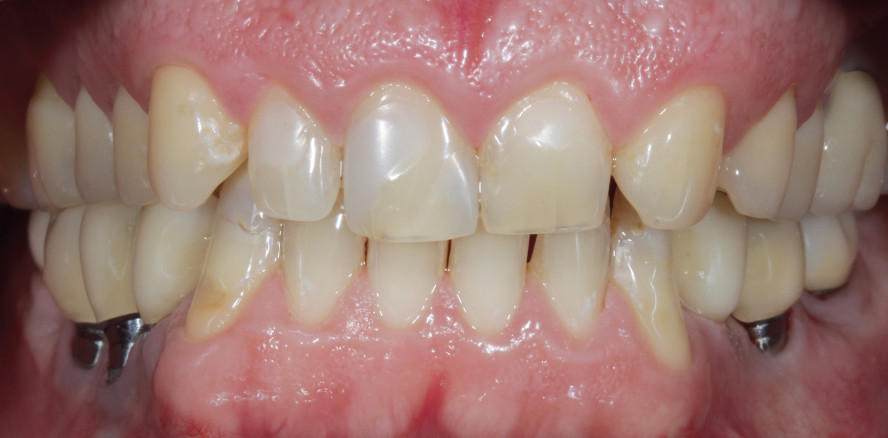
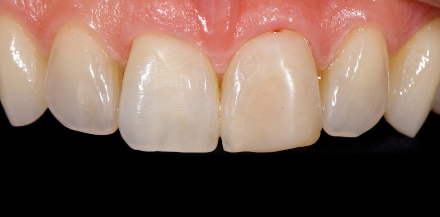
In diesem Beitrag wird die Behandlung eines Patienten (37 Jahre) mit guter allgemeiner Gesundheit vorgestellt. In dem vorliegenden Fall handelt es sich um eine adhäsive Full-Mouth-Rehabilitation.
Der Wunsch der Patienten nach einem harmonischen und schönen Lächeln spielt eine immer größere Rolle. Dies stellt vor allem den Zahnarzt...
Der Wunsch der Patienten nach einem harmonischen und schönen Lächeln spielt eine immer größere...
Dieser Artikel stellt einen Langzeitfall von 14 Jahren vor, der zeigt, dass der Zahnarzt dem Patienten verschiedene Behandlungen und ästhetische...
Dieser Artikel stellt einen Langzeitfall von 14 Jahren vor, der zeigt, dass der Zahnarzt dem...
Stark verfärbte endodontisch behandelte Oberkiefer-Schneidezähne können erhebliche ästhetische Beeinträchtigungen hervorrufen und stellen...
Stark verfärbte endodontisch behandelte Oberkiefer-Schneidezähne können erhebliche ästhetische...
Angesichts der hohen okklusalen Belastung der Zähne im Seitenzahnbereich müssen Materialien mit einer hohen Leistungsfähigkeit verwendet werden....
Angesichts der hohen okklusalen Belastung der Zähne im Seitenzahnbereich müssen Materialien...
Anspruchsvolle Patienten suchen heute Spezialisten, die sich mit Smile Design-Konzepten auskennen. Um an solchen Konzepten zu arbeiten und sie...
Anspruchsvolle Patienten suchen heute Spezialisten, die sich mit Smile Design-Konzepten auskennen....
In der Praxis stellen die Patienten 60 plus zum Teil eine große Herausforderung dar. Mehr denn je ist bei dieser Altersgruppe zu spüren, dass...
In der Praxis stellen die Patienten 60 plus zum Teil eine große Herausforderung dar. Mehr...
Das perfekte Selfie, mehr Follower und mehr „Likes“ sind ein Indiz für Bekanntheit und Erfolg, einhergehend mit neuen finanziellen Möglichkeiten....
Das perfekte Selfie, mehr Follower und mehr „Likes“ sind ein Indiz für Bekanntheit und...
Patienten wünschen sich wie selbstverständlich eine Versorgung, die sich möglichst nicht vom Zustand des Restgebisses unterscheidet. Das kann...
Patienten wünschen sich wie selbstverständlich eine Versorgung, die sich möglichst nicht...
Viele Patienten fühlen sich durch dunkle approximale Dreiecke beeinträchtigt, da die interdentale Gingiva zwischen den Schneidezähnen einen...
Viele Patienten fühlen sich durch dunkle approximale Dreiecke beeinträchtigt, da die interdentale...
