Implantologie 08.09.2015
Diabetes und Implantate
share
In der zahnärztlichen Praxis gehört der Diabetes mellitus zu den Erkrankungen, die mit am häufigsten von den Patienten in der allgemeinmedizinischen Anamnese genannt werden. Dementsprechend sollte der Einfluss dieser Erkrankung in zahnärztlichen Behandlungskonzepten berücksichtigt werden. Die zahnärztliche Implantologie ist zu einem Standardverfahren zur Behandlung partieller und vollständiger Zahnlosigkeit geworden. Im folgenden Artikel sollen die Auswirkungen des Diabetes mellitus auf implantologische Behandlungsmaßnahmen beleuchtet und darauf basierte Empfehlungen für die Praxis gegeben werden.
Epidemiologie
Nach aktuellen Schätzungen ist davon auszugehen, dass bei etwa sieben bis acht Prozent der erwachsenen Bevölkerung in Deutschland die Diagnose eines Diabetes Typ II bekannt ist.1,2 Die Dunkelziffer derjenigen, deren Diabetes bisher nicht diagnostiziert wurde, wird bei weiteren zwei Prozent der erwachsenen Bevölkerung vermutet.3 Die Diabetesprävalenz steigt ab dem 50. Lebensjahr kontinuierlich an und erreicht ab dem 70. Lebensjahr einen Wert von ungefähr 20 Prozent.4 In Deutschland ist bei der Altersgruppe der 55- bis 74-jährigen Personen pro Jahr mit etwa 270.000 Neuerkrankungen zu rechnen, damit gehört die Inzidenzrate zu den höchsten in Europa.5 Die Anzahl der Implantatversorgungen nimmt in Deutschland zu: Nach den Zahlen der Vierten Deutschen Mundgesundheitsstudie hatten in der Altersgruppe der Erwachsenen (35. bis 44. Lebensjahr), bei denen ein durchschnittlicher Zahnverlust von 2,7 Zähnen pro Proband gezählt wurde, 1,4 Prozent der Probanden mindestens ein Implantat, während in der Vorgängerstudie von 1997 (DMS III) Implantatversorgungen in dieser Altersgruppe statistisch noch nicht erfasst wurden.6 In der Alterskohorte der Senioren (65. bis 74. Lebensjahr) stieg der Anteil der mit implantatgetragenem Zahnersatz versorgten Personen von 0,7 Prozent (1997) auf 2,6 Prozent an. In dieser Altersgruppe fehlten den untersuchten Patienten durchschnittlich 14,2 Zähne, 22,6 Prozent waren vollständig zahnlos. Damit ist trotz der gegenüber der DMS III (1997) rückläufigen Zahl extrahierter Zähne und der geringeren Zahl der Zahnlosen gerade in der Altersgruppe, in der auch die Prävalenz des Diabetes am höchsten ist, weiterhin mit einem erheblichen prothetischen Versorgungsbedarf zu rechnen. Dieser wird zunehmend auch mithilfe implantologischer Versorgungen realisiert. Nach den Zahlen einer Marktstudie wurden zum Beispiel im Jahr 2011 allein in Deutschland etwa 500.000 Implantate inseriert.7
Seit Langem wird der Zusammenhang zwischen einer Diabeteserkrankung und dem Fortschreiten der Parodontitis diskutiert. Bei Diabetikern mit unzureichender Einstellung des Blutglukosespiegels ist mit einer verstärkten parodontalen Gewebedestruktion zu rechnen, wobei der durchschnittliche klinische Attachmentverlust signifikant erhöht ist. Ebenso ist die Regenerationsfähigkeit des Gewebes reduziert.8 Wichtig ist hierbei, hervorzuheben, dass nicht die Diabetesdiagnose an sich, sondern eine länger andauernde Hyperglykämie als Kennzeichen des schlecht kontrollierten Diabetes mit zusätzlichen parodontalen Problemen assoziiert ist. Es besteht eine direkte Korrelation zwischen dem Ausmaß der Hyperglykämie und den parodontalen Sondierungstiefen.9 Bei guter metabolischer Einstellung kann hingegen mit einem ähnlichen Krankheitsverlauf und ähnlichen Therapieresultaten wie bei Nichtdiabetikern gerechnet werden. Die Parodontitis muss also als typische Komplikation einer länger bestehenden Hyperglykämie angesehen werden.10
