Kieferorthopädie 26.02.2026

Möglichkeiten und Grenzen der kieferorthopädischen Camouflage-Behandlung



Die Therapie skelettaler Dysgna­thien stellt insbesondere bei erwachsenen Patienten eine große Herausforderung dar. Während bei ausgeprägten skelettalen Diskrepanzen die kieferorthopädisch-­chirurgische Kombinationsbehandlung als Goldstandard gilt, existiert ein klinisch relevantes Spektrum sogenannter Borderline-Fälle, bei denen sowohl eine chirurgische als auch eine rein kieferorthopädische Therapie infrage kommt.1,9,10

Möglichkeiten und Grenzen der kieferorthopädischen Camouflage-Behandlung

Foto: Prof. Dr. Bashar Muselmani

Die kieferorthopädische Camou­flage-Behandlung stellt in diesen Fällen eine mögliche Alternative dar, insbesondere wenn Patienten einen chirurgischen Eingriff ablehnen oder medizinische Kontraindikationen bestehen. Ziel ist es, durch dentoalveoläre Kompensationsmechanismen eine fun­k­tionell stabile Okklusion und ein ästhetisch akzeptables Ergebnis zu erzielen, ohne die skelettale Basis zu verändern.

Im vorliegenden Artikel wird ein ausgewählter Fallbericht eines Patienten mit skelettaler Dysgnathie vorgestellt, bei dem initial eine kombiniert kieferorthopädisch- chirurgische Behandlung indiziert erschien, sich im Verlauf jedoch zeigte, dass eine alleinige kieferorthopädische Camouflage-Behandlung zu einem klinisch, funktionell und ästhetisch zufriedenstellenden Ergebnis führte.

Grundprinzip der Camouflage-Behandlung

Definition

Unter Camouflage wird die dentoalveoläre Kompensation einer skelettalen Dysgnathie durch gezielte Zahnbewegungen verstanden, ohne eine Veränderung der skelettalen Kieferrelation vorzunehmen.4,6,8

Therapieziele

  • Herstellung einer funktionell stabilen Okklusion
  • Erreichen eines ästhetisch akzeptablen Gesichtsprofils
  • Vermeidung eines kausalen Eingriffs an der skelettalen Basis

Die Camouflage-Behandlung zielt somit nicht auf eine Korrektur der zugrunde liegenden skelettalen Diskrepanz ab, sondern auf deren klinische Maskierung.

Indikationen für eine Camouflage-Behandlung

Eine kieferorthopädische Camouflage-Therapie kommt insbesondere in folgenden Situa­tionen in Betracht:

  • milde bis moderate skelettale Dysgnathien
  • Ablehnung einer chirurgischen Therapie durch den Patienten
  • medizinische Kontraindikationen für eine Operation
  • begrenzte Wachstumsreserven bei erwachsenen Patienten

Auswahl geeigneter Camouflage-Kandidaten

Gute Camouflage-Kandidaten

  • milde skelettale Klasse III
  • normo- oder hypodivergentes Wachstumsmuster
  • harmonische Weichteilrelationen
  • ausreichende dentoalveoläre Kompensa­tionsreserven

Bild von einem Quotenzeichen
„Unter Camouflage wird die dentoalveoläre Kompensation einer skelettalen Dysgnathie durch gezielte Zahnbewegungen verstanden, ohne eine Veränderung der skelettalen Kiefer­relation vorzunehmen.“

Ungünstige Camouflage-Kandidaten

  • skelettale Klasse III in Kombination mit offenem Biss
  • hyperdivergentes Wachstumsmuster
  • vertikaler Gesichtsexzess
  • ausgeprägte sagittale skelettale Diskrepanz

Diese Faktoren erhöhen das Risiko eines unzureichenden funktionellen oder ästhetischen Ergebnisses bei rein kieferorthopädischer Therapie.

Möglichkeiten der Camouflage-Behandlung

Durch eine Camouflage-Therapie können folgende Behandlungsziele erreicht werden:

  • Korrektur von Overjet und Overbite
  • Auflösung anteriorer oder posteriorer Kreuzbisse
  • Beseitigung funktioneller mandibulärer Verschiebungen
  • Erzielung einer funktionell stabilen Okklusion
  • ästhetisch akzeptables Ergebnis bei mild bis moderat ausgeprägter Dysgnathie

Bild von einem Quotenzeichen

„Die Camouflage-Behandlung zielt somit nicht auf eine Korrektur der zugrunde liegenden skelettalen Diskrepanz ab, sondern auf deren klinische Maskierung.“

Mehrere klinische Fallberichte zeigen, dass bei ausgewählten Patienten mit milder bis moderater skelettaler Klasse III eine langfristig stabile Okklusion mit guter Funktion erreicht werden kann.

