Endodontologie 17.04.2014

Altersbedingte (Risiko-)Faktoren bei der Füllungstherapie

Altersbedingte (Risiko-)Faktoren bei der Füllungstherapie

Foto: © GC Europe N.V.

Speziell für die Alterszahnheilkunde ist interessant, dass die Lebenserwartung in Deutschland1 steigt und somit auch die sogenannte „fernere“ Lebenserwartung von älteren Menschen zunimmt. Kommt ein älterer Patient in die Praxis, kann der Zahnarzt davon ausgehen, dass er ihn noch viele Jahre betreuen darf. Die Bedeutung seniorengerechter Verfahren kann damit heute kaum überschätzt werden. Die zahnärztliche Füllungstherapie bildet dabei keine Ausnahme, da mit dem Alter u.a. auch das Kariesrisiko steigt. Welche Faktoren die Behandlung beeinflussen können und was für Restaurationskonzepte sich empfehlen, beleuchtet der folgende Beitrag.

Bereits der Blick auf die allgemeinen Prognosen unterstreicht die Notwendigkeit, sich auch in der zahnmedizinischen Praxis mit der wachsenden Zahl älterer Patienten zu beschäftigen. So beläuft sich gemäß der noch aktuellen „Sterbetafel 2009/2011“ des Statistischen Bundesamtes2 die noch verbleibende Lebenserwartung (sogenannte fernere Lebenserwartung) von 65-jährigen Männern auf weitere 17 Jahre und sechs Monate. 65-jährige Frauen können demnach damit rechnen, noch weitere 20 Jahre und acht Monate zu leben. Damit sind die Werte im Vergleich zur vorherigen Sterbetafel 2008/2010 bei den 65-jährigen Frauen um zwei Monate und bei den Männern um einen Monat gestiegen. Senioren leben also länger – das ist eine wesentliche Erkenntnis, die eine spezielle Alterszahnmedizin unabdingbar macht.

(Risiko-)Faktoren bei der täglichen Therapie

Ein wesentlicher Faktor, der bei der zahnärztlichen Behandlung von Senioren zu beachten ist, ist die potenzielle Existenz von Grunderkrankungen. Der Anstieg des Durchschnittsalters der Patienten sowie die steigende (fernere) Lebenserwartung führen dazu, dass bestimmte Krankheitsbilder – oder die Kombination mehrerer – auch bei zahnärztlichen Eingriffen zu berücksichtigen sind und in die Behandlungsplanung einfließen müssen. Beispielhaft können hierbei Herz-Kreislauf-, Lungen-, Nieren-, Stoffwechsel- sowie Knochenerkrankungen (z.B. Osteoporose) genannt werden, die bei der Planung invasiver Eingriffe hinsichtlich der Medikamentierung sowie der Prophylaxe berücksichtigt werden müssen. Daneben ist die steigende Anzahl von Patienten mit Herzklappenersatz zu erwähnen (z.B. Überprüfung/Anpassung von Gerinnungs- und Lokalanästhesiemanagement).

Veränderte Lebensgewohnheiten

Ein fortgeschrittenes Alter geht vor allem mit veränderten Lebensgewohnheiten einher, u.a. in Bezug auf die Ernährung. Während die Nahrungsmittel oft weicher und süßer werden, sinkt gleichzeitig die Speichelproduktion, die im Mundraum jedoch eine wesentliche Bedeutung aufgrund ihres Reinigungseffekts besitzt. Neben der nachlassenden Speicheldrüsenleistung können sich auch Probleme wie Mundtrockenheit ergeben, oft zusätzlich begünstigt durch die geringere Flüssigkeitsaufnahme im Alter. Auch die Nebenwirkungen von verabreichten Medikamenten (z.B. gegen Herz-Kreislauf-Erkrankungen oder Diabetes) können Einfluss auf den Rückgang der Speichelproduktion haben. So stellt sich beim Betrachten der täglichen Medikation oft heraus: Viele der verabreichten Arzneien vermindern den Speichelfluss zusätzlich. Der durch diese Faktoren reduzierte Speichelfluss führt zu einer Senkung der Pufferkapazität des Speichels und letztlich zu einem Anstieg des Kariesrisikos.

Karies im Alter: Prophylaxe geht vor?

Die erzielten Prophylaxe-Erfolge haben gerade bei den jüngeren Patientengruppen zu einer effektiven Bekämpfung der Volkskrankheit Karies beigetragen. Doch bei vielen Senioren sind es zum Teil die Prophylaxemaßnahmen, die Probleme aufwerfen: Gleichzeitig mit den zurückgehenden gingivalen Schwellungen infolge der Parodontalprophylaxe steigt die Zahl der freiliegenden Zahnhälse. Dies wiederum führt zu vermehrter Wurzelkaries. Betroffen sind nach Zahlen von 2005 21,5 Prozent der Erwachsenen (rund doppelt so viel wie acht Jahre zuvor) und sogar 45 Prozent der Senioren (rund dreimal so viel wie acht Jahre zuvor).3 Mit ansteigender sozialer Schicht und mit der kontrollierten Inanspruchnahme zahnärztlicher Leistungen liegt das Risiko sogar besonders hoch, denn es werden tendenziell mehr Zähne erhalten. Neben dem Anstieg des Kariesrisikos sind auch steigende Zahlen der Parodontitiserkrankungen bei älteren Patienten zu beobachten.4 Die genannten Tendenzen lassen nicht nur zielgerichteten Prophylaxemaßnahmen, sondern auch der Füllungstherapie bei Senioren eine besondere Bedeutung zukommen.

