Kieferorthopädie 24.04.2018

Temporäre skelettale Verankerung: Fehlervermeidung



Temporäre skelettale Verankerung: Fehlervermeidung

Foto: Autor

Dank jüngster Entwicklungen temporärer skelettaler Verankerungsapparaturen (Temporary Anchorage Devices, TADs) ist es heutzutage möglich, einige der schwierigsten Zahnbewegungen zu bewältigen.  TADs gewährleisten eine rigide Verankerung, wodurch kieferorthopädische Behandlungen effizienter gestaltet und meist ohne unerwünschte Nebeneffekte realisiert werden können. Um bestmögliche Behandlungsergebnisse erzielen zu können, sind jedoch noch immer korrekte Therapiepläne mit sorgsam geplanten Mechaniken erforderlich. Im Rahmen dieses Artikels sollen häufig auftretende biomechanische Probleme sowie Fehler in Bezug auf den klinischen Einsatz von Minischrauben diskutiert werden.

1. Biomechanische Probleme mit einem Transpalatinalbogen

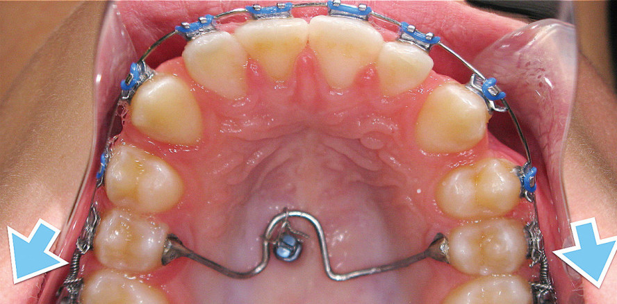
Ein Transpalatinalbogen (Transpalatal Arch, TPA), eingesetzt in Kombination mit skelettaler  Verankerung, stellt eine der gängigsten Methoden zur Erzielung einer maximalen Verankerung im Oberkiefer dar. Abbildung 1 zeigt ein klinisches Beispiel, bei dem zwei Minischrauben im Bereich des mittleren Gaumens platziert wurden. Die zwei Schlaufen des TPA wurden mithilfe von Stahlligaturen mit den Pins verbunden. Zudem erfolgte das Kleben zweier Buttons (Knöpfchen) auf die Lingualflächen der oberen Eckzähne. Um die Rotation der Eckzähne zu vermeiden, während diese retrahiert wurden, wurden sowohl bukkale als auch linguale Retraktionskräfte appliziert. Ein weiteres Beispiel ist in den Abbildungen 2 und 3 zu sehen. Nach Insertion einer Minischraube im mittleren Gaumenbereich wurde auf den oberen zweiten Prämolaren ein Transpalatinalbogen geklebt und mittels Stahlligatur mit dem inserierten Pin verbunden. Zudem erfolgte die Platzierung offener Spiralfedern zwischen den oberen zweiten Prämolaren und ersten Molaren, um die oberen ersten Molaren zu distalisieren (Abb. 2). Zwar konnten die Lücken zwischen den ersten Molaren und zweiten Molaren im OK geöffnet werden, jedoch als sich die oberen ersten Molaren nach distal bewegten, bewegten sich die zweiten Prämolaren nach mesial (Abb. 3).

Zur  Verbindung mit einem  Transpalatinalbogen können auch gelötete Käppchen verwendet werden. Im dargestellten Beispiel wurde jeweils eine Kappe auf die oberen ersten Prämolaren geklebt, um die oberen ersten Molaren zu distalisieren. Als die gewünschte Distalisierung der ersten Molaren im OK erfolgte, bewegten sich die ersten Prämolaren nach mesial (Abb. 4). Die Schraube erschien zwar stabil, jedoch kam es zum Verankerungsverlust des minischraubengestützten TPAs (Abb. 5). Der Grund für den Verankerungsverlust lag hierbei in der runden Form des Schraubenkopfes begründet. Denn der mittels gelötetem Käppchen verbundene Transpalatinalbogen kippte nach vorn, da sich die Wirkungslinie der Retraktionskraft unterhalb des Widerstandszentrums befand und so ein Rotationsmoment verursachte (Abb. 6 und 7).

Im nächsten Beispiel wurde zur Retraktion der oberen Eckzähne ein durch eine Minischraube unterstützter TPA verwendet. Die oberen ersten Molaren kippten nach mesial, und es kam zum  Verankerungsverlust (Abb. 8 bis 10). Wird ein Transpalatinalbogen sehr nah an den inserierten Pins fixiert, kann dies nur mithilfe fließfähigen Komposits erfolgen (Abb. 11). Wie in Abbildung 12 erkennbar, konnte dieses Komposit allein jedoch nicht dem Rotationsmoment standhalten, als mittels eines dünnen und flexiblen Drahts eine starke Retraktionskraft appliziert wurde. Der in den pingestützten TPA einbezogene obere erste Molar konnte sich durch den Verankerungsverlust daher nur nach mesial bewegen.

