Endodontologie 28.02.2011

Endodontische Diagnostik und Behandlungsplanung



Endodontische Diagnostik und Behandlungsplanung

Für den Erfolg der endodontischen Behandlung ist eine systematische Diagnostik von zentraler Bedeutung. Nur so ist es möglich, in einem ersten Schritt zwischen odontogenen und nicht odontogenen Schmerzen zu differenzieren und darauf aufbauend zuverlässig endodontisch bedingte Schmerzen oder pathologische Veränderungen zu diagnostizieren.

Weisen die diagnostischen Befunde auf eine endodontische Problematik hin, muss geprüft werden, ob der betroffene Zahn behandlungsfähig und darüber hinaus erhaltungswürdig ist. Diese Entscheidung kann nur im Kontext der Gesamtbehandlung getroffen werden und stellt die Basis für die folgende Behandlungsplanung dar. Im Folgenden werden zuerst die Grund­lagen der endodontischen Diagnostik geschildert und darauf aufbauend wichtige Überlegungen zur Planung endodontischer Erst- und Wiederholungsbehandlungen dargestellt.


Diagnostik

Die Bewertung endodontischer Beschwerden kann für den Behandler eine große Herausforderung darstellen. Ziel des diagnostischen Prozesses ist die Lokalisation des Schmerzen verursachenden Zahnes, die Abgrenzung endodontischer von nicht endodontischen Ursachen und die Einschätzung der Erhaltungswürdigkeit des Zahnes. Die endodontische Diagnostik setzt sich aus der allgemeinen und speziellen Anamnese, der Schmerzanamnese des Patienten und der klinischen und Röntgendiagnostik zusammen. Die jeweiligen Einzelbefunde müssen auf Plausibilität und mögliche Widersprüche geprüft werden.

Wie in allen Bereichen der Medizin ist auch die endodontische Diagnostik immer mit einer nicht zu vermeidenden Ungenauigkeit verbunden: beispielsweise ist eine objektive Beurteilung des Pulpagewebes und des api­kalen Parodonts nicht möglich. In Einzelfällen kann es notwendig werden, Patienten mit einigem zeitlichen Abstand wiederholt zu untersuchen, um die zu unterschiedlichen Zeitpunkten ermittelten Untersuchungsergebnisse vergleichen zu können und so beurteilen zu können, ob ein bestimmter Prozess gerade begonnen hat, fortschreitet oder stagniert.

Differenzialdiagnostisch müssen darüber hinaus verschiedene odontogene sowie nicht odontogene Erkrankungen berücksichtigt werden, welche eine ähnliche Symptomatik hervorrufen können (z.B. Schmerzen aufgrund craniomandibulärer Dysfunktionen, Neuralgien oder auch psychogene Schmerzen). Der Diagnostikprozess zur Ermittlung der Ursache der Beschwerden des Patienten lässt sich in die Bereiche Anamnese, klinische Untersuchung, endodontische Untersuchung und Diagnosestellung gliedern. Diese werden in den folgenden Abschnitten genauer dargestellt.

Allgemeine und spezielle Anamnese

An erster Stelle steht die medizinische Anamnese mit Erhebung aller relevanten Erkrankungen und Medikationen. In der anschließenden zahnmedizinischen Anamnese wird die Vorgeschichte der aktuellen Beschwerden erfragt, abgeklärt werden sollten z.B. Schmerzen, Schwellung, Zahnlockerung oder Verfärbung. Weiterführende detaillierte Fragen zu Dauer und Art der Schmerzen (stumpfer, stechender, pochender Schmerz?), Veränderungen (Auslösung und Linderung), Lokalisierbarkeit und Ausstrahlung der Schmerzen können wichtige diagnostische Hinweise geben. Auch sollte erfragt werden, ob der Patient eine Vermutung zur Ursache der Schmerzen hat (z.B. ein Trauma). Zu vermeiden sind in diesem Zusammenhang grundsätzlich Suggestivfragen. Eine gezielte Schmerzanamnese erlaubt in vielen Fällen bereits eine zuverlässige Verdachtsdiagnose, die Anamnese ist daher für den Behandlungserfolg von zentraler Be­deutung.