Grenzen der Camouflage-Behandlung

Die Camouflage-Therapie weist jedoch klare Limitationen auf. Folgendes kann sie nicht leisten:

  • eine echte skelettale Korrektur
  • eine signifikante Verbesserung eines stark konkaven Gesichtsprofils
  • eine Reduktion der Kinnprominenz
  • eine tatsächliche Verbesserung der sagittalen Basalrelation

Im Vergleich dazu ermöglicht die chirurgische Therapie deutlich ausgeprägtere skelettale Veränderungen sowie eine substanzielle Verbesserung der Weichteilästhetik.2,3,5

Camouflage bei Borderline-Fällen

In bestimmten Grenzfällen kann dennoch eine Camouflage-Behandlung erfolgreich durch­geführt werden. Dies betrifft insbesondere Patienten mit:

  • Wits-Werten im Bereich von −6 mm bis −8 mm
  • günstigen Weichteilverhältnissen
  • funktionellen mandibulären Shifts
  • noch vorhandenen dentoalveolären Kompensationsmöglichkeiten
  • klarer Ablehnung einer chirurgischen Therapie

In diesen Fällen kann trotz initial ungünstiger Prognose ein überraschend gutes funktionelles und ästhetisches Behandlungsergebnis erzielt werden.

Fallvorstellung

Im folgenden Abschnitt wird ein Patient mit skelettaler Klasse III vorgestellt.

Der Fall wurde erfolgreich mittels kieferorthopädischer Camouflage-Behandlung therapiert.

Bild von einem Quotenzeichen
„Mehrere klinische Fallberichte zeigen, dass bei ausgewählten Patienten mit milder bis moderater skelettaler Klasse III eine langfristig stabile Okklusion mit guter Funktion erreicht werden kann.“

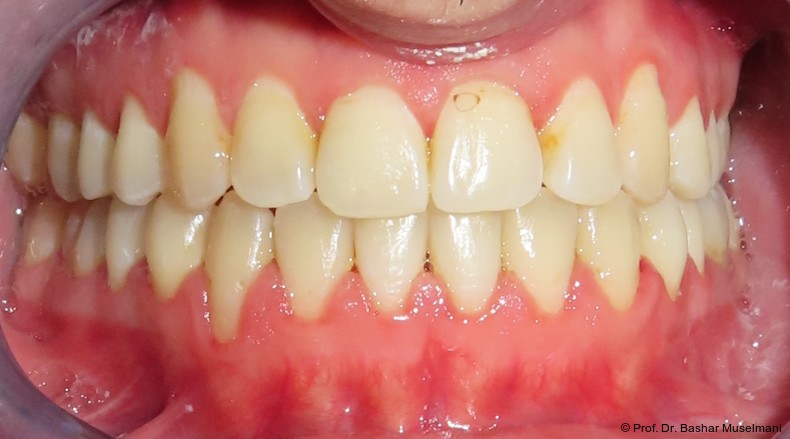
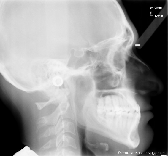
Ausgangsbefund

