Implantologie 04.09.2014

Keramikimplantat bevorzugt



Keramikimplantat bevorzugt

Ein Fallbericht aus der Praxis

Die nachfolgende Falldarstellung von Dr. Thomas Schneucker veranschaulicht die Erfahrungen mit einem neuen, einteiligen vollkeramischen Implantat aus Zirkoniumdioxid (Straumann) mit einer Oberfläche vergleichbar mit der sehr gut dokumentierten SLA-Oberfläche. Der prothetisch orientierte Zahnarzt aus Wiesbaden war einer der ersten Anwender des neuen PURE Ceramic Implantats von Straumann. In Zusammenarbeit mit Dr. Lothar Römer (Wiesbaden), Fachzahnarzt für Oralchirurgie, erfolgte die Einzelzahnversorgung eines fehlenden Unterkiefermolars.

Implantate aus Keramik sind in der Zahnmedizin an sich nicht neu; Kenner der implantologischen Szene wissen aber, dass zum Beispiel das „Tübinger Implantat“ aus Aluminiumoxidkeramik vor mehr als 30 Jahren aufgrund hoher Frakturraten nicht reüssieren konnte. Inzwischen hat sich aber in verschiedenen Bereichen der Zahnmedizin die Hochleistungskeramik aus Zirkoniumdioxid bewährt. Auch in der Implantologie sind zunehmend keramische Implantatlinien zu finden, allerdings beruhten die wissenschaftlichen Daten bislang nur auf einer sehr dünnen Literaturbasis. Darüber hinaus wird in Studien weiterhin über Implantatbrüche bei Vollkeramikimplantaten verschiedener Hersteller berichtet.1


Patienten wünschen metallfreie Implantate

Das hat die Praxis des Autors bisher davon abgehalten, Patienten Implantate aus Vollkeramik uneingeschränkt zu empfehlen – trotz der festen Überzeugung, aus biologischen und ästhetischen Gründen Keramikimplantaten den Vorzug vor der metallenen Variante zu geben. Dies deckt sich auch mit den Ergebnissen einer im Auftrag des renommierten Implantologie-Unternehmens Straumann in Europa durchgeführten Patientenumfrage mit 250 Teilnehmern: Bei freier Wahl würden sich der Studie zufolge 3,5-mal so viele Patienten für eine Versorgung mit einem Keramikimplantat wie für eine Versorgung mit einem Titanimplantat entscheiden.2
 
Mit dem neuen PURE Ceramic Implantat von Straumann wird nun erstmals ein Implantatsystem aus Vollkeramik mit verlässlicher, wissenschaftlicher Aufbereitung für vorhersagbaren Behandlungserfolg angeboten. Grundlage der jetzt eingeführten Vollkeramik-Implantatlinie bilden sowohl die Fachkompetenz von Straumann bei der Konstruktion von Implantaten als auch 60 Jahre Erfahrung in der Materialinnovation.3

 

An dieser Stelle sei auf die von dem Unternehmen entwickelte SLA-Oberläche (SLA steht für Sand-blasted, Large-grit, Acid-etched) verwiesen, die zu einer der am besten dokumentierten rauen Oberflächen in der Implantologie zählt und mit ihren Osseointegrationseigenschaften die Einheilzeit von Implantaten auf sechs bis acht Wochen erheblich reduziert.4–6 Die hydrophile SLActive-Oberfläche fördert nachweislich den Osseointegrationsprozess gerade in der kritischen ersten Phase und reduziert damit die Stabilitätslücke in der Einheilphase.

Straumann PURE Ceramic Implantat – Steckbrief

Das neue Keramikimplantat mit ZLA-Oberfläche ist das Ergebnis eines siebenjährigen Entwicklungsprozesses. Anlässlich des ITI World Symposium 2014 (24. bis 26. April in Genf) wurde das Straumann PURE Ceramic Implantat offiziell in den Markt eingeführt. Es besteht aus einem einteiligen Implantatkörper aus 100 Prozent hochleistungsfähiger Zirkoniumdioxidkeramik (Y-TZP). Seine Form basiert auf Merkmalen sowohl der Soft Tissue Level Standard Plus als auch der Bone Level Implantate.