Klinische Untersuchung

Ziel der klinischen Untersuchung ist in erster Linie die Abschätzung des Zustandes der Pulpa (gesund, reversible Pulpitis, irreversible Pulpitis, Pulpanekrose, infizierte Pulpa) und des periapikalen Gewebes. Die extraorale Untersuchung beinhaltet die visuelle Erfassung von Schwellungen, Rötungen, Verletzungen, Asymmetrien, tastbaren Vergrößerungen der Lymphknoten und Hautfisteln. Der intraorale Befund umfasst die allgemeine zahnärztliche Untersuchung (kariöse Defekte, Füllungen, Zahnlockerungen, Taschentiefen und -sekretion, Furkationsbefall, Schwellungen, Lokalisation des Beschwerden verursachenden Zahnes, Zustand der Mundschleimhäute).

Spezielle endodontische Untersuchung


Die spezielle endodontische Untersuchung setzt sich aus verschiedenen Sensibilitätstests und mechanischen Tests zusammen.

Sensibilitätsprüfung
Über Sensibilitätstests wird die Fähigkeit des Pulpagewebes zur Reizleitung geprüft. Hierbei ist zu beachten, dass dies keine Informationen über die vaskuläre Versorgung der Pulpa liefert. Ein Sensibilitätstest stellt somit keinen Test der Vitalität des Zahnes dar, außerdem erlaubt er nicht die Beurteilung des Ausmaßes der Pulpa­erkrankung. Erscheint bei vorhandenen Restaurationen oder Obliterationen der Pulpakammer das Ergebnis eines Sensibilitätstests fraglich, kann ein Anlegen einer Probekavität (ohne Anästhesie) aufschlussreich sein. In einem solchen Fall sollte vor der endgültigen Eröffnung des Pulpenkavums eine erneute thermische Sensibilitätsprüfung erfolgen.
Allgemein ist zu beachten, dass bei allen Sensibilitätsprüfungen vergleichende Tests an Nachbarzähnen oder am entsprechenden Zahn des anderen Quadranten erfolgen sollten. Prinzipiell besteht die Möglichkeit, eine Sensibilitätsprüfung mit thermischen oder elektrischen Tests durchzuführen. Hierbei ist zu bedenken, dass bei Wärme- oder Kältetests sowohl falsch positive als auch falsch negative Ergebnisse entstehen können.

Perkussionstest
Eine Entzündung des apikalen Parodonts wird über eine erhöhte Klopfempfindlichkeit des betroffenen Zahnes herausgefunden. Eine erhöhte Empfindlichkeit weist auf das Vorhandensein einer apikalen Parodontitis hin. Es ist jedoch zu beachten, dass eine unauffällige Perkussionsempfindlichkeit eine Entzündung nicht ausschließt. Eine marginale Parodontitis wird eher mit horizontalem Klopfschmerz in Verbindung gebracht, die Unterscheidung von einer apikalen Parodontitis kann dennoch schwierig sein. Auch Zahnfrakturen können zu positiven Ergebnissen eines Perkussionstests führen, hier ist häufig der sogenannte „Loslassschmerz“ Leitsymptom.

Palpation
Die Weichgewebe in der apikalen Region werden palpapiert. Apikaler Druckschmerz deutet auf eine apikale Parodontitis hin, auch können so harte und weiche Schwellungen festgestellt werden.

Röntgendiagnostik

Mithilfe der vorangegangenen Befunde wird der betroffene Zahn oder die betroffene Region eingegrenzt, den Abschluss des Diagnostikprozesses bildet die Röntgenuntersuchung. Diese beinhaltet eine Zahnfilmaufnahme in Paralleltechnik mittels eines Filmhalters. Es kann notwendig sein, Röntgenaufnahmen aus verschiedenen Richtungen anzufertigen. Unter Umständen ist es sinnvoll, Röntgenaufnahmen früherer Behandler anzufordern, um die Entwicklung eines Befundes einschätzen zu können. Wichtig ist, dass vor Beginn einer jeden Wurzelkanalbehandlung eine diagnostische Röntgenaufnahme des jeweiligen Zahnes vorliegen muss.

Bei bereits wurzelgefüllten Zähnen sollte eine röntgenologische Beurteilung der bestehenden Wurzelfüllung durchgeführt werden: Wichtig ist die Beurteilung von Homogenität, Vollständigkeit und Wandständigkeit der vorhandenen Wurzelfüllung. Weiterhin muss geprüft werden, ob unbehandelte Kanalsysteme vorhanden sind. Stiftversorgungen müssen beurteilt werden, die Möglichkeit frakturierter Instrumente und Perforationen sollte bedacht werden. Eventuelle Präparationsfehler wie Strip-Perforationen, Stufenbildungen oder Verblockungen, sollten erkannt werden.

