Kieferorthopädie 24.06.2015

Highlight in Optik und Funktion



Highlight in Optik und Funktion

Moderne Keramikbrackets weisen heutzutage mechanische Eigenschaften auf, die denen von Metallbrackets kaum noch nachstehen. Das völlig metallfreie TruKlear® Bracket ermöglicht Patienten die Erfüllung höchster Ästhetikansprüche und gewährleistet Behandlern die für effiziente Behandlungen notwendige Leistungsfähigkeit bei guter Übertragung von Torque und Rotation. Ein Beitrag von Dr. Heiko Goldbecher und Dr. Christine Goldbecher.

Um den Wunsch der Patienten nach einer – vor allem im Frontzahnbereich – möglichst unauffälligen kieferorthopädischen Behandlung zu ermöglichen, wurden durch die Dentalindustrie in der Vergangenheit zahlreiche ästhetische Behandlungsapparaturen auf den Markt gebracht und fortlaufend verbessert. Ob Aligner, Lingualbrackets oder zahnfarbene Labialbrackets und Bögen – längst ist eine ästhetisch ansprechende Optik während kieferorthopädischer Therapie realisierbar.

Kunststoffbrackets
Insbesondere bei den labialen ästhetischen Brackets wurden in den letzten Jahren große Anstrengungen unternommen, um die materialtechnischen Nachteile, welche Brackets aus Kunststoff oder Keramik anfangs gegenüber den Metallbrackets zeigten, zu überwinden. So wiesen zunächst aus Polymethacrylat gefertigte Kunststoffbrackets zwar eine ansprechende Ästhetik, jedoch eine unzureichende Materialfestigkeit auf, welche zu klinisch negativen Folgen wie beispielsweise Frakturen der Bracketflügel, zur Deformation des Slots oder zu einer geringen Abrasions- und fehlenden Torquefestigkeit führten.1 Durch die Verwendung neuer Materialien wie z.B. Polycarbonat, welches teils keramik- oder glasfaserverstärkt wurde, sowie Polyurethan konnten die Eigenschaften von Kunststoffbrackets verbessert werden. Insbesondere die Einarbeitung von Metallslots bewirkt bei Polyurethanbrackets eine Optimierung der Belastbarkeit bei Applikation von Torque.2 Auch wenn heute am Markt erhältliche Kunststoffbrackets (insbesondere mit Metallslot versehene keramikverstärkte Polycarbonatbrackets sowie Polyurethanbrackets) aufgrund material- sowie designtechnischer Verbesserungen für die klinische Anwendung geeignet sind,2,3 ist hinsichtlich ihrer ästhetischen Komponente nach wie vor mit Einschränkungen aufgrund der Neigung zu Verfärbungen des anfangs transluzenten Materials insbesondere bei längerer Behandlungsdauer zu rechnen. Auch können durch die mangelnde Materialhärte mitunter Abweichungen der einprogrammierten Torquewerte auftreten bzw. Kräfte nicht zuverlässig genug auf den zu bewegenden Zahn übertragen werden oder es treten Bracketverformungen auf. Zudem kann es aufgrund des beim Bracketkleben hohen Haftverbunds (chemische Bindung Adhäsiv/Bracketbasis) zu einem erhöhten Risiko von Schmelzläsionen beim Debonding kommen.2,4

Keramikbrackets
Neben den Brackets aus Kunststoff werden viele ästhetische Brackets heutzutage aus Keramik (mono- oder polykristallines Aluminiumoxid) gefertigt. Dieses Material besitzt ausgezeichnete Eigenschaften, die denen von Metallbrackets kaum noch nachstehen. So werden durch dieVerwendung von nanoskaligem Pulver beispielsweise extrem hohe Festigkeitswerte erreicht. Zudem gewährleistet das Material eine optimale Lichtdurchlässigkeit, wodurch sich das Bracket optisch an die jeweils vorliegende Zahnfarbe anzupassen scheint. Weitere Materialvorteile stellen eine hohe Form- und Farbbeständigkeit sowie Biokompatibilität dar.