Ein großer Teil der Zahnverluste im Erwachsenen- und Seniorenalter tritt als Folge einer fortgeschrittenen Parodontitis auf. Daher ist es naheliegend, dass bei Diabetikern häufiger mit Zahnverlusten und auch mit völliger Zahnlosigkeit zu rechnen ist. In einer Untersuchung an 2.508 Personen, die 50 Jahre und älter waren, war das Risiko der Zahnlosigkeit bei Diabetikern um den Faktor 2,25 erhöht. Diabetikern fehlten im Durchschnitt 9,8 Zähne, den Personen ohne Diabetesdiagnose nur durchschnittlich 6,7 Zähne.11 Bezüglich des Zahnverlustes ist anzunehmen, dass auch dieser mit den Auswirkungen der andauernden Hyperglykämie im Zusammenhang steht. Diese Annahme wird unter anderem durch die Ergebnisse einer prospektiven Studie bestätigt, in der 92 Personen über einen Zeitraum von fünf Jahren in der unterstützenden Parodontitistherapie beobachtet wurden. Hierbei wurde das Fortschreiten der parodontalen Destruktion und das Risiko des Zahnverlustes in Abhängigkeit von der Stoffwechselkontrolle – gemessen am prozentualen Anteil des glykosylierten Hämoglobins (HbA1c) – untersucht. Bei Probanden mit schlechter glykämischer Kontrolle (HbA1c > 6,5 %) zeigte sich ein um den Faktor 3,1 erhöhtes Risiko des Zahnverlustes. Bei Probanden, die zusätzlich rauchten, war das Risiko bis um den Faktor 4,1 erhöht.12
Die Tatsache, dass die Parodontitis bei Diabetikern ein besonderes Problem darstellt, hat mehrere Konsequenzen für die implantologische Versorgung dieser Patientengruppe: Ein erhöhter Zahnverlust aufgrund des verstärkten parodontalen Gewebeverlustes beim Diabetiker löst einen erhöhten prothetischen Versorgungsbedarf und damit eine verstärkte Nachfrage auch nach implantologischen Behandlungen aus. Die Wiederherstellung einer guten Kaufunktion auch durch implantatgetragenen Zahnersatz kann ein wichtiger Beitrag zur diätetischen Einstellung des Patienten sein.13,14
Zahnverluste als Folge parodontaler Destruktionen sind in der Regel mit Defekten des Alveolarfortsatzes vergesellschaftet, was wiederum den Bedarf an zusätzlichen chirurgischen Interventionen zu dessen Rekonstruktion zur Schaffung eines adäquaten Implantatlagers steigert. Außerdem kann die erhöhte Prävalenz der Parodontitis beim Diabetiker ein zusätzliches Problem für den langfristigen Erfolg der implantologischen Therapie darstellen, da eine bestehende Parodontitis als Risikofaktor für periimplantäre Entzündungen angesehen wird.15,16

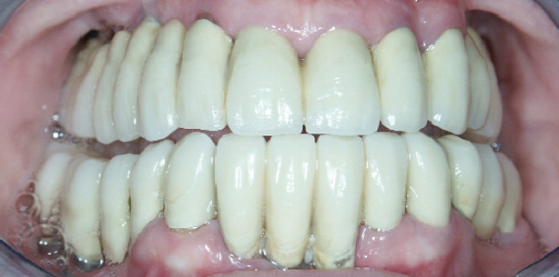
Abb. 1 und 2: Klinisches Bild und Orthopantomogramm einer 46-jährigen Diabetikerin zwei Jahre nach Abschluss einer implantologischen und prothetischen Behandlung, massive parodontale und periimplantäre Knochendestruktion.
