Implantologie 19.03.2019

Sofortimplantation und Rekonstruktion: ein vollständig digitaler Workflow

In der Implantologie gelten hochwertige Materialien seit jeher als entscheidend für den Behandlungserfolg. Dies ist auch weiterhin richtig – aber die Digitalisierung bringt auch im Bereich der Implantologie viele Möglichkeiten mit sich, den gesamten Arbeitsablauf zu erleichtern und die Behandlungsergebnisse positiv zu beeinflussen. Der nachfolgende Fallbericht beschreibt die Sofortimplantation zum Ersatz eines Frontzahns unter Verwendung des Intraoralscanners CS 3600 (Carestream Dental).

Ausgangssituation gestaltete sich wie folgt: Ein 54-jähriger Patient wurde an unsere Praxis überwiesen und stellte sich mit einem externen Granulom an Zahn 21 vor. Die parodontale Situation des Patienten war unauffällig. 

Behandlung

Bei der Erstuntersuchung wurden Fotos der intraoralen und extraoralen Situation sowie ein intraorales Röntgenbild, ein DVT-Scan und ein Scan des Oberkiefer- und Unterkiefer-Zahnbogens mit dem CS 3600 Intraoralscanner inklusive Bissregistrierung angefertigt.

Die PLY-Datei des CS 3600-Scans wurde als virtuelles Wax-up in die Meshmixer-Software importiert. Für die virtuelle Extraktion von Zahn 21 wurde die Datei modifiziert und im STL-Format exportiert. Anschließend wurde die STL-Datei als finales digitales Modell in die SMOP-Software importiert, um die Implantatinsertion zu planen und die Bohrschablone zu konstruieren. Als Nächstes erfolgte die Planung des Implantats für Zahn 21 in der SMOP-Software, einschließlich Planung der verschraubten Krone und virtuellen Konstruktion der chirurgischen Bohrschablone.

Die Position des Implantats resp. des virtuellen Scankörpers, das Ober- als auch Unterkiefermodell wie auch die virtuell konstruierte Bohrschablone wurden anschließend als STL-Dateien exportiert.

Im nächsten Schritt wurde die Bohrschablone mithilfe eines 3D-Druckers angefertigt. Die Daten wurden dann in die exocad-Software importiert und die PMMA-Krone entworfen. Die gefräste provisorische PMMA-Krone wurde dann mit einem Titanabutment verklebt.

Insertion des Implantats

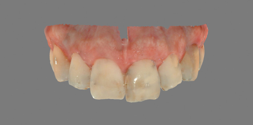
Nach Extraktion des Zahns wurde mithilfe der gedruckten SMOP-Schablone ein 13 mm langes Implantat inseriert. Der bukkale Defekt wurde dann mit einem bovinen Knochen-Kollagen-Granulat aufgefüllt. Der Lappen wurde reponiert und die provisorische Krone aufgeschraubt.

Zur perioperativen Versorgung gehörte eine Antibiotikatherapie mit Amoxicillin und Clavulansäure für eine Woche sowie die Behandlung mit 0,2 % Chlorhexidin und Mefenamin. Eine Woche nach der Implantatinsertion wurden die Nähte entfernt.

Nach zwölf Wochen schloss der überweisende Zahnarzt die Restauration durch Platzieren der definitiven Krone ab.

Autor: Dr. Beat R. Kurt

Der Beitrag ist in der DENTALZEITUNG erschienen.

Foto: Autor

Mehr Fachartikel aus Implantologie

ePaper