Implantologie 13.08.2024

Full-Arch-Versorgung im Unterkiefer trotz Parodontitis



Full-Arch-Versorgung im Unterkiefer trotz Parodontitis

Foto: Dr. Harald Fahrenholz

Dieser Artikel ist im IJ Implantologie Journal unter dem Titel „Full-Arch-Versorgung im Unterkiefer“ erschienen.

Die 70-jährige Patientin wurde mit dem Wunsch nach einer Sanierung ihres Unterkiefers vorstellig. Sie hatte eine mehr als zwanzig Jahre alte Brücke von 34 bis 44. Die Zähne 33 und 43 dienten dabei als Pontics. Aufgrund der vorliegenden Parodontitis marginalis profunda wurde der Patientin vorgeschlagen, die Zähne im Unterkiefer extrahieren und zweiteilige Sofortimplantate inserieren zu lassen, um auf diesen eine neue Full-Arch-Versorgung abstützen zu können.

Die Herausforderung bei diesem Vorgehen bestand darin, ein Implantatsystem anzuwenden, das selbst bei einer aktiven Parodontitis (Abb. 1 und 2) zuverlässig osseointegriert und eine langfristige Funktion ohne biologische Komplikationen gewährleisten kann. Das in diesem Fall angewendete Implantatsystem (Patent™ Dental Implant System) hat in einer kürzlichen universitären Langzeitstudie gezeigt, dass es genau das leistet.1

Diagnostik und Planung

Ein DVT wurde angefertigt, das ein ausreichendes Knochenvolumen in Regio 32, 34, 41 und 44 für eine Implantation ergab (Abb. 3). Deshalb wurde geplant, nach Entfernung der alten Brücke und Extraktion der Zähne des Unterkiefers in derselben Sitzung zweiteilige Implantate (4,5 mm Durchmesser und 11,0 mm Länge) in diesen Regionen zu inserieren, die nach Einheilung zur Abstützung eines Stegs dienen sollten. Als Suprakonstruktion wurde eine herausnehmbare Deckprothese geplant, da diese Vorteile im Handling und der Reinigung bietet.

Vorbehandlung und chirurgischer Eingriff

Um die Bakterienbelastung zu reduzieren und folglich die Weichgewebeverhältnisse für den chirurgischen Eingriff zu verbessern, wurde im Vorfeld eine dreimonatige Prophylaxebehandlung durchgeführt. Die insuffiziente Brücke wurde zunächst in vier Teile zerlegt und entfernt, bevor alle Zähne des Unterkiefers extrahiert wurden (Abb. 4). Hiernach wurden die Knochenqualitäten um die Alveolen bestimmt und die Implantate gemäß dem entsprechenden chirurgischen Protokoll bis zu einem finalen Drehmoment von 25 Ncm lappenfrei inseriert (Abb. 5 und 6). Die provisorische Vollprothese, die auf Grundlage eines konventionellen Abdrucks im Vorfeld hergestellt worden war, wurde unterfüttert, um die einheilenden Implantate nicht durch unerwünschte Belastung zu stören, und dann eingesetzt.

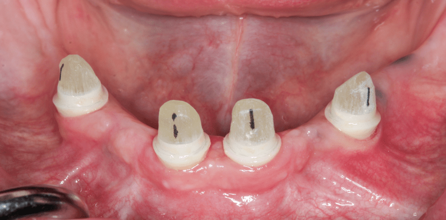
Prothetische Rekonstruktion

Nach dreimonatiger Heilung wurde mittels Periotest die erfolgreiche Osseointegration der Implantate festgestellt (Abb. 7). Der Unterkiefer wurde einschließlich der Implantatschultern und Innenverbindungen konventionell abgeformt und im Dentallabor ein Gipsmodell hergestellt. Auf diesem wurden die Glasfaserstifte, die als prothetisches Retentionselement des Implantatsystems fungieren, präpariert (Abb. 8 und 9). Der korrekte Sitz der präparierten Stifte in den Innenverbindungen der Implantate wurde intraoral überprüft (Abb. 10), um mit der Herstellung des Stegs fortfahren zu können. Nach Herstellung wurde auch dessen Sitz intraoral überprüft (Abb. 11). Anschließend wurde die Deckprothese hergestellt. Die Matrize, die als sekundäres Retentionselement auf der Innenseite der Prothese integriert wurde, war aus PEEK gefertigt (Abb. 12). Glasfaserstifte und Steg wurden mit einem dualpolymerisierenden Zement adhäsiv befestigt (RelyX Unicem 2, 3M; Abb. 13) und die Deckprothese eingesetzt (Abb. 14), um Funktion und Ästhetik wiederherzustellen.

Ergebnis nach fünf und acht Jahren

Fünf Jahre postoperativ zeigten sich stabile marginale Knochenniveaus um die Implantate (Abb. 15). Der Spalt, der unmittelbar nach Implantatinsertion zwischen Extraktionsalveole und Implantat 44 vorhanden gewesen war (vgl. Abb. 6 links), ist bei der Fünf-Jahres-Kontrolle gänzlich mit Knochen gefüllt und geschlossen (Abb. 15 links). Auch bei der Acht-Jahres-Kontrolle waren die Knochenniveaus stabil (Abb. 16–19) und es war ein stabiles und entzündungsfreies Weichgewebe zu beobachten (Abb. 20 und 21), das mit der Situation nach Einheilung der Implantate (Abb. 11) vergleichbar war. Nach acht Jahren war sogar eine Volumenzunahme an keratinisierter Gingiva um die Implantate 32 und 44 erkennbar (Abb.  20 und 21).

Diskussion

Im implantologischen Alltag begegnen Behandler fast täglich Patienten mit kompromittierter Gesundheit. Diese Patienten haben oftmals Allgemeinerkrankungen und/oder chronische Entzündungen wie im vorliegenden Fall Parodontitis. Um diesen Risikopatienten, bei denen Heilungsprozesse oftmals langsamer verlaufen, helfen zu können, benötigt man ein Implantatsystem, das schnell und vorhersagbar einheilt und dabei eine minimale Belastung für das Immunsystem darstellt sowie eine langfristige Ästhetik und Funktion ohne biologische Komplikationen ermöglicht.

In einer kürzlich veröffentlichten Langzeitstudie, die ich in Zusammenarbeit mit Dr. Sofia Karapataki und der Medizinischen Universität Graz durchgeführt habe, wurden diese Alltagspatienten untersucht. Die klinische Langzeitleistung des im vorliegenden Fall angewendeten zweiteiligen Implantatsystems wurde darin bestätigt.1 Selbst nach der maximalen Untersuchungsdauer von zwölf Jahren wurde um die untersuchten Implantate keine Periimplantitis gefunden. Dieses Ergebnis deckt sich mit meinen Erfahrungen aus über fünfzehn Jahren der täglichen Anwendung.

Fazit

Das Ergebnis der hier beschriebenen Full-Arch-Versorgung blieb über einen längeren Zeitraum hinweg zufriedenstellend. Die Situation nach acht Jahren Implantatfunktion zeichnete sich durch stabile marginale Knochenniveaus, ein gesundes Weichgewebe und das vollständige Fehlen von Periimplantitis aus. Dies deckt sich mit dem, was unabhängige Langzeitstudien über die klinische Leistung dieses Implantatsystems berichtet haben, und unterstreicht dessen Tauglichkeit als zuverlässige Behandlungsoption, selbst bei komplexen Fällen, in denen Patienten mit kompromittierter Gesundheit zu versorgen sind.1, 2

zur Literaturliste

Mehr Fachartikel aus Implantologie

ePaper