Cosmetic Dentistry 28.02.2020

Optimale Ästhetik mit Keramikimplantaten



Optimale Ästhetik mit Keramikimplantaten

Das Gelingen einer Implantation hängt nicht nur von der korrekten Eingliederung des Implantats selbst, sondern auch von der Regeneration des Gewebes ab. Der Patient kann dabei einen entscheidenden Beitrag leisten, nämlich über seine Ernährung. Der folgende Beitrag schildert das Zusammenspiel von Biologischer und Ästhetischer Zahnmedizin anhand einer Sofortimplantation.

Eine 41-jährige Patientin stellte sich durch Überweisung ihrer Heilpraktikerin nach rezidivierender Fistelbildung im Oberkiefer-Frontzahnbereich mit dem Wunsch der Entfernung ihrer chronisch-entzündlichen wurzelbehandelten Zähne 11-22 und einer Sofortimplantation mit Keramikimplantaten in unserer Praxis vor.

Anamnese und Befund

Bereits bei der zahnmedizinischen Erstuntersuchung zeigten sich die Zähne 11-22 als druckempfindlich und nicht besonders ästhetisch. Die Patientin klagte über rezidivierende Fistelbildung vor allem in Regio 11-22. Eine unschöne Narbe im Vestibulum ließ eine ehemalige Wurzelspitzenresektion vermuten.

Auf der weiterführenden DVT-Bildgebung bestätigte sich die Resektion in Regio 22, die nur bindegewebig verheilt war. Regio 21 zeigte kleine metalldichte, kreisrunde Aufhellungen im Sinne von versprengtem Wurzelfüllmaterial in bukkoapikaler Richtung. Die Regionen 11-21 zeigten zusätzlich diffuse periapikale Aufhellungen, die am ehesten mit der Diagnose „Knochenödem“ einhergehen und den dauerhaften Aufbissschmerz radiologisch erhärteten.

Da sie sich bereits im Vorfeld mit einer Lösung für ihr chronisches Leiden beschäftigt hatte und auch die Ästhetik für sie besonders wichtig war, kam für sie nur eine Sofortimplantation mit Keramikimplantaten und unmittelbarer provisorischer Versorgung infrage. 

Planung und Therapie

Für den vorliegenden Fall war eine Sofortimplantation mit Keramikimplantaten (SCC Short Cut Concept® n. Dr. Karl Ulrich Volz) im Bereich der wurzelbehandelten Zähne 11-22 sowie die direkte Versorgung mit chairside gefertigten Langzeitprovisorien angedacht. Die optimale Implantatpositionierung mittels 3D-Diagnostik stellte sich als kleine Herausforderung dar, da die Zähne stark inkliniert waren und die Wurzelspitzen sehr weit vestibulär standen. Basierend auf dem aktuellen Vitamin-D3- und LDL-Cholesterin-Wert sowie anderen Blutuntersuchungen bereitete sich die Patientin bereits vier Wochen vor der geplanten Behandlung mit einer Ernährungsumstellung1 und einem gezielten orthomolekularen Mikronährstoffprotokoll2 vor, um ihren Körper optimal mit den richtigen Nährstoffen für Knochenregeneration und Wundheilung zu unterstützen.

Zahlreiche Studien3–16 konnten einen Zusammenhang zwischen mangelhafter Knochenbildung, verminderter Dichte sowie verzögerter Bruchheilung und einem Protein- und Aminosäurenmangel nachweisen. Umso älter die Patienten, umso signifikanter. Dayer et al. stellten bereits 2006 in einer Tierstudie eine verminderte Titanimplantat Osseointegration bei Ratten mit Proteinmangel (< 1 g/kg Körpergewicht) fest.3 Die Kraft, ein Implantat nach sechs bis acht Wochen wieder aus dem Knochen herauszudrehen, war bei den Ratten mit Proteinmangel um 43 Prozent niedriger als bei den Tieren mit ausreichend Protein in der Ernährung (= 1 g/kg Körpergewicht). Ein isokalorischer Proteinmangel in Kombination mit schwacher Osseointegration wurde im Jahr 2007 von Dayer et al. erneut bestätigt.4 Hannan et al. konnten anhand von Daten von 391 Frauen und 224 Männern (Zeitraum von vier Jahren) aus der „Framingham Osteoporosis Studie“ einen eindeutigen Zusammenhang zwischen einem Mangel an tierischem Protein in der Ernährung und Knochenverlust zeigen.14 Je größer der Proteinmangel war, umso größer war auch der Verlust von Knochenmasse an Femur und Wirbelsäule der untersuchten Patienten. Es wurde kein negativer Effekt von Proteinüberschuss und Knochenheilung festgestellt. In einer Studie an Patienten mit Hüftfraktur zeigten Schürch et al. eine signifikante Erhöhung der Knochendichte basierend auf einem Anstieg des IGF-1 (Wachstumsfaktor) durch Supplementierung mit 20 g Proteinpulver pro Tag.16 Auch der postoperative Klinikaufenthalt war im Durchschnitt 21 Tage kürzer als in der Kontrollgruppe.

