Cosmetic Dentistry 29.07.2011
Nano-Composite-Veneers – Ein bioästhetischer Quantensprung
share
Schöne Zähne sind heute wichtiger denn je. Sind sie doch der Inbegriff von Schönheit, Attraktivität und Lebensqualität. Doch schöne Zähne alleine genügen heute nicht. Patienten werden immer anspruchsvoller. Das stellt auch die Zahnmedizin vor neue Herausforderungen. Eine neue Lösung bieten die Composite-Veneers „DIRECT VENEARs“ der Firma edelweiss dentistry.
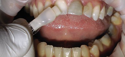
DIRECT VENEARs, unter anderem mit dem renommierten Zahnarzt Prof. Dr. Didier Dietschi entwickelt, sind für Zahnärzte wie auch für Patienten ein bioästhetischer Quantensprung. Ein bioästhetischer Quantensprung deshalb, weil sie aus hochwertigem, mit Laser bearbeiteten Nano-Composite sind und in nur einer Sitzung angebracht werden können. Heutzutage nehmen Composite-Harze eine herausragende Position unter den Restaurationsmaterialien ein. Sie sind in ästhetischer Hinsicht ansprechend, haben eine längere Lebensdauer und sind sowohl für Arzt als auch Patient günstig. Hinzu kommt, dass Composite-Restaurationen eine minimalinvasive Vorbereitung für das Ersetzen von kariöser oder fehlender Zahnhartsubstanz ermöglichen. Unter Rücksichtnahme und Erhaltung gesunder Zahnstruktur erfolgen Wiederherstellung und Optimierung. Der Zahn wird mit einem Material rekonstruiert, das der Zahnsubstanz sehr ähnlich ist. Ein bioästhetisches Konzept, das eindeutig für nichtrestaurative oder additive Verfahren spricht. Weitere Beispiele dafür sind Bleaching, Mikroabrasion, Zahnschmelz-Recontouring, direkte Composite-Harze oder geklebte Brücken. Diese Verfahren verdienen deutlich mehr Aufmerksamkeit, da sie enorme Verbesserungen in Bezug auf Durchführbarkeit, Nutzeffekt und Vorhersehbarkeit bieten. „Smile Design“ auf einem bisher unerreichten Niveau.
Zweifelhafter Ruf?
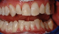
Composites haben einen zweifelhaften Ruf. Doch selbst dem halten die DIRECT VENEARs stand. Warum? Das lässt sich in drei Punkten zusammenfassen: Erstens: die homogene, anorganische und maximal glänzende Oberfläche der DIRECT VENEARs; zweitens: der Verbund zwischen Zahn und restaurativem Composite und drittens: der hohe Füllstoffgrad des patentierten Nano-Hybrid-Composites. Mit diesen drei Komponenten lassen sich ästhetisch hochwertige Ergebnisse erzielen. Aufgrund des speziell entwickelten Fertigungsprozesses der DIRECT VENEARs wird das Beste aus zwei Welten vereint. Durch die Laservergütung, eine Art Verschmelzungs- und Beschichtungsprozess, erhalten die DIRECT VENEARs eine rein anorganische Glasoberfläche, homogen versiegelt und glatt wie Keramik mit einem ausgezeichneten Glanz. Dieses Nano-Hybrid-Composite wird sowohl als Grundmaterial für das DIRECT VENEAR benutzt, wie auch für die Befestigung am Zahn mit einem Fülleranteil von 82 Prozent. Im Verbund entsteht so ein mechanisch funktioneller Monoblock – Randverfärbungen, wie bei herkömmlichen Zementen, sind nicht zu erwarten.
Richtige Farbanpassung und Form
Die Farbe lässt sich bei den DIRECT VENEARs besonders gut anpassen. Das System der Farbanpassung basiert auf dem anerkannten „Natural Layering Concept“ von Prof. Dr. Dietschi, das auf der Ermittlung der optischen Eigenschaften des echten Dentins und Zahnschmelzes basiert. Entsprechend dem „Natural Layering Concept“ kann mit dem speziellen Farbschlüssel-System von edelweiss dentistry jede Kombination von Dentin- und Zahnschmelzschattierung beurteilt und mit Vergleichszähnen kontrolliert werden. So wird das Risiko einer fehlerhaften Schattierungsauswahl und eines ungenügenden ästhetischen Ergebnisses minimiert. Das klingt für die Komplexität eines solchen Vorgangs ziemlich einfach, und das ist es auch. Dieses System ist so ausgelegt, dass die DIRECT VENEARs direkt und „freehand“ in nur einer Sitzung appliziert werden können. Die DIRECT VENEAR Schalen besitzen Transluzenz- und Schichtstärken-Eigenschaften, die mit einem jugendlichen Schmelz zu vergleichen sind: zervikal 0,2 Millimeter, fazial 0,5 und inzisal 1 bis 1,3 Millimeter. Das ermöglicht in Kombination mit den farblich passenden Composite Dentinchromas den universellen Einsatz der DIRECT VENEARs. Der Anwender hat vor der Befestigung die Möglichkeit, durch den Einsatz von Flowable Dentin und Schmelz-Composite, das DIRECT VENEAR zu charakterisieren. edelweiss dentistry bietet insgesamt drei verschiedene Größen und Formen an. Intensive Studien über Formen und Größen der Zahnanatomie haben zu dieser Lösung geführt. Gefertigt werden modellierbare DIRECT VENEARs für die Ober- und Unterkieferfront. Aus dieser Palette an Rohlingen resultieren insgesamt 18 Oberkiefer- und 12 Unterkieferformen. Die DIRECT VENEARs können im Gegensatz zu Keramik-Veneers durch Schleifen verändert werden, bis die passende Form erreicht ist.
 
Vorteile
Vorrangig bleiben immer die medizinisch-technischen Belange. Darauf liegt der Fokus für künftige Entwicklungen. Doch natürlich spielen die Kosten eine Rolle. Patienten werden bei ästhetischen Zahnbehandlungen immer anspruchsvoller – hohe Qualität gibt es aber leider nicht zum Nulltarif. Durch die direkte Applikation in nur einer Sitzung – die bei sechs Zähnen ungefähr 90 Minuten dauert – wird viel Zeit und damit Geld gespart. Auch ist der Aufwand von Abdrücken und Provisorien wesentlich geringer. Das alles sind, neben einem attraktiven Preis, Vorteile für den Patienten. DIRECT VENEARs sind hochwertig und lassen sich im Vergleich zu Keramik besser ver-arbeiten. Ein Indikationsfeld, das Abrasionen, Diastemas, Verfärbungen, Frakturen oder Zapfenzähne einschließt. Zahnärzte können nun Patienten mit kleinerem Geldbeutel ein strahlendes Lächeln mit neuer Funktion ermöglichen. DIRECT VENEARs sind eine Investition in die Zukunft. Sie sind vielseitig einsetzbar sowie kosten- und zeitsparend. Der Patient von heute wünscht sich schöne Zähne, die auch bezahlbar sind. Mit DIRECT VENEARs ist das möglich.
 
                             
                                         
                                                                                     
                 
                 
                 
                 
                 
                 
                                 
                                 
                         
                         
                         
                         
                        