Endodontologie 26.02.2026

Fungusball in der Kieferhöhle nach Wurzelkanalbehandlung



Eine 40-jährige Patientin wurde von ihrem HNO-Arzt in unsere Praxis für Mund-, Kiefer- und Gesichts­chirurgie überwiesen. Die Überweisung erfolgte aufgrund eines in der Computertomografie (CT) ­nach­gewiesenen, röntgendichten Fremdkörpers in der linken Kieferhöhle.

Fungusball in der Kieferhöhle nach Wurzelkanalbehandlung

Foto: Dr. Muhammad Shehadeh

Die Läsion wies eine Größe von etwa 7 mm auf. Klinisch klagte die Patientin über ein anhaltendes Druckgefühl im linken Mittelgesicht sowie über wieder­kehrende, als „Erkältung“ wahrgenommene Beschwerden, entsprechend einer ­chronischen Sinusitis mit rezidivierenden akuten Schüben.

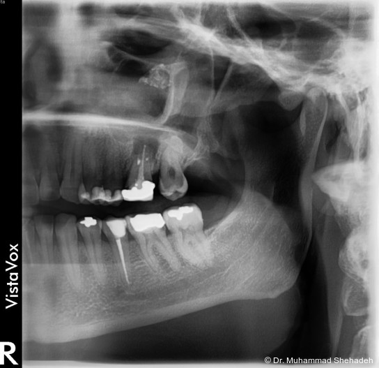
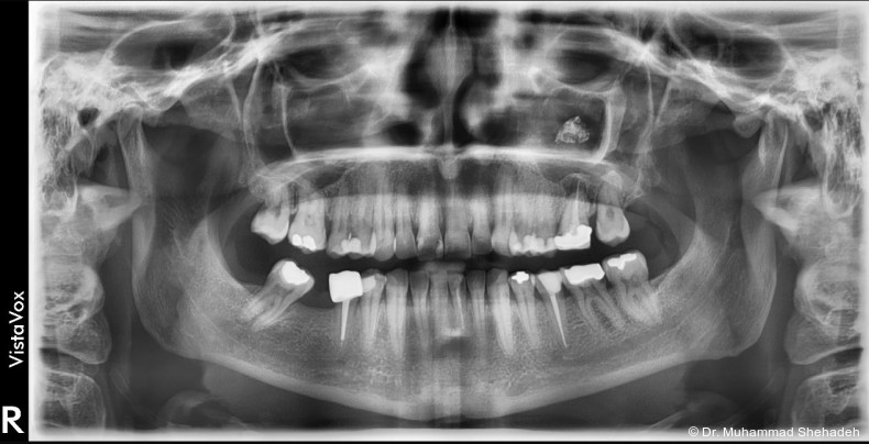
Im orthopantomografischen (OPG) Bild zeigte sich Zahn 26 wurzelbehandelt mit einer periapikalen osteolytischen Läsion. Etwa 15 mm kranial der apikalen Region des Zahns war eine röntgendichte Raumforderung in der linken Kiefer­höhle erkennbar. Die endodontische Versorgung des Zahns 26 erschien insuffizient. Der Zahn war klopfemp­findlich.

Nach ausführlicher Aufklärung wurde gemeinsam mit der Pa­tien­tin entschieden, den Zahn 26 durch eine Wurzelspitzen­resektion (WSR) zu erhalten und gleichzeitig den Fremd­­körper über den WSR-Zugang aus der Kieferhöhle in Lokal­­anäs­­thesie zu entfernen. Die operative Maßnahme erfolgte unter antibiotischer Abschirmung mit Amoxicillin/Clavulansäure.

Intraoperativ wurde ausgeprägtes entzündliches Weich­gewebe in der linken Kieferhöhle sichtbar, das vollständig entfernt wurde. Zudem konnte ein schwarz-grünlicher, bröcke­liger Fremdkörper geborgen werden, der makroskopisch dem Erscheinungsbild eines Fungusballs entsprach. Die histopathologische Untersuchung bestätigte den Verdacht: Es fanden sich multiple Myzelstrukturen, vereinbar mit einem Myze­tom (Fungusball).

