Implantologie 02.11.2018

Prothetische Versorgung mit Blick auf den parodontalen Status



Prothetische Versorgung mit Blick auf den parodontalen Status

Foto: Autor

Die Zahngesundheit der deutschen Bevölkerung befindet sich im Wandel. Aus der letzten Mundgesundheitsstudie (DMS V) geht hervor, dass immer mehr Menschen ihre Zähne bis ins hohe Alter behalten. Dies wurde unter anderem auch durch Fortschritte in der konservierenden und prothetischen Versorgung erreicht. Mit dem zunehmenden Alter der Patienten treten nun andere Probleme in den Fokus. Die vorhandenen Zähne haben häufig eine parodontale Schädigung. War früher eine Entscheidung über den Erhalt eines Zahns aus prothetischer Sicht noch einfach zu treffen, ist heute eine fundierte parodontale Einschätzung unerlässlich geworden.

Zusammen mit dem Patienten sollte ein individuelles Versorgungskonzept erarbeitet werden, denn ohne die Mitarbeit des Patienten limitiert sich aus parodontal-prothetischer Sicht eine langfristige Erhaltungswürdigkeit der Bezahnung. Eine „radikalere“ Lösung muss gefunden werden. Durch etablierte Verfahren wie die Implantologie ist es heute möglich, in Form von strategischen Implantaten einen herausnehmbaren Zahnersatz zu umgehen. Dies ermöglicht gerade im parodontal geschädigten Gebiss neue Möglichkeiten.In diesem Artikel wird auf die einzelnen Grundgedanken einer parodontal-prothetischen Planung eingegangen und diese dann an Patientenfällen beispielhaft dargestellt.

Prognose und Wertigkeit

Die Prognose und die prothetische Wertigkeit von Zähnen gehen häufig weit auseinander. So kann die Prognose eines parodontal stark vorbelasteten Zahns noch gut, die prothetische Wertigkeit für die geplante prothetische Versorgung jedoch nicht gegeben sein. Dadurch kommt es je nach Therapieplanung zu Extraktionen von Zähnen mit guter parodontaler Prognose, um eine prothetisch langlebige Arbeit anfertigen zu können. Dies hängt von verschiedenen Faktoren ab und wird für ein parodontal-prothetisches Gesamtkonzept zunächst je Zahn bewertet. So sind Taschensondierungstiefen, Bluten und Suppuration auf Sondieren, Röntgenbefund, Lockerungsgrad und eine ggf. vorliegende Furkationsbeteilung maßgeblich für die Prognose des einzelnen Zahns. Die Rezession spielt nur eine untergeordnete Rolle.

Nach der abschließenden Einzelbewertung der Zähne werden die „hoffnungslosen“ Fälle als extraktionswürdig eingestuft. Danach erfolgt die Bewertung der Gesamtsituation des Patienten. Diese kann dazu führen, dass noch weitere Zähne als nicht erhaltungswürdig einzustufen sind, wobei je nach Situation individuell abgewägt werden muss. Je mehr ungünstige Voraussetzungen ein Zahn aufweist, desto schlechter wird seine Prognose. In einer geschlossenen Zahnreihe kann zum Beispiel ein solcher kritischer Zahn oder auch mehrere belassen werden. Dies trifft zu, solange beim Patienten keine Beschwerden vorliegen oder von dem Zahn kein gesundheitliches Risiko ausgeht. Die Extraktion eines Zahns schafft in der Regel eine prothetische Versorgungsnotwendigkeit. Es sei denn, es ist ein endständiger Zahn. In diesem Fall spricht man beim Belassen der Situation von einer verkürzten Zahnreihe. Gerade in Fällen mit mehreren kritischen Zähnen müssen vor der prothetischen Versorgung häufig mehr Zähne entfernt werden, als initial Lücken bestehen und versorgt werden müssten. So kann zum Beispiel ein wurzelkanalbehandelter Prämolar eine schlechte Pfeilerwertigkeit besitzen, sofern dieser als endständiger Pfeiler in eine herausnehmbare Versorgung integriert werden soll. In einer geschlossenen Zahnreihe hat derselbe wurzelkanalbehandelte Prämolar aber eine gute Wertigkeit, wenn zum Beispiel die Notwendigkeit einer Überkronung dieses einzelnen Zahns besteht. Er wird von den ihn umgebenden Zähnen geschützt.