Zudem ist das Keramikmaterial chemisch inert, d.h. es reagiert unter den jeweils gegebenen Bedingungen nicht oder nur verschwindend gering mit potenziellen Reaktionspartnern (z.B. Speichel etc.).5,6 Nach wie vor mit Risiken behaftet kann bei manchen Keramikbrackets die große Härte ihres Materials sein, sodass es bei zu Bruxismus neigenden Patienten mitunter zu Abrasionen bei Kontakt zu Antagonisten kommen kann. Auch ist bei einigen am Markt erhältlichen Keramikbrackets aufgrund deren starker Verbundfestigkeit zum Zahnschmelz die Gefahr der Schmelzschädigung beim Debonding durch Zug- und Scherkräfte nicht gänzlich auszuschließen, insbesondere wenn ein rein chemischer Haftverbund erzielt wird. Wird eine rein mechanische Retention realisiert, können Haftwerte erreicht werden, die vergleichbar mit denen von Metallbrackets sind.1,2

TruKlear®
Auch wenn Patienten mit dem Einsatz moderner selbstligierender Keramikbrackets verschiedenster Hersteller eine ästhetisch ansprechende kieferorthopädische Behandlung bei hohem Tragekomfort ermöglicht werden kann, trübte bislang stets ein kleines Detail deren optische Perfektion – der Clip. So weisen viele am Markt befindliche Keramikbrackets beispielsweise einen gänzlich aus Metall gefertigten Clip auf. Andere haben einen in den keramischen Bracketkörper integrierten metallenen Haltemechanismus für den Clip bzw. Schieber, der optisch durchschimmernd den ästhetisch hohen Eindruck des Keramikmaterials mindert. Oder wiederum andere Keramikbrackets verfügen über einen aus Kunststoff gefertigten Clip, der aufgrund vonVerfärbung im Laufe der Behandlung die ästhetische Wahrnehmung beeinträchtigt.

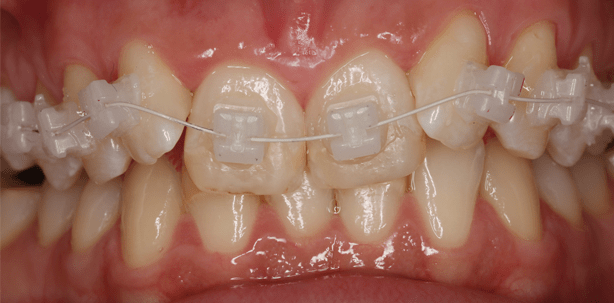
Zur Jahrestagung der American Association of Orthodontists (AAO) 2014 in New Orleans wurde ein vollästhetisches selbstligierendes Bracket vorgestellt. Das von 5-5 für OK/UK erhältliche TruKlear® (Fa. FORESTADENT) ist metallfrei – auch der Haltemechanismus für den Schieber kommt ohne Metall aus – und verfügt über einen aus einer verfärbungsfreien Spezialkeramik gefertigten Korpus und Verschlussschieber. Beide Bauteile sind starr, wodurch das Bracket passiv selbstligierend ist (Abb. 1).

Das Bracket wird im Ceramic Injection Molding (CIM)-Verfahren hergestellt. Das mit einem Binder versehene Keramikpulver wird dabei in einem Spritzgussprozess verarbeitet, wobei der Binder anschließend wieder entfernt wird. Durch das Verfahren können die Korngrößen im Vergleich zu gepressten Teilen signifikant reduziert werden, wodurch komplexe Geometrien bei geringsten Toleranzwerten realisiert werden können. Zudem wird eine extreme, mit Metallbrackets vergleichbare Festigkeit bzw. Härte erreicht.

Beim Bracketdesign wurde auf einen größtmöglichen Patientenkomfort Wert gelegt, welcher insbesondere durch die großzügigen Verrundungen realisiert wird. Um eine gute Rotationsübertragung zu gewährleisten, ist der flach ausgeführte und nach gingival öffnende Schieber slotseitig besonders breit gestaltet. Durch den niedrigen Vierwandslot werden Bögen mit der Tiefe 0.025'' eng geführt und somit eine gute Übertragung von Torque und Rotation ermöglicht. Verrundete Sloteinläufe sorgen darüber hinaus für eine Minimierung der Friktion, während vier im Slot befindliche Kontaktrippen etwaige Klemm- und Kerbeffekte (Binding und Notching) vermeiden.