Bereits unmittelbar postoperativ berichtete die Patientin über eine deutliche Besserung der nasalen Atmung und ein subjektives Freiheitsgefühl im linken Mittelgesicht. Bei der postoperativen Kontrolle wurde eine regelrechte Wund­heilung mit lediglich zeitgemäßem Wundschmerz beob­achtet, jedoch ohne erneutes Druckgefühl oder Schwellung.

Radiologisch zeigte sich die retrograde Füllung im Rahmen der WSR regelrecht. Auffällig war, dass die ­beiden bukkalen Wurzeln nicht gefüllt waren; möglicherweise war die Füllung aufgrund der chronischen Entzündung resorbiert. Dem weiterbehandelnden Zahnarzt wurde daher eine Revision der Wurzel­kanal­behand­lung empfohlen.

Alternativ wäre bei erneuten Beschwerden eine Extraktion des Zahns 26 in Erwägung zu ziehen. Die Entscheidung, den Zahn initial zu erhalten, erfolgte bewusst, um die Heilung des Sinusbodens zu fördern und das Risiko einer großflächigen oroantralen Verbindung zu minimieren. Somit bleibt perspektivisch die Möglichkeit einer späteren Implantatversorgung erhalten.

Diskussion

Etwa zehn bis zwölf Prozent aller Fälle von Kieferhöhlenent­zündungen (Sinusitis maxillaris) sind odontogenen Ursprungs. Dies ist auf die enge anatomische Beziehung zwischen den Zähnen der posterioren Oberkieferregion und der Kieferhöhle zurückzuführen.1

Eine Sonderform der chronischen, nichtinvasiven Pilzsinusitis ist der sogenannte Fungusball (Myzetom). Er ist charakterisiert durch eine Ansammlung von Pilzdetritus innerhalb der Kieferhöhle, ohne dass eine Invasion der Schleimhaut erfolgt. Die Kieferhöhle ist der häufigste Ort für die Bildung solcher Pilzballen innerhalb der Nasennebenhöhlen.2

Bild von einem Quotenzeichen
„Zu den iatrogenen Ursachen zählen insbesondere die ­unbeabsichtigte Einbringung von endodontischem Material oder Knochenersatz in die Kiefer­höhle, etwa im Zuge ­einer Wurzelkanalbehandlung oder eines Sinuslifts.“

Ätiologie

Die odontogene Sinusitis spielt eine zentrale Rolle bei der Entstehung des Fungusballs. Sie kann primär durch dentale Infektionen wie apikale Abszesse, fortgeschrittene Parodontitis oder infizierte radikuläre Zysten verursacht werden. Hinzu kommen iatrogene Ursachen, insbesondere die versehentliche Einbringung von endodontischem Material (z. B. Wurzelfüllmaterial) oder Knochen­ersatzmaterial während ­einer Wurzelkanalbehandlung oder eines Sinuslifts, sowie das Eindringen von Zahnsplittern in die Kiefer­höhle bei Extraktionen.3, 4

Das Vorhandensein dieser Fremdkörper in der Kieferhöhle kann eine chronische Sinusitis auslösen. Bleibt diese un­behandelt, führt die Fremdkörperreaktion zu einer Ob­struk­tion des Kieferhöhlenostiums und beeinträchtigt die muko­ziliäre Clearance. Diese gestörte Belüftung schafft ein sauerstoff­armes (anaerobes) Milieu, das ein ideales Umfeld für eine Pilzsuperinfektion mit der Bildung eines Fungusballs darstellt.2, 5

Die Infektion wird in diesen Fällen typischerweise durch Asper­gillus fumigatus ausgelöst, seltener durch Actinomyces oder Nocardia.6 Das Einatmen von Pilzsporen wie Asper­gillus ist alltäglich und unvermeidbar. Im sauerstoffarmen ­Milieu können sich diese Pilzsporen ansiedeln und Biofilme bilden.2 Die in der Kieferhöhle verbliebenen Fremdkörper – insbesondere dentales Füllmaterial, Sealerreste oder Implantate – dienen dabei als Nähr- und Haftsubstrat für das Pilzwachstum. Besonders Implantate mit Kontakt zur Kieferhöhle bieten durch ihre raue Oberfläche eine Angriffsfläche für die Biofilmbildung, wobei gleichzeitig bestehende dentale Erkrankungen wie Periimplantitis oder Parodontitis die Entwicklung ­eines Fungusballs zusätzlich begünstigen können.2