Prognose und Wertigkeit von parodontal vorgeschädigten Zähnen

Aktuelle Behandlungstechniken zeigen, dass auch parodontal stark befallene oder hoffnungslose Zähne über einen langen Zeitraum erhalten werden können (Cortellini et al. 2011, Schlagenhauf 2013). Diese Techniken helfen in vielen Situationen, Zähne zu erhalten und wenn überhaupt, erst zu einem späteren Zeitpunkt zu ersetzen. Wichtigster Parameter bei der Prognose von parodontal vorgeschädigten Zähnen ist das Bluten auf Sondieren. Ist keine Blutung zu erkennen, kann von einer entzündungsfreien Situation ausgegangen werden. Sofern der Zahn keine weiteren Gründe aufzeigt, die eine Extraktion unumgänglich machen, kann dieser mit großer Sicherheit erhalten bleiben. Voraussetzung ist eine suffiziente Parodontaltherapie. Diese umfasst sowohl die initiale Behandlung als auch eine unterstützende Parodontaltherapie (UPT) welche, je nach Schwere der Erkrankung, ein- bis viermal jährlich stattfinden sollte (Pretzl and Bäumer 2012, Pretzl et al. 2008). Der langfristige Erhalt von parodontal geschädigten einwurzeligen Zähnen ist weniger riskant als bei mehrwurzeligen Zähnen, vor allem, wenn es noch zu einer Beteiligung der Furkation kommt. Ein Erhaltungsversuch ist gerade in der geschlossenen Zahnreihe aber auch hier empfehlenswert (Müller et al. 2017, Dannewitz et al. 2006, Dannewitz et al. 2016). Ist es bereits zu einem Verlust von Zähnen gekommen, kommt es darauf an, welche Form der weiteren prothetischen Versorgung geplant ist. Kommen Implantate zum Einsatz, werden parodontal geschädigte Zähne mit unklarer Langzeitprognose eher entfernt, als wenn nicht implantatgetragener Zahnersatz angefertigt wird.

Fall 1

Ein 28-jähriger Patient stellte sich mit stark erhöhten Taschensondierungstiefen, Bluten auf Sondieren an allen Zähnen, teilweise stark gelockerten Zähnen und bis zu 90 Prozent Knochenverlust vor (Abb. 1a und b). Mit Blick auf die Prognose der Zähne kann hier für alle Zähne, außer der Eckzähne und der ersten Molaren im Unterkiefer, der Status „schlecht bis hoffnungslos“ angegeben werden (Knochenverlust über 70 Prozent oder Furkationsbefall mit Knochenverlust 30 bis 50 Prozent, Lockerungsgrad III). Neben dem zum Teil massiven Knochenverlust sollte beachtet werden, dass es sich hierbei um eine in beiden Kiefern geschlossene Zahnreihe handelt. Der Patient berichtet von keinerlei Beschwerden außer der gelockerten Ober- und Unterkieferfront. Eine Extraktion und anschließende prothetische Versorgung, ob mit oder ohne Implantate, würde die Ursache für den stark vorangeschrittenen Knochenverlust, speziell im Hinblick auf das junge Alter, nicht weiter beachten. Ein Belassen der Zähne würde eine notwendige Versorgung in die Zukunft verschieben (Lundgren et al. 2008). Die Bewertung der hoffnungslosen Zähne sieht im Kontext des Alters und der geschlossenen Zahnreihe mit Blick auf die Beschwerdefreiheit anders aus. Trotz der Nichterhaltungswürdigkeit würde von einer Extraktion aus parodontaler Sicht abgesehen werden. Eine semipermanente Schienung der Ober- und Unterkieferfront in Kombination mit einer systematischen Parodontaltherapie und Überführung in ein engmaschiges Recall (viermal jährlich) kann in diesem Fall eine Zahnersatzversorgung und damit einhergehende umfangreiche Extraktionstherapie in die Zukunft verschieben.

Fall 2

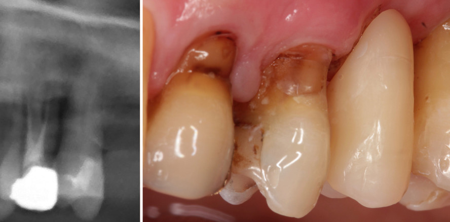
Ein Patient, welcher sich nach erfolgter Initialtherapie seit längerer Zeit zweimal jährlich für die unterstützende Parodontitistherapie vorstellte, äußerte Beschwerden an Zahn 26. Die Sondierungstiefen waren im tolerierbaren Bereich bis 4 mm ohne Bluten auf Sondieren, jedoch mit sondierbarer Furkation und einem deutlichen Attachmentverlust (Abb. 2a). Zahn 27 war schon vor längerer Zeit verloren gegangen. Aufgrund der geäußerten Beschwerden musste von einer Pulpitis ausgegangen werden. Um den Zahn weiterhin zu erhalten, wurde eine Wurzelkanalbehandlung durchgeführt (Abb. 2b). Dies hatte primär eine Besserung zur Folge, war jedoch nicht von langer Dauer, sodass der Zahn extrahiert werden musste. Die entstandene Lücke sollte vollständig versorgt werden. Nach externem Sinuslift und sechsmonatiger Abheilungsphase wurden zwei Implantate ein- gegliedert und mit verschraubten Suprakonstruktionen versorgt (Abb. 2c). Das Implantat-Kronen-Verhältnis ist mit 1:1 unbedenklich. Wichtiger ist die Reinigungsfähigkeit, welche gegeben sein muss. Dies ist speziell in Regio 27/28 zu beachten.

