Endodontologie 30.10.2019

Minimalinvasive chirurgische Kronenverlängerung



Minimalinvasive chirurgische Kronenverlängerung

Was bisher bei einer chirurgischen Kronenverlängerung mit aufwendiger Lappenbildung therapiert wurde, kann minimalinvasiv und fast „nebenbei“ per Schall umgesetzt werden. Zeitersparnis, geringe Traumatisierung und schnelle Wundheilung sind bei der Wiederherstellung einer gelungenen rot-weißen Ästhetik dann die positiven Nebeneffekte.

Ausgehend von funktioneller Präzision und parodontaler Stabilität kann die Ästhetik im Frontzahnbereich gar nicht hoch genug eingeschätzt werden. Frontzähne wirken nur dann ästhetisch schön, wenn sie in gesunde, harmonisch verlaufende Gingiva-Arkaden eingebettet sind. Auch die perfektesten Veneers sehen bei einem asymmetrischen Gingivaverlauf nur halb so gut aus: Sowohl zu wenig als auch zu viel Rot im sichtbaren Bereich wirkt einfach störend. Der klassische Therapieansatz, die chirurgische Kronenverlängerung mit invasiver Lappenbildung, schreckt jedoch viele Zahnärzte ab. Ein erhöhter operativer Aufwand und lange Heilphasen bis zur vollständigen Stabilisierung des Weichgewebes sind damit verbunden.

Lange fehlten die entsprechenden Instrumente, um hier minimalinvasiv vorzugehen. Eine verschärfte Kürettage mit kleinen Scalern und Rosenbohrern unter intrasulkulärer Schnittführung konnte nur eine Improvisation darstellen. Was also tun, wenn die biologische Breite infolge einer Überpräparation verletzt wurde, d. h. der Kronenrand zu nah am Knochen liegt, ein unsymmetrischer Arkadenverlauf oder ein sog. Gummy-Smile vorliegen?

Besser mit Schall

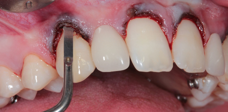
Schwenk und Striegel entwickelten eine Methode zur internen Osteotomie ohne Lappenbildung unter Verwendung einer am Außenrand diamantierten Schallspitze (SFS120).

Man kann sich das Schallinstrument wie eine abgeflachte Kugel vorstellen, die sowohl zum Zahn als auch zur Gingiva hin glatt poliert ist und nur am dünnen krestalen Ende diamantiert. Das erzeugt eine sehr effektive knöcherne Reduzierung. Eine kontrollierte Osteoplastik kann am bukkalen Knochen vorgenommen werden, ohne die Weichteile dabei zu traumatisieren. SFS120 wurde für die Knochenbearbeitung im Frontzahnbereich konzipiert, die um 90° gedrehten Varianten SFS121 und SFS122 für den Approximalbereich. Sie finden ihren praktischen Einsatz besonders bei Kronenversorgungen im Seitenbereich, wo der Kronenrand oft zu nah am Knochen ist. Risiken wie eine Rezessions- oder Narbenbildung sind mit ihnen ausgeschlossen.

Tipps zum Prozedere

Nach Messung der biologischen Breite erfolgt die Planung mittels Mock-up, Wax-up oder Schablone. Für den eigentlichen Eingriff wird der geplante Verlauf mit wasserfestem Filzstift direkt auf die Gingiva gezeichnet. Nach der Gingivakorrektur wird die Osteotomie durch leichtes Schwenken der Schallspitze nach mesial und distal vorgenommen. Um keine Stufen entstehen zu lassen, muss der Behandler lernen, zu differenzieren, wann er die Maßnahme durch den Parodontalspalt vornehmen kann oder wann er tatsächlich aufklappen muss. Auch ist darauf zu achten, den Knochen erst auszudünnen, bevor er reduziert wird, ansonsten werden die Stufen wulstig.

Positive Nebeneffekte

Die Patienten nehmen die Schallbehandlung fast nicht wahr. Wenn das Provisorium vorab korrekt geplant wurde, kann dem Patienten gleich nach der Sitzung ein eindrucksvolles Ergebnis gezeigt werden. Besonders, wenn der Gingivaverlauf im Frontzahnbereich vorher extrem stufig war, fließen spätestens zu diesem Zeitpunkt oft die Freudentränen. Menschen, die nicht mehr daran glaubten, dass eine solche Ästhetik bei ihnen möglich ist, können jetzt wieder befreit lachen. Ein weiterer Aspekt, der positiv wahrgenommen wird: Da kein „Kollateralschaden“ gesetzt wurde, verläuft die Wundheilung sehr viel schneller im Vergleich zur klassischen chirurgischen Kronenverlängerung mit Lappenbildung. Für die offene Methode müssen ja mindestens zwei Termine eingeplant werden.

Resümee

Der Griff zu den Schallspitzen SFS120­–SFS122 geschieht in unserer Praxis inzwischen fast beiläufig. Sie sind schnell auf alle gängigen Schallhandstücke gesteckt. Ich bin einfach nur dankbar, dass ich meinen Patienten eine minimalinvasive Lösung anbieten kann und diese mit der entspannten Einstellung „Das machen wir mal eben mit!“ praktiziere.

Foto: Dr. Jürgen Benz

Mehr Fachartikel aus Endodontologie

ePaper