Implantologie 31.03.2026

XY ungelöst: Probleme mit ­Attachments für implantatgetragene Deckprothesen



Die implantatprothetische Versorgung zahnloser Kiefer mit abnehmbaren Prothesen gilt als einfach und vorhersagbar, mit deutlicher Verbesserung der Lebensqualität der Patienten. In der Praxis erweisen sich aber präfabrizierte Verankerungselemente wie Kugelkopf und Locator oftmals als problematisch.

XY ungelöst: Probleme mit ­Attachments für implantatgetragene Deckprothesen

Foto: Prof. Dr. Matthias Karl

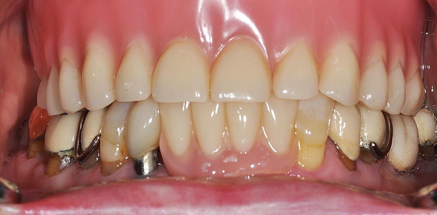
Die Insertion von zwei zahnärztlichen Implantaten zur Verankerung einer abnehmbaren Deckprothese stellt eine kosteneffektive Therapie dar, welche die Kaufunktion verbessert und zu hoher Patientenzufriedenheit führt, weshalb diese Versorgung in mehreren Ländern als „standard of care“ angesehen wird.1, 6, 14 Die dabei genutzten Verankerungselemente, welche die Prothese mit den Implantaten abnehmbar verbinden, sind entscheidend für den Prothesenhalt, die Patientenzufriedenheit und den klinischen Erfolg.14 Stege, Kugelkopf­anker und Locatoren werden hierfür häufig genutzt und führen zu einer Verbesserung der mundbezogenen Lebensqualität.4–6, 14 Die in Deutschland weitverbreiteten Doppelkronensysteme konterkarieren aufgrund der hohen Herstellungskosten die Grundidee einer kosteneffektiven Grundversorgung.8, 10, 15

Haftkraftverlust und Verankerungselemente

Für die einzelnen Verankerungselemente werden weit gestreute Haftkräfte berichtet, wobei der Haftkraftverlust das dominierende klinische Problem15 darstellt und zu wiederholten Interventionen führt.12, 13 Dies tritt insbesondere bei nicht parallel inserierten Implantaten auf, weshalb die Industrie sogenannte „extended range“ Verankerungselemente anbietet, die Dispa­rallelitäten kompensieren sollen. Gemäß einer retrospektiven Studie mit dreijähriger Beobachtungsdauer gelingt dies jedoch nicht.9 Ein weiterer Faktor dabei scheinen Übertragungsfehler der Patientensituation auf ein Labormodell zur Herstellung des Zahnersatzes zu sein.7

Verschleiß und Komplikationen

Eine randomisierte klinische Studie zu implantatgestützten Unterkieferdeckprothesen beschrieb den Verschleiß der Verankerungselemente als häufigste Komplikation.1 Ähnliche Ergebnisse werden aus einer randomisierten klinischen Studie an 18 Pa­tienten über neun Jahre Beobachtungsdauer mit 136 prothetischen Komplikationen berichtet.11 Dies wird ebenfalls von einer retrospektiven Studie an Kugelkopfankern bzw. Locatoren gestützt, welche Behandlungsnotwendigkeiten aufgrund von Verschleiß des Verankerungselements als häufigste Komplikation beschreibt.2 Ein hoher Anteil der nötigen Interventionen scheint dabei bereits in der Anfangsphase bis zu einem Jahr aufzutreten, was mit der Findung einer für den Patienten adäquaten Haltekraft assoziiert sein dürfte.3, 15

Ergebnisse einer Umfrage und Lösungsansätze

Insgesamt 13 zahnärztliche und zahntechnische Kolleg/-innen beantworteten eine im Rahmen der IDS 2025 durchgeführte allgemeine Umfrage zu Attachmentsystemen für implantatgetragene Deckprothesen, wobei Mehrfachnennungen möglich waren. Der Retentionsverlust wurde dabei als häufigstes Problem beschrieben, gefolgt von der Notwendigkeit spezieller und systemspezifischer Instrumente. Dies deckt sich mit den Ergebnissen aus der Literatur, welche Retentionsverlust als die wesentliche Komplikation nennen. Die Lebensdauer von Kunststoff-Retentionseinsätzen wurde in weiter Streuung mit unter drei bis zu 24 Monaten angegeben. Diese Spanne lässt sich durch unterschiedliche Grade an Parallelität der unterstützenden Implantate erklären. Als wünschenswert für Attachmentsysteme wurden folgerichtig die Fähigkeit zur Kompensation nicht paralleler Implantate sowie eine längere Lebensdauer der Retentionseinsätze erwähnt.

Optimierung und Fazit

Pfeilerdisparallelitäten und Transferfehler verhindern derzeit, dass neben den guten Überlebensraten implantatgetragener abnehmbarer Deckprothesen auch hohe Erfolgsraten unter Nutzung vorgefertigter Verankerungselemente erzielt werden. Ebenso stellt die Einstellung vorhersagbarer Retentionswerte ein klinisches Problem dar, da diese bei mehreren und zudem nicht parallelen Implantaten lediglich durch Ausprobieren erarbeitet werden kann. Aufgrund der geringeren Bauhöhe und ihrer Rotationssymmetrie sind Kugelkopfanker vorteilhafter und könnten durch Weiterentwicklung zum Ausgleich von Implantatdivergenzen die genannten Probleme lösen.

Literaturliste

Implantologie Journal 02/26

Implantologie Journal


Dieser Fachbeitrag ist im IJ Implantologie Journal erschienen.

Das Implantologie Journal hat sich als eine unverzichtbare Informationsquelle für Fachleute der zahnärztlichen Implantologie etabliert. Das Themenspektrum reicht von Fachbeiträgen über aktuelle Entwicklungen in der Forschung bis hin zu Expertenmeinungen, Kongressberichten und Neuigkeiten zu den Aktivitäten der DGZI sowie Industrie. Jede Ausgabe widmet sich einem spezifischen Fokusthema, das einen Teilbereich der Implantologie vertieft.

Jetzt das ePaper lesen.

Mehr Fachartikel aus Implantologie

ePaper