Der Vorteil dieser Art der Versorgung liegt darin, dass keine weiteren Zähne beschliffen werden müssen und eine festsitzende Versorgung realisiert werden kann. Dies wäre im Hinblick auf Zahn 28 nicht realisierbar gewesen. Nachteil ist der höhere chirurgische und zeitliche Aufwand und, speziell den externen Sinuslift betreffend, die erhöhte Patientenmorbidität.

Fall 3

Ist trotz Initialtherapie und regelmäßiger UPT keine Verbesserung der Parodontitis zu erzielen, steht sowohl der Behandler als auch der Patient vor einem Problem. Die Prognose und Wertigkeit der Zähne ist nicht ausreichend genug, um diese für eine Zahnersatzversorgung zu nutzen. In diesen Situationen können Langzeitprovisorien eine Lösung sein. Durch neue, moderne Möglichkeiten, Versorgungen zu fräsen und in Zukunft auch durch 3-D-Drucker herzustellen, kann schnell und kostengünstig Zahnersatz angefertigt werden. Marylandartige Brücken sind in diesen speziellen Fällen vorteilhaft. Dies ist eine festsitzend eingeklebte Versorgung, welche jederzeit ausgetauscht werden kann (Abb. 3d). Ein umfangreiches Beschleifen von prognostisch ungünstigen Zähnen entfällt. Gerade Zähne mit höheren Lockerungsgraden können so stabilisiert werden. Im Falle einer Überbelastung löst sich der Klebeverbund. Im gezeigten Fall ist trotz regelmäßiger Parodontaltherapie keine Besserung zu erreichen (Abb. 3a und b). Nach Fraktur und notwendiger Entfernung von Zahn 26 wurde dieser durch ein gefrästes marylandartiges Langzeitprovisorium ersetzt (Abb. 3c bis f). An eine definitve Brückenversorgung ist aufgrund der Prognose der Zähne nicht zu denken. Der Ersatz durch ein Implantat aufgrund der nicht entzündungsfreien Nachbarzähne ist nicht zu empfehlen. Da die Parodontaltherapie nicht anschlägt, ist von implantologischen Eingriffen insgesamt abzuraten.

Fall 4

Nach erfolgter Initialtherapie und der kombinierten endodontisch-parodontologischen Behandlung der Prämolaren zeigten diese zum Zeitpunkt der Reevaluation zwölf Wochen nach Initialtherapie keine Heilungstendenz (Abb. 4a bis c). Die erhöhten Sondierungstiefen mit Bluten auf Sondieren persistierten. Da der Wunsch einer vollständigen Zahnreihe bestand, mussten die kaum gelockerten Prämolaren (Lockerungsgrad I) mit erhöhten Taschensondierungstiefen (≥ 6 mm) und Bluten auf Sondieren entfernt werden. Nach erfolgter Abheilung wurden sowohl im Oberkiefer als auch Unterkiefer Implantate inseriert und eine Interimsprothese eingegliedert. Die weitere Behandlung gestaltete sich unauffällig.Nach Freilegung der Implantate erfolgte die festsitzende Versorgung (Abb. 4d und e). Dieser Fall ist chirurgisch aufgrund des guten weich- und hartgewebigen Angebots einfach zu realisieren. Er zeigt jedoch deutlich, dass Zähne in direkter Nachbarschaft zu Implantaten entfernt werden, die in einer geschlossenen Zahnreihe hätten toleriert werden können.

Zusammenfassung

Gerade beim parodontal kompromittierten Patienten ist der Erhalt der vorhandenen Zähne oberstes Ziel, um Zahnersatzversorgungen nach Möglichkeit zu umgehen. Beachtet werden sollten im Speziellen die Taschensondierungstiefen und das Bluten auf Sondieren. Zeigen eine Lücke begrenzende Zähne Taschensondierungstiefen bis 5 mm ohne Blutung, können auch beim PA-Patienten Implantate gesetzt werden. Auch ein größerer Attachmentverlust ist kein Ausschlusskriterium für festsitzenden Zahnersatz. Festsitzende Versorgungen sollten bevorzugt werden. Diese erweisen sich im Gegensatz zu herausnehmbarem Zahnersatz als günstiger für die Restbezahnung. Sie verhindern am ehesten ein verstärktes Voranschreiten einer parodontalen Schädigung durch den Zahnersatz und „stabilisieren“ die bestehende Situation.

Der Beitrag ist in der ZWP Zahnarzt Wirtschaft Praxis erschienen.

Mehr Fachartikel aus Implantologie

ePaper