Implantologie 08.08.2016

Vollkeramik in der Front, Metallkeramik im Seitenzahnbereich



Vollkeramik in der Front, Metallkeramik im Seitenzahnbereich

Foto: © Autorin

Der Fallbericht illustriert, dass es – den Gegebenheiten entsprechend – durchaus sinnvoll sein kann, verschiedene Materialien in einem Mund zu verwenden.

Metallkeramik besticht durch präzisen Randschluss, Stabilität und Langlebigkeit. Ihre Herstellung ist Routine, das konventionelle Zementieren einfach. Edelmetall ist allerdings teuer. Voll-, insbesondere Glaskeramik, glänzt durch bessere Ästhetik. Ihre niedrigere Bruchstabilität und die Vorgabe der adhäsiven Befestigung (von Inlays, Onlays und Veneers; nicht zwingend von Kronen) schränken den Indikationsbereich ein. Die CAD/CAM-Fertigung von Käppchen, Gerüsten, monolithischen ­Kronen und Brücken aus Lithiumdisilikatkeramik oder Zirkoniumdioxid erweitert den Einsatzbereich von Vollkeramik, erfordert aber zusätzliches zahnärztliches und technisches Know-how. Adhäsive, selbstadhäsive und konventionelle Befestigung stehen zur Wahl.

Metallkeramik – oder Vollkeramik?

Randschluss
Die für Gold und Metallkeramik – bei Präparation mit Stufe und Abschrägung und sorgfältiger Herstellung unter Verwendung von Distanzlack – längst bewiesene ausgezeichnete Randschlussqualität mit einem Randspalt (Marginal Gap) von 30 bis 50 µm1, 2 ist heute auch mit Press- und CAD/CAM-gefertigter Keramik erreichbar.3–5

Allerdings besteht bei der Befestigung von vollkeramischen Kronen ein vermehrtes Risiko der Vergrößerung des Randspalts im Sinne eines „Zementierungsfehlers“.6 Dabei sind die Art der Präparation (Angulation, nach innen gerundete Stufe oder Hohlkehle), der kalkulierte Raum für den Zement und die Art der Verblendung von Bedeutung.7 Bei adhäsiver Befestigung führen Präparationsränder im Dentin eher zu Microleakage als solche im Schmelz.8

Überlebensdauer
Gold- und metallkeramische Restaurationen (Kronen, Kronenblöcke und Brücken) weisen eine lange Verweildauer im Mund mit Halbwertszeiten von 15 bis 20 Jahren auf.9, 10 Reviews aus dem Jahr 2007, die die 5-Jahres-Überlebensraten von Metall- und Vollkeramik verglichen, ergaben für Einzelkronen (im anterioren und Prämolarenbereich) vergleichbare Resultate. Bei Brücken schnitten vollkeramische deutlich schlechter ab als solche aus Metallkeramik. Bei Glaskeramik waren v. a. Frakturen der Gerüste und der Verblendung die Ursache für Misserfolge, bei Zirko­niumdioxidbrücken standen biologische (Karies, Verlust der Pulpenvitalität) und technische Komplikationen (z. B. Reten­tionsverlust) im Vordergrund.11, 12

Eine Innsbrucker Studie ermittelte für unter universitären Bedingungen gefertigte Restaurationen (Veneers, Inlays, Onlays und Kronen) aus Silikatkeramik eine „Überlebenswahrscheinlichkeit“ nach Kaplan-Meyer von 93,5 % nach 10 und von 78,5 % nach 20 Jahren. Die geschätzte 20-Jahres-Überlebensrate für silikatkeramische Kronen betrug allerdings nur 51,2 %.13

Stabilität
Metallkeramik hat sich (nach Maßgabe der Anzahl und Festigkeit der Pfeiler) auch für weitspännige Brücken bewährt. Zirkoniumdioxid (z. B. IPS e.max ZirCAD, Ivoclar Vivadent) ist für drei- bis zwölfgliedrige Brückengerüste im Front- und Seitzahnbereich zugelassen, Lithiumdisilikatkeramik (z. B. e.max Press, Ivoclar Vivadent) für dreigliedrige Front- und Prämolaren-­brücken. Hinsichtlich der Dimension der Verbinder von vollkeramischen Brückengerüsten sind unbedingt die Vorgaben des jeweiligen Herstellers zu beachten.

