Endodontologie 30.05.2016

Endodontie versus Implantologie – Wird die Wurzelkanalbehandlung überflüssig?



Endodontie versus Implantologie – Wird die Wurzelkanalbehandlung überflüssig?

Foto: © Autor

Da die Extraktion eines infizierten oder stark zerstörten Zahns für erfahrene Implantologen mit deutlich weniger Risiken verbunden sein kann als eine endodontische Behandlung, wird oft hinsichtlich der hohen Erfolgswahrscheinlichkeit und dem geringen Behandlungsaufwand für den Patienten für eine Implantation und gegen eine Wurzelbehandlung entschieden. Der Stellenwert der Endodontie und der Erhalt des natürlichen Zahns sollte jedoch in dieser Situation keinesfalls unterschätzt werden.

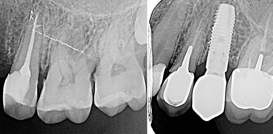
Bei tief zerstörten Zähnen werden die Zahnärzte heute vor die Wahl gestellt und müssen sich zwischen einer endodontischen Behandlung mit prothetischer Restauration und einer Ex­trak-tion mit anschließender Implantation entscheiden. Die Endodontologen ver­suchen aufgrund ihrer Spezialisierung in den meisten Fällen eine Erhaltungstherapie in Form einer komplexen endo­dontischen Behandlung (Abb. 1–3). Implantologen wählen hingegen oftmals den Weg der Extraktion und der frühzeitigen Implantation. Beide Wege sind möglich und können den Patienten auch langfristig zufriedenstellen, die Art der Behandlung sollte aber dennoch nicht vom Schwerpunkt des Kollegen abhängen – und genau darin liegt aus heutiger Sicht das Problem.

Die Endodontie rückt aufgrund ihrer zunehmenden Komplexität immer mehr in den Hintergrund der klinischen Tätigkeit. Die Gründe dafür liegen auf der Hand. Zum einen dauert eine ordentliche Wurzelbehandlung deutlich länger als die Insertion eines Implantats, denn der Erfolg wird maßgeblich von der Art und Weise der Dekontamination der Wurzelkanäle bestimmt. Zum anderen wird nach wie vor von einem „toten Zahn“ gesprochen und es wird bei der Implantation suggeriert, dass die Erfolgswahrscheinlichkeit deutlich über der einer Wurzelkanalbehandlung liegt. Vor einer Extraktion sollte jedoch nicht das Bauchgefühl oder die Forcierung von Implantaten durch die Industrie entscheiden, sondern einzig und allein die aktuelle Studienlage (Abb. 4 und 5).

Komplexität der Endodontie

Obgleich es verschiedenste Faktoren für die Entstehung und das Fortschreiten von Wurzelerkrankungen und damit verbundener parodontaler Destruktion gibt, bleibt das Vorhandensein einer komplexen mikrobiellen Flora die primäre Ursache. Dieser Umstand führt dazu, dass die Behandlung einer Zahnwurzel weitaus mehr bedeutet als das reine Dekontaminieren der befallenen Wurzeloberflächen. In zahlreichen Publikationen (Langeland et al. 1974, Kipioto et al. 1984, Kerekes und Olsen 1990) konnte gezeigt werden, dass eine Infektion eines der Gewebe zu einer Neuinfektion des anderen Gewebes führen kann. Die Kreuzinfektion kann dabei durch verschiedenste Kommunikationswege erfolgen, wie das Foramen apicale, Seitenkanäle, akzessorische Kanäle, Dentintubuli, oder aber auch einfach durch Defekte der Zahnhartsubstanz wie Karies oder durch den Zahnarzt verursachte Perforationen (Abb. 6). Die Endodontie ist ein komplexes Betätigungsfeld und nicht nur das starre Mikroskopieren von Wurzelkanälen, so wie es von der Vielzahl der Kollegen gesehen wird. Der Erfolg einer Wurzelkanalbehandlung liegt maßgeblich in der Kenntnis der Markerkeime und deren Zusammenspiel in der Mundhöhle. Selten sind implantologische Fälle so komplex und miteinander verbunden, denn in der Regel wird ein Implantat erst inseriert, wenn entzündungsfreie Verhältnisse vorherrschen. Das ist bei der Endodontie genau umgekehrt und auch der Grund, warum diese langwierige Behandlung oft durch Implantate umgangen wird. Zudem konnte in Studien wie der von Cheung von 2002 gezeigt werden, dass die Überlebenswahrscheinlichkeit einer Wurzelkanalbehandlung signifikant von Faktoren wie Zahntyp, radiologisch erkennbaren Hohlräumen in der Wurzelfüllung und dem verwendeten Medikament abhängt (Abb. 7 und 8). Ungeachtet dessen konnte in einer Studie von Fonzar et al. von 2009 bei einem 10-Jahres-Follow-up bei 411 Patienten und insgesamt 1.175 wurzelbehandelten Zähnen eine Verlustrate von 7 Prozent festgestellt werden.