Zur Beurteilung apikaler Aufhellungen muss in diesen Fällen stets eine ältere Vergleichsaufnahme herangezogen werden, da nur so eingeschätzt werden kann, ob die apikale Veränderung sich vergrößert oder verkleinert hat. Um eine etwaige Heilungstendenz beurteilen zu können, ist nur die relative Größe zum Ausgangsbefund und nicht die absolute Größe der Veränderung ausschlaggebend.

Selektive Anästhesie

Führt die Auswertung der Röntgenuntersuchung nicht zur Lokalisation des Schmerzen verursachenden Zahnes, so stellt die selektive Anästhesie eine weitere Methode zur Bestimmung des Schmerz auslösenden Bereiches dar. Von den mesialen Zähnen ausgehend wird Zahn für Zahn über eine intraligamentäre Anästhesie betäubt.

Diagnosestellung

Nach Durchführung der oben beschriebenen Untersuchungen (Anamnese, klinische Untersuchung, speziell endodontische Untersuchung und Röntgendiagnostik) sollte es möglich sein, eine vorläufige Diagnose zu stellen. Dabei muss betont werden, dass Erkrankungen der Pulpa und des periradikulären Gewebes nicht notwendigerweise auch Schmerzen verursachen. Aufbauend auf der Diagnose kann nun die Planung der weiteren Behandlung erfolgen. An diesem Punkt der Behandlung ist es wichtig zu bedenken, dass für den Beginn einer Therapie die eindeutige Diag­nose eine zwingende Voraussetzung ist.

Behandlungsplanung

Verschiedene Aspekte müssen für die endo­dontische Behandlungsplanung berücksichtigt werden: Neben den Wünschen des Patienten spielt die Wertigkeit des Zahnes im Rahmen des gesamten Behandlungskonzeptes für den jeweiligen Patienten eine wichtige Rolle. Die endodontische Behandlungsplanung und – wie bereits beschrieben – die präzise endodontische Diagnostik können eine große Herausforderung für den Behandler darstellen.

Wie in allen Bereichen der Zahnmedizin ist auch in der Endodontie die Qualifikation des Behandlers entscheidend für den Therapieerfolg. Es erscheint daher immer sinnvoll, bei komplexeren Fällen die Überweisung an entsprechend spezialisierte Kollegen in Betracht zu ziehen. Grundlegende Fragen für eine erfolgreiche Behandlungsplanung sind: Unter welchen Bedingungen kann der Zahn endodontisch behandelt werden? Kann eine Infektionskontrolle während der gesamten Behandlung sichergestellt werden? (Ist eine Isolierung mit Kofferdam möglich? Ist ausreichend Hartsubstanz vorhanden? Oder muss im Vorfeld eine chirurgische Kronenverlängerung durchgeführt werden?) Welche Behandlungsschritte sind zur Wiederherstellung der Funktion notwendig?

Ebenso sollte im Vorfeld der absehbare Behandlungsaufwand der endodontischen Therapie im Vergleich zu alternativen Therapien – wie z.B. Implantation – abgewogen werden. Da ein endodontischer Erhaltungsversuch selbst bei ungünstiger Prognose in der Regel nicht zu einer Verschlechterung der Situation führt, erscheint es sinnvoll, ihn in jedem Fall in Betracht zu ziehen.
Im Folgenden werden einige häufige klinische und röntgenologische Befunde und ihre Bedeutung für die weitere endodontische Behandlungsplanung dargestellt.

Pulpakammer


Vor der endodontischen Erstbehandlung muss anhand der Röntgenaufnahme die Pulpakammer beurteilt werden: Ist eine Pulpakammer erkennbar, oder liegt eine Obliteration vor? Sind dentindichte Verschattungen sichtbar, so ist dies als Hinweis auf Dentikel zu bewerten (Abb. 1a und 1b). Als Vergleich können Nachbarzähne herangezogen werden. Ebenfalls muss geprüft werden, ob die Abgrenzung des Pulpakammerbodens und -daches möglich ist und die Distanz zum Pulpakammerboden abgeschätzt werden kann. Bei Frontzähnen ohne röntgenologisch erkennbare Pulpakammer sollte stets an ein früheres Trauma gedacht werden.

Behandlungsplanung
Bei Verdacht auf Dentikel oder eine obliterierte Pulpakammer muss bei der Präparation der
Zugangskavität und der Kanaldarstellung die Lage des Pulpakammerbodens berücksichtigt werden. Da der Pulpakammerboden oft sehr dünn ist, liegt bei solchen Zähnen eine erhöhte Perforationsgefahr vor. Um dem vorzubeugen, kann zur besseren Darstellung obliterierter Kanalstrukturen ein Anfärben mit Kariesdetektor hilfreich sein.