„Altersgerechte“ Füllungstherapie mit GIZ?

Auch bei Seniorenbehandlungen wird der zahnärztliche Alltag zumeist von der Füllungstherapie bestimmt. Diese erfordert Werkstoffe, die der Altersgruppe entgegenkommen. In dieser Hinsicht besitzen gerade Glasionomerzemente (GIZ) die Vorteile einer schnellen Applikation und zeichnen sich zudem durch eine hohe Feuchtigkeitstoleranz aus. Der Einsatz eines Kofferdams ist nicht zwingend notwendig, was nicht zuletzt Behandlungszeit spart und dazu beiträgt, dass der Patient bereits nach kurzer Zeit den Behandlungsstuhl wieder verlassen kann. Vor der oben ausgeführten Problematik der steigenden Karieserkrankungen im Alter weisen GIZ als generellen Vorteil eine zeitverzögerte Abgabe von Fluorid auf, ein Ion mit kariesprotektiven Eigenschaften.5 So ist in Glasionomermaterialien sozusagen bereits eine „Prophylaxemaßnahme“ integriert.

Ältere Patienten – moderne Restaurationskonzepte

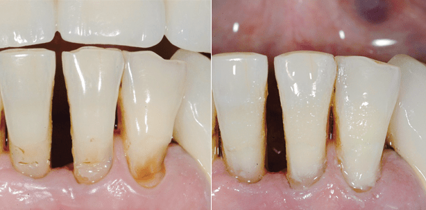
Moderne Füllungssysteme kombinieren die Vorteile von GIZ mit denen von Kompositen. Das zweistufige EQUIA-System (GC) beispielsweise setzt auf eine glasionomerbasierte Füllungskomponente, die mit einem Kompositlack überzogen wird (EQUIA Fil bzw. EQUIA Coat). Der Coat soll zur Optimierung der Werkstoffeigenschaften beitragen und für eine ansprechendere Farbgebung sorgen. Praxisrelevant aus Sicht des Zahnarztes ist vor allem die klinische Leistungsfähigkeit, diesbezüglich hat sich das zweistufige EQUIA-System bereits in mehreren Studien über verschiedene Zeiträume bewährt.6,7,8,9 Hinzu kommen wesentliche Vorteile wie das einfache Handling sowie die vergleichsweise kurze Verarbeitungszeit, zurückzuführen auf die nicht dringende Notwendigkeit eines Kofferdams sowie die Füllungslegung in lediglich zwei Arbeitsschritten: Bulk-Fill-Applikation und Auftragen des Coats (eine komplette EQUIA-Füllung kann laut Herstellerangaben in drei Minuten und 25 Sekunden gelegt werden). Ein weiterer wesentlicher Aspekt ist nicht zu vernachlässigen: Gemäß der Gebrauchsanweisung ist EQUIA u.a. bei Restaurationen der Klasse I, unbelasteten Restaurationen der Klasse II und kaudruckbelasteten Restaurationen der Klasse II (sofern der Isthmus weniger als die Hälfte des Interkuspidalraumes beträgt) anwendbar und darüber hinaus für diese Indikationen über die GKV abrechnungsfähig (ohne Mehrkostenvereinbarung nach den BEMA-Nummern 13a bis 13d).10 Mit Blick auf finanziell „schlechter“ situierte Senioren wie auch auf diverse Zukunftsprognosen – Stichwort „Altersarmut“ – kann dies ein entscheidender Aspekt sein, wenn es um die Wahl des Füllungsmaterials geht. Denn oft genug ist die Entscheidung für oder gegen ein Restaurationsmaterial mit der Zuzahlungsbereitschaft der Patienten verbunden. Hinsichtlich der Indikationsstellungen zeichnet sich EQUIA bei älteren Patienten besonders durch die Eignung für die beschriebene, immer häufiger auftretende Wurzelkaries (Abb. 1 und 2).

Fazit

Die vorstehenden Aspekte sowie die angedeuteten Werkstoffoptionen – speziell in der Füllungstherapie – stellen selbstverständlich nur einen Teil des Feldes der Alterszahnheilkunde dar. Neben den angesprochenen Maßnahmen existieren weitere wie beispielsweise umfassende prothetische Maßnahmen oder implantologische Therapien. Die aufgeführten Punkte verschaffen jedoch einen Blick auf Maßnahmen, die bei der Behandlung von Senioren effektiv eingesetzt werden können. Elementar ist ein wirksames Risikomanagement. Als integrativer Bestandteil der Medizin kommt der Zahnheilkunde dabei eine bedeutende Rolle im Schritt der Risikoerkennung zu.

Hier geht's zur Literaturliste.

Autorin: Dr. Dana Adyani-Fard

Mehr Fachartikel aus Endodontologie

ePaper