Konsequenterweise liegt der Hauptfokus im Ernährungsdesign auf der adäquaten Versorgung mit dem Makronährstoff Protein. Das Wort kommt aus dem griechischen „proteios“, was so viel wie „als erstes, am wichtigsten“ heißt. Protein ist der Baustein für alles Leben. Haut, Haare, Nägel, Muskulatur, Bindegewebe und Knochen, Enzyme – quasi jede Zelle besteht aus Protein. Fehlt dieser wichtigste Rohstoff aufgrund von Mangelernährung, vor allem in Phasen von Reparaturprozessen wie im Anschluss an eine Operation, dann kann der Körper einfach nicht so gut regenerieren und kommt häufig in eine katabole Stoffwechsellage, d. h. es wird körpereigenes Gewebe abgebaut statt neues aufgebaut.

Proteine sind im Endeffekt nichts anderes als aneinandergereihte Aminosäurenketten. Kollagen ist das wohl am häufigsten vorkommende Protein im Körper und besteht pro Kette etwa aus ca. 1.050 Aminosäuren. Auch wenn es 20 proteinogene Aminosäuren gibt, sind es tatsächlich nur acht, die aus der Nahrung aufgenommen werden müssen. Man bezeichnet diese als essenzielle, also unentbehrliche Aminosäuren. Gemeint sind damit im Einzelnen: Isoleucin, Leucin, Lysin, Methionin, Phenylalanin, Threonin, Tryptophan und Valin. Der Körper ist in der Lage, aus diesen acht Aminosäuren jedes Protein aufzubauen, vorausgesetzt es ist genug Rohstoff vorhanden.

Unterstützung bei der Regeneration

Die meisten Menschen ernähren sich nicht ideal. Eine falsche Ernährung mit viel Zucker, Weizen, Kuhmilchprodukten sowie anderen Nahrungsintoleranzen und -toxinen führt zur generellen Entzündungsneigung des Körpers sowie zu Vitamin- und Mikronährstoffmangel: Vitamin D3, Zink, Magnesium und gesunde Omega-3- und Omega-6-Fettsäuren fehlen für den Aufbau und die Regeneration von Gewebe und Knochen. Der Körper ist durch diese Mangelsituation mit Heilungsvorgängen häufig überfordert – er befindet sich sozusagen im Winterschlaf. Er ist nicht in der Lage, neues Gewebe aufzubauen, da schlicht die Nährstoffe dafür fehlen. Als Faustregel gilt hier: Umso älter der Patient, umso größer die Defizite.

Da in der akuten Regenerationsphase absolut keine Mangel an Makro- und Mikronährstoffen vorhanden sein sollte, um eine ideale Versorgung des Patienten zu gewährleisten – immer mit dem Fokus „optimale Gesundheit“ statt „Gesundheit im Sinne der Abwesenheit von Krankheit“ –, ist ein Proteintagesbedarf von 1,6 g/kg Körpergewicht, der sich am unteren Ende der Empfehlung für Athleten orientiert, zu empfehlen. Ziel ist hier im Gegensatz zum Katabolismus die anabole Stoffwechselsituation, in welcher der Körper in der Lage ist, aus den Vollen zu schöpfen und neues Gewebe aufzubauen. Um den Körper zu alkalisieren, wird zu jeder Mahlzeit eine Portion Gemüse empfohlen. Vor allem grünes Blattgemüse enthält viele wichtige Mineralien wie z. B. Magnesium, das wiederrum eine Übersäuerung verhindert. Gesunde Fette wie Omega-3-Fette aus Fischöl oder Algen und eine Variation an einfach gesättigten und mehrfach gesättigten Omega-6-Fettsäuren wie Olivenöl oder Avocado dürfen hier auf keinem Speiseplan fehlen. Umso mehr Rohstoffauswahl, umso besser die Regenerationsmechanismen des Körpers.