Kanalstruktur

Der Kanalverlauf sollte röntgenologisch beurteilt werden: Ergeben sich abrupte Änderungen, kann dies ein Hinweis auf eine Aufteilung in mehrere Kanalsysteme sein (Abb. 2). Insbesondere bei Prämolaren muss an diese Möglichkeit mehrerer Wurzeln bzw. Kanäle gedacht werden. Weiterhin sollte beurteilt werden, ob die Kanalstruktur in Mitte der Wurzelkontur oder seitlich verlagert verläuft. Eine seitliche Verlagerung deutet auf das Vorhandensein mehrerer Hauptkanäle hin. Ist eine Doppelkontur erkennbar, so ist dies ein Hinweis auf mehrere Wurzeln. Klinisch kann ein solcher Verdacht durch eine Sondierung er­härtet werden.

Behandlungsplanung
Besteht der Verdacht auf eine Aufteilung des Kanalsystems oder das Vorhandensein mehrerer Wurzeln, muss dies bei der Zugangskavität durch eine ausreichend große Präparation berücksichtigt werden. So können alle möglichen Lokalisationen für die Kanalzugänge dargestellt werden. Im Verlauf der Behandlung kann durch Röntgenkontrastaufnahmen mit Instrumenten die Lage und Beziehung der einzelnen Kanäle überprüft werden (Abb. 3b).

Resorptionen

Weist das Röntgenbild Aufhellungen im Wurzelbereich auf, besteht der Verdacht auf eine Resorption. Liegt die Aufhellung im Zentrum der Wurzel und ist regelmäßig geformt, ist dies ein Hinweis auf eine interne Resorption. Unregelmäßige Konturen und Projektionen an jede Stelle der Wurzel sind bei externen Resorptionen zu finden. Bei Aufhellungen im Zahnhalsbereich kann eine zervikale Resorption vorliegen (Abb. 4). Klinisch weisen solche Zähne häufig eine rötliche Verfärbung der Zahnkrone auf (Pink Spot). Lokalisierte Einbrüche der Sondierungstiefe können zusätzliche klinische Hinweise auf eine Wurzelresorption geben. Zur Absicherung der Diagnose sollte die Lokalisation der Resorption über exzentrische Röntgenaufnahmen erfolgen.

Behandlungsplanung
Voraussetzung für den Zahnerhalt ist der Verschluss einer resorptionsbedingten Perforation mit MTA (Mineral Trioxide Aggregate) oder Glasionomerzementen. Es wird hierzu eine Ätzung des Resorptionsgewebes mit 90%iger Trichloressigsäure empfohlen.
Hinsichtlich der Behandlungsprognose gilt, dass die Perforation der Wurzeloberfläche eine erhebliche Verschlechterung der Prognose darstellt. Dies trifft besonders für Fälle zu, in denen nach dem Therapieversuch (Perforationsverschluss) über den Parodontalspalt eine Reinfektion stattfinden kann.

Läsionen endodontischen Ursprungs (lesions of endodontic origin = LEO)

Bei der eingehenden Röntgendiagnostik wird die Position und Ausdehnung einer Aufhellung in Relation zur Wurzelspitze beurteilt. Zu beachten ist, dass apikale und laterale Aufhellungen generell an der Stelle lokalisiert sind, an der sich ein Foramen in der Wurzel befindet. Stellt sich im Röntgenbild eine apikale Aufhellung lateral verlagert dar, so muss also mit einem entsprechenden Foramen gerechnet werden (Abb. 5a und 5b).

Behandlungsplanung
Zur Reinigung von eventuell vorhandenen Seitenkanälen sollte eine besonders sorgfältige und intensive chemische Reinigung des Kanalsystems durchgeführt werden.

Wurzelfrakturen

Unscharfe und unklar begrenzte Aufhellungen im Röntgenbild deuten auf eine Fraktur der Wurzel hin. Typisch sind sogenannte asymmetrische J-shape-Aufhellungen (Abb. 6), welche sich um die Wurzelspitze verlagert darstellen. Sind die radiologischen Befunde nicht eindeutig, ist eine klinische Absicherung der Befunde von besonderer Bedeutung. Der klassische klinische Befund ist der „Loslassschmerz“: Stechende Schmerzen nach plötzlichem Lösen der Spannung (z.B. nach kräftigem Aufbeißen auf eine Watterolle) sind ein deutlicher Hinweis auf Zahn-/Wurzelfrakturen.
Bei Verdacht auf Wurzelfraktur sollte ein sorgfältiges Sondieren des PA-Sulkus in ½-Millimeter-Schritten durchgeführt werden, um auch begrenzte Einbrüche feststellen zu können (Abb. 7).