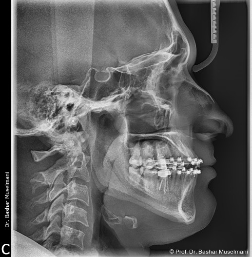
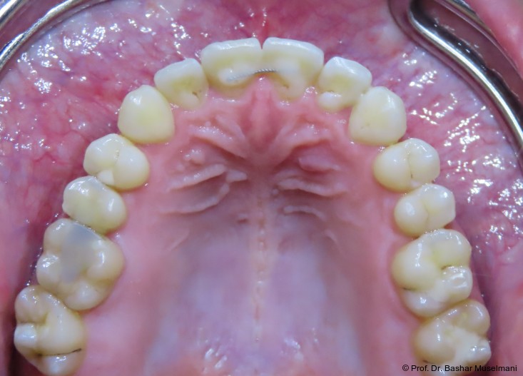
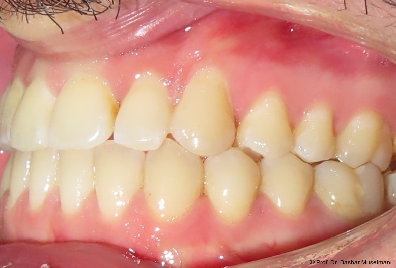
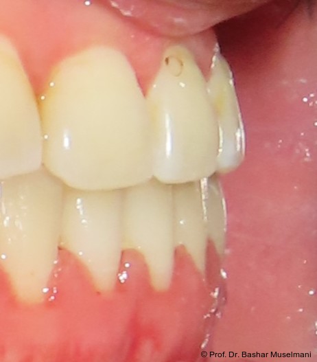
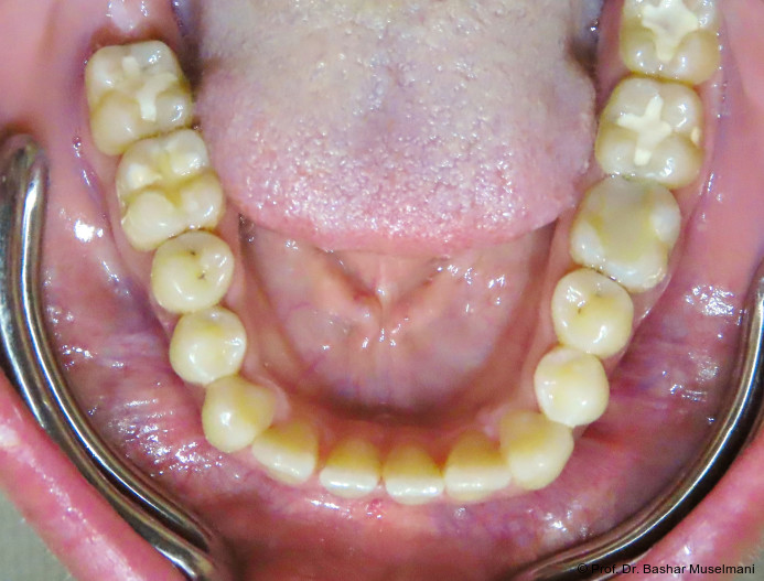
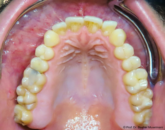
Der Patient (28 Jahre 8 Monate) stellte sich mit einer skelettalen Klasse III sowie einer Mittellinienabweichung nach links vor.

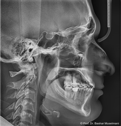
Fernröntgenologische Befunde (Behandlungsbeginn)

  • SNA: 81,5°
  • SNB: 84,3°
  • ANB: −4,9°
  • Wits-Wert: −8,4 mm

Klinische Befunde

  • leicht konkaves Gesichts- und Mundprofil
  • posterior positionierter Unterkiefer (VW)
  • retroinkliniert stehende Unterkieferfront

Die Abbildungen 1 bis 3 zeigen die initiale klinische und radiologische Ausgangssituation.

Therapieplanung und Entscheidungsfindung

Aufgrund der skelettalen Ausgangssituation mit einer Klasse III-Dysgnathie im Borderline-­Bereich wurde initial eine kieferorthopädisch-­chirurgische Kombinationsbehandlung in Erwägung gezogen. Unter Berücksichtigung der moderaten sagittalen Diskrepanz, der vorhandenen dentoalveolären Kompensationsmöglichkeiten sowie der Ablehnung eines operativen Eingriffs durch den Patienten wurde jedoch eine rein kieferorthopädische Camou­flage-Be­hand­lung als therapeutische Alternative gewählt.

Ziel der Therapie war es, die dentoalveoläre Kompensationsreserve maximal auszuschöpfen, um eine funktionell stabile Okklusion so­wie ein ästhetisch akzeptables Ergebnis zu erzielen und gleichzeitig eine chirurgische Intervention zu vermeiden.

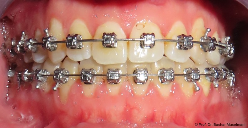
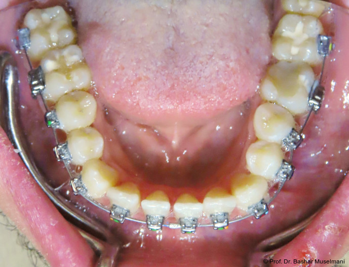
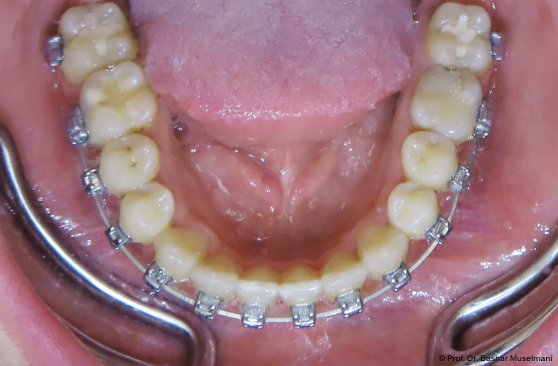
Apparative Versorgung