Diabetes und Implantateinheilung
Eine andauernde Hyperglykämie hat eine Reihe von Auswirkungen auf die Knochenheilung. Dazu gehören eine verminderte Osteoblastenaktivität, eine veränderte Reaktion des Kalzium- und Phosphat-Metabolismus auf Parathormon, eine reduzierte Kollagenbildung bei der Kallusformation und eine erhöhte Osteoklastenaktivität bei Vorhandensein chronisch entzündlicher Prozesse. Die Konsequenz daraus ist eine reduzierte Knochenbildung während des Heilungsprozesses.17,18 Als möglicher Mechanismus wird unter anderem der Einfluss der beim Diabetes vermehrt auftretenden Endprodukte der fortgeschrittenen Glyosylierung (Advanced Glycation End Products, AGE) diskutiert.19 AGEs sind die Folge der Bindung von Glukose an freie Aminogruppen von Proteinen und bewirken die Freisetzung von entzündungsfördernden Zytokinen sowie die Apoptose von Fibroblasten und Osteoblasten. Das führt wiederum zu einem verstärkten Gewebeabbau und einem geringeren Kollagen- und Knochenaufbau.20
Im Tierversuch konnte nachgewiesen werden, dass die Medikation mit Metformin die Knochenheilung bei diabetischen Ratten so weit verbessern kann, dass keine Unterschiede bezüglich der Knochendichte, dem Knochen-Implantat-Kontakt und der Anzahl der Knochentrabekel gegenüber gesunden Kontrolltieren nachweisbar waren.21 Ähnliche Effekte auf die Knochendichte und den Knochen-Implantat-Kontakt ließen sich in Tierversuchen auch bei Insulingabe beobachten.22,23 Als Folge des geringeren Knochen-Implantat-Kontaktes bei Versuchstieren mit Hyperglykämie war ebenfalls eine geringere Implantatstabilität – gemessen am Ausdrehmoment – festzustellen. Bei Insulinsubstitution ergeben sich keine Abweichungen gegenüber gesunden Tieren.24
Die Knochendichte ist ein wichtiger Faktor für die primäre Stabilität und damit für die störungsfreie Einheilung eines Implantates. In einer Humanstudie, in der die Knochendichte mittels der dentalen Volumentomografie (DVT) untersucht wurde, zeigte sich ein reziprokes Verhältnis zwischen dem HbA1c-Wert und der Knochendichte im posterioren Unterkieferbereich.25 Für die Implantateinheilung scheint wiederum weniger die Diabetesdiagnose an sich als die Qualität der glykämischen Kontrolle ausschlaggebend zu sein. In einer Studie mit 117 zahnlosen Patienten, die jeweils zwei Implantate im interforaminalen Bereich des Unterkiefers zur Retention einer Deckprothese erhielten, wurde die Einheilung anhand der Implantatstabilität, gemessen mittels Resonanzfrequenzanalyse, bewertet. Während sich die Ergebnisse bezüglich des Implantatüberlebens im ersten Jahr der funktionellen Belastung zwischen gesunden Probanden und Diabetikern mit gut oder aber schlecht eingestelltem Diabetes nicht signifikant unterschieden (99 Prozent vs. 98,9 Prozent vs. 100 Prozent), war eine unterschiedliche Implantatstabilität in Abhängigkeit vom glykämischen Status festzustellen: Bei der Implantatinsertion wurden keine signifikanten Unterschiede in der Stabilität zwischen den Gruppen festgestellt. In allen Gruppen nahm die Implantatstabilität in der unbelasteten Einheilphase von vier Monaten und während der ersten Belastungsphase zu. Keine signifikanten Unterschiede bestanden zwischen Gesunden und Diabetikern mit guter Stoffwechselkontrolle, bei Patienten mit schlechter Stoffwechselkontrolle war eine langsamere Zunahme der Implantatstabilität während der frühen Belastungsphase und eine größere Anzahl von Implantaten mit geringerer Stabilität zu beobachten.26 Es wird davon ausgegangen, dass die Implantatstabilität bei hohen HbA1c-Werten nicht durch Modifikationen der Implantatoberfläche beeinflusst werden.27,28
Erfolgs- und Überlebensraten
In der Literatur zu den Ergebnissen implantologischer Behandlungen werden regelmäßig Erfolgs- und/oder Überlebensraten genannt. Der Begriff „Implantatüberleben“ bedeutet in der Regel nur, dass das fragliche Implantat zum (Nach-)Untersuchungszeitpunkt in der Mundhöhle der untersuchten Person vorhanden ist. Für einen „Implantaterfolg“ werden hingegen eine Reihe von Bedingungen aufgestellt, die irreführend vom bloßen Verbleib des Implantates im Kiefer ausgehen können, meist aber zusätzlich die Parameter „Beschwerdefreiheit“, „Entzündungsfreiheit“, „fehlende Mobilität“ und einen Höchstwert für den periimplantären Knochenverlust über den Untersuchungszeitraum beinhalten. Seit Langem im Gebrauch sind beispielsweise die Kriterien von Albrektsson et al. (1986) und Buser et al. (1991), die original oder in modifizierter Form in zahlreichen Studien als Bewertungsgrundlage dienen.29,30 Die Vergleichbarkeit der Studienergebnisse ist dadurch eingeschränkt, dass keine einheitlichen Erfolgskriterien zur Anwendung kommen.