Der Hersteller gibt an, dass die neuen Keramikimplantate mit der bekannten Chirurgiekassette unter Anwendung der ebenfalls bekannten chirurgischen Verfahren nach weitgehend identischem Protokoll gesetzt werden können. Das Keramikimplantat ist vorläufig in einem enossalen Durchmesser von 4,1 mm und in zwei Höhen des Implantataufbaus (prothetische Plattform), 4,0 mm und 5,5 mm, erhältlich. Die neuen Keramikimplantate haben einen glatten, sich über eine Höhe von 1,8 mm auf einen prothetischen Durchmesser der prothetischen Plattform von 4,8 mm erweiternden Hals.
Die ZLA-Oberfläche des Keramikimplantates ist durch eine Makro- und Mikrorauigkeit gekennzeichnet, die der Topografie der bewährten SLA-Oberfläche ähnelt. Tierstudien haben eine Osseointegration gezeigt, die hinsichtlich periimplantärer Knochendichte und BIC-Wert (Bone-to-Implant Contact, Knochen-Implantat-Kontakt) der von Ti-SLA entspricht.7,8
Erste Ergebnisse der klinischen Untersuchungen wurden bereits beim EAO-Kongress in Dublin im vergangenen Herbst veröffentlicht. Die Multicenter-Studie mit 41 Patienten zeigte Erfolgs- und Überlebensraten von 98 Prozent, nach einem Jahr wurden keine Implantatfrakturen diagnostiziert und die teilnehmenden Zahnärzte meldeten positive ästhetische Ergebnisse sowie einen hervorragenden Zustand des Zahnfleischgewebes rund um das Implantat.1,3,9–11 Studien zeigen eine deutlich verbesserte Anlagerung von Fibroblasten an die Keramikoberfläche und lassen somit auch eine gute Weichgewebsanlagerung erwarten.12 Der gute Qualitätsstandard der Produkte wird durch die Zusicherung des Herstellers untermauert, dass jedes einzelne Implantat nach Angaben von Straumann vor der Auslieferung einem umfassenden Belastungs-Check, der die mechanische Festigkeit individuell überprüft, unterzogen wird. Auf diese Weise kann eine verlässliche strukturelle Integrität jedes einzelnen ausgelieferten Implantatkörpers gewährleistet werden.

Falldarstellung

Anamnese und Befund
Bei einer 28-jährigen Patientin mit Morbus Crohn bestand der Wunsch, die seit mehreren Jahren bestehende Schaltlücke 36, bevorzugt mit einem Implantat, zu schließen (Abb. 1). Aufgrund der zu erwartenden eingeschränkten immunbiologischen Toleranz und dem grundsätzlichen Wunsch nach metallfreien Restaurationen, lehnte die Patientin den Vorschlag, die Lücke mit einem Titanimplantat zu versorgen, über mehrere Jahre ab.

Ein Lückenschluss mit einer Brückenversorgung wurde ebenfalls abgelehnt, um keinen weiteren Substanzverlust der Nachbarzähne im Zuge der Präparationen in Kauf nehmen zu müssen. Auch aus zahnärztlicher Sicht sprach gegen die Versorgung mit einer Brücke die Vermutung, dass unterhalb der plastischen Restaurationen unterminierende Defekte liegen und somit statisch schwache Stümpfe beim Präparieren entstehen würden. Auch eine geringfügige Achskonvergenz würde den Einschub limitieren oder zumindest kompromittieren. Anamnese und Befund ergaben einen mäßigen Nikotinkonsum sowie eine gute Mundhygiene bei weitgehend kariesresistentem Zustand der Zähne. Die Zähne 12 und 22 waren nicht angelegt, das Gebiss voll funktionsfähig, es bestand ein dicker Gingivatyp (Abb. 2).