Die Behandlung erfolgte mittels einer festsitzenden Multibracketapparatur unter Verwendung passiver selbstligierender Brackets (Damon Ultima System) im Ober- und Unterkiefer.

Die Wahl des Systems erfolgte mit den Zielen,

  • die Torque-Expression effizient auszuschöpfen,
  • eine kontrollierte dentoalveoläre Kompensation zu ermöglichen,
  • unerwünschte Nebenwirkungen während der Klasse III-Korrektur zu minimieren.

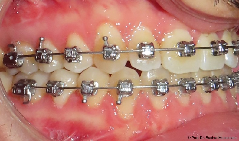
Zur sagittalen Korrektur wurden intermaxilläre Klasse III-Gummizüge eingesetzt.

Bracketpositionierung und Torque-Strategie

Oberkiefer

  • Zähne 12–22: Brackets mit Retroklinations-­Torque
  • Zähne 13 und 23: Brackets mit proklinationsförderndem (Brocline-)Torque

Ziel war die kontrollierte Retrusion der oberen Front bei gleichzeitiger Sicherung der Eckzahnbreite.

Unterkiefer

  • Zähne 33–43: Brackets mit proklinationsförderndem Torque

Hierdurch sollte eine gezielte Proklination der unteren Front zur Verbesserung des Overjets und der sagittalen Verzahnung erreicht werden.

Zu Beginn der Nivellierungsphase wurden in beiden Kiefern 0.013" CuNiTi-Bögen eingesetzt (Abb. 4a–e).

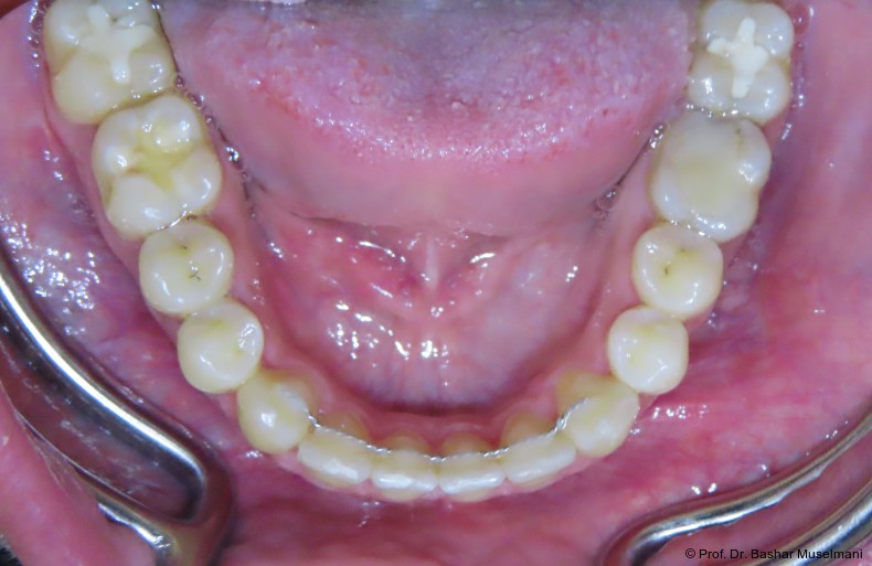
Bogensequenz und mechanische Umsetzung

Der Bogenwechsel erfolgte in einem standardisierten Intervall von acht Wochen. Die Sequenz war in beiden Kiefern weitgehend identisch und wie folgt aufgebaut:

  • 0.013" CuNiTi (OK / UK)
  • 0.016" CuNiTi (OK / UK)
  • 0.018" CuNiTi (OK / UK)
  • 0.014 x 0.0275" CuNiTi (OK / UK)
  • 0.016 x 0.0275" Edelstahl (OK)
  • 0.018 x 0.0275" CuNiTi (OK / UK)
  • Abschlussbogen: 0.018 x 0.0275" TMA (OK/UK)

Diese Sequenz ermöglichte eine schrittweise Ausformung der Zahnbögen, eine kontrollierte Torque-Expression sowie eine präzise Feineinstellung in der Abschlussphase (Abb. 5a–e).