Weil immer mehr Patienten ein „perfektes Lächeln“ wünschen, sind Zahnärzte zunehmend gefordert, hochästhetische Versorgungen und Optimierungen...
Weil immer mehr Patienten ein „perfektes Lächeln“ wünschen, sind Zahnärzte zunehmend...
Essentia von GC ermöglicht eine einfache, aber effektive ästhetische Restauration mit einer begrenzten Auswahl an Farbtönen. Das Set aus nur...
Essentia von GC ermöglicht eine einfache, aber effektive ästhetische Restauration mit einer...
Die Fraktur der juvenilen Frontzahnkrone mit ausgeprägter Transluzenz und Anatomie gehört zu den häufigsten Zahntraumen. Im folgenden Patientenbeispiel...
Die Fraktur der juvenilen Frontzahnkrone mit ausgeprägter Transluzenz und Anatomie gehört...
Nach sechs Jahren klinischer Anwendung des Nanohybridkomposits IPS Empress® Direct zieht der Autor ein Resümee. Denn noch heute ist sein Patient...
Nach sechs Jahren klinischer Anwendung des Nanohybridkomposits IPS Empress® Direct zieht der...
Behandlern stehen heute eine Vielzahl von Versorgungsmöglichkeiten zur ästhetischen Rehabilitation der natürlichen Front zur Verfügung. Im...
Behandlern stehen heute eine Vielzahl von Versorgungsmöglichkeiten zur ästhetischen Rehabilitation...
Da Sie der Verwendung von Google Maps nicht zustimmten, kann leider keine Karte angezeigt werden.
Haben Sie schon unseren Newsletter abonniert?
Um bei unserer Anwendung Formulare zu verwenden, benötigen wir die Zustimmung um einen Token für das Absenden zu setzen.
Datenschutz und Nutzungserlebnis
Wir übermitteln Daten an Drittanbieter, die uns helfen, unser Webangebot zu verbessern und zu finanzieren. In diesem Zusammenhang werden auch Nutzungsprofile gebildet und angereichert, auch außerhalb des Europäischen Wirtschaftsraumes. Hierfür und um bestimmte Dienste zu nachfolgend aufgeführten Zwecken verwenden zu dürfen, benötigen wir Ihre Einwilligung.
Indem Sie "Alle Cookies akzeptieren" klicken, stimmen Sie diesen (jederzeit widerruflich) zu.
Unter "Manuell auswählen" können Sie die Datenverarbeitung individuell personalisieren.
Unter "Nur notwendige akzeptieren" können Sie die Datenverarbeitung ablehnen.
Indem Sie "Speichern" klicken, stimmen Sie diesen (jederzeit widerruflich) zu.
Um Kartendaten in unserer Anwendung darzustellen, nutzen wir den Kartendienst Google Maps. Willigen Sie der Nutzung von Google Maps ein, werden ggf. personenbezogene Daten (Ihre IP-Adresse) von Google erhoben.
Einbinden von Google Maps erlauben
Einige unserer Videoinhalte (bspw. Livestream) werden über die Videoplattform Vimeo bereitgestellt.
Inhalte von Vimeo erlauben
Einige Beiträge binden Inhalte von Instagram ein. Wenn Sie zustimmen, wird eine Verbindung zu Meta/Instagram aufgebaut und es können personenbezogene Daten wie Ihre IP-Adresse übertragen werden.
Inhalte von Instagram erlauben
Für ein besseres Benutzererlebnis können unsere Werbeanzeigen personalisiert werden. Um dies zu ermöglichen, wird das erstellen von Cookies vorausgesetzt. Sollten Sie diesem Dienst nicht zustimmen, werden Werbeanzeigen zufällig ausgeliefert.
Personalisierte Werbung erlauben
Um sich bei unserer Anwendung Formulare zu verwenden werden Tokens gesetzt die es uns ermöglichen Spam zu verhindern. Sollten Sie dies ausstellen, ist es Ihnen nicht mehr möglich sich bei uns anzumelden oder zu registrieren.
Anmeldeformulare absenden ermöglichen
Bei der Gestaltung unserer Anwendung benutzen wir Schriftarten von Adobe, diese werden über ein CDN geladen. Sollte Sie diesem Dienst nicht zustimmen wird die Standard Schrift des Systems benutzt. Außerdem könnte es zu Fehlern im allgemeinen Anwendungsdesign kommen.
Inhalte von Adobe erlauben
Sie können Ihre Auswahl jederzeit unter "Cookie-Einstellungen“ am Seitenende ändern.