Planung und Therapie
Mit der neuen Option, die Schaltlücke 36 mit einem solide untersuchten Implantatsystem aus Zirkoniumdioxidkeramik der Firma Straumann zu versorgen, entschied sich die Patientin sofort zu dieser metallfreien Rehabilitation. Nach Beurteilung der anatomischen Vorgaben für die prothetische Rekonstruktion, Vitalitätsproben, Okklusions- und Funktionskontrolle erfolgte die Abformung zur Anfertigung von Situationsmodellen. Die Modelle dienten zur Planung sowie zur Fertigung einer Schutzschiene für die Einheilungsphase zur sofortigen postoperativen Eingliederung. Ein Zentrik-Registrat mit frontalem Jig gehörte ebenfalls zu den vorbereitenden Arbeitsschritten.

Da es sich bei dem Straumann PURE Ceramic Implantat um ein einteiliges System handelt (Abb. 3), ist eine sehr gründliche und detaillierte Planung der räumlichen Implantatposition erforderlich. Der Hersteller verweist dabei zu Recht ausdrücklich auf eine prothetisch orientierte Planung. Eine Vorgehensweise im Sinne des Backward Planning, also einer prothetisch orientierten „Rückwärtsplanung“, berücksichtigt dabei bereits vor der Implantatinsertion alle prothetisch relevanten Aspekte. Außer einer perfekt ausgerichteten Achse ist für die Implantatinsertion bei der Präparation des Implantatbetts auch die Berücksichtigung des interokklusalen Platzangebots von entscheidender Bedeutung.

Da die Praxis des Autors als Überweiserpraxis für prothetische, respektive implantatprothetische Rehabilitation organisiert ist und selbst keine implantatchirurgischen Maßnahmen durchführt, erfolgte die Implantatinsertion in der Praxis Dr. Lothar Römer, Fachzahnarzt für Oralchirurgie, Wiesbaden, mit der der Autor seit rund 17 Jahren regelmäßig hoch erfolgreich zusammenarbeitet. Dr. Römer verfügt über umfangreiche Erfahrungen mit mehreren Implantatsystemen von Premiumherstellern. In der Zusammenarbeit werden fast ausschließlich Straumann-Implantate inseriert.

Für den hier vorgestellten Fall wurde eine Röntgenmessschablone mit positioniertem Referenzkörper angefertigt und ein DVT erstellt (Abb. 4), um die ortsständige Knochenqualität zu überprüfen, pathologische Befunde im Operationsbereich auszuschließen sowie die vorgesehene Implantatposition zu überprüfen. Die Entscheidung fiel auf einen nicht navigierten, einzeitigen Eingriff ohne Augmentation in Leitungsanästhesie.

Implantatchirurgisches Vorgehen
Der operative Eingriff erfolgte in lokaler Anästhesie. Nach vertikaler Entlastungsinzision und Lappenbildung wurde der gut erhaltene Kieferkamm in Regio 36 freipräpariert. Die Implantatposition wurde durch Ankörnung des nivellierten Knochens festgelegt (Abb. 5) und die Aufbereitung des Implantatbettes entsprechend den Herstellervorgaben mittels aufsteigender Bohrersequenz ausgeführt (Abb. 6 und 7).