 

 

Implantologie im Fokus

Die direkte Extraktion eines infizierten oder tief zerstörten Zahns kann für den erfahrenen Implantologen mit deutlich weniger Risiken verbunden sein als eine lang andauernde und für den Patienten vielleicht kräftezehrende Wurzelbehandlung. Bei der einfachen Einzelzahnimplantation ist die Erfolgswahrscheinlichkeit sehr hoch und der Behandlungsaufwand für den Patienten sehr gering. Die langen Sessions mit ­Kofferdam und Mikroskop entfallen und der Patient verweilt seltener in der ­Praxis. Dies ist auch der Grund, warum die Implantologie einen hohen Stellenwert in der modernen Zahnmedizin hat und auch immer mehr haben wird. Einem Implantat folgt ein Zahn, der direkt ästhetisch in das Gesamtbild des Patienten passt – was im Anschluss an eine Wurzelkanalbehandlung nicht garantiert werden kann. Nicht selten müssen mit der Zeit verfärbte Zähne mit Vollkronen restauriert werden. Die Gesamtkosten der Endodontie können dabei schnell die Kosten der Implantologie übersteigen. Betrachtet man die Vor- und Nachteile aus der Sicht des schnellen Erfolgs für den Patienten, so erscheint die Implantologie in vielen Fällen als Therapie der Wahl (Abb. 9–12).

Ungeachtet dessen darf nicht vergessen werden, dass ein Implantat einen reinen Zahnersatz darstellt und bei einer Wurzelkanalbehandlung das eigene Gewebe erhalten bleibt. Der Zahn reagiert über seine parodontalen Fasern nach wie vor wie ein Zahn und ist in der Lage, bei erhöhter Kaubelastung Signale an das Gehirn zu senden, die die Gefahren von craniomandibulären Dysfunktionen (CMD) reduzieren. Diese Fähigkeit besitzt das starre Implantat nicht – und genau das macht auch den Unterschied. In den zahlreichen systematischen Reviews wie beispielsweise der von Iqbal und Kim von 2008 oder der von Torabinejad und White von 2015 wird lediglich von einer gleich­artigen Überlebenswahrscheinlichkeit beider Therapien berichtet und eine Beleuchtung der umgebenden Strukturen entfällt.

Heute kann eindeutig festgestellt werden, dass es zu einer Zunahme von CMD-Patienten kommt, die nicht selten mit zahlreichen Implantaten versorgt worden sind. So traurig diese Entwicklung auch sein mag – für die moderne Endodontie kann sie ein Schlüssel dafür sein, dass sich langfristig immer mehr Kollegen für den Erhalt des natürlichen Zahns entscheiden.

Wurzelbehandlung ade?

Eine Diskussion darüber, ob ein Implantat eine höhere Überlebenswahrscheinlichkeit als ein endodontisch behandelter Zahn aufweist, scheint heute überflüssig zu sein. Die Erfolge beider Therapien sind vergleichbar und bezogen auf die Lebensqualität des ­Patienten ebenbürtig. Dennoch machen langfristige funktionelle Belastungen den großen Unterschied. Die Wurzelbehandlung wird aufgrund ihrer einzigartigen Möglichkeit des Erhalts der natürlichen Strukturen zunehmend an Bedeutung gewinnen. Diese Entwicklung wird zusätzlich durch bioaktive Füllungsmaterialien beflügelt und scheint der Wurzelbehandlung einen neuen Stellenwert zu geben, denn sollten Materialien im Wurzelkanal in der Lage sein, die Biologie langfristig positiv zu beeinflussen, dann stehen einer Versorgung von tief zerstörten Zähnen nur noch die Entwicklungen im Bereich der Stift- und Adhäsivsysteme im Wege, bei denen aber ebenfalls sehr große Fortschritte zu beobachten sind. Interessant ist zudem, dass die Entwicklungen im Bereich der Implantologie weitestgehend als erschöpft erscheinen, denn bioaktiver können die Oberflächen bei den Erfolgswahrscheinlichkeiten moderner Implantate kaum werden. Gleiches gilt für die Verbindung von Implantat und Abutment, denn ob konisch, Tube-in-Tube oder Sechskant – in der Regel funktionieren die Systeme ohne Einschränkungen. Ein Implantat wird aber nie eine parodontale Verbindung erhalten und so stets als osseointegriertes Element fungieren müssen.

Versagen vor dem Start

Es ist ein Fakt: Eine perfekte Wurzelbehandlung kann erfolglos sein, gleiches gilt aber auch für die Implantologie. Unglücklicherweise können diese Misserfolge ein Resultat aus fehlerhafter Diagnose und/oder fehlerhafter Be­- urteilung der Prognose sein. Eine Wurzelkanalbehandlung sollte aus Sicht der modernen, zur Verfügung stehenden Materialien immer den Vorzug vor einem Implantat erhalten – zumindest bei Zähnen, die mittels eines Aufbaus adäquat und mit den heute zur Verfügung stehenden Mitteln auch langfristig eine ähnliche Prognose haben würden wie ein an gleicher Stelle gesetztes Implantat. Verschiedenste Variablen sollten vor einer Wurzelkanal- behandlung in Betracht gezogen werden wie die Beurteilung des klinischen Falls, parodontale Bedenken, restaurative Fragen und die Erfassung von möglichen Wurzelfrakturen. Werden diese Faktoren nicht gründlich evaluiert, resultieren daraus kurz- und langfristige Misserfolge. Unglücklicherweise ist eine Beurteilung der Prognose einer Wurzelbehandlung subjektiv.

Obgleich Zahnärzte bei ihrer Beurteilung auf die evidenzbasierte Zahnmedizin vertrauen müssen, so können eine gute klinische Beurteilung und ein großes Maß an Erfahrung objektive Befunde aufheben. In jeder Beurteilung muss aber eines klar sein: Ein Zahn ist nach unserer Entscheidung zur Extraktion durch nichts mehr zu ersetzen.

Die vollständige Literaturliste gibt es hier.

Mehr Fachartikel aus Endodontologie

ePaper