Die wirksamste Prävention von Karies in Grübchen und Fissuren ist der Schutz der verletzlichen Zahnflächen vor kariogenen Bakterien und nach dem Kauen auf den Zähnen verbliebenen fermentierbaren Kohlenhydraten.
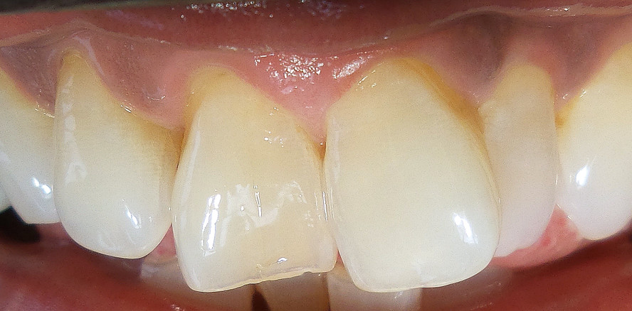
Der Biss auf einen Pfirsichkern und dessen Folgen. Gerade im Praxisalltag ist es entscheidend, schnelle, zuverlässige und ästhetisch ansprechende...
Der Biss auf einen Pfirsichkern und dessen Folgen. Gerade im Praxisalltag ist es entscheidend,...
Mit direkten Komposits kann man praktisch jedes kosmetische oder funktionelle Problem lösen. Die Vorbereitungen sind durchweg minimalinvasiv...
Mit direkten Komposits kann man praktisch jedes kosmetische oder funktionelle Problem lösen....
Im Vorfeld der RTL-Datingshow „Die Bachlorette“ ließ sich Kandidat Sebastian Mansla die Zähne richten. Die Behandlung erfolgte mit einer...
Im Vorfeld der RTL-Datingshow „Die Bachlorette“ ließ sich Kandidat Sebastian Mansla die...
In diesem Beitrag wird die Behandlung eines Patienten (37 Jahre) mit guter allgemeiner Gesundheit vorgestellt. In dem vorliegenden Fall handelt...
In diesem Beitrag wird die Behandlung eines Patienten (37 Jahre) mit guter allgemeiner Gesundheit...
Funktionsgestörte Patienten mit stark abradierten Zähnen wieder zu rehabilitieren, ist oft schon eine Herausforderung an sich. Häufig werden...
Funktionsgestörte Patienten mit stark abradierten Zähnen wieder zu rehabilitieren, ist oft...
Eine problemfreie Bulk-Fill-Lösung? Mit unbegrenzter Aushärtungstiefe? Zest Dental Solutions Bulk EZ ist die praktische Lösung, die den Herausforderungen...
Eine problemfreie Bulk-Fill-Lösung? Mit unbegrenzter Aushärtungstiefe? Zest Dental Solutions...
Das Ziel unserer scheinbar makellosen Gesellschaft ist die optische Perfektion. Dazu zählt natürlich auch ein ästhetisches und natürliches...
Das Ziel unserer scheinbar makellosen Gesellschaft ist die optische Perfektion. Dazu zählt...
Keramische Inlays stellen nicht nur eine ästhetische Alternative zu metallfarbenen Restaurationen dar, sondern stabilisieren auch dank der adhäsiven...
Keramische Inlays stellen nicht nur eine ästhetische Alternative zu metallfarbenen Restaurationen...
Ästhetische Restaurationen sind heutzutage neben der Schmerzbehandlung die häufigste Ursache für Zahnarztbesuche. Anhand eines Fallbeispiels...
Ästhetische Restaurationen sind heutzutage neben der Schmerzbehandlung die häufigste Ursache...
In diesem Beitrag wird die Behandlung einer Patientin mit guter allgemeiner Gesundheit vorgestellt. Die Ausgangssituation in diesem Patientenfall...
In diesem Beitrag wird die Behandlung einer Patientin mit guter allgemeiner Gesundheit vorgestellt....
Ästhetische Verbesserungen sind nur an gesunden Zähnen möglich, daher ist es oftmals erforderlich, im Vorfeld entsprechende Kombinationstherapien...
