Ein wichtiger Aspekt für die zahnärztliche Praxis ist die Verfügbarkeit von einfach zu handhabenden Füllungsmaterialien im Seitenzahnbereich. Lange Zeit stand als permanente zuzahlungsfreie Versorgung lediglich Amalgam zur Verfügung. Mit EQUIA (GC) kann der Zahnarzt nun auch auf eine ästhetische Alternative zurückgreifen, die von der GKV als Basisversorgung anerkannt wird.
Der Schweizer Dentalspezialist Coltène/ Whaledent hat nach jahrelanger Forschung ein System entwickelt, das Zahnärzten die Restauration wesentlich...
Der Schweizer Dentalspezialist Coltène/ Whaledent hat nach jahrelanger Forschung ein System...
Der natürliche Zahn als Vorbild für eine ästhetische Restauration stellt sowohl hohe Anforderungen an den Behandler als auch an das Material....
Der natürliche Zahn als Vorbild für eine ästhetische Restauration stellt sowohl hohe Anforderungen...
Auf dem Sektor der Befestigungszemente hat in den letzten Jahren eine starke Entwicklung stattgefunden. Im folgenden Beitrag werden die Vorteile...
Auf dem Sektor der Befestigungszemente hat in den letzten Jahren eine starke Entwicklung stattgefunden....
In der freien Praxis, je nach Einzugsgebiet, ist das dentale Trauma – gemessen am sonstigen täglichen Aufkommen – ein eher seltenes Ereignis,...
In der freien Praxis, je nach Einzugsgebiet, ist das dentale Trauma – gemessen am sonstigen...
Der Praktiker steht heute vor einer fast unüberschaubaren Vielzahl von neuen Optionen und Varianten von Dentalmaterialien.
Der Praktiker steht heute vor einer fast unüberschaubaren Vielzahl von neuen Optionen und...
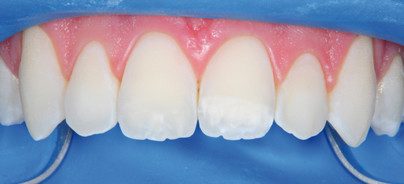
Besonders im Frontzahnbereich ist das ästhetische Bewusstsein der Patienten nicht zu Kompromissen bereit. Als ästhetische Regel gilt, dass...
Besonders im Frontzahnbereich ist das ästhetische Bewusstsein der Patienten nicht zu Kompromissen...
Die Entwicklung eines durchgängigen keramischen Systems ermöglicht die Verwendung einer einzigen Keramiklinie zur Herstellung von metallkeramischen,...
Die Entwicklung eines durchgängigen keramischen Systems ermöglicht die Verwendung einer einzigen...
Die Standardbehandlung bei WSL sind die lokale Fluoridierung und die Verbesserung der Mundhygiene des Patienten, um die Remineralisierung des...
Die Standardbehandlung bei WSL sind die lokale Fluoridierung und die Verbesserung der Mundhygiene...
Minimalinvasive Techniken zur Herstellung einer orofazialen Ästhetik sind mithilfe von Fillern und Botulinumtoxin durchaus möglich, ebenso...
Minimalinvasive Techniken zur Herstellung einer orofazialen Ästhetik sind mithilfe von Fillern...
Eine aktuelle Studie zeigt deutlich, dass orale Piercings im Vergleich mit allen anderen Arten extraoralen Piercings signifikant mehr lokale...
Eine aktuelle Studie zeigt deutlich, dass orale Piercings im Vergleich mit allen anderen Arten...
Beim Anbringen von Zahnschmuck muss der Zahnarzt auf einige gesetzliche Vorschriften achten. Dazu zählen neben einer ausführlichen Aufklärung...
Beim Anbringen von Zahnschmuck muss der Zahnarzt auf einige gesetzliche Vorschriften achten....
Peri- und intraoraler Schmuck zeigen eine zunehmende Verbreitung. Neben Piercing der Lippen und Zungen erfreuen sich auch direkt an den Zähnen...
Peri- und intraoraler Schmuck zeigen eine zunehmende Verbreitung. Neben Piercing der Lippen...
Harmonie zwischen weiß und rot = die sichtbare Ästhetik unter Berücksichtigung der vierten Dimension
Der meist beeinflussende Faktor für...
Harmonie zwischen weiß und rot = die sichtbare Ästhetik unter Berücksichtigung der vierten...
Da Sie der Verwendung von Google Maps nicht zustimmten, kann leider keine Karte angezeigt werden.
Haben Sie schon unseren Newsletter abonniert?
Um bei unserer Anwendung Formulare zu verwenden, benötigen wir die Zustimmung um einen Token für das Absenden zu setzen.
Datenschutz und Nutzungserlebnis
Wir übermitteln Daten an Drittanbieter, die uns helfen, unser Webangebot zu verbessern und zu finanzieren. In diesem Zusammenhang werden auch Nutzungsprofile gebildet und angereichert, auch außerhalb des Europäischen Wirtschaftsraumes. Hierfür und um bestimmte Dienste zu nachfolgend aufgeführten Zwecken verwenden zu dürfen, benötigen wir Ihre Einwilligung.
Indem Sie "Alle Cookies akzeptieren" klicken, stimmen Sie diesen (jederzeit widerruflich) zu.
Unter "Manuell auswählen" können Sie die Datenverarbeitung individuell personalisieren.
Unter "Nur notwendige akzeptieren" können Sie die Datenverarbeitung ablehnen.
Indem Sie "Speichern" klicken, stimmen Sie diesen (jederzeit widerruflich) zu.
Um Kartendaten in unserer Anwendung darzustellen, nutzen wir den Kartendienst Google Maps. Willigen Sie der Nutzung von Google Maps ein, werden ggf. personenbezogene Daten (Ihre IP-Adresse) von Google erhoben.
Einbinden von Google Maps erlauben
Einige unserer Videoinhalte (bspw. Livestream) werden über die Videoplattform Vimeo bereitgestellt.
Inhalte von Vimeo erlauben
Einige Beiträge binden Inhalte von Instagram ein. Wenn Sie zustimmen, wird eine Verbindung zu Meta/Instagram aufgebaut und es können personenbezogene Daten wie Ihre IP-Adresse übertragen werden.
Inhalte von Instagram erlauben
Für ein besseres Benutzererlebnis können unsere Werbeanzeigen personalisiert werden. Um dies zu ermöglichen, wird das erstellen von Cookies vorausgesetzt. Sollten Sie diesem Dienst nicht zustimmen, werden Werbeanzeigen zufällig ausgeliefert.
Personalisierte Werbung erlauben
Um sich bei unserer Anwendung Formulare zu verwenden werden Tokens gesetzt die es uns ermöglichen Spam zu verhindern. Sollten Sie dies ausstellen, ist es Ihnen nicht mehr möglich sich bei uns anzumelden oder zu registrieren.
Anmeldeformulare absenden ermöglichen
Bei der Gestaltung unserer Anwendung benutzen wir Schriftarten von Adobe, diese werden über ein CDN geladen. Sollte Sie diesem Dienst nicht zustimmen wird die Standard Schrift des Systems benutzt. Außerdem könnte es zu Fehlern im allgemeinen Anwendungsdesign kommen.
Inhalte von Adobe erlauben
Sie können Ihre Auswahl jederzeit unter "Cookie-Einstellungen“ am Seitenende ändern.