Metallkeramik bietet die Möglichkeit, z. B. bei Bruxern Palatinalflächen mit Führungsfunktion oder Kauflächen in Metall zu gestalten und so die Gefahr der Keramikabplatzung zu reduzieren. Für (Edel-)Metall ist zudem eine niedrigere Materialschichtstärke erforderlich als für Vollkeramik.

Zirkoniumdioxid soll nach dem Sinterprozess möglichst nicht beschliffen werden. Dies gilt auch für monolithische Kronen und Brücken! Nach einem eventuellen Einschleifen muss – ebenso wie bei Glaskeramik – unbedingt durch Polieren eine Vergütung der Oberfläche durchgeführt werden.14

Einsetzen
Metallkeramik wird – bei entsprechend ­retentiver Präparation – konventionell eingesetzt. Da dafür keine absolute Trockenlegung über einen längeren Zeitraum erforderlich ist, gelingt dies in der Regel auch bei subgingivaler Lage des Präparationsrandes. Zementüberschüsse werden nach dem Härten weggespickt.

Veneers, Inlays und Onlays aus Glaskeramik sind – nach Ätzen der Keramik mit 5 % Flusssäure über 20 Sekunden und Silanisieren – adhäsiv zu befestigen. Voraussetzungen dafür sind absolute Trockenheit und Zugänglichkeit aller Präparationsränder für die Entfernung der Zementüberschüsse vor dem (Licht-, Dual- oder chemischen) Härten.15 Bei Lithiumdisilikatkronen ist auch semiadhäsives und konventionelles Befestigen erlaubt, die günstigen Licht­eigenschaften der Keramik gehen allerdings durch opaken Zement zum Teil verloren.

Zirkoniumdioxid ist für konventionelle, semiadhäsive oder adhäsive Befestigung zugelassen und sollte vor dem Einsetzen mit Aluminiumoxid mit einer Korngröße von 50 bis 110 µm bei 1 bar ausgestrahlt und eventuell mit einem Primer (Metal/Zirconia Primer, Ivoclar Vivadent) konditioniert werden.14

Ästhetik
Unbestritten ist die Vollkeramik aufgrund der besseren optischen Eigenschaften der Metallkeramik überlegen. Insbesondere Glaskeramik zeichnet sich durch optimale Transluzenz aus. Für verschiedene Erfordernisse stehen Rohlinge unterschiedlicher Opazität zur Verfügung.

Kosten
Aufgrund des zurzeit hohen Goldpreises sind die Materialkosten für Gerüste/Käppchen für Metallkeramik deutlich höher als für solche aus Zirkoniumdioxid. Eine Alternative bieten Sparlegierungen, die allerdings durch ihren hohen Palladiumanteil bei Disposition allergen wirken können. Bei glaskeramischen Kronen fallen die Mate­rialkosten weniger ins Gewicht.

Kasuistik

Am Anfang der prothetischen Neuversorgung der damals 49-jährigen Patientin stand die Fraktur des Stumpfes 45, die eine Lockerung des distalen Teils der Freiendbrücke 44-45-46 (Abb. 1a) zur Folge hatte. Nach Durchtrennen der Brücke distal der Krone 44 und Abnahme der Krone 45 samt Anhängerpontic 46 wurde die noch vitale Wurzel 45 endodontisch behandelt und abgedeckt.

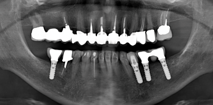
Das Orthopantomogramm aus dem Jahr 2003 (Abb. 1b) dokumentiert die dentale Situation zu diesem Zeitpunkt: Kronen- und Brücken auf z. T. endodontisch behandelten Zähnen im Oberkieferfront- und im Ober- und Unterkieferseitenzahnbereich, multiple Füllungen an den Unterkieferfrontzähnen.