Ästhetische Verbesserungen sind nur an gesunden Zähnen möglich, daher ist es oftmals erforderlich,...
In diesem Beitrag wird die Behandlung einer Patientin mit guter allgemeiner Gesundheit vorgestellt. Die Ausgangssituation in diesem Patientenfall...
In diesem Beitrag wird die Behandlung einer Patientin mit guter allgemeiner Gesundheit vorgestellt....
In diesem Beitrag wird die Behandlung eines Patienten (37 Jahre) mit guter allgemeiner Gesundheit vorgestellt. In dem vorliegenden Fall handelt...
In diesem Beitrag wird die Behandlung eines Patienten (37 Jahre) mit guter allgemeiner Gesundheit...
Der Wunsch der Patienten nach einem harmonischen und schönen Lächeln spielt eine immer größere Rolle. Dies stellt vor allem den Zahnarzt...
Der Wunsch der Patienten nach einem harmonischen und schönen Lächeln spielt eine immer größere...
Da Sie der Verwendung von Google Maps nicht zustimmten, kann leider keine Karte angezeigt werden.
Haben Sie schon unseren Newsletter abonniert?
Um bei unserer Anwendung Formulare zu verwenden, benötigen wir die Zustimmung um einen Token für das Absenden zu setzen.
Datenschutz und Nutzungserlebnis
Wir übermitteln Daten an Drittanbieter, die uns helfen, unser Webangebot zu verbessern und zu finanzieren. In diesem Zusammenhang werden auch Nutzungsprofile gebildet und angereichert, auch außerhalb des Europäischen Wirtschaftsraumes. Hierfür und um bestimmte Dienste zu nachfolgend aufgeführten Zwecken verwenden zu dürfen, benötigen wir Ihre Einwilligung.
Indem Sie "Alle Cookies akzeptieren" klicken, stimmen Sie diesen (jederzeit widerruflich) zu.
Unter "Manuell auswählen" können Sie die Datenverarbeitung individuell personalisieren.
Unter "Nur notwendige akzeptieren" können Sie die Datenverarbeitung ablehnen.
Indem Sie "Speichern" klicken, stimmen Sie diesen (jederzeit widerruflich) zu.
Um Kartendaten in unserer Anwendung darzustellen, nutzen wir den Kartendienst Google Maps. Willigen Sie der Nutzung von Google Maps ein, werden ggf. personenbezogene Daten (Ihre IP-Adresse) von Google erhoben.
Einbinden von Google Maps erlauben
Einige unserer Videoinhalte (bspw. Livestream) werden über die Videoplattform Vimeo bereitgestellt.
Inhalte von Vimeo erlauben
Einige Beiträge binden Inhalte von Instagram ein. Wenn Sie zustimmen, wird eine Verbindung zu Meta/Instagram aufgebaut und es können personenbezogene Daten wie Ihre IP-Adresse übertragen werden.
Inhalte von Instagram erlauben
Für ein besseres Benutzererlebnis können unsere Werbeanzeigen personalisiert werden. Um dies zu ermöglichen, wird das erstellen von Cookies vorausgesetzt. Sollten Sie diesem Dienst nicht zustimmen, werden Werbeanzeigen zufällig ausgeliefert.
Personalisierte Werbung erlauben
Um sich bei unserer Anwendung Formulare zu verwenden werden Tokens gesetzt die es uns ermöglichen Spam zu verhindern. Sollten Sie dies ausstellen, ist es Ihnen nicht mehr möglich sich bei uns anzumelden oder zu registrieren.
Anmeldeformulare absenden ermöglichen
Bei der Gestaltung unserer Anwendung benutzen wir Schriftarten von Adobe, diese werden über ein CDN geladen. Sollte Sie diesem Dienst nicht zustimmen wird die Standard Schrift des Systems benutzt. Außerdem könnte es zu Fehlern im allgemeinen Anwendungsdesign kommen.
Inhalte von Adobe erlauben
Sie können Ihre Auswahl jederzeit unter "Cookie-Einstellungen“ am Seitenende ändern.