Dabei ist es von Vorteil, dass bei dem neuen Straumann PURE Ceramic Implant das Bohrprotokoll der Bone Level Implantate angewendet wird, eine Investition in ein neues Instrumentarium entfällt. Lediglich ein spezielles Eindrehwerkzeug, das der sterilen Implantatpackung als Einwegartikel beiliegt, wird benötigt, um das Implantat über die prothetische Plattform sicher fassen und inserieren zu können. Das hier inserierte 12 mm lange Implantat mit einem enossalen Durchmesser von 4,1 mm steht in zwei Höhen bezüglich der prothetischen Plattform – 4,0 mm (Farbcode schwarz) und 5,5 mm (Farbcode weiß) – zur Verfügung. Um auch noch intraoperativ das optimale Implantat sicher auswählen zu können, werden die jeweils farblich unterschiedlich gekennzeichneten sogenannten Positionsindikatoren für die jeweiligen Höhen der prothetischen Plattform in den verschiedenen Bohrschritten in die Knochenkavität platziert (Abb. 8). So lässt sich die optimale Aufbauhöhe des Implantats bestimmen und die Achsausrichtung kontrollieren. Da der Implantatkörper zu einem späteren Zeitpunkt nicht mehr durch Beschleifmaßnahmen korrigiert werden darf und die Achsausrichtung nach dem letzten Bohrschritt nicht mehr korrigiert werden kann, sollte die Auswahl der Höhe der prothetischen Plattform besonders sorgfältig – am besten schon bei der Operationsplanung – ausgewählt werden.

In dem vorliegenden Fall wurde ein Implantatkörper mit einer Höhe der prothetischen Plattform von 4 mm gewählt. Wie bereits erwähnt, muss nochmals ausdrücklich betont werden, dass systembedingt kein Teil des Keramik­implantatkörpers geschliffen werden darf. Jede Schleifmaßnahme führt zu Mikrosprüngen im Material, die eine deutliche Verringerung der strukturellen Integrität und damit eine Verringerung der Bruchfestigkeit des Implantatkörpers bewirkt.

Nach Auswahl des Implantats und Aufbereitung des Lagers entsprechend des Bohrprotokolls (Abb. 9 und 10) wurde das ausgewählte Implantat aus der Sterilverpackung entnommen und mithilfe des Einbringwerkzeuges in seine Endposition gebracht (Abb. 11 und 12). Das Keramikimplantat kann mithilfe des Winkelstücks, oder wie in diesem Fall, manuell eingesetzt werden, und wird dann mit einer drehmomentbegrenzten Ratsche eingedreht.

Anschließend erfolgten ein primärer Wundverschluss für die transgingivale Einheilung (Abb. 13) und eine postoperative Kontrollaufnahme (Abb. 14). Um während der hier gewählten zwölfwöchigen Einheilphase (laut aktueller Angabe des Herstellers beträgt die Einheilphase bei guter Knochenqualität lediglich sechs Wochen) Druckbelastungen sowohl durch Zungen- und Wangendruck als auch durch Kauen von dem einteiligen Implantatkörper fernzuhalten, wurde eine Schutzschiene auf der Grundlage des diagnostischen Wax-ups hergestellt, welche direkt postoperativ eingesetzt wurde (Abb. 15). Die Patientin wurde angewiesen, diese permanent, also auch zu den Mahlzeiten und während der Nacht, regelmäßig zu tragen.

Implantatprothetischer Ablauf

Es empfiehlt sich grundsätzlich, das Emergenzprofil direkt postoperativ, also schon während der Einheilphase, mit der zwischenzeitlich von Straumann angebotenen, in die Schulter der prothetischen Plattform einschnappenden Schutzkappe zu schützen. Im vorliegenden Fall wurde während der Einheilphase auf die Verwendung einer Schutzkappe verzichtet. Da es jedoch zu einer im positiven Sinne unerwartet massiven Weichgewebsanlagerung kam (Abb. 16), konnte die Abformkappe nach dreimonatiger Einheilzeit nicht mehr sicher auf dem Implantatkörper platziert werden. Es wurde deshalb entschieden, die Implantatschulter mikrochirurgisch minimalinvasiv freizulegen (Abb. 17). Diese Maßnahme ist bei Anwendung der jetzt zur Verfügung stehenden Schutzkappe nicht mehr erforderlich.

