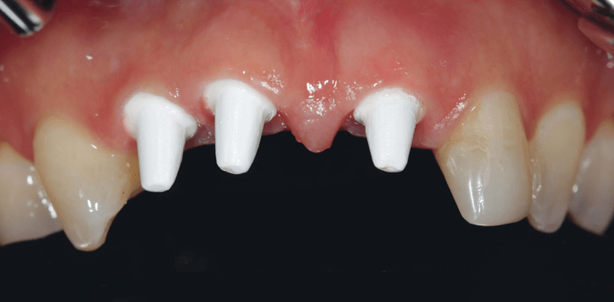
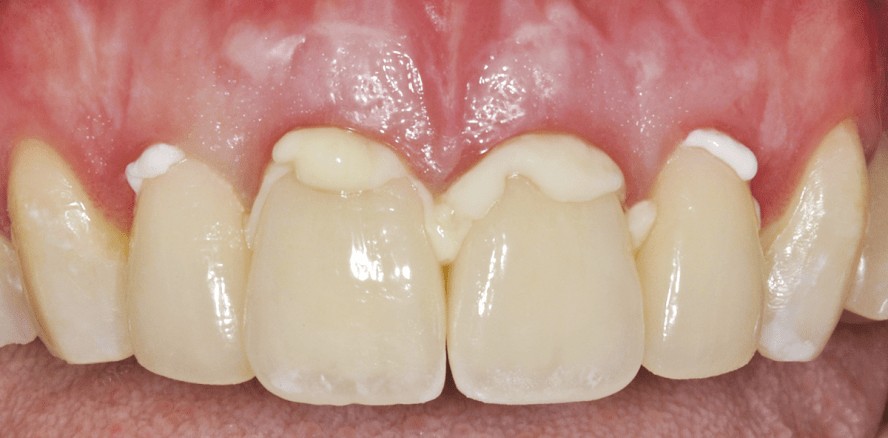
Die Frontzahnregion implantologisch zu rehabilitieren stellt nach wie vor eine große Herausforderung dar. Im folgenden Patientenfall wird ein Konzept dargestellt, welches die Behandlung mithilfe von biologischen Komponenten vereinfacht, abkürzt und vorhersehbar macht.
Der Ruf nach Ästhetik wird lauter. Die Patienten fordern aber nicht nur ein perfektes Erscheinungsbild, sondern auch ein minimalinvasives Vorgehen....
Der Ruf nach Ästhetik wird lauter. Die Patienten fordern aber nicht nur ein perfektes Erscheinungsbild,...
Der vorgestellte Patientenfall betrifft eine junge Kollegin, 24 Jahre alt. Sie wollte sich in der Ästhetischen Zahnmedizin spezialisieren. Entsprechend...
Der vorgestellte Patientenfall betrifft eine junge Kollegin, 24 Jahre alt. Sie wollte sich...
Im folgenden Patientenfall war eine 45-jährige Patientin zur Veränderung ihres sehr unvorteilhaften Lächelns bereit, weit über die initiale...
Im folgenden Patientenfall war eine 45-jährige Patientin zur Veränderung ihres sehr unvorteilhaften...
Die Implantation ist bei der Versorgung von Schaltlücken, vor allem bei kariesfreien Nachbarzähnen, Therapie erster Wahl. Bei Kontraindikation...
Die Implantation ist bei der Versorgung von Schaltlücken, vor allem bei kariesfreien Nachbarzähnen,...
Frontzahnkronen gibt es von funktionell bis hochästhetisch – in Abhängigkeit von den Ansprüchen und den Möglichkeiten des Patienten, dem...
Frontzahnkronen gibt es von funktionell bis hochästhetisch – in Abhängigkeit von den Ansprüchen...
Der Wunsch der Patienten nach einer zahnfarbenen, dauerhaften Restauration mit optimaler Biokompatibilität der Werkstoffe bestimmen zunehmend...
Der Wunsch der Patienten nach einer zahnfarbenen, dauerhaften Restauration mit optimaler Biokompatibilität...
Die defektorientierte Behandlung steht in der modernen Zahnmedizin mehr denn je im Fokus. Hierzu gehört auch die minimalinvasive Therapie von...
Die defektorientierte Behandlung steht in der modernen Zahnmedizin mehr denn je im Fokus. Hierzu...
Häufig werden ästhetisch komplexe Fälle ohne fundierte Diagnostik vorschnell therapiert. Dies führt zu instabilen, ästhetisch meist unbefriedigenden...
Häufig werden ästhetisch komplexe Fälle ohne fundierte Diagnostik vorschnell therapiert....