Kurze Zeit später klagte die Patientin über Schmerzen bei Pfeilerzahn 38. ­Gemeinsam mit einem Kieferchirurgen wurde folgende Behandlung geplant: ­Extraktion von Zahn 38 (nach Durchtrennen der Brücke distal der Krone 34), VMKs auf Implantaten 35-36 und 46, ­gegossener Stiftaufbau und VMK bei Zahn 45. Die ­Patientin war einverstanden, wünschte vorerst keine darüber hinausgehende Sanierung. Im Rahmen der üblichen diagnostischen Abklärung und Vorbehandlung (Mundhygiene!)16 wurde klinisch und axiografisch ein intermediäres reziprokes Kiefergelenkknacken rechts festgestellt. Daher wurde auf eine gute posteriore Abstützung mit den neuen Kronen besonders geachtet. Die Abbildungen 2a und b geben die klinische Situation nach deren Einsetzen wieder. Die Patientin war beschwerdefrei und erhielt eine stabilisierende ­Zentrikschiene für die Nacht.

Erneuerung Oberkieferfrontsegment
Im Jahr 2010 fiel bei einer Routinekontrolle eine radiologische Aufhellung bei dem mit einer Stiftkrone versehenen Zahn 34 auf. Nach Durchtrennen der Verbindung 33-34 und Entfernung der VMK und des losen Stiftes war eine Längsfissur des Zahns sichtbar, seine Extraktion unvermeidlich. Eine Implantatkrone sollte den fehlenden Zahn ersetzen. Jetzt war die ­Patientin bereit, auch die unansehnlichen Kronen im Oberkieferfrontsegment erneuern und die unteren Frontzähne hochwertig sanieren zu lassen.

Anhand eines Wax-ups wurden bei radiologisch unauffälligem Befund der wurzelbehandelten oberen Frontzähne zur gegenseitigen Stabilisierung verblockte verblendete Zirkoniumdioxidkronen mit Anhängerpontic 14 (mit reduziertem zentrischem Kontakt und ohne exzentrische Führung) geplant. Die Zähne 33 bis 43 sollten einzelne Kronen aus Lithiumdisilikatkeramik erhalten. Die durch die Seitenzähne vorgegebene Bisshöhe sollte beibehalten werden. Bei der Umsetzung des Behandlungsplans wurden nach Abnahme der VMKs der oberen Schneidezähne die Stümpfe z. T. mit Komposit ergänzt und mit nach innen gerundeter Stufe in Gingivaniveau nachpräpariert. Die Stiftaufbauten bei den Zähnen 12, 11 und 22 wurden erhalten, bei Zahn 21 frakturierte im Zuge der Abnahme der Krone der oberste Teil des mit Rillen versehenen konfektionierten Stiftes. Um den Zahn nicht zu schwächen, wurde nach Entfernung des abgebrochenen Teils der Rest des Stiftes belassen, die Krone 21 sollte als „Endokrone“ gestaltet werden. Die Präparation der oberen Eckzähne und der Unterkieferzähne 33 bis 42 verlief analog. Nach einer Silikonabformung (President/Coltène Whaledent) erfolgte die technische Herstellung der Restaurationen.

Die Abbildung 3 zeigt die Oberkieferfrontbrücke aus (mit Lithiumdisilikat, IPS e.max CAD Veneering Solutions, Ivoclar ­Vivadent) verblendetem Zirkoniumdioxid (IPS e.max ZirCAD, Ivoclar Vivadent). Sie wurde nach Strahlen mit Aluminiumoxid und Ätzen der verblendeten Ränder für 20 Sek. mit 5 % Flusssäure sowie Silanisieren nach üblichem Konditionieren der Stümpfe mit Panavia 21 (Kuraray) eingesetzt.