Die konfektionierten Straumann Abformkappen sind farblich kodiert (schwarz für eine Höhe der prothetischen Plattform von 4,0 mm und weiß für eine Implantataufbauhöhe von 5,5 mm). So lässt sich die richtige Abformkappe leicht auswählen. Die Abformkappe aus Kunststoff wird durch einen Schnappmechanismus über der Implantatschulter fixiert (Abb. 18). Anschließend wurde mit einem konfektionierten Löffel die geschlossene Abformung des Implantats mit einer Polyäthergummi-Abdruckmasse (Impregum) durchgeführt.

Für eine provisorische Versorgung stehen aktuell konfektionierte, unsterile Trägerkappen aus PMMA zur Verfügung. Das Provisorium kann anhand eines Standardverfahrens mit einer Schablone ohne großen Aufwand chairside hergestellt werden. Dabei sollte der gingivale Randbereich geschliffen und poliert werden, um ein glattes und reizloses Emergenzprofil zu erhalten und Gewebeirritationen zu vermeiden. Vor dem Einsetzen des Provisoriums wird die Lippe des Schnappmechanismus von der Provisoriumskappe z.B. mit einem Skalpell entfernt, damit überschüssiger Zement gut abfließen kann. Die provisorische Versorgung wird nach vorläufiger Angabe des Herstellers grundsätzlich außer Okklusion eingesetzt und kann bis zu sechs Monate im Mund verbleiben.

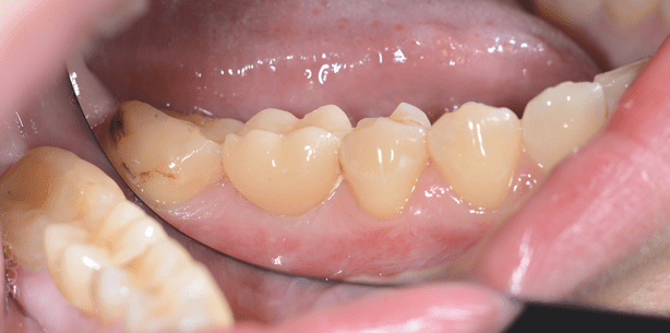
Auf eine postoperative Versorgung mit einer provisorischen Kappe wurde im vorliegenden Fall verzichtet (Abb. 19). Nach der Abdrucknahme wurde nur das Emergenzprofil mit der im wissenschaftlichen Prelaunch verfügbaren Schutzkappe gesichert. Im zahntechnischen Labor wurde anschließend die vollkeramische, monolithische Einzelzahnrestauration hergestellt (Abb. 20). Zur Herstellung des Meistermodells wählte das Dentallabor das passende konfektionierte Manipulierimplantat aus; insofern folgte die weitere prothetische Vorgehensweise den erprobten, zahntechnischen Herstellungsprotokollen. Bei der Kontrolle der implantatprothetischen Restauration 14 Tage nach Eingliederung zeigte sich klinisch eine gute biologisch-funktionelle und ästhetische Integration der metallfreien Restauration (Abb. 21). Insbesondere imponierte die sehr gute und vollkommen reizlose Anlagerung der periimplantären Weichgewebe.

Die Patientin soll nun in regelmäßigen Abständen zur Nachsorge in die Praxis kommen. Darüber hinaus stehen im Bereich der Nachbarzähne Revisionen an, die in Vereinbarung mit der Patientin bereits im Vorfeld der implantologischen Rehabilitation aus wirtschaftlichen Gründen zurückgestellt wurden. Für die Nachsorge empfiehlt Straumann ausschließlich Handscaler und Küretten auf Teflonbasis. Die Anwendung von Ultraschall durch metallische Überträger auf die Keramikimplantatoberfläche ist obsolet: Die Oberfläche würde hierdurch beschädigt werden. Abrasive Prophylaxepasten sowie Pulver-/Wasserstrahlreiniger sind für die Reinigung des Straumann PURE Ceramic Implantats ebenfalls laut Herstellerangabe nicht geeignet.