Der Haftverbund zwischen Bracket und Zahn basiert beim TruKlear® und dessen mit inversen Haken versehenen Basis (Abb. 1c) auf einer mechanischen Retention. Zudem wurde die Bracketbasis in ihrer Form der anatomischen Wölbung der Zahnkronen angepasst, wodurch ein optimales Anliegen auf der jeweiligen Zahnoberfläche realisiert werden kann. Die inversen Haken beugen des Weiteren der Gefahr von Schmelzausrissen oder Schmelzsprüngen vor, wie sie mitunter bei Keramikbrackets aufgrund ihrer gegenüber Metallbrackets höheren Scherhaftfestigkeit beobachtet werden können.6–8
Das splitterfreie Ablösen des TruKlear® Brackets kann auf zweierlei Art und Weise realisiert werden – zum einen mithilfe des Pauls-Tools, einem speziellen Instrument zur fragmentfreien Bracketentfernung. Zum anderen mittels Debondingzange, welche an den speziellen, mesial wie distal befindlichen Debondingschrägen des Brackets angesetzt wird.

Klinische Anwendung
Die 26-jährige Patientin stellte sich mit einem Schmalkiefer mit Deckbisscharakter in unserer Praxis vor. Sie wies eine Distalokklusion links um eine 3/4PB und rechts einen Neutralbiss auf. Die artikuläre Mittellinienverschiebung betrug 3 mm nach links. Zudem zeigte die Patientin einen Tiefbiss ohne Gingivakontakt (Abb. 2a bis c).

Um Platz zu schaffen, wurde zunächst nur der Oberkiefer beklebt, und zwar mit passiven TruKlear®-Brackets. Nach acht Monaten Behandlung begann parallel die Ausformung des Unterkiefers, indem aktive QuicKlear®-Brackets eingebracht wurden (Abb. 3a bis c). Um den Biss zu heben, erhielt die Patientin zudem frontale Aufbisse. Die Abbildungen 5a bis e zeigen den aktuellen Befund mit zwei fast ausgeformten Zahnbögen. Auf der rechten Seite besteht eine Neutralverzahnung, während auf der linken Seite noch eine Distalverzahnung von 1/2PB erkennbar ist. Mithilfe von Klasse II-Gummizügen wird im weiteren Verlauf nun noch die Distalokklusion zu korrigieren sein. Inwieweit bei der (ästhetischen) Multibandtherapie passive und/oder aktive Brackets zum Einsatz kommen, ist letztendlich eine Frage der Philosophie des jeweiligen Behandlers. Entscheidet man sich wie im Oberkiefer des vorgestellten Falls für den EinsatzderTruKlear® Brackets, können aufgrund dessen passiven Bracketdesigns die einprogrammierten Rotations- und Angulations-/Torquewerte in der Regel erst mit den letzten Bögen realisiert werden. Denn bis dahin gleiten die Bögen geringerer Dimension frei im Slot bzw. können erst mit ansteigender Dimensionierung der Bögen die im Bracketslot und der Basis integrierten Informationen über Torque, Angulation und Artistik auf den Zahn übertragen. Kommen Bögen mit einer Tiefe von 0.025'' zur Anwendung, werden aufgrund der niedrigen Slottiefe des Brackets ein enges Führen des Bogens im Slot und somit eine optimale Übertragung von Rotation und Angulation/Torque ermöglicht. Bei den aktiven QuicKlear® Brackets, wie sie von 3-3 im Unterkiefer des Patientenbeispiels eingesetzt wurden, werden aufgrund der Kraftapplikation des Clips hingegen schon relativ früh im Behandlungsverlauf Derotationen bzw. ein Ausnutzen der Angulation der vorprogrammierten Brackets gewährleistet. Doch dies ist, wie erwähnt, eine reine Frage der Behandlungsphilosophie.

Hinsichtlich des klinischen Handlings der TruKlear® Brackets ist vor allem der Verschlussschieber zu erwähnen, welcher beim öffnen und Schließen ein akustisch wahrnehmbares Knacken verursacht. Dieses zeigt dem Anwender deutlich an, ob der
Bracketschieber auf bzw. zu ist. Auch der Schieber selbst mit seiner kleinen Vertiefung zum Einführen des Öffnungsinstruments ist einfach und leicht bedienbar.

Fazit
TruKlear® Brackets stellen eine ästhetisch wie funktionell optimale Behandlungslösung im Rahmen einer kieferorthopädischen Multibandtherapie dar. Die Brackets entsprechen nicht nur höchsten Patientenansprüchen hinsichtlich Unauffälligkeit der Behandlungsapparatur sowieTragekomfort; sie gewährleisten dem Kieferorthopäden zudem ein effizientes Umsetzen der im Rahmen der Therapie definierten Behandlungsaufgaben.

Hier finden Sie die vollständige Literaturliste

Mehr Fachartikel aus Kieferorthopädie

ePaper