Zwischenbefund

Während des Behandlungsverlaufs wurden ein Kontroll-Fernröntgenseitenbild sowie ein Orthopantomogramm angefertigt.

Fernröntgenologische Befunde (Zwischenkontrolle)

  • SNA: 81,9°
  • SNB: 83,9°
  • ANB: −2,1°
  • Wits-Wert: −2,0 mm

Es zeigte sich eine deutliche Verbesserung der sagittalen Relation bei unveränderter skelettaler Basis, was die Effektivität der dentoalveolären Kompensation unterstreich.

Bild von einem Quotenzeichen
„Ziel der Therapie war es, die dentoalveoläre Kompensationsreserve maximal auszuschöpfen, um eine funktionell stabile Okklusion sowie ein ästhetisch akzeptables Ergebnis zu erzielen und gleichzeitig eine chirurgische Intervention zu vermeiden.“

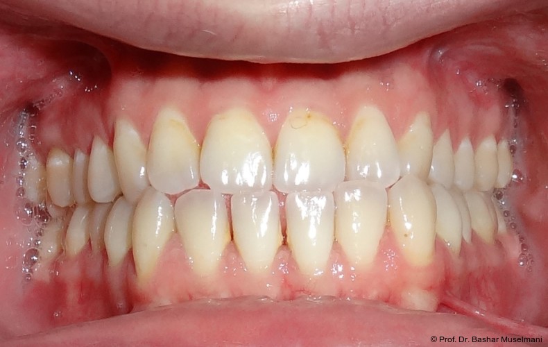
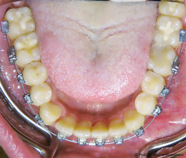
Abschlussbefund

Die Behandlung wurde mit 0.018 x 0.0275" TMA-Bögen abgeschlossen. Nach Entfernung der Multibracketapparatur zeigten sich:

  • eine stabile Klasse I-Verzahnung
  • ein normalisierter Overjet und Overbite
  • deutliche Verbesserung der okklusalen Interdigitation
  • ein ästhetisch harmonisiertes Profil

Bild von einem Quotenzeichen
„Die Therapie skelettaler Dysgnathien im Erwachsenenalter stellt nach wie vor eine der anspruchsvollsten Aufgaben in der Kieferorthopädie dar.“

Die Behandlungsphase wird mit dem Einsetzen von TMA-Bögen im Ober- und Unterkiefer abgeschlossen (Abb. 10a–e). In den Abbildungen 11a bis c sind die extraoralen Aufnahmen nach Behandlungsabschluss und nach Entfernung der Brackets in beiden Kiefern dargestellt. Die Aufnahmen und die Kephalometrischen Analysen zeigen deutliche und rasche Veränderungen zwischen Behandlungsbeginn und -ende. Die Kephalometrischen Werten sind dabei von besonderer Bedeutung. Wie sich deutlich anhand des vergleiches der drei Behandlungsphase erkennen lässt.

Fernröntgenologische Befunde

Initial

  • SNA: 81,5°
  • SNB: 84,3°
  • ANB: −2,9°
  • Wits-Wert: −8,4 mm

Zwischen

  • SNA: 81,9°
  • SNB: 83,9°
  • ANB: −2,1°
  • Wits-Wert: −2,0 mm

Ende

  • SNA: 82,0°
  • SNB: 81,5°
  • ANB: 0,6°
  • Wits-Wert: +0,7 mm

Der Patient stellte sich erneut an der Universitätsklinik zur Beurteilung seines Zustands vor. Es wurde berichtet, dass keine chirurgische Behandlung der Dysgnathie mehr erforderlich ist.

Zusammenfassung der sagittalen Veränderungen

  • SNA (maxillare Position): leichte Zunahme von 81,5° auf 82,0° → maxillare Position blieb nahezu stabil.
  • SNB (mandibuläre Position): Abnahme von 84,3° auf 81,5° → retrusive Tendenz des Unterkiefers.
  • ANB (Relation Ober- zu Unterkiefer): Zunahme von −2,9° auf 0,6° → deutliche Korrektur der Klasse III-Relation hin zu neutraler Okklusion.
  • Wits-Wert: Verbesserung von −8,4 mm auf +1,7 mm → klinisch stabile sagittale Okklusion erreicht.

