Implantologie 21.02.2011

Ein neues Konzept bei Periimplantitis



Ein neues Konzept bei Periimplantitis

Vorgehen mittels aPDT und knochenregenerativ augmentativen Maßnahmen

Inflammatorisch bedingte Resorptionsvorgänge am oralen Hart- und Weichgewebe, weitest­gehend als Periimplantitis beschrieben, erfordern ein komplexes Therapiekonzept, dessen Ziel eine dauerhafte entzündungsfreie periimplantäre Knochen- und Weichgewebssituation darstellt. Anhand zweier Fallbeispiele soll unser Behandlungskonzept zur Entzündungs­reduktion einerseits und Knochenaugmentation andererseits vorgestellt werden.

Die ständig wachsende Anzahl enossal inserierter Zahnimplantate und deren zunehmende Liegedauer ist durch stabile Langzeiterfolge, d.h. mehr als 90 Prozent Erfolgsergebnisse in einem Zehnjahreszeitraum im ­Literaturquerschnitt, gekennzeichnet. Andererseits wird vermehrt über das Auftreten von peri­implantären Komplikationen mit entsprechenden Hart-und Weichgewebsproblemen berichtet.1 Deren Folgen sind entzündliche Veränderungen der periimplantären Mukosa mit Taschenbildung und entsprechender Keimbesiedelung, wie aus der Parodontologie bekannt. In fortgeschritteneren Stadien imponiert ein marginaler Knochenabbau im krestalen Anteil der Implantate, der ohne weitere Therapie zum Implantatverlust und Defektbildung im knöchernen Alveolar­fortsatz führen kann.


Regelmäßige Implantatinspektionen und die Evaluation klinischer und röntgenologischer Parameter mit Früh­diagnostik möglicher entzündlicher Veränderungen sind daher obligat, um eine fakultativ erforder­liche Periimplantitistherapie frühzeitig einleiten zu können. Die Kontrolluntersuchungen erfassen auch die Überprüfung der Implantatsuprakonstruktion, etwaige ­Lockerungsgrade der Implantate und die Zone keratinisierter Mukosa.

Taschentiefenmessungen sowohl approximal als auch vestibulär und palatinal sollten keine Blutung nach Sondierung aufweisen.2 Im Einzelfall werden röntgenologische Maßnahmen zur Diagnosesicherung angeschlossen. Insbesondere Patienten mit Parodontalerkrankungen bzw. erhöhtem parodontalen Risiko bedürfen einer intensiven Überwachung. Auf die regelmäßige (mindestens jährlich) zu aktualisierende Anamnese und Evaluation des allgemeinmedizinischen Hintergrundes sei an dieser Stelle besonders hingewiesen. So können beispielsweise Osteo­porose- oder Tumorerkrankungen bzw. die Gabe bestimmter Pharmaka wie Bisphosphonate einen ungünstigen Einfluss auf die periimplantäre Gewebegesundheit nehmen.

Adjuvante und in der Literatur beschriebene Maßnahmen zur Periimplantitistherapie sind neben der Taschenreinigung, Desinfektion und Dekontamination der Implantatoberfläche auch die antibiotische Begleittherapie.3 Auch der Einsatz der photodynamischen Therapie mittels verschiedener Laser in Fällen knöcherner Beteiligung wird mehrfach beschrieben.4,5 Besonders problematisch und für den Erfolg der Therapie entscheidend ist die Dekontamination der rauen, meist geätzt und gestrahlten mikrovergrößerten Titanoberfläche enossaler Implantate. Hier scheint neben den konventionellen, aus der Parodontaltherapie bekannten Maßnahmen, die photodynamische Therapie erfolgreich.6 Ebenso ist die Frage des Augmentatmaterials im Rahmen der knöchernen Defektbehandlung in kontroverser Diskussion befindlich. Ein dauerhafter und resorptionsresistenter Verschluss vertikaler Knochendefekte zur Vermeidung von Epitheltiefenproliferation und erneuter Taschenbildung stellen ein wichtiges Therapieziel dar. Das neue PGT(Poröses Titan Granulat Natix®) könnte hier eine interessante Alternative darstellen.

Das Konzept

Anhand zweier klinischer Fallbeispiele möchten wir unseren aktuellen Therapieansatz zur Periimplantitistherapie vorstellen. Das Konzept sieht folgende Therapiekaskade vor:

1. Initialphase mit sub. Kürettage, Taschenspülung, Full Mouth Disinfection und evtl. antibiotischer Begleittherapie zur Reduktion der aktiven Entzündung.
2. Deepithelisierung der Tasche mit dem Diodenlaser. Mobilisation des Mukoperiostlappens bis zur intakten Knochengrenze. Entfernung allen Granulationsgewebes und Reinigung der Titanoberfläche mit Vektor, Kürette und Titanbürste (Tigran Brush).
3. Photodynamische Therapie mit dem Helbo-Laser zur Dekontamination von Implantat und Knochen.
4. Regenerativtherapie mit Applikation von PTG Natix zur Weichgewebsstabilisierung und Prävention erneuter Taschenbildung.

Fall 1

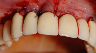
Bei einer 66-jährigen Patientin mit multipler Implantation und nachfolgender festsitzender prothetischer Versorgung kam es neun Jahre post operationem zu einer massiv entzündlichen Reaktion im Bereich der Oberkieferfrontzahnimplantate mit Pusaustritt, Schmerzen und knöchernen Destruktionen in Regio 13, 12 und 11 (Abb. 1 und 2).

Im Rahmen der Initialbehandlung (drei Termine innerhalb einer Woche) wurden die periimplantären Taschen mit CHX gespült sowie eine Reinigung der denudierten Implantatoberflächen mit dem Vektor unter antibiotischer Abschirmung (Amoxicillin 1000 3x1 pro Tag) durchgeführt und unmittelbar danach mit dem ­Diodenlaser die Innenseite der Taschen deepithelisiert (Abb. 3). In der darauffolgenden Woche schloss sich der operativ-regenerative Eingriff an.

Fall 2

Bei einer 54-jährigen Patientin kam es fünf Jahre nach Augmentation mit einem retromolaren Knochenblocktransplantat und nachfolgender Implantation in Regio 44 zu einer schmerzhaften Periimplantitis mit Knochendestruktion an einem Implantat (Abb. 13). Die Patientin wurde mit analogem Protokoll behandelt, jedoch die Titanoberfläche mit einer speziellen Titanbürste gereinigt und mit Tigran Natix® grau augmentiert.

Diskussion und Zusammenfassung

Das hier gezeigte Therapieprotokoll einer erheblich fortgeschrittenen Periimplantitis hat zum Ziel, das entzündliche Weichgewebe zu entfernen, die Implantatoberfläche mechanisch (Handinstrumente und Vektor) zu reinigen sowie physikalisch (Helbo-Laser) zu dekontaminieren. Diese Keimreduktion ist wiederum Voraussetzung, um den knöchernen Defekt mit einem alloplastischen Material zu augmentieren (PTG) und entsprechend eine erneute Taschenbildung zu vermeiden. Sechs Monate nach dieser Kombinationstherapie zeigten sich klinisch und radiologisch stabile Verhältnisse. Das titanbasierte alloplastische Material Tigran birgt das Potenzial, im Bereich der vorbereiteten Titanoberfläche der Implantate als dauerstabil-resorptionsresistentes Material zu fungieren.

Eine ausführliche Literaturliste finden Sie hier.


Mehr Fachartikel aus Implantologie

ePaper