Die Überlebensraten für Implantate bei Diabetikern im Vergleich zu Gesunden sind in einer Vielzahl von Untersuchungen angegeben worden. Klokkevold und Han (2007) nennen in ihrem systematischen Review eine Überlebensrate von 91,7 Prozent bei Diabetikern gegenüber 93,2 Prozent bei Gesunden bei einem Beobachtungszeitraum von bis zu fünf Jahren.31 In einer Metaanalyse von 2014 konnten hingegen keine unterschiedlichen Überlebensraten gefunden werden. Allerdings war der durchschnittliche periimplantäre Knochenverlust und die Sondierungsblutung (Bleeding on Probing – BOP) bei den Nichtdiabetikern geringer.32 Die Autoren sehen die Aussagekraft der Ergebnisse dadurch eingeschränkt, dass in vielen Studien keine oder nur grobe Angaben zur Stoffwechseleinstellung der Diabetiker gemacht wurden und genaue Angaben etwa zum HbA1c-Wert fehlten. Häufig wird nur von „gut eingestellten Diabetikern“ gesprochen. In einer Nachuntersuchung von insgesamt 13.147 Implantaten über einen Beobachtungszeitraum von bis zu acht Jahren konnte Diabetes ebenfalls nicht als signifikanter Risikofaktor für Implantatverluste identifiziert werden.33
Im Gegensatz dazu berichten Zupnik et al. über ein signifikant erhöhtes Misserfolgsrisiko bei Diabetikern (Odds Ratio – OR = 2,59).34 Bornstein et al. beschreiben in ihrem Review, dass die ausgewerteten Studien ein uneinheitliches Bild bezüglich der Ergebnisse der Implantattherapie bei Diabetikern zeigen.35 Olson et al. fanden in ihrer prospektiven Studie Hinweise darauf, dass ein zum Implantationszeitpunkt schon länger bestehender Diabetes ein erhöhtes Risiko für spätere Implantatverluste darstellt.36
In den systematischen Reviews von Javed und Romanos und Kotsakis et al. wird die Abhängigkeit des Implantatüberlebens von der glykämischen Kontrolle dargestellt: Eine erhöhte Misserfolgsrate zeigte sich nur bei Patienten mit schlecht kontrolliertem Diabetes.37,38 Bei guter Stoffwechselkontrolle wichen die Ergebnisse nicht von denen gesunder Vergleichspersonen ab. Diese Aussage wird in weiteren Reviews bestätigt.13,39,40 Ein vergleichbares Ergebnis zeigt eine kürzlich publizierte Studie, die über Einzelzahnimplantate im anterioren Bereich des Oberkiefers (Regio 14 bis 24) berichtet. Die Implantate wurden als Sofortimplantate direkt nach der Zahnextraktion inseriert und sofort mit einer provisorischen Restauration mit reduziertem Kaudruck belastet. Die Probanden wurden nach ihrer Stoffwechselsituation zum Insertionszeitpunkt in drei Gruppen eingeteilt (HbA1c < 6/6,1–8/> 8,1–10) und über zwei Jahre beobachtet. Über die Studiendauer hinweg wurden signifikante Unterschiede bezüglich des Implantatüberlebens (100 Prozent/96,6 Prozent/86,3 Prozent), des periimplantären Knochenverlustes (0,72 mm/0,98 mm/1,92 mm) und der Sondierungsblutung (BOP: 44 Prozent/51 Prozent/74 Prozent) gefunden.41 Die Unterschiede zwischen den Gruppen fallen geringer aus, wenn bei sonst gleichem Studiendesign die Implantate vier Monate nach der Extraktion inseriert werden.42 Dies ist ein Hinweis darauf, dass ein risikoreicheres Vorgehen wie die Sofortimplantation gerade bei ungünstiger Stoffwechsellage im erhöhten Maß anfällig für Komplikationen sein kann.