Der Einsatz von Kollagenpulvern, essenziellen Aminosäuren, Knochenbrühen und Proteinshakes auf Pflanzenbasis (kein Sojaprotein) machen es für den Patienten einfacher, auf den gewünschten Proteintagesbedarf zu kommen. Die Patientin im vorliegenden Fall präsentierte sich zur Operation mit einem präoperativen Vitamin-D3-Wert von 50 ng/ml sowie einem LDL-Wert (Low-density Lipoprotein) unter 1,2 g/l und hatte damit die idealen Voraussetzungen für diese aufwendige Vollsanierung.

Operativer Eingriff

Das hier gewählte vollkeramische Implantatsystem (SDS 1.1, Swiss Dental Solutions) aus Y-TZP mit besonders aggressivem Gewindedesign steht in den enossalen Durchmessern 3,8, 4,6 und 5,4 mm sowie in unterschiedlichen Tulpendesigns zur Verfügung und wird in drei Implantatlängen (8, 11 und 14 mm) angeboten. Sowohl das einteilige als auch das zweiteilige Implantat ist mit einer ausgeprägten Tulpe von 3 mm Höhe versehen, um die optimale biologische Breite der Gingiva erhalten und stützen zu können. Der Schulterdurchmesser beträgt auf Weichgewebeniveau 5 mm (beim durchmesserreduzierten Implantat) und 6 mm beim 4,6 mm-Implantat. Je nach Höhe und Beschaffenheit der Gingiva kann das Implantat auch ein wenig tiefer oder kürzer inseriert werden, falls mehr als 3 mm Gingiva vorhanden sein sollten. Diese Flexibilität erlaubt es dem Chirurgen, Implantatlängen von 7 bis 15 mm mit einem System zu nutzen. Insbesondere kommt noch hinzu, dass die Tulpe beschleifbar ist, sodass der Behandler komplett nach anatomischen Gegebenheiten operieren kann. Vor allem im Bereich der Sofortimplantationen sind Achsneigungen nicht zu vermeiden, da das Implantat in die Mitte des Kieferkamms positioniert werden sollte und dieser in den meisten Fällen nicht mit der anatomischen Positionierung der Zähne korreliert. Es besteht also die Möglichkeit, schon während der chirurgischen Phase die Achsneigung durch Beschleifen zu korrigieren und damit bereits intraoperativ ein „individuelles Abutment“ herzustellen. Eine Achsabweichung von bis zu 20 Grad ist durch die ausgeprägte prothetische Plattform ohne Probleme zu bewerkstelligen. Die Sofortimplantation erfolgte unter Lokalanästhesie in die Alveolen der Zähne 11-22 mit einteiligen Implantaten. Um eine zu starke Achsneigung der Implantate (> 20 Grad) zu vermeiden, wurden die Implantate etwas weiter palatinal inseriert.

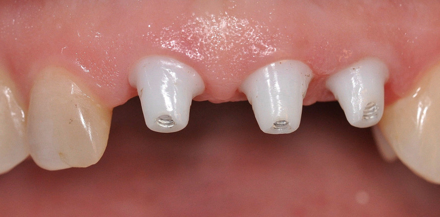
Im Bereich 11−22 wurden einteilige vollkeramische Implantate der Länge 14 mm eingesetzt. In Regio 11 und 21 wurden einteilige 4,6 mm x 14 mm-Implantate primärstabil inseriert. In Regio 22 wurde ein 3,8 mm x 1 mm-Implantat gewählt. Alle Implantate wurden mit circa 35 Ncm primärstabil eingesetzt.