Interpretation

Die Behandlung führte zu einer signifikanten Korrektur der Klasse III-Fehlstellung durch retrusive Unterkieferposition und leichte Anpassung der Maxilla, was in einer nahezu normalen sagittalen Kieferrelation resultierte.

Diskussion

Die Therapie skelettaler Dysgnathien im Erwachsenenalter stellt nach wie vor eine der anspruchsvollsten Aufgaben in der Kiefer­orthopädie dar. Während bei ausgeprägten ske­lettalen Diskrepanzen die kombiniert kieferorthopädisch-chirurgische Therapie als Goldstandard gilt,2–4 zeigt die klinische Praxis ein relevantes Spektrum sogenannter Borderline-­Fälle, in denen sowohl eine chirurgische als auch eine Camouflage-Therapie vertretbar erscheint.1,9,10

Der vorliegende Fallbericht zeigt exemplarisch die Möglichkeiten, aber auch die klaren Grenzen einer rein kieferorthopädischen Camou­flage-Behandlung bei skelettaler Klasse III.

Camouflage bei skelettaler Klasse III

In der Literatur wird die Camouflage-Therapie bei skelettaler Klasse III vor allem bei milden bis moderaten sagittalen Diskrepanzen empfohlen, typischerweise bei ANB-Werten zwischen −1° und −4° sowie Wits-Werten bis etwa −6 mm (1,8,9). Der vorgestellte Patient wies mit einem initialen Wits-Wert von −7,4 mm bereits eine ausgeprägtere sagittale Diskrepanz auf und bewegte sich somit im erweiterten Borderline-Bereich.

Bild von einem Quotenzeichen
„Mehrere Autoren weisen darauf hin, dass Camouflage-Patienten im Langzeitverlauf funktionell stabil sein können, sofern eine suffiziente Okklusion mit adäquater Front- und Eckzahnführung erreicht wird.“

Studien zeigen, dass der Erfolg einer Camou­flage-Therapie maßgeblich von folgenden Faktoren abhängt:

  • dentoalveoläre Kompensationsreserven
  • initiale Inklination der Frontzähne
  • Weichteilprofil
  • vertikales Wachstumsmuster

Eine retroinkliniert stehende Unterkieferfront – wie im vorliegenden Fall – bietet biomechanisch günstige Voraussetzungen für eine dentoalveoläre Proklination zur Verbesserung des Overjets.7 Entscheidend ist jedoch, dass die dentale Kompensation nicht zu parodontalen Risiken oder instabilen Inklinationsverhältnissen führt.

Im Vergleich zur chirurgischen Therapie bleibt die skelettale Basalrelation unverändert. Mehrere Autoren weisen darauf hin, dass Camou­flage-Patienten im Langzeitverlauf funktionell stabil sein können, sofern eine suffiziente Okklusion mit adäquater Front- und Eckzahnführung erreicht wird.3,9 Allerdings ist die ästhetische Verbesserung des Profils limitiert, insbesondere bei stark konkaver Profilkonfiguration oder ausgeprägter Kinnprominenz.

Die Literatur unterstreicht, dass die Entscheidung zwischen Camouflage und Chirurgie nicht ausschließlich auf cephalometrischen Grenzwerten basieren sollte, sondern auch Weichteilparameter, Patientenwunsch und psychosoziale Aspekte berücksichtigen sollten.

Lesen Sie den zweiten Teil der Artikelserie in der Juniausgabe 2026 zum Thema „Möglichkeiten und Grenzen der kieferorthopädischen Camouflage-Behandlung bei Patientinnen und Patienten mit ske­lettalem offenem Biss“.

Literatur

KN Kieferorthopädie Nachrichten 03/26

KN Kieferorthopädie Nachrichten


Dieser Beitrag ist in der KN Kieferorthopädie Nachrichten erschienen.

Die KN Kieferorthopädie Nachrichten sind das monatliche Fachmedium für Kieferorthopäden. Im Fokus stehen standespolitische Themen, wissenschaftliche Fachinformationen und internationale Fortbildungen. Beiträge von Experten aus aller Welt vermitteln praxisnah aktuelle Trends, Innovationen und gesundheitspolitische Entwicklungen. Nach dem Prinzip „vom Spezialisten für den Spezialisten“ unterstützen die KN den Wissensaustausch, sichern Qualität und tragen maßgeblich zum Erfolg der Branche bei.

Jetzt das ePaper lesen.

Mehr Fachartikel aus Kieferorthopädie

ePaper