Die präoperative Gabe eines Antibiotikums (2 g Amoxicillin eine Stunde vor Implantation, bei Penicillinallergie alternativ 600 mg Clindamycin) kann die Zahl der Implantatmisserfolge reduzieren. Esposito et al. errechnen in ihrem systematischen Review, dass die präoperative Antibiotikagabe an 25 Patienten einen Patienten vor einem frühen Implantatverlust bewahrt.43 Die prophylaktische Wirkung der Antibiose scheint bei Diabetikern ausgeprägter zu sein als bei gesunden Vergleichspersonen: Durch eine präoperative Antibiose konnte die Drei-Jahres-Überlebensrate bei Typ-II-Diabetikern von 86,6 auf 97,1 Prozent gesteigert werden, in der Vergleichsgruppe von 90,6 auf 95,1 Prozent.44 Daher kann eine Empfehlung für die präoperative Antibiose bei Diabetikern ausgesprochen werden.45–47
Augmentative Maßnahmen bei bestehendem Diabetes
Die Möglichkeiten der prothetischen Versorgung durch Implantate in den Regionen, in denen primär kein oder nicht genügend ortsständiger Knochen zur Verfügung steht, werden durch präprothetisch-chirurgische augmentative Maßnahmen erweitert. Zur Verbesserung des lokalen Knochenangebotes in horizontaler und vertikaler Richtung haben sich eine Vielzahl operativer Techniken etabliert. Durch zusätzliche operative Maßnahmen steigt allerdings auch die Häufigkeit von Komplikationen, welche sich letztendlich auf eine erhöhte Implantatverlustrate auswirken können. Beim Diabetes wird aufgrund der schlechteren mikrovaskulären Situation mit einer erhöhten Komplikationsrate gerechnet. Deshalb galt Diabetes bei einigen Autoren als eine relative Kontraindikation für Implantate und/oder augmentative Maßnahmen.48
Die Datenlage bezüglich der Erfolgsaussichten von augmentativen Verfahren beim Diabetes ist wenig aussagekräftig. Diabetiker sind oft bei klinischen Studien zu augmentativen Verfahren ausgeschlossen. Wenige Studien beschäftigten sich explizit mit der Heilung nach Augmentationen bei Diabetikern.49–52 Eine Reihe klinischer Studien hat gezeigt, dass bei gesunden Probanden mit lateralen Augmentationstechniken gute Langzeitergebnisse zu erzielen sind.53 In einer tierexperimentellen Studie wurde beschrieben, dass die Knochenneubildung durch gesteuerte Knochenregeneration (Guided Bone Regeneration = GBR) bei schlecht eingestelltem Diabetes wegen einer erhöhten Infektionsrate weniger vorhersagbar ist. Durch Insulinsubstitution konnten die Heilungsergebnisse verbessert werden.54
In einer Studie von Erdogan et al. wurden insgesamt 43 Implantate bei 24 Patienten in augmentierten Knochen beobachtet, davon wurden 22 Implantate bei gut eingestellten Diabetikern (HbA1c-Wert zwischen 6 und 7,5 Prozent), die übrigen bei gesunden Vergleichspersonen inseriert. Die Augmentation erfolgte bei allen Patienten fünf Monate vor Implantation als GBR mit einer Mischung aus autologen Knochenspänen und synthetischem Knochenersatzmaterial (BoneCeramic®) und einer resorbierbaren Kollagenmembran (Bio-Gide®). Bei der Implantation konnten Biopsien des augmentierten Knochens zur histologischen Beurteilung gewonnen werden. Die Implantaterfolgsrate in der Diabetikergruppe lag bei 95 Prozent, in der Kontrollgruppe bei 100 Prozent. Es wurden keine Unterschiede bezüglich der Knochenheilung zwischen beiden Gruppen gefunden.55
In der Studie von Tawil et al. werden die Ergebnisse unterschiedlicher Augmentationen bei Typ-II-Diabetikern beschrieben.52 Eine GBR-Methode wurde bei 20 Patienten angewandt, und bei 34 Patienten wurde eine Sinusbodenelevation durchgeführt. Die Überlebensrate der Implantate betrug 85 Prozent nach GBR und 91 Prozent nach Sinuslift, die postoperativen Komplikationen waren abhängig von der Höhe des HbA1c-Wertes. Huynh-Ba et al. konnten einen bestehenden Diabetes im Gegensatz zum Rauchen nicht als eigenständigen Risikofaktor bei der Sinusbodenelevation identifizieren.51