Wird ein Transpalatinalbogen distal der Minischrauben realisiert und mittels Stahlligaturdrähten fixiert, kann ein die ersten oberen Molaren einbeziehender TPA eine mesiale Kraft ausüben, die schließlich zum Verankerungsverlust führt (Abb. 13 und 14). Daher sollte ein TPA anterior der Minischrauben realisiert werden, sodass die durch die Ligation erzeugte Kraft den Bogen und die damit verbundenen oberen ersten Molaren nach distal „schiebt“ (Abb. 15 und 16). Lockert sich jedoch die mittels Stahlligatur realisierte Verbindung oder bricht, kann es trotzdem zum Verankerungsverlust führen, wie in Abbildung 17 gezeigt.

Die Minischrauben können auch durch einen mit einem TPA verbundenen Ring platziert werden, wie in Abbildung 18 zu sehen. Jedoch selbst in dieser Situation kann es zu einem kleinen Verankerungsverlust kommen, wenn ein TPA leicht in das Weichgewebe eintaucht (Abb. 19).

Des Weiteren können die Minischrauben durch einen Nance-Button unterstützt werden. In diesem Fall sollten die Pins zuerst platziert und dann ein (Pick-up-)Abdruck genommen werden. Anschließend werden zwei Löcher in den Kunststoff gebohrt, sodass diese oben auf den Schrauben sitzen. Der minischraubengestützte Nance-Button sollte mithilfe flüssigen Komposits gesichert werden (Abb. 20). Werden die Minischrauben in einem Winkel von 90 Grad zur applizierten Retraktionskraft positioniert, kann die gesamte anteriore Oberfläche der Schraube zusammen mit dem Acrylbutton der mesialen Kraft standhalten. Das Risiko eines Verankerungsverlustes ist hierbei gering (Abb. 21).

2. Biomechanische Probleme in Bezug zur interproximalen Platzierung

Der am häufigsten verwendete Ort für die bukkale Platzierung von Minischrauben ist der Interproximalraum zwischen dem oberen ersten Molaren und zweiten Prämolaren. Im gezeigten Beispiel (Abb. 22) wurden mit der Retraktion der oberen Eckzähne die Frontzähne extrudiert und der Overbite verstärkte sich. Da die exzessive, auf die oberen Eckzähne wirkende Retraktionskraft hier mit einem kleiner dimensionierten Bogen appliziert wurde, konnte sie diesen umbiegen (Bowing). Dies führte zum Verankerungsverlust (Abb. 23 und 24).

Wird ein Haken zur Applikation einer Retraktionskraft nahe des Widerstandszentrums eingesetzt, können der  Verankerungsverlust sowie eine unerwünschte Extrusion der oberen Schneidezähne hingegen vermieden werden (Abb. 25). Wenn ein Bogen in ein Loch des Schraubenkopfes inseriert werden kann, ohne dass irgendeine Apparatur an den oberen Seitenzähnen angebracht ist, können Klasse I-Gummizüge eingesetzt werden, um die oberen Frontzähne ohne das Risiko eines Verankerungsverlustes zu retrahieren (Abb. 26).

Im klinischen Beispiel, welches in den Abbildungen 27 bis 29 dargestellt ist, wurde ein runder Stahlbogen in die Schraubenköpfe inseriert und Klasse I-Gummizüge zur Retraktion der oberen Frontzähne sowie Klasse III-Gummizüge zur Retraktion der unteren Eckzähne eingesetzt.

Ein minischraubengestützter Acrylbutton kann auch zur Distalisierung der oberen ersten Molaren verwendet werden. Eines der möglichen Probleme hierbei ist, dass die Stabilität der TADs sehr schwer zu beurteilen ist, da diese unterhalb des Acrylbuttons liegen. In Abbildung 30 wurde zwar ein guter Aktivierungsgrad für die Distalisation gewählt, jedoch war die Bewegung der oberen ersten Molaren nicht ausreichend. Tatsächlich lockerten sich beide Minischrauben, sodass die gesamte Distalisationskraft auf das  Weichgewebe appliziert wurde und sich dadurch eine starke Druckstelle bildete (Abb. 31).