Die meisten Mitteleuropäer haben einen Frontzahnengstand. Nachfolgend stellt Dr. med. dent. Dr. phil. Johannes Edelmann eine neue vereinfachte...
Die meisten Mitteleuropäer haben einen Frontzahnengstand. Nachfolgend stellt Dr. med. dent....
Die prothetische Versorgung stark substanziell geschädigter Einzelzähne ist die häufigste Behandlung in der Restaurativen Zahnmedizin. Für...
Die prothetische Versorgung stark substanziell geschädigter Einzelzähne ist die häufigste...
Dr. Sven Egger und ZT Jürg Wermuth erläutern anhand eines Patientenfalls die ästhetische Rehabilitation einer zuvor konservierend insuffizient...
Dr. Sven Egger und ZT Jürg Wermuth erläutern anhand eines Patientenfalls die ästhetische...
Besucht ein Patient mit dem Wunsch nach neuen und schönen Zähnen die Praxis, sollte ein professionelles Team dafür bereits eine Systematik...
Besucht ein Patient mit dem Wunsch nach neuen und schönen Zähnen die Praxis, sollte ein professionelles...
Eine gelungene Restauration bedarf neben der schonenden Präparation eines durchdachten und nachhaltigen Füllungskonzepts. Seit einiger Zeit...
Eine gelungene Restauration bedarf neben der schonenden Präparation eines durchdachten und...
Im folgenden Fall soll gezeigt werden, dass neben der Verarbeitungstechnik und der Erfahrung des Behandlers auch die Eigenschaften des verwendeten...
Im folgenden Fall soll gezeigt werden, dass neben der Verarbeitungstechnik und der Erfahrung...
Da Sie der Verwendung von Google Maps nicht zustimmten, kann leider keine Karte angezeigt werden.
Haben Sie schon unseren Newsletter abonniert?
Um bei unserer Anwendung Formulare zu verwenden, benötigen wir die Zustimmung um einen Token für das Absenden zu setzen.
Datenschutz und Nutzungserlebnis
Wir übermitteln Daten an Drittanbieter, die uns helfen, unser Webangebot zu verbessern und zu finanzieren. In diesem Zusammenhang werden auch Nutzungsprofile gebildet und angereichert, auch außerhalb des Europäischen Wirtschaftsraumes. Hierfür und um bestimmte Dienste zu nachfolgend aufgeführten Zwecken verwenden zu dürfen, benötigen wir Ihre Einwilligung.
Indem Sie "Alle Cookies akzeptieren" klicken, stimmen Sie diesen (jederzeit widerruflich) zu.
Unter "Manuell auswählen" können Sie die Datenverarbeitung individuell personalisieren.
Unter "Nur notwendige akzeptieren" können Sie die Datenverarbeitung ablehnen.
Indem Sie "Speichern" klicken, stimmen Sie diesen (jederzeit widerruflich) zu.
Um Kartendaten in unserer Anwendung darzustellen, nutzen wir den Kartendienst Google Maps. Willigen Sie der Nutzung von Google Maps ein, werden ggf. personenbezogene Daten (Ihre IP-Adresse) von Google erhoben.
Einbinden von Google Maps erlauben
Einige unserer Videoinhalte (bspw. Livestream) werden über die Videoplattform Vimeo bereitgestellt.
Inhalte von Vimeo erlauben
Einige Beiträge binden Inhalte von Instagram ein. Wenn Sie zustimmen, wird eine Verbindung zu Meta/Instagram aufgebaut und es können personenbezogene Daten wie Ihre IP-Adresse übertragen werden.
Inhalte von Instagram erlauben
Für ein besseres Benutzererlebnis können unsere Werbeanzeigen personalisiert werden. Um dies zu ermöglichen, wird das erstellen von Cookies vorausgesetzt. Sollten Sie diesem Dienst nicht zustimmen, werden Werbeanzeigen zufällig ausgeliefert.
Personalisierte Werbung erlauben
Um sich bei unserer Anwendung Formulare zu verwenden werden Tokens gesetzt die es uns ermöglichen Spam zu verhindern. Sollten Sie dies ausstellen, ist es Ihnen nicht mehr möglich sich bei uns anzumelden oder zu registrieren.
Anmeldeformulare absenden ermöglichen
Bei der Gestaltung unserer Anwendung benutzen wir Schriftarten von Adobe, diese werden über ein CDN geladen. Sollte Sie diesem Dienst nicht zustimmen wird die Standard Schrift des Systems benutzt. Außerdem könnte es zu Fehlern im allgemeinen Anwendungsdesign kommen.
Inhalte von Adobe erlauben
Sie können Ihre Auswahl jederzeit unter "Cookie-Einstellungen“ am Seitenende ändern.