Fazit für die Praxis

Aus der Erfahrung des hier geschilderten Falles kann bei entsprechender Indikation und bei Vorhandensein der erforderlichen anatomischen Voraussetzungen der Einsatz des Straumann PURE Ceramic Implantatsystems in der täglichen Praxis befürwortet werden. Insbesondere hinsichtlich der zu erwartenden guten biologischen ­Verträglichkeit stellt dieses System sicherlich eine auch für die Patienten wertvolle Bereicherung des zahnärztlichen Behandlungsspektrums dar.

Zusammengefasst ergibt sich folgender Ausblick: Mit dieser keramischen Implantatlösung kann Patienten mit eingeschränkter Toleranz von metallischen Materialien sowie Patienten mit besonderen ästhetischen Erwartungen ein valides, vollkeramisches Implantatsystem mit höchster Biokompatibilität angeboten werden. Das Keramikimplantat ermöglicht Versorgungen in der ästhetischen Zone, auch wenn eine möglicherweise kompromittierte klinische Situation, zum Beispiel bei einem dünnen Gingivatyp, ein befriedigendes Ergebnis zweifelhaft erscheinen lässt. Die verlässliche vorklinische Erprobung und die produktspezifische Erfahrung des Herstellers untermauern den Qualitätsanspruch bei dieser Versorgungsart und geben Sicherheit in Bezug auf die erforderlichen physikalisch-werkstoffkundlichen Eigenschaften (Stichwort: Festigkeits-Check jedes einzelnen ausgelieferten Implantatkörpers).

Die ZLA-Oberfläche, die auf der sehr gut dokumentierten Technologie der SLA-Oberfläche beruht, weist eine schnelle und vorhersagbare Ossoeintegration auf, was für eine erfolgreiche Implantatbehandlung vorteilhaft ist. Auch hinsichtlich der doch sehr bedeutenden Weichgewebsanlagerung ergeben sich positive Erwartungen. Ein weiterer Vorteil ist, dass sich der chirurgische Eingriff im Protokoll und in Bezug auf das Instrumentarium nur unwesentlich von dem bereits umfangreich beschriebenen und vielfach erfolgreich praktizierten Verfahren des Herstellers unterscheidet, was den Ablauf des Eingriffs erleichterte.

Darüber hinaus stellen die Durchführung der prothetischen Maßnahmen von der Abformung bis zur Eingliederung keine ungewöhnlichen Anforderungen an den erfahrenen, prothetisch orientierten Zahnarzt dar und sind durch die entsprechenden, konfektionierten Hilfsteile grundsätzlich gut unterstützt. Einzig die Anforderungen an die stringent räumliche, präoperative Therapieplanung eines kompromisslos einteiligen Implantatsystems sind hoch einzuschätzen. Aufgrund der Einteiligkeit ist jedoch ein Austritt von Bestandteilen des Biofilms aus dem Inneren des Implantatkörpers, v.a. von Bakterientoxinen in das periimplantäre Gewebe, hier systembedingt ausgeschlossen – ein erheblicher Vorteil, mit Blick auf einer aus dieser Quelle sicheren Vermeidung periimplantärer Entzündungskomplikationen. Ein prothetisch orientiertes Vorgehen ist beim einteiligen PURE Ceramic Implantat eine Conditio sine qua non, denn nicht nur eine perfekte Achsausrichtung ist für die Implantatinsertion von entscheidender Bedeutung, sondern auch und besonders die Berücksichtigung der interokklusalen räumlichen Verhältnisse. Verbesserte Gewebeverträglichkeit, zugesicherte strukturelle Integrität, verringertes Infektionsrisiko und verbesserte Ästhetik im Sinne einer natürlichen, stabilen Versorgung machen Hoffnung auf eine solide und werthaltige Bereicherung des implantologischen Versorgungsspektrums.

Klinisches Bildmaterial von Dr. Thomas Schneucker.

Mehr Fachartikel aus Implantologie

ePaper