Cosmetic Dentistry 24.04.2013

Mut zur Lücke muss nicht sein!



Mut zur Lücke muss nicht sein!

Einleitung

Höchstes Ziel der restaurativ-rekonstruktiven Therapie ist der maximale Erhalt von gesunder Zahnsubstanz. Veneers sind daher heute als Therapiemöglichkeit aus der Praxis nicht mehr wegzudenken. Moderne Materialien und neue überdachte Therapieansätze erlauben eine minimalinvasive Rekonstruktion der Funktion und Ästhetik im Frontzahnbereich auch in schwierigen Fällen. Die Entscheidung für die richtige Therapie hängt von einer Vielzahl von Faktoren ab: Zahnstellung, Farbe und Form, Funktion und Phonetik und, nicht zu vergessen, die Erwartungen des Patienten.

Fallbeispiel

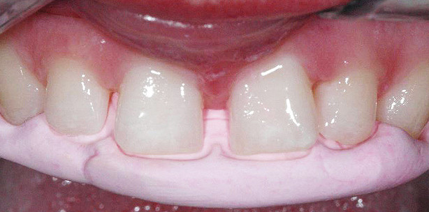
Eine 22-jährige Patientin kam in unsere Sprechstunde mit dem Wunsch, die Frontzahnlücken zu schließen (Abb. 1 und 2). Beim extraoralen Befund fiel auf, dass beim Lächeln fast die gesamte Länge der Frontzähne des Oberkiefers sichtbar wird und dass die Schneidekanten leicht die Unterlippe berühren. Der intraorale Befund zeigt ausgeprägte Diastemata im Ober- und Unterkiefer (Abb. 3, 4a und b) bei einem konservierend behandelten Gebiss mit Persistenz von Zahn 55 und fehlendem Zahn 45. Die Weisheitszähne sind nicht angelegt. Die Mittellinien sind in beiden Kiefern verschoben, im Oberkiefer nach links und im Unterkiefer nach rechts. Die Diastemata sind unterschiedlich groß. Zahn 21 ist nach distal gekippt und nach mesial rotiert. Die Lücken im Unterkiefer empfindet die Patientin nicht als störend. Bei näherer Betrachtung fiel auf, dass die Frontzähne eine quadratische Form haben (Abb. 5). Für ein ästhetisch optimales Ergebnis müsste der Schluss der großen Diastemata eigentlich mit einem inzisalen Aufbau der Kronen einhergehen. Da die Schneidekanten allerdings schon beim Lächeln leicht an die Unterlippe stoßen, ist dies problematisch. Ideal wäre eine kieferorthopädische Behandlung, die von der Patientin aber aus zeitlichen und finanziellen Gründen abgelehnt wurde. Die von ihr bevorzugte Therapie mit Veneers scheint gewagt, ist jedoch auf Basis einer exakten Planung mit Modellen und Wax-up durchaus vertretbar (Abb. 6a und b). Um zu prüfen, ob mit dem Veneering von vier Zähnen eine gute Ästhetik gegeben ist, sollte die Zahntechnikerin zunächst nur die Zähne 12 bis 22 aufwachsen. Die Überlegung dabei war, den kleinen Spielraum in der inzisalen Länge auszuschöpfen. Um ein Mock-up zu ermöglichen, haben wir als maximalen labialen Aufbau die distale inzisale Ecke von 21 als Referenz genommen. Alternativ sollten zusätzlich die Eckzähne aufgewachst werden. Um das Breiten- und Längenverhältnis zu optimieren, könnte man auch die chirurgische Kronenverlängerung als therapeutische Möglichkeit in Betracht ziehen. Dieses sollte aber nach Möglichkeit verhindert werden.

Da uns das erste Wax-up, von Zahn 12 nach Zahn 22, vertretbar erschien, sollte es der Patientin gezeigt und mittels Mock-up auf Ästhetik und Funktion getestet werden (Abb. 7). Da wir die distale Ecke von Zahn 21 für das Mock-up nicht entfernen oder reduzieren konnten, erscheint der Zahn nach distal gekippt und die Mittellinie schief. Primäres Ziel war, die neue Länge und Form auf Ästhetik, Funktion und Phonetik zu prüfen. Die Patientin war trotzdem begeistert und entschied sich für die Behandlung. Nach dem Mock-up wurde das Wax-up disto-inzisal an Zahn 21 korrigiert und ein neuer Silikonschlüssel angefertigt (Abb. 8). Um die viereckige Zahnform zu kaschieren, wurde die labiale Fläche additiv konvex aufgewachst. Die mesialen und distalen Leisten wurden zur Zahnmitte gesetzt, um optisch die Zahnkrone zu verlängern.
Vor Präparationsbeginn wurde die geplante Länge geprüft (Abb. 9). Die Zähne wurden minimal gekürzt (Abb. 10). Die approximalen Präparationsgrenzen wurden nach palatinal und leicht subgingival gesetzt. So konnte gewährleistet werden, dass die Zahntechnikerin genug Platz hat, um den Approximalbereich so zu gestalten, dass die Papille abgestützt ist. Labial wurden die Zähne nur minimal und kontrolliert (mithilfe des Präparationsschlüssels) abgetragen. Labial wurde die Präparationsgrenze paragingival gelegt. Oberstes Gebot war, so wenig wie nötig von der Zahnsubstanz abzutragen und trotzdem eine gleichmäßige Materialstärke der späteren Veneers zu sichern. Alle Präparationen wurden im Schmelz angelegt. Nach Abdrucknahme wurden Provisorien hergestellt (Abb. 11) und erneut die Funktion und Ästhetik der geplanten Versorgung geprüft. Für das Herstellungsverfahren haben wir uns für presskeramische Veneers entschieden. Es wurden im Volumen reduzierte Schalen gepresst; nachträglich erfolgte die Individualisierung mit Schichtkeramik (Abb. 12a und b).
 
Fazit

Dieser Behandlungsfall hat uns wieder bestätigt, dass bei systematischer Planung ein schönes Lächeln auch in schwierigen Fällen durch minimalinvasives Vorgehen zu realisieren ist. Der Patientenwunsch nach einer Veneerlösung zum Lückenschluss schien am Anfang der Behandlung fast unmöglich. Große Diastemata bei ungünstigem Breiten-/Längenverhältnis ästhetisch zu schließen, war eine Herausforderung. Für ein dem Patienten – und sich selbst – vorhersagbares Ergebnis sind bestimmte diagnostische Zwischenschritte ein Muss. Das Wax-up ist für mich einer der entscheidenden Faktoren für die Indikationsstellung in Grenzfällen (Form- und Zahnstellungskorrekturen). Zudem ist es ein Mittel, das die Kommunikation mit dem Patienten bzgl. des ästhetischen Ergebnisses erleichtert. Das Mock-up, wenn möglich, ist die erste ästhetische Kontrolle. Die diagnostischen Provisorien verdeutlichen das Endergebnis immer präziser. Hier hat man immer noch die Möglichkeit, feine Justierungen vorzunehmen. Letztendlich sollte dann die endgültige Versorgung ästhetisch und funktionell perfekt sein. Ganz herzlich bedanke ich mich für die zahntechnische Ausführung und hervorragende Zusammenarbeit bei Violetta Wilczek.

Mehr Fachartikel aus Cosmetic Dentistry

ePaper