Schwartz-Arad et al. berichten in ihrer retrospektiven Studie über die Ergebnisse von Onlayplastiken mit intraoral gewonnenen Knochenblöcken.50 Wegen einer hohen Misserfolgsrate stufen sie Rauchen und Diabetes als Kontraindikationen für diese Therapieform ein, der Stoffwechselstatus der Diabetiker wird in dieser Studie nicht angegeben. Aufgrund der geringen vorliegenden Evidenz ist mit Vorsicht zu folgern, dass bei gut eingestellten Diabetikern zumindest begrenzte kombiniert augmentativ-implantologische Behandlungen mit einer zufriedenstellenden Erfolgsrate durchgeführt werden können. Zusätzliche Risikofaktoren wie das Rauchen sollten ausgeschlossen werden.
Mukositis/Periimplantitis
Periimplantäre Erkrankungen wie Mukositis und Periimplantitis werden mit der zunehmenden Verbreitung oraler Implantate zu einem immer größeren Problem in der zahnärztlichen Praxis. Schätzungen auf Basis der vorhandenen Literatur gehen davon aus, dass bis zu 80 Prozent der Patienten und 50 Prozent der Implantate von einer periimplantären Mukositis und 28 bis 56 Prozent der Patienten bzw. 12 bis 43 Prozent der Implantate von einer Periimplantitis betroffen sind.56
Anhand der vorliegenden Evidenz ist noch keine abschließende Aussage möglich, ob Diabetes die Inzidenz einer Periimplantitis erhöht.57 In einer aktuellen Studie wird der Zahnverlust durch Parodontitis als Risikofaktor für eine Periimplantitis identifiziert.58 Da ein bestehender Diabetes die Anfälligkeit für eine Parodontitis erhöht, wäre auch ein Zusammenhang mit der Inzidenz der Periimplantitis zu vermuten.8 Nach Daubert et al. und Ferreira et al. besteht ein erhöhtes Periimplantitisrisiko in Abhängigkeit von Diabetes zum Implantationszeitpunkt und später vom parodontalen Status des Patienten.59,60 Eine ähnliche Aussage findet sich im Konsensusreport des 6. Europäischen Workshops für Parodontologie.61 Für das Periimplantitisrisiko ist wiederum die Stoffwechselkontrolle beim Diabetiker und weniger die Diabetesdiagnose als solche bedeutsam.62 Der periimplantäre Knochenverlust steht in Abhängigkeit vom HbA1C-Wert.42
Zusammenfassung und klinische Empfehlungen
Aus den in der aktuellen Literatur gefundenen Ergebnissen lassen sich verschiedene Schlussfolgerungen für die implantologische Therapie bei Diabetikern in der zahnärztlichen Praxis ziehen.
1) Aufgrund der zufriedenstellenden Überlebens- und Erfolgsraten, die für die implantologische Therapie bei Diabetikern angegeben werden, muss ein bestehender Diabetes nicht zwangsläufig als Kontraindikation für eine ansonsten indizierte Implantation angesehen werden.
2) Komplikationen bei der Implantateinheilung, bei zusätzlichen Augmentationen und während der Erhaltungsphase sind weniger von der Diabetesdiagnose als von der Kontrolle des glykämischen Status abhängig. Dieser Befund sollte zur Konsequenz haben, dass vor Beginn der implantologischen Therapie der Kontakt zum betreuenden Internisten oder Diabetologen im Sinne einer interdisziplinären Zusammenarbeit mit dem Ziel aufgenommen wird, stets über die aktuelle Stoffwechselsituation des Patienten informiert zu sein, beziehungsweise die Einstellung des Stoffwechsels vor Implantation zu verbessern. Eine Implantation ist keine unmittelbar notwendige, nicht aufschiebbare Behandlung. Daher wird die zur Optimierung des glykämischen Status notwendige Zeitspanne immer einzuplanen sein. Der Patient muss vor der Behandlung darüber informiert werden, dass die Aufrechterhaltung einer guten Stoffwechseleinstellung einen wesentlichen Erfolgsfaktor für die Implantatversorgung darstellt.
