes und zufriedenstellendes Ergebnis bei der dentalen Rehabilitation zu erzielen, ist es wichtig, den dentalen Fokus zu erweitern...
Um ein funktionierendes und zufriedenstellendes Ergebnis bei der dentalen Rehabilitation zu...
Das perfekte Selfie, mehr Follower und mehr „Likes“ sind ein Indiz für Bekanntheit und Erfolg, einhergehend mit neuen finanziellen Möglichkeiten....
Das perfekte Selfie, mehr Follower und mehr „Likes“ sind ein Indiz für Bekanntheit und...
Welche Aspekte spielen bei der Materialwahl in der Praxis eine entscheidende Rolle – und was ist mit diesen Werkstoffen möglich?
Welche Aspekte spielen bei der Materialwahl in der Praxis eine entscheidende Rolle – und...
Der Fall präsentiert einen prothetischen Lückenschluss multipler Diastemata im Oberkiefer mittels vollkeramischer Kronen.
Der Fall präsentiert einen prothetischen Lückenschluss multipler Diastemata im Oberkiefer...
Patienten wünschen sich wie selbstverständlich eine Versorgung, die sich möglichst nicht vom Zustand des Restgebisses unterscheidet. Das kann...
Patienten wünschen sich wie selbstverständlich eine Versorgung, die sich möglichst nicht...
Viele Patienten fühlen sich durch dunkle approximale Dreiecke beeinträchtigt, da die interdentale Gingiva zwischen den Schneidezähnen einen...
Viele Patienten fühlen sich durch dunkle approximale Dreiecke beeinträchtigt, da die interdentale...
Der Patient stellte sich mit dem Wunsch vor, sein Diastema schließen zu lassen. Er beklagte die mangelnde Ästhetik und nicht zufriedenstellende...
Der Patient stellte sich mit dem Wunsch vor, sein Diastema schließen zu lassen. Er beklagte...
Da Sie der Verwendung von Google Maps nicht zustimmten, kann leider keine Karte angezeigt werden.
Haben Sie schon unseren Newsletter abonniert?
Um bei unserer Anwendung Formulare zu verwenden, benötigen wir die Zustimmung um einen Token für das Absenden zu setzen.
Datenschutz und Nutzungserlebnis
Wir übermitteln Daten an Drittanbieter, die uns helfen, unser Webangebot zu verbessern und zu finanzieren. In diesem Zusammenhang werden auch Nutzungsprofile gebildet und angereichert, auch außerhalb des Europäischen Wirtschaftsraumes. Hierfür und um bestimmte Dienste zu nachfolgend aufgeführten Zwecken verwenden zu dürfen, benötigen wir Ihre Einwilligung.
Indem Sie "Alle Cookies akzeptieren" klicken, stimmen Sie diesen (jederzeit widerruflich) zu.
Unter "Manuell auswählen" können Sie die Datenverarbeitung individuell personalisieren.
Unter "Nur notwendige akzeptieren" können Sie die Datenverarbeitung ablehnen.
Indem Sie "Speichern" klicken, stimmen Sie diesen (jederzeit widerruflich) zu.
Um Kartendaten in unserer Anwendung darzustellen, nutzen wir den Kartendienst Google Maps. Willigen Sie der Nutzung von Google Maps ein, werden ggf. personenbezogene Daten (Ihre IP-Adresse) von Google erhoben.
Einbinden von Google Maps erlauben
Einige unserer Videoinhalte (bspw. Livestream) werden über die Videoplattform Vimeo bereitgestellt.
Inhalte von Vimeo erlauben
Einige Beiträge binden Inhalte von Instagram ein. Wenn Sie zustimmen, wird eine Verbindung zu Meta/Instagram aufgebaut und es können personenbezogene Daten wie Ihre IP-Adresse übertragen werden.
Inhalte von Instagram erlauben
Für ein besseres Benutzererlebnis können unsere Werbeanzeigen personalisiert werden. Um dies zu ermöglichen, wird das erstellen von Cookies vorausgesetzt. Sollten Sie diesem Dienst nicht zustimmen, werden Werbeanzeigen zufällig ausgeliefert.
Personalisierte Werbung erlauben
Um sich bei unserer Anwendung Formulare zu verwenden werden Tokens gesetzt die es uns ermöglichen Spam zu verhindern. Sollten Sie dies ausstellen, ist es Ihnen nicht mehr möglich sich bei uns anzumelden oder zu registrieren.
Anmeldeformulare absenden ermöglichen
Bei der Gestaltung unserer Anwendung benutzen wir Schriftarten von Adobe, diese werden über ein CDN geladen. Sollte Sie diesem Dienst nicht zustimmen wird die Standard Schrift des Systems benutzt. Außerdem könnte es zu Fehlern im allgemeinen Anwendungsdesign kommen.
Inhalte von Adobe erlauben
Sie können Ihre Auswahl jederzeit unter "Cookie-Einstellungen“ am Seitenende ändern.