Behandlungsplanung

Die Therapie wurzelfrakturierter Zähne ist die Extraktion.

Instrumentenfrakturen

Fragmente von Instrumenten sind im Rahmen der Röntgendiagnostik in der Regel gut zu erkennen (Abb. 8a und b). Leicht übersehen werden können jedoch kleine, in die Wurzelfüllung eingebettete Fragmente. Im Bereich der Wurzelfüllung muss daher gezielt nach kleinen, scharf begrenzten Verschattungen gesucht werden. Bei unklarer Befundung sollten exzentrische Aufnahmen angefertigt werden.

Behandlungsplanung
Die Entfernung von Fragmenten ist mit genügender Erfahrung und unter optimaler Sicht
mithilfe des Operationsmikroskops nahezu immer möglich (Abb. 8c).
Eine Fragmententfernung von weit apikal frakturierten Instrumenten kann mit einem starken Verlust an Zahnsubstanz verbunden sein. Die Entscheidung für oder gegen eine Entfernung orientiert sich daher an dem zu erwartenden Substanzverlust. Zusätzlich muss das Risiko einer iatrogenen Perforation bedacht werden.

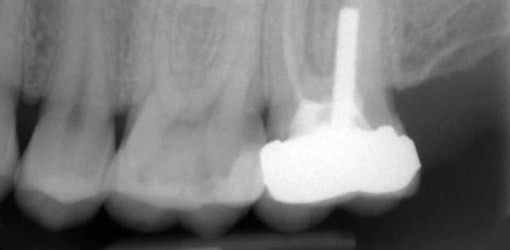
Stiftversorgungen

Bei Revisionsbehandlungen wird häufig die Entfernung eines Stiftes notwendig. Zeigen sich im Röntgenbild laterale Aufhellungen im Stiftbereich, besteht der Verdacht einer Perforation.
Die Beurteilung von Perforationen ist besonders bei Oberkiefermolaren sehr schwierig, da in diesen Fällen eine eventuelle Perforation in der Trifurkation oder der palatinalen Wurzel durch die Wurzelkontur überlagert wird (Abb. 9a).

Behandlungsplanung
Zunächst sollte das Risiko einer Fraktur der durch den Stift geschwächten Wurzel abgeschätzt werden und der Nutzen des Erhalts des Zahnes geprüft werden.
Wurzelstifte lassen sich mit modernen Behandlungstechniken in der Regel gut entfernen, die Prognose ist daher meist positiv zu beurteilen (Abb. 9b–c).

Revisionen

Wie bereits oben beschrieben (Abschnitt Röntgendiagnostik), sollte die vorhandene Wur­zelfüllung genau geprüft werden: Liegt die Wurzelfüllung im Zentrum der Wurzel oder ist sie seitlich verlagert dargestellt? Gibt es ein un­behandeltes Kanalsystem? Liegt eventuell die Wurzelfüllung durch eine „Via falsa“ außerhalb der Zahnwurzel? Zeigen sich im Röntgenbild abrupt endende und nicht entsprechend des Kanals verlaufende Füllungen, deutet dies auf eine Verblockung oder Stufen im Kanalverlauf hin.

Behandlungsplanung
Die größte Herausforderung bei der Planung einer Revisionsbehandlung ist die richtige Beurteilung möglicher Stufen und apikaler Ver­blockungen, da deren Behandlung zeitlich und prognostisch äußerst schwer kalkulierbar ist.

Schlussfolgerung

Es wird deutlich, dass die endodontische Diag­nostik und Behandlungsplanung ein komplexer Prozess ist, in dessen Verlauf zahlreiche Faktoren berücksichtigt werden müssen, um die für den Patienten bestmögliche Versorgung sicherstellen zu können. Für die Entscheidungsfindung spielen häufig neben der endodontischen Problematik auch parodontale, restaurative und chirurgische Aspekte eine entscheidende Rolle. Generell sollte der Behandler berücksichtigen, dass eine endodontische Behandlung zumeist die am wenigsten invasive Therapiemöglichkeit darstellt. Alternative Behandlungsmaßnahmen stehen im Falle eines endodontischen Miss­erfolges weiterhin offen.3

Als weiterführende Literatur wird empfohlen: Praxisleitfaden Endodontie. Bargholz C., Hör D., Zirkel C. (Hrsg.). Elsevier, 2006.


zum_Seitenanfang

Mehr Fachartikel aus Endodontologie

ePaper