Mehrere Studien weisen darauf hin, dass endodontische Behandlungen an den oberen Molaren ein starker Risikofaktor für die Entstehung eines Fungusballs sind.7, 8

In Wurzelkanälen nahe der Kieferhöhle wurden fadenförmige Pilze kultiviert, was darauf hinweist, dass Mikroorganismen und Toxine aus endodontischen Infektionen über vaskuläre Anastomosen, Knochenmark und Lymphgefäße in die Kieferhöhle eindringen können.9

Die chemische Zusammensetzung endodontischer Materialien spielt ebenfalls eine Rolle:

  • Niedrige Zinkkonzentrationen in auf Zinkoxid-Eugenol basierenden Sealern können die Pilzbesiedlung fördern.
  • Eugenol selbst begünstigt das Wachstum von Aspergillus, dem Hauptverursacher von Myzetomen.6, 8, 15

Die zugrundeliegende Pathophysiologie ist noch nicht vollständig geklärt, jedoch scheint das Zusammenspiel aus Fremdkörperreaktion, Ostiumobstruktion und gestörter mukoziliärer Clearance das Wachstum inhalierter Pilzsporen (v. a. Aspergillus fumigatus) zu begünstigen.3, 6, 10

Symptome

Die meisten Fälle eines Fungusballs verlaufen asymptomatisch oder mit unspezifischen Symptomen, wie:

  • einseitige nasale Obstruktion,
  • Rhinorrhoe,
  • Kakosmie bzw. schlechter Geruch
  • Gesichts- oder Zahnschmerzen.11, 18

In schweren oder invasiven Fällen – insbesondere bei immun­supprimierten Patienten – kann sich die Infektion auf benachbarte Strukturen ausbreiten und lebensbedrohlich ­werden.12

Diagnostizierung

Die Differenzierung zwischen bakterieller Sinusitis und Fungus­ball der Kieferhöhle ist essenziell, da die Behandlung völlig unterschiedlich ist.2

  • Panoramaröntgenaufnahmen sollten eine obligatorische Anforderung sein, um odontogene Ursachen oder Fremdkörper zu erkennen.
  • MRT-Untersuchung kann bei der Diagnostizierung unterstützen wobei,
  • CT ist die Methode der Wahl: da diese eine hypodense Raumforderung in der Kieferhöhle zeigt, die eine hyperdense Masse enthält, manchmal verbunden mit Mikroverkalkungen. Im - Laufe der Zeit können sich zusätzlich Sklerose (Verdickung der Knochenwände) oder sogar fokale Knochenerosionen der Sinuswand entwickeln.12

Anatomische Variationen oder Blockaden im ostiomeatalen Komplex gelten als prädisponierende Faktoren für die Pilzansiedlung.16

Behandlung

Medikamentöse Therapien bei chronischer Kieferhöhlensinusitis sind meist ineffektiv, da eine gestörte mukoziliäre Clearance die Regeneration des Epithels verhindert.

Die chirurgische Entfernung der Pilzmasse stellt die Therapie der Wahl dar und ist in der Regel kurativ.1, 17, 18 Dabei muss zusätzlich die Belüftung und Drainage der Kieferhöhle über das natürliche Ostium wiederhergestellt werden.6 Eine antimykotische medikamentöse Behandlung ist nicht erforderlich, außer in seltenen Sonderfällen.5

Literatur

Endodontie Journal 01/26

Endodontie Journal


Dieser Beitrag ist im EJ Endodontie Journal erschienen.

Das Endodontie Journal richtet sich an alle auf die Endodontie spezialisierten Zahnärzte im deutschsprachigen Raum und ist eine der führenden Zeitschriften in diesem Fachbereich. Das Themenspektrum des vierteljährlich erscheinenden Magazins reicht von praxisorientierten Fallberichten über klinische Studien bis hin zu Updates aus Forschung, Technik, Recht und Praxismanagement.

Jetzt das ePaper lesen.

Mehr Fachartikel aus Endodontologie

ePaper