Allein durch die Sofortimplantation wird bereits eine Aktivierung des Knochens erzielt. Nach mechanischer Reinigung der Alveolen erfolgt die Desinfektion mit Ozon und einer neuraltherapeutischen Lösung. Das Implantat wird im Endeffekt als Stütze für Knochen- und Weichgewebe genutzt. Hauptziel war es, die Anatomie zu konservieren, sprich die Socket Preservation, um später die perfekten Voraussetzungen für die optimale Ästhetik gewährleisten zu können.

Provisorium

Die Provisorien wurden im Anschluss an die OP mittels Tiefziehfolie chairside aus Protemp/A1 hergestellt und adhäsiv an den Nachbarzähnen befestigt.

Die Patientin wurde im Vorfeld darüber aufgeklärt, während der Einheilphase (drei Monate) nur weiche Kost zu sich zu nehmen. Im Bereich der Implantate wurde sowohl die Okklusion als auch die Artikulation komplett freigeschliffen, um eine Überbelastung während der Einheilphase zu vermeiden.

Prothetische Versorgung

Fünf Monate nach der Implantation wurden die Implantate freigelegt, die Zähne für den keramischen Zahnersatz nochmals im Feinschliff präpariert und abgeformt. Zwei Wochen später wurden die definitiven Kronenin den Regionen 11-22 konventionell mit dem Glasionomer-Befestigungszement KetacTM Cem (3M Espe) eingesetzt. Aus ästhetischen Gründen wurde adhäsiv mittels Säure-Ätz-Technik, dem Universal Adhäsiv Scotchbondtm (3M Espe) und mit dem Komposit IPS Empress® Direct (Ivoclar Vivadent) der mesiale Eckenaufbau an Zahn 12 intraoral modelliert. Die Prothetik auf den Keramikimplantaten wurde in minimaler Infraokklusion eingepasst, um die natürliche Beweglichkeit der Zähne auszugleichen und die Keramikimplantate schützen zu können. Alle intraoralen Fotos wurden direkt im Anschluss des Einsetztermins gemacht, weshalb auch die Gingiva noch teilweise etwas gereizt erscheint. Zur Kontrolle des Zahnersatzes und des Knochenverlaufes wurde ein Panoramaröntgenbild angefertigt.

Fazit

Anhand dieses Patientenfalls kann man sowohl die ernährungsmedizinische Komponente der Biologischen Zahnmedizin als auch das High-End-Handwerk der Ästhetischen Zahnmedizin sehen. Es ist eine optimale Symbiose aus dem klassisch geprägten Handwerksalltag und dem unabdingbaren ärztlichen Tun. Vorbereitung ist alles. Operativ gesehen, ist der optimale Zeitpunkt zur Implantation die Zahnextraktion. Das Implantat fungiert sozusagen als optimale Socket Preservation. Knochen- und Weichgewebe werden gestützt. Im vorliegenden Fall konnte die Patientin sogar direkt festsitzend versorgt werden. Im Gegensatz zur konventionellen Vorgehensweise mit Zahnextraktion, Interimsprothese und langer Wartezeit sind bei der Sofortimplantation der Zeit- und Kostenaufwand für den Patienten deutlich reduziert, ganz zu schweigen von den verminderten Schmerzen. Natürlich ist das OP-Protokoll entscheidend. Ein besonders großes Augenmerk liegt bei Zirkonimplantaten auf der absolut gründlichen Säuberung und Desinfektion des OP-Gebietes, da diese nur in völlig gesundem Knochen einheilen. Dieses Protokoll umfasst eine gezielte Ernährungsumstellung, die orthomolekulare Unterstützung mit Nährstoffen vorab, die lokale Desinfektion mit Ozon und Neuraltherapie sowie die immunologische Unterstützung mittels hoch dosierten intravenösen Vitaminen und Mineralien. Auf ein orales Antibiotikum kann damit in den meisten Fällen vollständig verzichtet werden. Im vorliegenden Patientenfall wurde eine präoperative antibiotische Single-Shot-Gabe als zusätzliche Infektionsprophylaxe gewählt, da das Antibiotikum auf diese Weise nicht über den sensiblen Darm wirkt.

Die Literaturliste gibt es hier.

Der Fachbeitrag ist in Cosmetic Dentistry erschienen.

Foto: Autor

Mehr Fachartikel aus Cosmetic Dentistry

ePaper