3) Wegen der bekannten Wechselwirkungen zwischen Diabetes und Parodontitis einerseits und Parodontitis und periimplantären Erkrankungen andererseits ist bei Diabetikern im besonderen Maße auf eine sorgfältige antiinfektive Therapie vor Implantation und auf die kontinuierliche Erhaltung eines entzündungsfreien parodontalen und periimplantären Zustandes zu achten. Hier muss der Patient durch entsprechende Information als Co-Therapeut gewonnen werden, um die gerade für das erfolgreiche Management chronischer Erkrankungen unverzichtbare Compliance sicherzustellen.
4) Die vorhandenen Studienergebnisse begründen nachhaltig den Nutzen einer präoperativen Antibiose bei Diabetikern.
5) Die bisher verfügbare Evidenz zu augmentativen Maßnahmen bei Diabetikern ist derzeit noch sehr gering. Anhand der vorliegenden Studien sind laterale Augmentationen mittels der GBR-Technik und Sinusbodenelevationen bei guter glykämischer Einstellung grundsätzlich möglich. Aufgrund der unsicheren Datenlage für ausgedehntere Augmentationen sollte bei der Behandlungsplanung im Zweifelsfall eine weniger invasive und damit risikoärmere Strategie gewählt werden und alternativen prothetischen Behandlungskonzepten – konventionellem statt implantatgetragenem Zahnersatz oder herausnehmbarem, implantatretiniertem statt festsitzendem Zahnersatz auf Implantaten – der Vorzug gegeben werden.
Zukünftig sollte dem Zusammenhang zwischen periimplantären Entzündungen und dem Diabetes vermehrte Aufmerksamkeit gewidmet werden. Der Einfluss der Parodontitis als chronisch entzündlichem Geschehen auf die Pathogenese des Diabetes ist Gegenstand zahlreicher Untersuchungen geworden.63,64 Ebenso gibt es eine Reihe von Hinweisen, die darauf hindeuten, dass die erfolgreiche Therapie der chronischen Parodontitis einen positiven Effekt auf den Verlauf eines Diabetes haben kann.65 Trotz der strukturellen anatomischen Unterschiede zwischen Parodontium und periimplantären Geweben und der Folgerung daraus, dass Parodontitis und Periimplantitis keine identische Pathologie aufweisen, sind doch deutliche Parallelen der pathologischen Abläufe bei der Parodontitis einerseits und der Periimplantitis andererseits festzustellen.66 Daraus erwächst die Frage, ob nicht chronische periimplantäre Entzündungen einen ähnlich ungünstigen Einfluss auf einen Diabetes haben können, wie es von der Parodontitis bekannt ist. Zu diesem Gesichtspunkt sind bisher kaum Daten vorhanden. An einzelnen klinischen Fällen (s. als Beispiel Abbildungen 1 und 2) konnte ein Zusammenhang zwischen ausgedehnten periimplantären Entzündungen und dem glykämischen Status beobachtet werden. Weitere Untersuchungen wären aufgrund der epidemiologischen Bedeutung des Diabetes und zunehmend auch der periimplantären Erkrankungen dringend erforderlich. Es ist sicherlich nicht wünschenswert, dass als Folge einer zahnmedizinischen Maßnahme der Ausgangspunkt für orale Pathologien gesetzt wird, die zur Verschlechterung einer Allgemeinerkrankung beitragen können. In Konsequenz dieser Überlegungen muss beim Diabetiker alles daran gesetzt werden, periimplantären Pathologien entgegenzuwirken. Dies beginnt bei einer zurückhaltenden Patientenselektion und einer risikominimierenden Therapieplanung und setzt sich fort über die sorgfältige antiinfektiöse Vorbehandlung bis hin zur engmaschigen Nachsorge im Rahmen der unterstützenden Implantattherapie (UIT).
Co-Autorin: Dr. Silke Hornstein
Eine ausführliche Literaturliste finden Sie hier.