Die Zirkoniumdioxidkrone auf dem Implantat wurde mit Zinkoxidphosphat­zement zementiert, die Lithiumdisilikatkronen (IPS e.max Press, Ivoclar Vivadent) im Unterkiefer wurden nach Flusssäureätzung und Silanisieren mit Variolink (Ivoclar Vivadent) Optibond FL (Kerr) adhäsiv befestigt. In einem weiteren Schritt wurde die farblich nicht mehr passende VMK 43 durch eine Lithiumdisilikatkrone ersetzt.

Erneuerung posteriorer Oberkiefer
Wieder verging einige Zeit bis sich die Patientin, inzwischen im Ruhestand, im Jahr 2015 aufgrund der zunehmenden Randundichtigkeit der alten Kronen zur Neuversorgung auch der Oberkiefer-Seitenzähne entschloss. Zahn 26 erwies sich nach Abnahme der Krone als tief kariös und mithilfe endodontischer Behandlung gerade noch erhaltungswürdig. Er wurde bei noch Retention bietender bukkaler Hälfte des Stumpfes mit einer einteiligen Stift-VMK versorgt. Die Abnahme und ­Erneuerung der VMK-Brücke 15 bis 17 (Abb. 4) und der VMKs 24 und 25 (mit zusätzlichem gegossenem Stiftaufbau) verliefen plangemäß.

Die Abschlussbilder aus dem Jahr 2016 (Abb. 5a bis c, Abb. 6a und b, Abb. 7a und b) präsentieren das Ergebnis. Die Patientin fühlt sich wohl, trägt nachts eine Zentrikschiene (Abb. 8) und kommt regelmäßig zum Recall.

Diskussion

Eine wie im beschriebenen Fall durchgeführte „Sanierung auf Raten“ ist für Patientinnen und Patienten hinsichtlich der ­körperlichen und finanziellen Belastung sicher verträglicher als eine Gesamtsanierung in einem Zug. Sie hat zudem den Vorteil, dass die Bisshöhe erhalten bleibt. Zahntechnisch ist es allerdings sicher schwieriger, Farbe und Brillanz der Restaurationen homogen zu gestalten, wenn in Etappen gearbeitet werden muss, vor allem bei (nach Maßgabe hinsichtlich Ästhetik, Lage des Präparationsrandes und Art der Restauration) Anwendung unterschiedlicher Materialien. Dabei ist ein ­vorausschauendes Vorgehen mit Be­rücksichtigung der zukünftig geplanten weiteren Schritte notwendig.

Im konkreten Fall ist letztendlich ein ­einheitliches Gesamtbild entstanden. Bei gleichzeitiger Versorgung des gesamten Oberkiefers hätte man nicht das Risiko eines Freiendanhängers 14 eingehen müssen. Stattdessen wäre bei für ein Implantat zu schmaler Lücke 14 eine Brücke (aus Metallkeramik oder Zirkoniumdioxid) 13 bis 17 mit Zwischengliedern 14 und 16 infrage gekommen. Insgesamt haben sich durch die Sanierung Funktion (im Sinne einer stabilen Zentrik mit Front-Eckzahn-Führung) und Ästhetik deutlich verbessert, der Aufwand hat sich gelohnt. Der Siegeszug der in ästhetischer Hinsicht ­unübertroffenen Vollkeramik ist nicht ­aufzuhalten. Dennoch gibt es noch Indikationen für Metallkeramik und Vollgussfüllungen, z. B. bei Patienten mit Parafunktion oder auch aus Platzgründen, wenn die erforderliche Materialschichtstärke für Vollkeramik nicht gegeben ist. Auch bei subgingivaler oder der Bearbeitung (Entfernung von Kleberüberschüssen) schwer zugänglicher Lage des Prä­parationsrandes kann mit konventionell zementierten Restaurationen aus Metallkeramik oder Gold ein optimaler Randschluss erreicht werden.

Danksagung

Herzlicher Dank gebührt dem Kiefer­chirurgen DDr. Thomas Ennemoser und Herrn ZTM Hanspeter Oss.

Die vollständige Literaturliste gibt es hier.

Mehr Fachartikel aus Implantologie

ePaper