Um den unteren ersten Molaren zu protrahieren, damit die Lücke des nicht angelegten unteren zweiten Prämolaren geschlossen werden kann, wurden im nächsten gezeigten Fall Minischrauben in den jeweiligen Interproximalraum zwischen unterem Eckzahn und unteren ersten Prämolaren platziert (Abb. 32). Es kamen Haken zum Einsatz, um die Protraktionskraft nahe des Widerstandszentrums der ersten unteren Molaren applizieren zu können. Als die unteren ersten Molaren sich nach mesial bewegten, entstanden ein anterior offener Biss sowie ein anteriorer Kreuzbiss. Beide Schrauben lockerten sich, agierten wie eine Art Keil und drückten die zweiten Prämolaren nach hinten, was zu Lücken zwischen den unteren Eckzähnen und ersten Prämolaren führte.

Wenn die Protraktionskraft oberhalb des Widerstandszentrums auf den unteren ersten Molaren appliziert wird (Abb. 33), kippt dessen Krone nach mesial, was ein „Binding“ zwischen dem mesialen Ende des Molarenbrackets und dem darin inserierten Bogen verursacht. Ist die Friktion dieses Bindings größer als die Protraktionskraft (Abb. 34), kann sich die komplette untere Dentition zusammen mit dem Bogen nach mesial bewegen, anstatt dass der Bogen gleitet, um die Lücke zu schließen (Abb. 35). Auch wenn die Haken nahe des Widerstandszentrums positioniert sind, wenn der untere Zahnbogen nicht komplett nivelliert und ein dünnerer Bogen verwendet wurde, können die Kronen der unteren ersten Molaren nach mesial kippen, sodass es in der Folge zu einem frontal offenen Biss sowie anterioren Kreuzbiss kommt (Abb. 36).

3. Durch TADs verursachte Wurzelschäden

Ohne die sorgfältige Beurteilung des verfügbaren Platzes innerhalb des Interproximalraums und/oder durch eine einfache Fehlkalkulation während der Insertion von Minischrauben kann es zur Beschädigung von Zahnwurzeln   kommen.   Dies kann zu ernsthaften Komplikationen führen.

In der Abbildung 37 ist ein Beispiel dargestellt, bei dem eine Minischraube mesial des oberen zweiten Prämolaren platziert wurde, um die Verankerung zu erhalten. Nach Insertion des Pins wurde auf der periapikalen Röntgenaufnahme deutlich, dass die Schraube die Wurzel des linken oberen zweiten Prämolaren perforiert hatte. Die Schraube wurde sofort entfernt und eine neue mesial des oberen ersten Molaren platziert (Abb. 38). Der Patient wurde an einen Endodontologen überwiesen, der den Zahn nach erfolgtem elektrischen Pulpatest als nonvital einschätzte. Trotz dieses traumatischen Vorfalls klagte der Patient zu dieser Zeit nicht über Schmerzen oder Unwohlsein. Der Endodontologe entschied sich gegen eine Wurzelkanalbehandlung und für weitere Beobachtung. Zwei Jahre und sechs Monate nach erfolgter  Wurzelschädigung zeigte der Zahn beim erneuten elektrischen Pulpatest eine positive Reaktion. Die Pulpa hatte sich vollständig regeneriert (Abb. 39). Drei Jahre nach diesem „Insertionsunfall“ reagiert das Pulpagewebe noch immer positiv bei allen Schritten des elektrischen Pulpatests (Abb. 40).

Studien haben gezeigt, dass eine Wurzelschädigung, die auf den Zahnzement und das Dentin beschränkt ist, sich komplett regenerieren kann, und dies ohne Komplikationen. Bei Schädigungen der Wurzeloberfläche kommt es selten zu irreversiblen Pulpaschäden. Andererseits führen Wurzelschäden, die die Pulpa mit einbeziehen, für gewöhnlich zu einem Verlust der Vitalität und zu einer Schädigung des parodontalen Gewebes. Würde man die Schraube an der beschädigten Stelle belassen, verzögert oder eliminiert dies die Wahrscheinlichkeit einer Wurzelreparatur. Daher sollten solche Pins immer gleich entfernt werden.

In Bezug auf den Insertionsort der Schraube müssen präventive Messungen durchgeführt werden. Eine  Wurzelschädigung kann z. B. durch eine Röntgenaufnahme verhindert werden. Es ist wichtig, die interradikulären Abstände sowie andere anatomische Aspekte der in Bezug auf die Minischraube benachbarten Zähne beurteilen zu können.

Dieser Beitrag ist in den KN Kieferorthopädie Nachrichten 5/18 erschienen.

Mehr Fachartikel aus Kieferorthopädie

ePaper