In der modernen Zahnmedizin steht der Erhalt der natürlichen Zahnhartsubstanz im Vordergrund. Besonders bei ästhetisch anspruchsvollen Patienten ist ein schonendes Vorgehen in der weißen und roten Ästhetik unerlässlich.
Der vorliegende Fall stellt die ästhetische und funktionale Rehabilitation einer Patientin dar. Durch den Einsatz modernster keramischer Werkstoffe...
Der vorliegende Fall stellt die ästhetische und funktionale Rehabilitation einer Patientin...
Der vorliegende Bericht beschreibt die vollständige Mundrehabilitation eines 52-jährigen männlichen Patienten mit schwerem Bruxismus, der...
Der vorliegende Bericht beschreibt die vollständige Mundrehabilitation eines 52-jährigen...
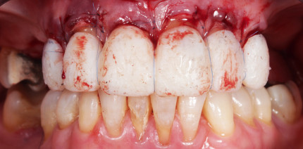
In diesem Beitrag wird die Behandlung einer Patientin (60 Jahre) mit guter allgemeiner Gesundheit vorgestellt. Sie stellte sich im März 2007...
In diesem Beitrag wird die Behandlung einer Patientin (60 Jahre) mit guter allgemeiner Gesundheit...
In diesem Artikel wird die direkte Technik zur Herstellung einer faserverstärkten Verbundbrücke beschrieben. Funktion und Ästhetik können...
In diesem Artikel wird die direkte Technik zur Herstellung einer faserverstärkten Verbundbrücke...
Die Restauration von frakturierten und ästhetisch beeinträchtigten mittleren Schneidezähnen ist sowohl für die Funktion als auch für das...
Die Restauration von frakturierten und ästhetisch beeinträchtigten mittleren Schneidezähnen...
Einhergehend mit kariösen und nichtkariösen Zahnhartsubstanzdefekten zeigt sich vielmals ein Verlust an vertikaler Dimension und/oder vermehrt...
Einhergehend mit kariösen und nichtkariösen Zahnhartsubstanzdefekten zeigt sich vielmals...
Einhergehend mit kariösen und nichtkariösen Zahnhartsubstanzdefekten zeigt sich bei vielen Patienten ein Verlust an vertikaler Dimension und/oder...
Einhergehend mit kariösen und nichtkariösen Zahnhartsubstanzdefekten zeigt sich bei vielen...
Dieser Fallbericht beschreibt eine multidisziplinäre Vorgehensweise bei einer umfassenden Gesamtrehabilitation. Es wird gleichzeitig eine zahnmedizinische...
Dieser Fallbericht beschreibt eine multidisziplinäre Vorgehensweise bei einer umfassenden...
Mit der Einführung von Mikrohybridkompositen wurden Modifikationen der Zahnform wie beispielweise das Schließen von Diastemata oder die Korrektur...
Mit der Einführung von Mikrohybridkompositen wurden Modifikationen der Zahnform wie beispielweise...
Indirekte Restaurationen aus Komposit können grundsätzlich mit plastischen Materialien hergestellt oder auch aus industriell gefertigten Rohlingblöcken...
Indirekte Restaurationen aus Komposit können grundsätzlich mit plastischen Materialien hergestellt...
Dieses Fallbeispiel veranschaulicht die einfache Bisshebung mittels CEREC und einem Mittelwertartikulator. Besonderes Augenmerk liegt hierbei...
Dieses Fallbeispiel veranschaulicht die einfache Bisshebung mittels CEREC und einem Mittelwertartikulator....
Multiple kariöse als auch nicht kariöse Zahnhartsubstanzdefekte führen in den meisten Fällen zum Verlust der vertikalen Höhe und/oder damit...
Multiple kariöse als auch nicht kariöse Zahnhartsubstanzdefekte führen in den meisten Fällen...
Besonderes Augenmerk wird im Artikel auf digitale Tools und auf die digitale Planung gelegt. Zudem wird verdeutlicht, dass digitale Tools dazu...
Besonderes Augenmerk wird im Artikel auf digitale Tools und auf die digitale Planung gelegt....
Die Digitalisierung transformiert die Zahnmedizin: Die Integration digitaler Planungssoftware in die Zahnheilkunde bietet ein innovatives Tool...
Die Digitalisierung transformiert die Zahnmedizin: Die Integration digitaler Planungssoftware...
Da Sie der Verwendung von Google Maps nicht zustimmten, kann leider keine Karte angezeigt werden.
Haben Sie schon unseren Newsletter abonniert?
Um bei unserer Anwendung Formulare zu verwenden, benötigen wir die Zustimmung um einen Token für das Absenden zu setzen.
Datenschutz und Nutzungserlebnis
Wir übermitteln Daten an Drittanbieter, die uns helfen, unser Webangebot zu verbessern und zu finanzieren. In diesem Zusammenhang werden auch Nutzungsprofile gebildet und angereichert, auch außerhalb des Europäischen Wirtschaftsraumes. Hierfür und um bestimmte Dienste zu nachfolgend aufgeführten Zwecken verwenden zu dürfen, benötigen wir Ihre Einwilligung.
Indem Sie "Alle Cookies akzeptieren" klicken, stimmen Sie diesen (jederzeit widerruflich) zu.
Unter "Manuell auswählen" können Sie die Datenverarbeitung individuell personalisieren.
Unter "Nur notwendige akzeptieren" können Sie die Datenverarbeitung ablehnen.
Indem Sie "Speichern" klicken, stimmen Sie diesen (jederzeit widerruflich) zu.
Um Kartendaten in unserer Anwendung darzustellen, nutzen wir den Kartendienst Google Maps. Willigen Sie der Nutzung von Google Maps ein, werden ggf. personenbezogene Daten (Ihre IP-Adresse) von Google erhoben.
Einbinden von Google Maps erlauben
Einige unserer Videoinhalte (bspw. Livestream) werden über die Videoplattform Vimeo bereitgestellt.
Inhalte von Vimeo erlauben
Einige Beiträge binden Inhalte von Instagram ein. Wenn Sie zustimmen, wird eine Verbindung zu Meta/Instagram aufgebaut und es können personenbezogene Daten wie Ihre IP-Adresse übertragen werden.
Inhalte von Instagram erlauben
Für ein besseres Benutzererlebnis können unsere Werbeanzeigen personalisiert werden. Um dies zu ermöglichen, wird das erstellen von Cookies vorausgesetzt. Sollten Sie diesem Dienst nicht zustimmen, werden Werbeanzeigen zufällig ausgeliefert.
Personalisierte Werbung erlauben
Um sich bei unserer Anwendung Formulare zu verwenden werden Tokens gesetzt die es uns ermöglichen Spam zu verhindern. Sollten Sie dies ausstellen, ist es Ihnen nicht mehr möglich sich bei uns anzumelden oder zu registrieren.
Anmeldeformulare absenden ermöglichen
Bei der Gestaltung unserer Anwendung benutzen wir Schriftarten von Adobe, diese werden über ein CDN geladen. Sollte Sie diesem Dienst nicht zustimmen wird die Standard Schrift des Systems benutzt. Außerdem könnte es zu Fehlern im allgemeinen Anwendungsdesign kommen.
Inhalte von Adobe erlauben
Sie können Ihre Auswahl jederzeit unter "Cookie-Einstellungen“ am Seitenende ändern.